JavaScript is disabled in your browser. Please enable JavaScript to view this website.
AB238994

Anti-MUC1 antibody [EPR1025(2)] - BSA and Azide free

4

(1 Review)

|

(1 Publication)

Rabbit Recombinant Monoclonal MUC1 antibody. Carrier free. Suitable for IHC-P, WB and reacts with Human samples. Cited in 1 publication.

View Alternative Names

CD227, PUM, MUC1, Mucin-1, MUC-1, Breast carcinoma-associated antigen DF3, Cancer antigen 15-3, Carcinoma-associated mucin, Episialin, H23AG, Krebs von den Lungen-6, PEMT, Peanut-reactive urinary mucin, Polymorphic epithelial mucin, Tumor-associated epithelial membrane antigen, Tumor-associated mucin, CA 15-3, KL-6, PEM, EMA

3 Images
Immunohistochemistry (Formalin/PFA-fixed paraffin-embedded sections) - Anti-MUC1 antibody [EPR1025(2)] - BSA and Azide free (AB238994)
  • IHC-P

Unknown

Immunohistochemistry (Formalin/PFA-fixed paraffin-embedded sections) - Anti-MUC1 antibody [EPR1025(2)] - BSA and Azide free (AB238994)

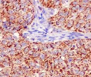
Immunohistochemistry (Formalin/PFA-fixed paraffin-embedded sections) analysis of human thyroid cancer tissue sections labeling MUC1 with Purified ab181133 at 1 : 3000 dilution (0.22 μg/ml). Heat mediated antigen retrieval was performed using ab93684 (Tris/EDTA buffer, pH 9.0). ImmunoHistoProbe one step HRP Polymer (ready to use)was used as the secondary antibody.

Negative control : PBS instead of the primary antibody. Hematoxylin was used as a counterstain.

This data was developed using the same antibody clone in a different buffer formulation containing PBS, BSA, glycerol and sodium azide (ab181133).

Immunohistochemistry (Formalin/PFA-fixed paraffin-embedded sections) - Anti-MUC1 antibody [EPR1025(2)] - BSA and Azide free (AB238994)
  • IHC-P

Supplier Data

Immunohistochemistry (Formalin/PFA-fixed paraffin-embedded sections) - Anti-MUC1 antibody [EPR1025(2)] - BSA and Azide free (AB238994)

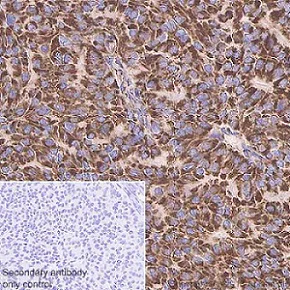
Immunohistochemical analysis of paraffin-embedded Human colon tissue labeling MUC1 with ab181133 at 1/100 dilution, followed by prediluted HRP Polymer for Rabbit IgG. Counter stained with Hematoxylin.

This data was developed using the same antibody clone in a different buffer formulation containing PBS, BSA, glycerol, and sodium azide (ab181133).

Heat mediated antigen retrieval was performed with citrate buffer pH 6 before commencing with IHC staining protocol.

Immunohistochemistry (Formalin/PFA-fixed paraffin-embedded sections) - Anti-MUC1 antibody [EPR1025(2)] - BSA and Azide free (AB238994)
  • IHC-P

Supplier Data

Immunohistochemistry (Formalin/PFA-fixed paraffin-embedded sections) - Anti-MUC1 antibody [EPR1025(2)] - BSA and Azide free (AB238994)

Immunohistochemical analysis of paraffin-embedded Human cervical carcinoma tissue labeling MUC1 with ab181133 at 1/100 dilution, followed by prediluted HRP Polymer for Rabbit IgG. Counter stained with Hematoxylin.

This data was developed using the same antibody clone in a different buffer formulation containing PBS, BSA, glycerol, and sodium azide (ab181133).

Heat mediated antigen retrieval was performed with citrate buffer pH 6 before commencing with IHC staining protocol.

Key facts

Host species

Rabbit

Clonality

Monoclonal

Clone number

EPR1025(2)

Isotype

IgG

Carrier free

Yes

Reacts with

Human

Applications

WB, IHC-P

applications

Immunogen

The exact immunogen used to generate this antibody is proprietary information.

Specificity

Based on the blast result, this antibody only recognizes isoform 5 of MUC1 (Mucin-1).

Reactivity data

{ "title": "Reactivity Data", "filters": { "stats": ["", "Species", "Dilution Info", "Notes"], "tabs": { "all-applications": {"fullname" : "All Applications", "shortname": "All Applications"}, "IHCP" : {"fullname" : "Immunohistochemistry (Formalin/PFA-fixed paraffin-embedded sections)", "shortname":"IHC-P"}, "WB" : {"fullname" : "Western blot", "shortname":"WB"} }, "product-promise": { "all": "all", "testedAndGuaranteed": "tested", "guaranteed": "expected", "predicted": "predicted", "notRecommended": "not-recommended" } }, "values": { "Human": { "IHCP-species-checked": "testedAndGuaranteed", "IHCP-species-dilution-info": "", "IHCP-species-notes": "<p></p>", "WB-species-checked": "guaranteed", "WB-species-dilution-info": "", "WB-species-notes": "<p></p>" } } }

Product details

ab238994 is the carrier-free version of ab181133.

Patented technology
Our RabMAb® technology is a patented hybridoma-based technology for making rabbit monoclonal antibodies. For details on our patents, please refer to RabMAb® patents.

What are the advantages of a recombinant monoclonal antibody?
This product is a recombinant monoclonal antibody, which offers several advantages including:

  • - High batch-to-batch consistency and reproducibility
  • - Improved sensitivity and specificity
  • - Long-term security of supply
  • - Animal-free batch production

For more information, read more on recombinant antibodies.

Conjugation ready
Our carrier-free antibodies are typically supplied in a PBS-only formulation, purified and free of BSA, sodium azide and glycerol. This conjugation-ready format is designed for use with fluorochromes, metal isotopes, oligonucleotides, and enzymes, which makes them ideal for antibody labelling, functional and cell-based assays, flow-based assays (e.g. mass cytometry) and Multiplex Imaging applications.

Use our conjugation kits for antibody conjugates that are ready-to-use in as little as 20 minutes with 1 minute hands-on-time and 100% antibody recovery: available for fluorescent dyes, HRP, biotin and gold.

Compatibility
This product is compatible with the Maxpar® Antibody Labeling Kit from Fluidigm, without the need for antibody preparation. Maxpar® is a trademark of Fluidigm Canada Inc.

Properties and storage information

Form
Liquid
Purification technique
Affinity purification Protein A
Storage buffer
pH: 7.2 - 7.4 Constituents: PBS
Shipped at conditions
Blue Ice
Appropriate short-term storage conditions
+4°C
Appropriate long-term storage conditions
+4°C
Storage information
Do Not Freeze

Product protocols

For this product, it's our understanding that no specific protocols are required. You can visit:

Target data

The alpha subunit has cell adhesive properties. Can act both as an adhesion and an anti-adhesion protein. May provide a protective layer on epithelial cells against bacterial and enzyme attack.. The beta subunit contains a C-terminal domain which is involved in cell signaling, through phosphorylations and protein-protein interactions. Modulates signaling in ERK, SRC and NF-kappa-B pathways. In activated T-cells, influences directly or indirectly the Ras/MAPK pathway. Promotes tumor progression. Regulates TP53-mediated transcription and determines cell fate in the genotoxic stress response. Binds, together with KLF4, the PE21 promoter element of TP53 and represses TP53 activity.
See full target information MUC1

Publications (1)

Recent publications for all applications. Explore the full list and refine your search

Nature 590:344-350 PubMed33505024

2021

Integrated spatial genomics reveals global architecture of single nuclei.

Applications

Unspecified application

Species

Unspecified reactive species

Yodai Takei,Jina Yun,Shiwei Zheng,Noah Ollikainen,Nico Pierson,Jonathan White,Sheel Shah,Julian Thomassie,Shengbao Suo,Chee-Huat Linus Eng,Mitchell Guttman,Guo-Cheng Yuan,Long Cai
View all publications

Product promise

We are committed to supporting your work with high-quality reagents, and we're here for you every step of the way. In the unlikely event that one of our products does not perform as expected, you're protected by our Product Promise.
For full details, please see our Terms & Conditions

Please note: All products are 'FOR RESEARCH USE ONLY. NOT FOR USE IN DIAGNOSTIC OR THERAPEUTIC PROCEDURES'.

For licensing inquiries, please contact partnerships@abcam.com