JavaScript is disabled in your browser. Please enable JavaScript to view this website.
AB134282

Anti-MUC1 antibody [GP1.4]

Be the first to review this product! Submit a review

|

(1 Publication)

Mouse Monoclonal MUC1 antibody. Suitable for IHC-P and reacts with Human samples. Cited in 1 publication. Immunogen corresponding to Tissue preparation containing MUC1 protein.

View Alternative Names

CD227, PUM, MUC1, Mucin-1, MUC-1, Breast carcinoma-associated antigen DF3, Cancer antigen 15-3, Carcinoma-associated mucin, Episialin, H23AG, Krebs von den Lungen-6, PEMT, Peanut-reactive urinary mucin, Polymorphic epithelial mucin, Tumor-associated epithelial membrane antigen, Tumor-associated mucin, CA 15-3, KL-6, PEM, EMA

1 Images
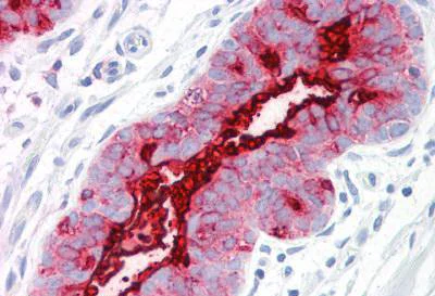
Immunohistochemistry (Formalin/PFA-fixed paraffin-embedded sections) - Anti-MUC1 antibody [GP1.4] (AB134282)
  • IHC-P

Unknown

Immunohistochemistry (Formalin/PFA-fixed paraffin-embedded sections) - Anti-MUC1 antibody [GP1.4] (AB134282)

Immunohistochemical analysis of formalin-fixed, paraffin-embedded Human breast tissue labelling MUC1 with ab134282 at 10μg/ml. Primary incubation was followed by biotinylated horse anti-goat IgG secondary antibody, alkaline phosphatase-streptavidin and chromogen.

Key facts

Host species

Mouse

Clonality

Monoclonal

Clone number

GP1.4

Isotype

IgG1

Carrier free

No

Reacts with

Human

Applications

IHC-P

applications

Immunogen

Tissue preparation containing MUC1 protein. The exact immunogen used to generate this antibody is proprietary information.

P15941

Specificity

ab134282 reacts with all glycoforms of MUC1.

Reactivity data

{ "title": "Reactivity Data", "filters": { "stats": ["", "Species", "Dilution Info", "Notes"], "tabs": { "all-applications": {"fullname" : "All Applications", "shortname": "All Applications"}, "IHCP" : {"fullname" : "Immunohistochemistry (Formalin/PFA-fixed paraffin-embedded sections)", "shortname":"IHC-P"} }, "product-promise": { "all": "all", "testedAndGuaranteed": "tested", "guaranteed": "expected", "predicted": "predicted", "notRecommended": "not-recommended" } }, "values": { "Human": { "IHCP-species-checked": "testedAndGuaranteed", "IHCP-species-dilution-info": "10 µg/mL", "IHCP-species-notes": "<p></p> Perform heat-mediated antigen retrieval with citrate buffer pH 6 before commencing with IHC staining protocol." } } }

Properties and storage information

Form
Liquid
Purification technique
Affinity purification Protein G
Storage buffer
Preservative: 0.09% Sodium azide Constituents: PBS
Shipped at conditions
Blue Ice
Appropriate short-term storage duration
1-2 weeks
Appropriate short-term storage conditions
+4°C
Appropriate long-term storage conditions
-20°C
Aliquoting information
Upon delivery aliquot

Product protocols

For this product, it's our understanding that no specific protocols are required. You can visit:

Target data

The alpha subunit has cell adhesive properties. Can act both as an adhesion and an anti-adhesion protein. May provide a protective layer on epithelial cells against bacterial and enzyme attack.. The beta subunit contains a C-terminal domain which is involved in cell signaling, through phosphorylations and protein-protein interactions. Modulates signaling in ERK, SRC and NF-kappa-B pathways. In activated T-cells, influences directly or indirectly the Ras/MAPK pathway. Promotes tumor progression. Regulates TP53-mediated transcription and determines cell fate in the genotoxic stress response. Binds, together with KLF4, the PE21 promoter element of TP53 and represses TP53 activity.
See full target information MUC1

Publications (1)

Recent publications for all applications. Explore the full list and refine your search

Biochemistry and biophysics reports 24:100811 PubMed33102812

2020

Cyclosporine protects from intestinal epithelial injury by modulating butyrate uptake via upregulation of membrane monocarboxylate transporter 1 levels.

Applications

Unspecified application

Species

Unspecified reactive species

Shinji Ota,Hirotake Sakuraba,Hiroto Hiraga,Shukuko Yoshida,Miwa Satake,Yui Akemoto,Nahoko Tanaka,Rina Watanabe,Maeda Takato,Yasuhisa Murai,Kayo Ueno,Takenori Niioka,Makoto Hayakari,Yoh Ishiguro,Shinsaku Fukuda
View all publications

Product promise

We are committed to supporting your work with high-quality reagents, and we're here for you every step of the way. In the unlikely event that one of our products does not perform as expected, you're protected by our Product Promise.
For full details, please see our Terms & Conditions

Please note: All products are 'FOR RESEARCH USE ONLY. NOT FOR USE IN DIAGNOSTIC OR THERAPEUTIC PROCEDURES'.

For licensing inquiries, please contact partnerships@abcam.com