JavaScript is disabled in your browser. Please enable JavaScript to view this website.
AB230298

Anti-MUC1 antibody [HMFG1 (aka 1.10.F3)] - BSA and Azide free

Be the first to review this product! Submit a review

|

(0 Publication)

Mouse Recombinant Monoclonal MUC1 antibody. Carrier free. Suitable for Flow Cyt, IHC-P, ICC/IF and reacts with Human samples.

View Alternative Names

CD227, PUM, MUC1, Mucin-1, MUC-1, Breast carcinoma-associated antigen DF3, Cancer antigen 15-3, Carcinoma-associated mucin, Episialin, H23AG, Krebs von den Lungen-6, PEMT, Peanut-reactive urinary mucin, Polymorphic epithelial mucin, Tumor-associated epithelial membrane antigen, Tumor-associated mucin, CA 15-3, KL-6, PEM, EMA

4 Images
Immunohistochemistry (Formalin/PFA-fixed paraffin-embedded sections) - Anti-MUC1 antibody [HMFG1 (aka 1.10.F3)] - BSA and Azide free (AB230298)
  • IHC-P

Supplier Data

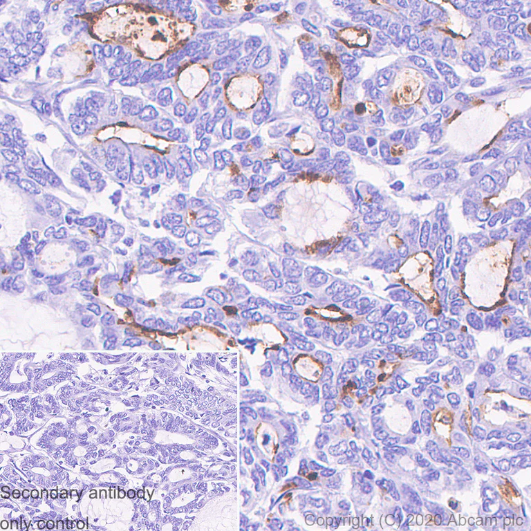
Immunohistochemistry (Formalin/PFA-fixed paraffin-embedded sections) - Anti-MUC1 antibody [HMFG1 (aka 1.10.F3)] - BSA and Azide free (AB230298)

This data was developed using the same antibody clone in a different buffer formulation containing PBS and sodium azide (ab70475). Immunohistochemical analysis of paraffin-embedded Human endometrium carcinoma tissues labeling MUC1 with ab70475 at 1/5000 dilution followed by LeicaDS9800 (Bond™ Polymer Refine Detection). The section was incubated with ab70475 for 30 mins at room temperature and followed by mouse IgG antibody (ab125913, 1 : 1000) for 8 mins. The immunostaining was performed on a Leica Biosystems BOND® RX instrument. Counterstained with hematoxylin.

Immunohistochemistry (Formalin/PFA-fixed paraffin-embedded sections) - Anti-MUC1 antibody [HMFG1 (aka 1.10.F3)] - BSA and Azide free (AB230298)
  • IHC-P

Supplier Data

Immunohistochemistry (Formalin/PFA-fixed paraffin-embedded sections) - Anti-MUC1 antibody [HMFG1 (aka 1.10.F3)] - BSA and Azide free (AB230298)

This data was developed using the same antibody clone in a different buffer formulation containing PBS and sodium azide (ab70475). Immunohistochemical analysis of paraffin-embedded Human endometrium tissues labeling MUC1 with ab70475 at 1/5000 dilution followed by LeicaDS9800 (Bond™ Polymer Refine Detection). The section was incubated with ab70475 for 30 mins at room temperature and followed by mouse IgG antibody (ab125913, 1 : 1000) for 8 mins. The immunostaining was performed on a Leica Biosystems BOND® RX instrument. Counterstained with hematoxylin.

Flow Cytometry - Anti-MUC1 antibody [HMFG1 (aka 1.10.F3)] - BSA and Azide free (AB230298)
  • Flow Cyt

Supplier Data

Flow Cytometry - Anti-MUC1 antibody [HMFG1 (aka 1.10.F3)] - BSA and Azide free (AB230298)

This data was developed using the same antibody clone in a different buffer formulation containing PBS and sodium azide (ab70475). Flow Cytometry analysis of HCT 116 (Human colorectal carcinoma epithelial cell, Left) / MCF7 ( Human breast adenocarcinoma epithelial cell, Right) cells stained for MUC1 using ab70475 at a 1/1000 dilution (0.1 μg) (Red) compared to Mouse monoclonal IgG - Isotype Control (Black) and cells without incubation with primary antibody and secondary antibody (Blue). Negative control; HCT 116. (PMID : 14998492)

Immunocytochemistry/ Immunofluorescence - Anti-MUC1 antibody [HMFG1 (aka 1.10.F3)] - BSA and Azide free (AB230298)
  • ICC/IF

Supplier Data

Immunocytochemistry/ Immunofluorescence - Anti-MUC1 antibody [HMFG1 (aka 1.10.F3)] - BSA and Azide free (AB230298)

This data was developed using the same antibody clone in a different buffer formulation containing PBS and sodium azide (ab70475). MCF7/ HCT 116 cells were fixed in 4% PFA and permeabilized with 0.1% Triton X-100. Primary antibody, ab70475 at 1 : 100 was incubated overnight at 4° C, followed by AlexaFluor® 488-conjugated Goat anti-Mouse secondary antibody (ab150113) at 1/1000 dilution at RT for 45 min. ab179513 Anti-beta Tubulin, used as a counterstain at 1/200 dilution, was co-incubated with ab9509 overnight at 4° C, followed by Alexa Fluor® 594 Goat Anti-Rabbit secondary (ab150080) at 1/1000 dilution at RT for 45 min. Nucleus were visualized using DAPI. Confocal image showing membranous and cytoplasmic staining in MCF7 cells. Negative control : HCT 116 (PMID : 14998492)

  • Unconjugated

    Anti-MUC1 antibody [HMFG1 (aka 1.10.F3)]

  • 665 Alexa Fluor® 647

    Alexa Fluor® 647 Anti-MUC1 antibody [HMFG1 (aka 1.10.F3)]

  • HRP

    HRP Anti-MUC1 antibody [HMFG1 (aka 1.10.F3)]

  • 519 Alexa Fluor® 488

    Alexa Fluor® 488 Anti-MUC1 antibody [HMFG1 (aka 1.10.F3)]

  • 578 PE

    PE Anti-MUC1 antibody [HMFG1 (aka 1.10.F3)]

Key facts

Host species

Mouse

Clonality

Monoclonal

Clone number

HMFG1 (aka 1.10.F3)

Isotype

IgG1

Carrier free

Yes

Reacts with

Human

Applications

ICC/IF, IHC-P, Flow Cyt

applications

Immunogen

The exact immunogen used to generate this antibody is proprietary information.

Epitope

This antibody recognizes a peptide epitope (PDTR) within the VNTR region of the extracellular domain of MUC1 (PubMed ID: PMC3021526).

Reactivity data

{ "title": "Reactivity Data", "filters": { "stats": ["", "Species", "Dilution Info", "Notes"], "tabs": { "all-applications": {"fullname" : "All Applications", "shortname": "All Applications"}, "FlowCyt" : {"fullname" : "Flow Cytometry", "shortname":"Flow Cyt"}, "IHCP" : {"fullname" : "Immunohistochemistry (Formalin/PFA-fixed paraffin-embedded sections)", "shortname":"IHC-P"}, "ICCIF" : {"fullname" : "Immunocytochemistry/ Immunofluorescence", "shortname":"ICC/IF"} }, "product-promise": { "all": "all", "testedAndGuaranteed": "tested", "guaranteed": "expected", "predicted": "predicted", "notRecommended": "not-recommended" } }, "values": { "Human": { "FlowCyt-species-checked": "testedAndGuaranteed", "FlowCyt-species-dilution-info": "1/1000", "FlowCyt-species-notes": "<p></p>", "IHCP-species-checked": "testedAndGuaranteed", "IHCP-species-dilution-info": "1/5000", "IHCP-species-notes": "<p></p>", "ICCIF-species-checked": "testedAndGuaranteed", "ICCIF-species-dilution-info": "1/100", "ICCIF-species-notes": "<p></p>" }, "Mouse": { "FlowCyt-species-checked": "notRecommended", "FlowCyt-species-dilution-info": "", "FlowCyt-species-notes": "", "IHCP-species-checked": "notRecommended", "IHCP-species-dilution-info": "1/5000", "IHCP-species-notes": "<p></p>", "ICCIF-species-checked": "notRecommended", "ICCIF-species-dilution-info": "", "ICCIF-species-notes": "" }, "Rat": { "FlowCyt-species-checked": "notRecommended", "FlowCyt-species-dilution-info": "", "FlowCyt-species-notes": "", "IHCP-species-checked": "notRecommended", "IHCP-species-dilution-info": "1/5000", "IHCP-species-notes": "<p></p>", "ICCIF-species-checked": "notRecommended", "ICCIF-species-dilution-info": "", "ICCIF-species-notes": "" } } }

Product details

Properties and storage information

Form
Liquid
Purification technique
Affinity purification Protein A
Storage buffer
pH: 7.2 - 7.4 Constituents: 100% PBS
Shipped at conditions
Blue Ice
Appropriate short-term storage duration
1-2 weeks
Appropriate short-term storage conditions
+4°C
Appropriate long-term storage conditions
+4°C
Aliquoting information
Upon delivery aliquot
Storage information
Do Not Freeze

Product protocols

For this product, it's our understanding that no specific protocols are required. You can visit:

Target data

The alpha subunit has cell adhesive properties. Can act both as an adhesion and an anti-adhesion protein. May provide a protective layer on epithelial cells against bacterial and enzyme attack.. The beta subunit contains a C-terminal domain which is involved in cell signaling, through phosphorylations and protein-protein interactions. Modulates signaling in ERK, SRC and NF-kappa-B pathways. In activated T-cells, influences directly or indirectly the Ras/MAPK pathway. Promotes tumor progression. Regulates TP53-mediated transcription and determines cell fate in the genotoxic stress response. Binds, together with KLF4, the PE21 promoter element of TP53 and represses TP53 activity.
See full target information MUC1

Product promise

We are committed to supporting your work with high-quality reagents, and we're here for you every step of the way. In the unlikely event that one of our products does not perform as expected, you're protected by our Product Promise.
For full details, please see our Terms & Conditions

Associated Products

Select an associated product type
Alternative Product
Primary Antibodies

AB245693

Anti-MUC1 antibody [HMFG2]

primary-antibodies

muc1-antibody-hmfg2-ab245693

0

(0 reviews)

Alternative Product
Primary Antibodies

AB109185

Anti-MUC1 antibody [EPR1023]

primary-antibodies

muc1-antibody-epr1023-ab109185

0

(1 reviews)

Alternative Product
Primary Antibodies

AB45167

Anti-MUC1 antibody [EP1024Y]

primary-antibodies

muc1-antibody-ep1024y-ab45167

3

(4 reviews)

Alternative Product
Primary Antibodies

AB194978

Anti-MUC1 antibody [EPR1023] - Low endotoxin, Azide free

primary-antibodies

muc1-antibody-epr1023-low-endotoxin-azide-free-ab194978

0

(0 reviews)

Alternative Product
Primary Antibodies

AB245695

Anti-MUC1 antibody [SM3]

primary-antibodies

muc1-antibody-sm3-ab245695

0

(0 reviews)

Alternative Product
Primary Antibodies

AB218998

Anti-MUC1 antibody [EP1024Y] - Low endotoxin, Azide free

primary-antibodies

muc1-antibody-ep1024y-low-endotoxin-azide-free-ab218998

0

(0 reviews)

Alternative Product
Primary Antibodies

AB256588

Anti-MUC1 antibody [EP1024Y] - BSA and Azide free

primary-antibodies

muc1-antibody-ep1024y-bsa-and-azide-free-ab256588

0

(0 reviews)

Please note: All products are 'FOR RESEARCH USE ONLY. NOT FOR USE IN DIAGNOSTIC OR THERAPEUTIC PROCEDURES'.

For licensing inquiries, please contact partnerships@abcam.com