JavaScript is disabled in your browser. Please enable JavaScript to view this website.
AB22711

Anti-MUC1 antibody [SM3]

4

(3 Reviews)

|

(10 Publications)

Mouse Monoclonal MUC1 antibody. Suitable for IHC-P, ICC/IF, Flow Cyt (Intra) and reacts with Human samples. Cited in 10 publications.

View Alternative Names

CD227, PUM, MUC1, Mucin-1, MUC-1, Breast carcinoma-associated antigen DF3, Cancer antigen 15-3, Carcinoma-associated mucin, Episialin, H23AG, Krebs von den Lungen-6, PEMT, Peanut-reactive urinary mucin, Polymorphic epithelial mucin, Tumor-associated epithelial membrane antigen, Tumor-associated mucin, CA 15-3, KL-6, PEM, EMA

4 Images
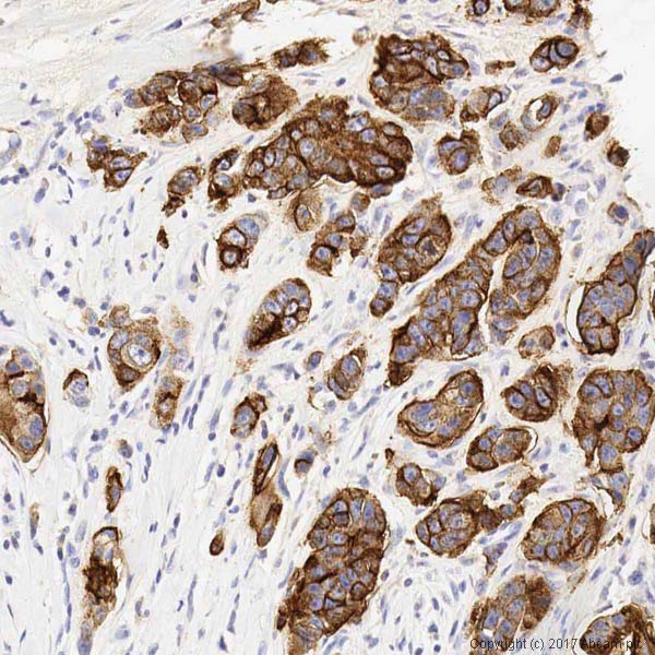
Immunohistochemistry (Formalin/PFA-fixed paraffin-embedded sections) - Anti-MUC1 antibody [SM3] (AB22711)
  • IHC-P

Lab

Immunohistochemistry (Formalin/PFA-fixed paraffin-embedded sections) - Anti-MUC1 antibody [SM3] (AB22711)

IHC image of MUC1 staining in a formalin fixed, paraffin embedded human breast carcinoma tissue section*, performed on a Leica Bond™ system using the standard protocol F. The section was pre-treated using heat mediated antigen retrieval with sodium citrate buffer (pH6, epitope retrieval solution 1) for 20 mins. The section was then incubated with ab22711, 10 μg/ml, for 15 mins at room temperature and detected using an HRP conjugated compact polymer system. DAB was used as the chromogen. The section was then counterstained with haematoxylin and mounted with DPX.

For other IHC staining systems (automated and non-automated) customers should optimize variable parameters such as antigen retrieval conditions, primary antibody concentration and antibody incubation times.

*Tissue obtained from the Human Research Tissue Bank, supported by the NIHR Cambridge Biomedical Research Centre

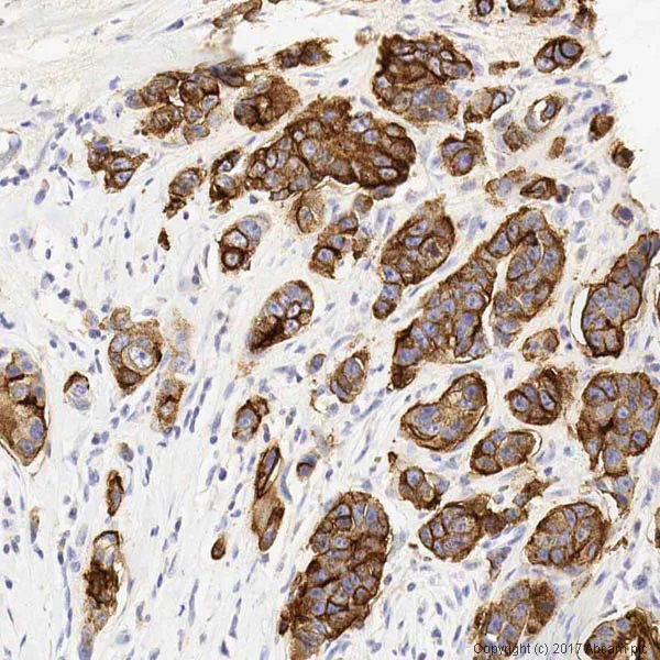
Immunohistochemistry (Formalin/PFA-fixed paraffin-embedded sections) - Anti-MUC1 antibody [SM3] (AB22711)
  • IHC-P

AbReview20649****

Immunohistochemistry (Formalin/PFA-fixed paraffin-embedded sections) - Anti-MUC1 antibody [SM3] (AB22711)

ab22711 staining MUC1 in human breast carcinoma tissue sections by Immunohistochemistry (Formalin/PFA-fixed paraffin-embedded sections). Tissue was fixed with formaldehyde and a heat mediated antigen retrieval step was performed using 10mM citrate buffer. The primary antibody was used undiluted for 18 hours at 4°C. An undiluted HRP-conjugated goat anti-mouse IgG polyclonal was used as secondary antibody.

Image courtesy of an anonymous Abreview.

Immunocytochemistry/ Immunofluorescence - Anti-MUC1 antibody [SM3] (AB22711)
  • ICC/IF

Lab

Immunocytochemistry/ Immunofluorescence - Anti-MUC1 antibody [SM3] (AB22711)

ab22711 staining MUC1 in MCF7 cells. The cells were fixed with 100% methanol (5 min), permeabilized with 0.1% PBS-Tween for 5 minutes and then blocked with 1% BSA/10% normal goat serum/0.3M glycine in 0.1%PBS-Tween for 1h. The cells were then incubated overnight at 4°C with ab22711 at 1µg/ml and ab6046, Rabbit polyclonal to beta Tubulin - Loading Control. Cells were then incubated with ab150117, Goat polyclonal Secondary Antibody to Mouse IgG H&L (Alexa Fluor® 488) preadsorbed at 1/1000 dilution (shown in green) and ab150080, Goat polyclonal Secondary Antibody to Rabbit IgG - H&L (Alexa Fluor® 594) at 1/1000 dilution (shown in pseudocolour red). Nuclear DNA was labelled with DAPI (shown in blue).

Image was acquired with a confocal microscope (Leica-Microsystems TCS SP8) and a single confocal section is shown.

Flow Cytometry (Intracellular) - Anti-MUC1 antibody [SM3] (AB22711)
  • Flow Cyt (Intra)

Lab

Flow Cytometry (Intracellular) - Anti-MUC1 antibody [SM3] (AB22711)

Overlay histogram showing MCF7 cells stained with ab22711 (red line). The cells were fixed with 4% formaldehyde (10 min) and then permeabilized with 0.1% PBS-Triton X-100 for 15 min. The cells were then incubated in 1x PBS / 10% normal goat serum to block non-specific protein-protein interactions followed by the antibody (ab22711, 1μg/1x106 cells) for 30 min at 22°C. The secondary antibody used was Alexa Fluor® 488 goat anti-mouse IgG (H&L) (ab150117) at 1/2000 dilution for 30 min at 22°C.

Isotype control antibody (black line) was mouse IgG1 [ICIGG1] (ab170190, 1μg/1x106 cells) used under the same conditions. Acquisition of >5,000 events was performed.

This antibody gave a positive signal in MCF7 cells fixed with 80% methanol (5 min)/permeabilized with 0.1% PBS-Triton X-100 for 15 min used under the same conditions.

  • Carrier free

    Anti-MUC1 antibody [SM3] - BSA and Azide free

Key facts

Host species

Mouse

Clonality

Monoclonal

Clone number

SM3

Isotype

IgG1

Carrier free

No

Reacts with

Human

Applications

Flow Cyt (Intra), ICC/IF, IHC-P

applications

Immunogen

The exact immunogen used to generate this antibody is proprietary information.

Reactivity data

{ "title": "Reactivity Data", "filters": { "stats": ["", "Species", "Dilution Info", "Notes"], "tabs": { "all-applications": {"fullname" : "All Applications", "shortname": "All Applications"}, "WB" : {"fullname" : "Western blot", "shortname":"WB"}, "IHCP" : {"fullname" : "Immunohistochemistry (Formalin/PFA-fixed paraffin-embedded sections)", "shortname":"IHC-P"}, "ICCIF" : {"fullname" : "Immunocytochemistry/ Immunofluorescence", "shortname":"ICC/IF"}, "FlowCytIntra" : {"fullname" : "Flow Cytometry (Intracellular)", "shortname":"Flow Cyt (Intra)"} }, "product-promise": { "all": "all", "testedAndGuaranteed": "tested", "guaranteed": "expected", "predicted": "predicted", "notRecommended": "not-recommended" } }, "values": { "Human": { "WB-species-checked": "notRecommended", "WB-species-dilution-info": "", "WB-species-notes": "<p></p>", "IHCP-species-checked": "testedAndGuaranteed", "IHCP-species-dilution-info": "5-10 µg/mL", "IHCP-species-notes": "<p></p> Perform heat-mediated antigen retrieval with citrate buffer pH 6 before commencing with IHC staining protocol.", "ICCIF-species-checked": "testedAndGuaranteed", "ICCIF-species-dilution-info": "1 µg/mL", "ICCIF-species-notes": "<p></p>", "FlowCytIntra-species-checked": "testedAndGuaranteed", "FlowCytIntra-species-dilution-info": "1 µg for 10^5 Cells", "FlowCytIntra-species-notes": "<p></p>" }, "Mouse": { "WB-species-checked": "notRecommended", "WB-species-dilution-info": "", "WB-species-notes": "", "IHCP-species-checked": "notRecommended", "IHCP-species-dilution-info": "5-10 µg/mL", "IHCP-species-notes": "<p></p> Perform heat-mediated antigen retrieval with citrate buffer pH 6 before commencing with IHC staining protocol.", "ICCIF-species-checked": "notRecommended", "ICCIF-species-dilution-info": "", "ICCIF-species-notes": "", "FlowCytIntra-species-checked": "notRecommended", "FlowCytIntra-species-dilution-info": "", "FlowCytIntra-species-notes": "" }, "Rat": { "WB-species-checked": "notRecommended", "WB-species-dilution-info": "", "WB-species-notes": "", "IHCP-species-checked": "notRecommended", "IHCP-species-dilution-info": "5-10 µg/mL", "IHCP-species-notes": "<p></p> Perform heat-mediated antigen retrieval with citrate buffer pH 6 before commencing with IHC staining protocol.", "ICCIF-species-checked": "notRecommended", "ICCIF-species-dilution-info": "", "ICCIF-species-notes": "", "FlowCytIntra-species-checked": "notRecommended", "FlowCytIntra-species-dilution-info": "", "FlowCytIntra-species-notes": "" } } }

Product details

Want a custom formulation?
This antibody clone is manufactured by Abcam. If you require a custom buffer formulation or conjugation for your experiments, please contact orders@abcam.com

Properties and storage information

Form
Liquid
Purification technique
Affinity purification
Storage buffer
pH: 7.4 Preservative: 0.02% Sodium azide Constituents: PBS
Shipped at conditions
Blue Ice
Appropriate short-term storage duration
1-2 weeks
Appropriate short-term storage conditions
+4°C
Appropriate long-term storage conditions
-20°C
Aliquoting information
Upon delivery aliquot
Storage information
Avoid freeze / thaw cycle

Product protocols

For this product, it's our understanding that no specific protocols are required. You can visit:

Target data

The alpha subunit has cell adhesive properties. Can act both as an adhesion and an anti-adhesion protein. May provide a protective layer on epithelial cells against bacterial and enzyme attack.. The beta subunit contains a C-terminal domain which is involved in cell signaling, through phosphorylations and protein-protein interactions. Modulates signaling in ERK, SRC and NF-kappa-B pathways. In activated T-cells, influences directly or indirectly the Ras/MAPK pathway. Promotes tumor progression. Regulates TP53-mediated transcription and determines cell fate in the genotoxic stress response. Binds, together with KLF4, the PE21 promoter element of TP53 and represses TP53 activity.
See full target information MUC1

Publications (10)

Recent publications for all applications. Explore the full list and refine your search

JACS Au 5:2270-2284 PubMed40443897

2025

Enhancing Cancer Vaccine Efficacy: Backbone Modification with β‑Amino Acids Alters the Stability and Immunogenicity of MUC1-Derived Glycopeptide Formulations.

Applications

Unspecified application

Species

Unspecified reactive species

Ruslan Gibadullin,Óscar Suárez,Foivos S Lazaris,Naiara Gutiez,Estibaliz Atondo,Sarai Araujo-Aris,Ander Eguskiza,Jiani Niu,Ariel J Kuhn,Ana S Grosso,Héctor Rodriguez,Fayna García-Martín,Filipa Marcelo,Tanausú Santos,Alberto Avenoza,Jesús H Busto,Jesús M Peregrina,Samuel H Gellman,Juan Anguita,Roberto Fiammengo,Francisco Corzana

Frontiers in immunology 15:1337557 PubMed38390321

2024

Efficacy of MUC1-targeted CAR-NK cells against human tongue squamous cell carcinoma.

Applications

Unspecified application

Species

Unspecified reactive species

Xiaolan Lin,Tian Guan,Yun Li,Yanchun Lin,Guowei Huang,Yan Lin,Pingnan Sun,Congzhu Li,Jiang Gu,Haoyu Zeng,Changchun Ma

Analytical methods : advancing methods and applications 13:1191-1203 PubMed33605950

2021

Nonspecific nuclear uptake of anti-MUC1 aptamers by dead cells: the role of cell viability monitoring in aptamer targeting of membrane-bound protein cancer biomarkers.

Applications

Unspecified application

Species

Unspecified reactive species

Shane Patrick Flanagan,Ronen Fogel,Adrienne Lesley Edkins,Lance St John Ho,Janice Limson

OncoTargets and therapy 13:10901-10916 PubMed33149607

2020

Integrated RNA Sequencing and Single-Cell Mass Cytometry Reveal a Novel Role of LncRNA HOXA-AS2 in Tumorigenesis and Stemness of Hepatocellular Carcinoma.

Applications

Unspecified application

Species

Unspecified reactive species

Qinchen Lu,Jiamin Gao,Shaomei Tang,Zhijian Li,Xi Wang,Caiwang Deng,Jiaxin Hu,Yuting Tao,Qiuyan Wang

Journal of clinical laboratory analysis 34:e23155 PubMed31855296

2019

High-dimensional single-cell proteomics analysis reveals the landscape of immune cells and stem-like cells in renal tumors.

Applications

Unspecified application

Species

Unspecified reactive species

Zhijian Li,Jiaxin Hu,Zhao Qin,Yuting Tao,Zhiyong Lai,Qiuyan Wang,Tianyu Li

Oncotarget 6:34537-48 PubMed26417929

2015

Cytotoxic T cell responses are enhanced by antigen design involving the presentation of MUC1 peptide on cholera toxin B subunit.

Applications

Unspecified application

Species

Unspecified reactive species

Wuguang Lu,Lingchong Qiu,Zhanpeng Yan,Zhibing Lin,Meng Cao,Chunping Hu,Zhigang Wang,Jin Wang,Ye Yu,Xiaoyang Cheng,Peng Cao,Rongxiu Li

Cellular and molecular bioengineering 6:148-159 PubMed23805168

2013

Targeting Underglycosylated MUC1 for the Selective Capture of Highly Metastatic Breast Cancer Cells Under Flow.

Applications

ICC/IF, Flow Cyt

Species

Human, Human

Yue Geng,Tait Takatani,Kimberly Yeh,Jong-Wei Hsu,Michael R King

The European respiratory journal 38:1117-26 PubMed21540305

2011

Recognition of pleural mesothelioma by mucin-1(950-958)/human leukocyte antigen A*0201-specific CD8+ T-cells.

Applications

Unspecified application

Species

Unspecified reactive species

D Roulois,V Vignard,F Gueugnon,N Labarrière,M Grégoire,J-F Fonteneau

Annals of surgery 251:937-45 PubMed20395854

2010

Glycosylation variants of mucins and CEACAMs as candidate biomarkers for the diagnosis of pancreatic cystic neoplasms.

Applications

Unspecified application

Species

Unspecified reactive species

Brian B Haab,Andrew Porter,Tingting Yue,Lin Li,James Scheiman,Michelle A Anderson,Dawn Barnes,C Max Schmidt,Ziding Feng,Diane M Simeone

Molecular & cellular proteomics : MCP 8:1697-707 PubMed19377061

2009

The prevalence and nature of glycan alterations on specific proteins in pancreatic cancer patients revealed using antibody-lectin sandwich arrays.

Applications

ELISA

Species

Unspecified reactive species

Tingting Yue,Irwin J Goldstein,Michael A Hollingsworth,Karen Kaul,Randall E Brand,Brian B Haab
View all publications

Product promise

We are committed to supporting your work with high-quality reagents, and we're here for you every step of the way. In the unlikely event that one of our products does not perform as expected, you're protected by our Product Promise.
For full details, please see our Terms & Conditions

Please note: All products are 'FOR RESEARCH USE ONLY. NOT FOR USE IN DIAGNOSTIC OR THERAPEUTIC PROCEDURES'.

For licensing inquiries, please contact partnerships@abcam.com