JavaScript is disabled in your browser. Please enable JavaScript to view this website.
AB230294

Anti-MUC1 antibody [SM3] - BSA and Azide free

Be the first to review this product! Submit a review

|

(1 Publication)

Mouse Recombinant Monoclonal MUC1 antibody. Carrier free. Suitable for IHC-P, ICC/IF, Flow Cyt (Intra) and reacts with Human samples. Cited in 1 publication.

View Alternative Names

CD227, PUM, MUC1, Mucin-1, MUC-1, Breast carcinoma-associated antigen DF3, Cancer antigen 15-3, Carcinoma-associated mucin, Episialin, H23AG, Krebs von den Lungen-6, PEMT, Peanut-reactive urinary mucin, Polymorphic epithelial mucin, Tumor-associated epithelial membrane antigen, Tumor-associated mucin, CA 15-3, KL-6, PEM, EMA

3 Images
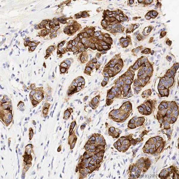
Immunohistochemistry (Formalin/PFA-fixed paraffin-embedded sections) - Anti-MUC1 antibody [SM3] - BSA and Azide free (AB230294)
  • IHC-P

Lab

Immunohistochemistry (Formalin/PFA-fixed paraffin-embedded sections) - Anti-MUC1 antibody [SM3] - BSA and Azide free (AB230294)

IHC image of MUC1 staining in a formalin fixed, paraffin embedded human breast carcinoma tissue section*, performed on a Leica Bond™ system using the standard protocol F. The section was pre-treated using heat mediated antigen retrieval with sodium citrate buffer (pH6, epitope retrieval solution 1) for 20 mins. The section was then incubated with ab22711, 10 μg/ml, for 15 mins at room temperature and detected using an HRP conjugated compact polymer system. DAB was used as the chromogen. The section was then counterstained with hematoxylin and mounted with DPX.

This data was developed using the same antibody clone in a different formulation containing PBS and azide (ab22711).

Immunocytochemistry/ Immunofluorescence - Anti-MUC1 antibody [SM3] - BSA and Azide free (AB230294)
  • ICC/IF

Lab

Immunocytochemistry/ Immunofluorescence - Anti-MUC1 antibody [SM3] - BSA and Azide free (AB230294)

This data was developed using the same antibody clone in a different buffer formulation containing PBS and sodium azide (ab22711).

ab22711 staining MUC1 in MCF7 cells. The cells were fixed with 100% methanol (5 min), permeabilized with 0.1% PBS-Tween for 5 minutes and then blocked with 1% BSA/10% normal goat serum/0.3M glycine in 0.1%PBS-Tween for 1h. The cells were then incubated overnight at 4°C with ab230294 at 1µg/ml and ab6046, Rabbit polyclonal to beta Tubulin - Loading Control. Cells were then incubated with ab150117, Goat polyclonal Secondary Antibody to Mouse IgG H&L (Alexa Fluor® 488) preadsorbed at 1/1000 dilution (shown in green) and ab150080, Goat polyclonal Secondary Antibody to Rabbit IgG - H&L (Alexa Fluor® 594) at 1/1000 dilution (shown in pseudocolour red). Nuclear DNA was labelled with DAPI (shown in blue).

Image was acquired with a confocal microscope (Leica-Microsystems TCS SP8) and a single confocal section is shown.

Flow Cytometry (Intracellular) - Anti-MUC1 antibody [SM3] - BSA and Azide free (AB230294)
  • Flow Cyt (Intra)

Lab

Flow Cytometry (Intracellular) - Anti-MUC1 antibody [SM3] - BSA and Azide free (AB230294)

Overlay histogram showing MCF7 cells stained with ab22711 (red line). The cells were fixed with 4% formaldehyde (10 min) and then permeabilized with 0.1% PBS-Triton X-100 for 15 min. The cells were then incubated in 1x PBS / 10% normal goat serum to block non-specific protein-protein interactions followed by the antibody (ab22711, 1μg/1x106 cells) for 30 min at 22°C. The secondary antibody used was Alexa Fluor® 488 goat anti-mouse IgG (H&L) (ab150117) at 1/2000 dilution for 30 min at 22°C.

Isotype control antibody (black line) was mouse IgG1 [ICIGG1] (ab170190, 1μg/1x106 cells) used under the same conditions. Acquisition of >5,000 events was performed.

This antibody gave a positive signal in MCF7 cells fixed with 80% methanol (5 min)/permeabilized with 0.1% PBS-Triton X-100 for 15 min used under the same conditions.

This data was developed using the same antibody clone in a different formulation containing PBS and azide (ab22711).

Key facts

Host species

Mouse

Clonality

Monoclonal

Clone number

SM3

Isotype

IgG1

Carrier free

Yes

Reacts with

Human

Applications

IHC-P, Flow Cyt (Intra), ICC/IF

applications

Immunogen

The exact immunogen used to generate this antibody is proprietary information.

Reactivity data

{ "title": "Reactivity Data", "filters": { "stats": ["", "Species", "Dilution Info", "Notes"], "tabs": { "all-applications": {"fullname" : "All Applications", "shortname": "All Applications"}, "IHCP" : {"fullname" : "Immunohistochemistry (Formalin/PFA-fixed paraffin-embedded sections)", "shortname":"IHC-P"}, "ICCIF" : {"fullname" : "Immunocytochemistry/ Immunofluorescence", "shortname":"ICC/IF"}, "FlowCytIntra" : {"fullname" : "Flow Cytometry (Intracellular)", "shortname":"Flow Cyt (Intra)"} }, "product-promise": { "all": "all", "testedAndGuaranteed": "tested", "guaranteed": "expected", "predicted": "predicted", "notRecommended": "not-recommended" } }, "values": { "Human": { "IHCP-species-checked": "testedAndGuaranteed", "IHCP-species-dilution-info": "5-10 µg/mL", "IHCP-species-notes": "<p></p>", "ICCIF-species-checked": "testedAndGuaranteed", "ICCIF-species-dilution-info": "", "ICCIF-species-notes": "<p></p>", "FlowCytIntra-species-checked": "testedAndGuaranteed", "FlowCytIntra-species-dilution-info": "1 µg for 10^5 Cells", "FlowCytIntra-species-notes": "<p>Requires cell permeabilization.</p><p><a href='/en-us/products/primary-antibodies/mouse-igg1-kappa-monoclonal-15-6e10a7-isotype-control-ab170190'>ab170190</a> - Mouse monoclonal IgG1, is suitable for use as an isotype control with this antibody.</p>" }, "Mouse": { "IHCP-species-checked": "notRecommended", "IHCP-species-dilution-info": "5-10 µg/mL", "IHCP-species-notes": "<p></p>", "ICCIF-species-checked": "notRecommended", "ICCIF-species-dilution-info": "", "ICCIF-species-notes": "", "FlowCytIntra-species-checked": "notRecommended", "FlowCytIntra-species-dilution-info": "", "FlowCytIntra-species-notes": "" }, "Rat": { "IHCP-species-checked": "notRecommended", "IHCP-species-dilution-info": "5-10 µg/mL", "IHCP-species-notes": "<p></p>", "ICCIF-species-checked": "notRecommended", "ICCIF-species-dilution-info": "", "ICCIF-species-notes": "", "FlowCytIntra-species-checked": "notRecommended", "FlowCytIntra-species-dilution-info": "", "FlowCytIntra-species-notes": "" } } }

Product details

ab230294 is the carrier-free version of ab22711.

Want a custom formulation?
This antibody clone is manufactured by Abcam. If you require a custom buffer formulation or conjugation for your experiments, please contact orders@abcam.com

Conjugation ready
Our carrier-free antibodies are typically supplied in a PBS-only formulation, purified and free of BSA, sodium azide and glycerol. This conjugation-ready format is designed for use with fluorochromes, metal isotopes, oligonucleotides, and enzymes, which makes them ideal for antibody labelling, functional and cell-based assays, flow-based assays (e.g. mass cytometry) and Multiplex Imaging applications.

Use our conjugation kits for antibody conjugates that are ready-to-use in as little as 20 minutes with 1 minute hands-on-time and 100% antibody recovery: available for fluorescent dyes, HRP, biotin and gold.

Compatibility
This product is compatible with the Maxpar® Antibody Labeling Kit from Fluidigm, without the need for antibody preparation. Maxpar® is a trademark of Fluidigm Canada Inc.

Properties and storage information

Form
Liquid
Purity
IgG fraction
Storage buffer
Constituents: PBS
Shipped at conditions
Blue Ice
Appropriate short-term storage conditions
+4°C
Appropriate long-term storage conditions
+4°C
Storage information
Do Not Freeze

Product protocols

For this product, it's our understanding that no specific protocols are required. You can visit:

Target data

The alpha subunit has cell adhesive properties. Can act both as an adhesion and an anti-adhesion protein. May provide a protective layer on epithelial cells against bacterial and enzyme attack.. The beta subunit contains a C-terminal domain which is involved in cell signaling, through phosphorylations and protein-protein interactions. Modulates signaling in ERK, SRC and NF-kappa-B pathways. In activated T-cells, influences directly or indirectly the Ras/MAPK pathway. Promotes tumor progression. Regulates TP53-mediated transcription and determines cell fate in the genotoxic stress response. Binds, together with KLF4, the PE21 promoter element of TP53 and represses TP53 activity.
See full target information MUC1

Publications (1)

Recent publications for all applications. Explore the full list and refine your search

BMC medical genomics 16:143 PubMed37344844

2023

A non-coding variant in the Kozak sequence of RARS2 strongly decreases protein levels and causes pontocerebellar hypoplasia.

Applications

Unspecified application

Species

Unspecified reactive species

Romain Nicolle,Nami Altin,Karine Siquier-Pernet,Sherlina Salignac,Pierre Blanc,Arnold Munnich,Christine Bole-Feysot,Valérie Malan,Barthélémy Caron,Patrick Nitschké,Isabelle Desguerre,Nathalie Boddaert,Marlène Rio,Antonio Rausell,Vincent Cantagrel
View all publications

Product promise

We are committed to supporting your work with high-quality reagents, and we're here for you every step of the way. In the unlikely event that one of our products does not perform as expected, you're protected by our Product Promise.
For full details, please see our Terms & Conditions

Please note: All products are 'FOR RESEARCH USE ONLY. NOT FOR USE IN DIAGNOSTIC OR THERAPEUTIC PROCEDURES'.

For licensing inquiries, please contact partnerships@abcam.com