JavaScript is disabled in your browser. Please enable JavaScript to view this website.
AB231158

Anti-MUC13 antibody [C18]

3

(1 Review)

|

(2 Publications)

Mouse Monoclonal MUC13 antibody. Suitable for IHC-P, ICC/IF and reacts with Human samples. Cited in 2 publications.

View Alternative Names

DRCC1, RECC, UNQ6194/PRO20221, MUC13, Mucin-13, MUC-13, Down-regulated in colon cancer 1

2 Images
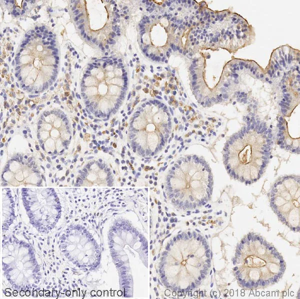
Immunohistochemistry (Formalin/PFA-fixed paraffin-embedded sections) - Anti-MUC13 antibody [C18] (AB231158)
  • IHC-P

Lab

Immunohistochemistry (Formalin/PFA-fixed paraffin-embedded sections) - Anti-MUC13 antibody [C18] (AB231158)

IHC image of MUC13 staining in a section of formalin-fixed paraffin-embedded normal human colon* performed on a Leica BONDTM system using the standard protocol F.

The section was pre-treated using heat mediated antigen retrieval with sodium citrate buffer (pH 6, epitope retrieval solution 1) for 20 mins. The section was then incubated with ab231158, 10 μg/ml, for 15 mins at room temperature and detected using an HRP conjugated compact polymer system. DAB was used as the chromogen. The section was then counterstained with hematoxylin and mounted with DPX.

The inset secondary-only control image is taken from an identical assay without primary antibody.

For other IHC staining systems (automated and non-automated) customers should optimize variable parameters such as antigen retrieval conditions, primary antibody concentration and antibody incubation times.

*Tissue obtained from the Human Research Tissue Bank, supported by the NIHR Cambridge Biomedical Research Centre

Immunocytochemistry/ Immunofluorescence - Anti-MUC13 antibody [C18] (AB231158)
  • ICC/IF

Lab

Immunocytochemistry/ Immunofluorescence - Anti-MUC13 antibody [C18] (AB231158)

ab231158 staining MUC13 in HT-29 (Human colorectal adenocarcinoma cell line) cells.

The cells were fixed with 100% methanol (5 min), permeabilized with 0.1%PBS-Triton X-100 for 5 minutes and then blocked with 1% BSA/10% normal goat serum/0.3M glycine in 0.1% PBS-Tween for 1h. The cells were then incubated overnight at +4°C with ab231158 at 5 μg/ml and ab6046, Rabbit polyclonal to beta Tubulin - Loading Control, at 1/1000 dilution. Cells were then incubated with ab150117, Goat Anti-Mouse IgG H&L (Alexa Fluor® 488) at 1/1000 dilution (shown in green) and ab150084, Goat polyclonal Secondary Antibody to Rabbit IgG - H&L (Alexa Fluor® 594) at 1/1000 dilution (shown in pseudocolor red).

Nuclear DNA was labeled with DAPI (shown in blue).

Image was taken with a confocal microscope (Leica-Microsystems, TCS SP8).

  • Carrier free

    Anti-MUC13 antibody [C18] - BSA and Azide free

Key facts

Host species

Mouse

Clonality

Monoclonal

Clone number

C18

Isotype

IgG1

Light chain type

kappa

Carrier free

No

Reacts with

Human

Applications

IHC-P, ICC/IF

applications

Immunogen

The exact immunogen used to generate this antibody is proprietary information.

Reactivity data

{ "title": "Reactivity Data", "filters": { "stats": ["", "Species", "Dilution Info", "Notes"], "tabs": { "all-applications": {"fullname" : "All Applications", "shortname": "All Applications"}, "IHCP" : {"fullname" : "Immunohistochemistry (Formalin/PFA-fixed paraffin-embedded sections)", "shortname":"IHC-P"}, "ICCIF" : {"fullname" : "Immunocytochemistry/ Immunofluorescence", "shortname":"ICC/IF"} }, "product-promise": { "all": "all", "testedAndGuaranteed": "tested", "guaranteed": "expected", "predicted": "predicted", "notRecommended": "not-recommended" } }, "values": { "Human": { "IHCP-species-checked": "testedAndGuaranteed", "IHCP-species-dilution-info": "10 µg/mL", "IHCP-species-notes": "<p></p> Perform heat-mediated antigen retrieval with citrate buffer pH 6 before commencing with IHC staining protocol.", "ICCIF-species-checked": "testedAndGuaranteed", "ICCIF-species-dilution-info": "5 µg/mL", "ICCIF-species-notes": "<p></p>" } } }

Product details

Want a custom formulation?
This antibody clone is manufactured by Abcam. If you require a custom buffer formulation or conjugation for your experiments, please contact orders@abcam.com

Properties and storage information

Form
Liquid
Purification technique
Affinity purification
Purification notes
Puriifed from TCS.
Storage buffer
Preservative: 0.02% Sodium azide Constituents: PBS
Shipped at conditions
Blue Ice
Appropriate short-term storage duration
1-2 weeks
Appropriate short-term storage conditions
+4°C
Appropriate long-term storage conditions
-20°C
Aliquoting information
Upon delivery aliquot
Storage information
Avoid freeze / thaw cycle

Product protocols

For this product, it's our understanding that no specific protocols are required. You can visit:

Target data

Epithelial and hemopoietic transmembrane mucin that may play a role in cell signaling.
See full target information MUC13

Publications (2)

Recent publications for all applications. Explore the full list and refine your search

iScience 25:105521 PubMed36425760

2022

Single-cell transcriptomic mapping of intestinal epithelium that undergoes 3D morphogenesis and mechanodynamic stimulation in a gut-on-a-chip.

Applications

Unspecified application

Species

Unspecified reactive species

Woojung Shin,Zhe Su,S Stephen Yi,Hyun Jung Kim

Journal of gastroenterology 49:1378-91 PubMed24097071

2013

Functions and regulation of MUC13 mucin in colon cancer cells.

Applications

IHC-P

Species

Human

Brij K Gupta,Diane M Maher,Mara C Ebeling,Phillip D Stephenson,Susan E Puumala,Michael R Koch,Hiroyuki Aburatani,Meena Jaggi,Subhash C Chauhan
View all publications

Product promise

We are committed to supporting your work with high-quality reagents, and we're here for you every step of the way. In the unlikely event that one of our products does not perform as expected, you're protected by our Product Promise.
For full details, please see our Terms & Conditions

Please note: All products are 'FOR RESEARCH USE ONLY. NOT FOR USE IN DIAGNOSTIC OR THERAPEUTIC PROCEDURES'.

For licensing inquiries, please contact partnerships@abcam.com