JavaScript is disabled in your browser. Please enable JavaScript to view this website.
AB269565

Anti-MUC13 antibody [C18] - BSA and Azide free

Be the first to review this product! Submit a review

|

(0 Publication)

Mouse Monoclonal MUC13 antibody. Carrier free. Suitable for IHC-P, ICC/IF and reacts with Human samples.

View Alternative Names

DRCC1, RECC, UNQ6194/PRO20221, MUC13, Mucin-13, MUC-13, Down-regulated in colon cancer 1

2 Images
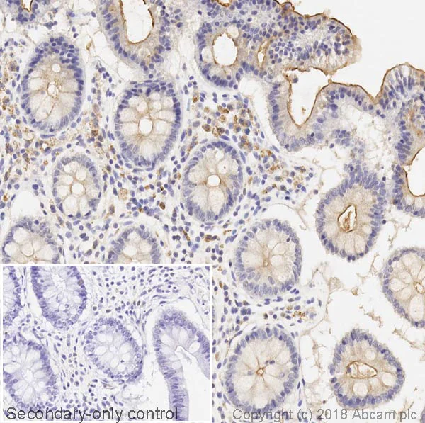
Immunohistochemistry (Formalin/PFA-fixed paraffin-embedded sections) - Anti-MUC13 antibody [C18] - BSA and Azide free (AB269565)
  • IHC-P

Lab

Immunohistochemistry (Formalin/PFA-fixed paraffin-embedded sections) - Anti-MUC13 antibody [C18] - BSA and Azide free (AB269565)

IHC image of MUC13 staining in a section of formalin-fixed paraffin-embedded normal human colon* performed on a Leica BONDTM system using the standard protocol F.

The section was pre-treated using heat mediated antigen retrieval with sodium citrate buffer (pH 6, epitope retrieval solution 1) for 20 mins. The section was then incubated with ab231158, 10 μg/ml, for 15 mins at room temperature and detected using an HRP conjugated compact polymer system. DAB was used as the chromogen. The section was then counterstained with hematoxylin and mounted with DPX.

The inset secondary-only control image is taken from an identical assay without primary antibody.

For other IHC staining systems (automated and non-automated) customers should optimize variable parameters such as antigen retrieval conditions, primary antibody concentration and antibody incubation times.

*Tissue obtained from the Human Research Tissue Bank, supported by the NIHR Cambridge Biomedical Research Centre

This image was produced using the same antibody clone but in a different formulation ab231158, PBS and sodium azide.

Immunocytochemistry/ Immunofluorescence - Anti-MUC13 antibody [C18] - BSA and Azide free (AB269565)
  • ICC/IF

Lab

Immunocytochemistry/ Immunofluorescence - Anti-MUC13 antibody [C18] - BSA and Azide free (AB269565)

ab231158 staining MUC13 in HT-29 (Human colorectal adenocarcinoma cell line) cells.

The cells were fixed with 100% methanol (5 min), permeabilized with 0.1%PBS-Triton X-100 for 5 minutes and then blocked with 1% BSA/10% normal goat serum/0.3M glycine in 0.1% PBS-Tween for 1h. The cells were then incubated overnight at +4°C with ab231158 at 5 μg/ml and ab6046, Rabbit polyclonal to beta Tubulin - Loading Control, at 1/1000 dilution. Cells were then incubated with ab150117, Goat Anti-Mouse IgG H&L (Alexa Fluor® 488) at 1/1000 dilution (shown in green) and ab150084, Goat polyclonal Secondary Antibody to Rabbit IgG - H&L (Alexa Fluor® 594) at 1/1000 dilution (shown in pseudocolor red).

Nuclear DNA was labeled with DAPI (shown in blue).

Image was taken with a confocal microscope (Leica-Microsystems, TCS SP8).

This image was produced using the same antibody clone but in a different formulation ab231158, PBS and sodium azide.

Key facts

Host species

Mouse

Clonality

Monoclonal

Clone number

C18

Isotype

IgG1

Light chain type

kappa

Carrier free

Yes

Reacts with

Human

Applications

ICC/IF, IHC-P

applications

Immunogen

The exact immunogen used to generate this antibody is proprietary information.

Reactivity data

{ "title": "Reactivity Data", "filters": { "stats": ["", "Species", "Dilution Info", "Notes"], "tabs": { "all-applications": {"fullname" : "All Applications", "shortname": "All Applications"}, "IHCP" : {"fullname" : "Immunohistochemistry (Formalin/PFA-fixed paraffin-embedded sections)", "shortname":"IHC-P"}, "ICCIF" : {"fullname" : "Immunocytochemistry/ Immunofluorescence", "shortname":"ICC/IF"} }, "product-promise": { "all": "all", "testedAndGuaranteed": "tested", "guaranteed": "expected", "predicted": "predicted", "notRecommended": "not-recommended" } }, "values": { "Human": { "IHCP-species-checked": "testedAndGuaranteed", "IHCP-species-dilution-info": "10 µg/mL", "IHCP-species-notes": "<p></p>", "ICCIF-species-checked": "testedAndGuaranteed", "ICCIF-species-dilution-info": "5 µg/mL", "ICCIF-species-notes": "<p></p>" } } }

Product details

ab269565 is the carrier-free version of ab231158.

Want a custom formulation?
This antibody clone is manufactured by Abcam. If you require a custom buffer formulation or conjugation for your experiments, please contact orders@abcam.com

Conjugation ready
Our carrier-free antibodies are typically supplied in a PBS-only formulation, purified and free of BSA, sodium azide and glycerol. This conjugation-ready format is designed for use with fluorochromes, metal isotopes, oligonucleotides, and enzymes, which makes them ideal for antibody labelling, functional and cell-based assays, flow-based assays (e.g. mass cytometry) and Multiplex Imaging applications.

Use our conjugation kits for antibody conjugates that are ready-to-use in as little as 20 minutes with 1 minute hands-on-time and 100% antibody recovery: available for fluorescent dyes, HRP, biotin and gold.

Compatibility
This product is compatible with the Maxpar® Antibody Labeling Kit from Fluidigm, without the need for antibody preparation. Maxpar® is a trademark of Fluidigm Canada Inc.

Properties and storage information

Form
Liquid
Purification technique
Affinity purification
Purification notes
Puriifed from TCS.
Storage buffer
Constituents: PBS
Shipped at conditions
Blue Ice
Appropriate short-term storage conditions
+4°C
Appropriate long-term storage conditions
+4°C
Storage information
Do Not Freeze

Product protocols

For this product, it's our understanding that no specific protocols are required. You can visit:

Target data

Epithelial and hemopoietic transmembrane mucin that may play a role in cell signaling.
See full target information MUC13

Product promise

We are committed to supporting your work with high-quality reagents, and we're here for you every step of the way. In the unlikely event that one of our products does not perform as expected, you're protected by our Product Promise.
For full details, please see our Terms & Conditions

Please note: All products are 'FOR RESEARCH USE ONLY. NOT FOR USE IN DIAGNOSTIC OR THERAPEUTIC PROCEDURES'.

For licensing inquiries, please contact partnerships@abcam.com