JavaScript is disabled in your browser. Please enable JavaScript to view this website.
AB272692

Anti-MUC2 antibody [EPR23479-47]

  • BOND RX™ Validated
  • 20ul selling size
  • RabMAb
  • Advanced Validation
  • Recombinant
  • What is this?

5

(7 Reviews)

|

(100 Publications)

Anti-MUC2 antibody [EPR23479-47] (ab272692) is a rabbit monoclonal antibody detecting MUC2 in Western Blot, IHC-P, IHC-Fr, mIHC. Suitable for Human, Mouse, Rat.

- Multiplex IHC validated on the Leica BOND® MAX using Opal reagents
- Biophysical QC for unrivalled batch-batch consistency
- Over 40 publications

View Alternative Names

SMUC, MUC2, Mucin-2, MUC-2, Intestinal mucin-2

24 Images
Immunohistochemistry (Frozen sections) - Anti-MUC2 antibody [EPR23479-47] (AB272692)
  • IHC-Fr

Lab

Immunohistochemistry (Frozen sections) - Anti-MUC2 antibody [EPR23479-47] (AB272692)

Immunohistochemical analysis of 4% PFA-fixed, 0.2% Triton X-100 permeabilized frozen rat colon tissue labeling MUC2 with ab272692 at 1/500 dilution followed by ab150077 AlexaFluor® 488 Goat anti-Rabbit secondary at 1/1000 (2 μg/ml) dilution (Green). Positive staining on rat colon is observed. The nuclear counterstain was DAPI (Blue).

Secondary antibody control : Secondary antibody is ab150077 AlexaFluor® 488 Goat anti-Rabbit secondary at 1/1000 (2 μg/ml) dilution.

Heat mediated antigen retrieval using sodium citrate buffer (10mM citrate pH 6.0 + 0.05% Tween-20).

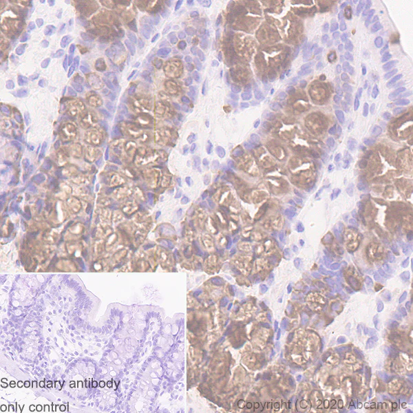
Immunohistochemistry (Formalin/PFA-fixed paraffin-embedded sections) - Anti-MUC2 antibody [EPR23479-47] (AB272692)
  • IHC-P

Lab

Immunohistochemistry (Formalin/PFA-fixed paraffin-embedded sections) - Anti-MUC2 antibody [EPR23479-47] (AB272692)

Immunohistochemical analysis of paraffin-embedded human bladder cancer tissue labeling MUC2 with ab272692 at 1/2000 dilution followed by ready to use Rabbit specific IHC polymer detection kit HRP/DAB (ab209101). Postive staining on human bladder cancer (PMID : 25197366). The section was incubated with ab272692 for 10 mins at room temperature. The immunostaining was performed on a Leica Biosystems BOND® RX instrument. Counterstained with hematoxylin.

Secondary antibody only control : Secondary antibody is ready to use Rabbit specific IHC polymer detection kit HRP/DAB (ab209101).

Heat mediated antigen retrieval with Tris-EDTA buffer (pH 9.0, epitope retrieval solution2) for 20 mins.

Multiplex immunohistochemistry - Anti-MUC2 antibody [EPR23479-47] (AB272692)
  • mIHC

Lab

Multiplex immunohistochemistry - Anti-MUC2 antibody [EPR23479-47] (AB272692)

Multiplex immunohistochemistry analysis of formalin/PFA-fixed paraffin-embedded human ileum tissue staining BTNL3 with ab324982 at a 1/500 (0.106 μg/ml) dilution, ab272692 anti-MUC2 used at a 1/2000 (0.26 μg/ml) dilution and ab323315 anti-REG1B used at a 1/5000 (0.972 μg/ml) dilution.

Panel A : anti-BTNL3 (green; Opal™570), anti-MUC2 (magenta; Opal™690), anti-REG1B (gray; Opal™520) on human ileum.

Panel B : anti-BTNL3 staining brush border in human ileum.

Panel C : anti-MUC2 staining goblet cells in human ileum.

Panel D : anti-REG1B staining Paneth cells in human ileum.

Nuclear DNA was labeled with DAPI (shown in blue).

The section was incubated in three rounds of staining : in the order of ab324982, ab272692 and ab323315 for 30 mins at room temperature. Each round was followed by a separate fluorescent tyramide signal amplification system.

The immunostaining was performed on a Leica Biosystems BOND® RX instrument with an Opal™ 4-color kit. Image acquisition was performed with Leica SP8 confocal microscope.

Heat mediated antigen retrieval was performed with Tris-EDTA buffer (pH 9.0, Epitope Retrieval Solution2) for 20 mins.

Multiplex immunohistochemistry - Anti-MUC2 antibody [EPR23479-47] (AB272692)
  • mIHC

Lab

Multiplex immunohistochemistry - Anti-MUC2 antibody [EPR23479-47] (AB272692)

Multiplex immunohistochemistry analysis of formalin/PFA-fixed paraffin-embedded human colon tissue staining GC-C with ab323804 at a 1/100 dilution, ab324525 anti-Peptide YY used at 1/2000 dilution and ab272692 anti-MUC2 used at a 1/2000 dilution.

Panel A : anti-GC-C (green; Opal™520), anti-Peptide YY (magenta; Opal™690) and anti-MUC2 (gray; Opal™570) on human colon.

Panel B : anti-GC-C staining apical membrane of epithelium in human colon.

Panel C : anti-Peptide YY staining enteroendocrine cells in human colon.

Panel D : anti-MUC2 staining goblet cells in human colon.

Nuclear DNA was labeled with DAPI (shown in blue).

The section was incubated in three rounds of staining : in the order of ab323804, ab324525 and ab272692 for 30 mins at room temperature. Each round was followed by a separate fluorescent tyramide signal amplification system.

The immunostaining was performed on a Leica Biosystems BOND® RX instrument with an Opal™ 4-color kit. Image acquisition was performed with Leica SP8 confocal microscope.

Heat mediated antigen retrieval was performed with Tris-EDTA buffer (pH 9.0, Epitope Retrieval Solution2) for 20 mins.

Multiplex immunohistochemistry - Anti-MUC2 antibody [EPR23479-47] (AB272692)
  • mIHC

Lab

Multiplex immunohistochemistry - Anti-MUC2 antibody [EPR23479-47] (AB272692)

Fluorescence multiplex immunohistochemical analysis of the human colon (Formalin/PFA-fixed paraffin-embedded sections). Panel A : merged staining of anti-Muc2 (ab272692, magenta; Opal™690), anti-Eph receptor B2 (ab252935, green; Opal™520) and anti-ErbB3 / HER3 (ab236220, red; Opal™570) on human colon. Panel B : anti-Muc2 stained on goblet cells. Panel C : anti-Eph receptor B2 stained on intestinal stem and progenitor cells. Panel D : anti-ErbB3 / HER3 stained on epithelial cells. Opal Polymer HRP Ms + Rb was used as a secondary antibody. The section was incubated in three rounds of staining : in the order of ab272692 at 1/2000 dilution (0.252 μg/ml), ab252935 at 1/1000 dilution  (0.527 μg/ml), and ab236220 at 1/3000 dilution (0.75 μg/ml) for 30 mins at room temperature. Each round was followed by a separate fluorescent tyramide signal amplification system. The immunostaining was performed on a Leica Biosystems BOND® RX instrument with an Opal™ 4-color kit. Image acquisition was performed with Leica SP8 confocal microscope. Heat mediated antigen retrieval with Tris-EDTA buffer (pH 9.0, epitope retrieval solution2) for 20 mins. DAPI (blue) was used as a nuclear counter stain.

Multiplex immunohistochemistry - Anti-MUC2 antibody [EPR23479-47] (AB272692)
  • mIHC

Lab

Multiplex immunohistochemistry - Anti-MUC2 antibody [EPR23479-47] (AB272692)

Fluorescence multiplex immunohistochemical analysis of the human colon (Formalin/PFA-fixed paraffin-embedded sections). Panel A : merged staining of anti-Villin (ab245749, gray; Opal™690), anti-liver FABP (ab240401, green; Opal™520) and anti-MUC2 (ab272692, red; Opal™570) on human colon. Panel B : anti-liver FABP stained on enterocytes. Panel C : anti-Villin stained on apical border. Panel D : anti-MUC2 stained on goblet cells. Rabbit specific IHC polymer detection kit HRP/DAB (ab209101) was used as a secondary antibody. The immunostaining was performed on a Leica Biosystems BOND® RX instrument with an Opal™ 4-color kit. The section was incubated in three rounds of staining : in the order of ab245749 (1/1000 dilution), ab240401 (1/8000 dilution), and ab272692 (1/5000 dilution) for 30 mins at room temperature. Each round was followed by a separate fluorescent tyramide signal amplification system. Heat mediated antigen retrieval with Tris-EDTA buffer (pH 9.0, epitope retrieval solution2) for 20 mins. DAPI (blue) was used as a nuclear counter stain. Image acquisition was performed with Leica SP8 confocal microscope.

Multiplex immunohistochemistry - Anti-MUC2 antibody [EPR23479-47] (AB272692)
  • mIHC

Lab

Multiplex immunohistochemistry - Anti-MUC2 antibody [EPR23479-47] (AB272692)

Multiplex immunohistochemistry analysis of formalin/PFA-fixed paraffin-embedded human small intestine tissue staining MUC17 with ab316971 at 1/500 dilution, ab272692 anti-MUC2 used at 1/2000 dilution and ab323315 anti-REG1B used at a 1/5000 dilution. Opal Polymer HRP Ms + Rb was used as a secondary antibody, and DAPI was used for a nuclear counter stain. Heat mediated antigen retrieval with Tris-EDTA buffer (pH 9.0, epitope retrieval solution2) for 20 mins.

Panel A : merged staining of anti-MUC17 (green; Opal570), anti-MUC2 (magenta; Opal690) and anti-REG1B (grey; Opal520) on human small intestine.
Panel B : anti-MUC17 staining epithelium in human small intestine.
Panel C : anti-MUC2 staining goblet cells in human small intestine.
Panel D : anti-REG1B staining Paneth cells in human small intestine.
Nuclear DNA was labeled with DAPI (shown in blue).

The section was incubated in three rounds of staining : in the order of ab316971, ab272692 and ab323315 for 30 mins at room temperature. Each round was followed by a separate fluorescent tyramide signal amplification system.

The immunostaining was performed on a Leica Biosystems BOND® RX instrument with an Opal 4-color kit. Image acquisition was performed with Leica SP8 confocal microscope.

Multiplex immunohistochemistry - Anti-MUC2 antibody [EPR23479-47] (AB272692)
  • mIHC

Lab

Multiplex immunohistochemistry - Anti-MUC2 antibody [EPR23479-47] (AB272692)

Fluorescence multiplex immunohistochemical analysis of the human jejunum (Formalin/PFA-fixed paraffin-embedded sections). Panel A : merged staining of anti-Muc2 (ab272692, magenta; Opal™690), anti-Eph receptor B2 (ab252935, green; Opal™520) and anti-ErbB3 / HER3 (ab236220, red; Opal™570) on human jejunum. Panel B : anti-Muc2 stained on goblet cells. Panel C : anti-Eph receptor B2 stained on intestinal stem and progenitor cells. Panel D : anti-ErbB3 / HER3 stained on epithelial cells. Opal Polymer HRP Ms + Rb was used as a secondary antibody. The section was incubated in three rounds of staining : in the order of ab272692 at 1/2000 dilution (0.252 μg/ml), ab252935 at 1/1000 dilution  (0.527 μg/ml), and ab236220 at 1/3000 dilution (0.75 μg/ml) for 30 mins at room temperature. Each round was followed by a separate fluorescent tyramide signal amplification system. The immunostaining was performed on a Leica Biosystems BOND® RX instrument with an Opal™ 4-color kit. Image acquisition was performed with Leica SP8 confocal microscope. Heat mediated antigen retrieval with Tris-EDTA buffer (pH 9.0, epitope retrieval solution2) for 20 mins. DAPI (blue) was used as a nuclear counter stain.

Multiplex immunohistochemistry - Anti-MUC2 antibody [EPR23479-47] (AB272692)
  • mIHC

Lab

Multiplex immunohistochemistry - Anti-MUC2 antibody [EPR23479-47] (AB272692)

Multiplex immunohistochemistry analysis of formalin/PFA-fixed paraffin-embedded human small intestine staining SGLT1 with ab321787 at a 1/2000 dilution, ab272692 anti-MUS2 used at 1/2000 dilution and ab252935 anti-EPHB2 used at a 1/500 dilution.

Panel A : merged staining of anti-SGLT1 (green; Opal™520), anti-MUC2 (magenta; Opal™690) and anti-EPHB2 (gray; Opal™570) on human small intestine.

Panel B : anti-SGLT2 staining apical side of the villi in human small intestine.

Panel C : anti-MUC2 staining goblet cells in human small intestine.

Panel D : anti-EPHB2 staining stem cells in human small intestine.

Nuclear DNA was labeled with DAPI (shown in blue).

The section was incubated in three rounds of staining : in the order of ab321787, ab272692 and ab252935 for 30 mins at room temperature. Each round was followed by a separate fluorescent tyramide signal amplification system.

The immunostaining was performed on a Leica Biosystems BOND® RX instrument with an Opal™ 4-color kit. Image acquisition was performed with Leica SP8 confocal microscope.

Heat mediated antigen retrieval with Tris-EDTA buffer (pH 9.0, epitope retrieval solution2) for 20 mins.

Multiplex immunohistochemistry - Anti-MUC2 antibody [EPR23479-47] (AB272692)
  • mIHC

Lab

Multiplex immunohistochemistry - Anti-MUC2 antibody [EPR23479-47] (AB272692)

Multiplex immunohistochemistry analysis of formalin/PFA-fixed paraffin-embedded human ileum tissue staining Wnt3 with ab325601 at a 1/2000 (0.246 μg/ml) dilution, ab272692 anti-MUC2 used at a 1/2000 (0.26 μg/ml) dilution, and ab324982 anti-BTNL3 used at a 1/500 (0.106 μg/ml) dilution.

Panel A : anti-Wnt3 (green; Opal™520), anti-MUC2 (magenta; Opal™690), anti-btnl3 (gray; Opal™570) on human ileum.

Panel B : anti-Wnt3 staining Paneth cells in human ileum.

Panel C : anti-MUC2 staining goblet cells in human ileum.

Panel D : anti-BTNL3 staining brush border in human ileum.

Nuclear DNA was labeled with DAPI (shown in blue).

The section was incubated in three rounds of staining : in the order of ab325601, ab272692 and ab324982 for 30 mins at room temperature. Each round was followed by a separate fluorescent tyramide signal amplification system.

The immunostaining was performed on a Leica Biosystems BOND® RX instrument with an Opal™ 4-color kit. Image acquisition was performed with Leica SP8 confocal microscope.

Heat mediated antigen retrieval was performed with Tris-EDTA buffer (pH 9.0, Epitope Retrieval Solution2) for 20 mins.

Immunohistochemistry (Formalin/PFA-fixed paraffin-embedded sections) - Anti-MUC2 antibody [EPR23479-47] (AB272692)
  • IHC-P

Lab

Immunohistochemistry (Formalin/PFA-fixed paraffin-embedded sections) - Anti-MUC2 antibody [EPR23479-47] (AB272692)

Immunohistochemical analysis of paraffin-embedded human colon tissue labeling MUC2 with ab272692 at 1/2000 dilution followed by a ready to use Rabbit specific IHC polymer detection kit HRP/DAB (ab209101). Postive staining on human colon (PMID : 28693267). The section was incubated with ab272692 for 10 mins at room temperature. The immunostaining was performed on a Leica Biosystems BOND® RX instrument. Counterstained with hematoxylin.

Secondary antibody only control : Secondary antibody is ready to use Rabbit specific IHC polymer detection kit HRP/DAB (ab209101).

Heat mediated antigen retrieval with Tris-EDTA buffer (pH 9.0, epitope retrieval solution2) for 20 mins.

Multiplex immunohistochemistry - Anti-MUC2 antibody [EPR23479-47] (AB272692)
  • mIHC

Lab

Multiplex immunohistochemistry - Anti-MUC2 antibody [EPR23479-47] (AB272692)

Multiplex immunohistochemistry analysis of formalin/PFA-fixed paraffin-embedded Mouse colon tissue staining GSDMC2 + GSDMC3 with ab229896 at a 1 : 2000 (0.25 ug/ml) dilution; SARM1 with ab309195 at 1 : 500 (0.964 ug/ml) dilution and MUC2 with ab272692 at 1 : 2000 (0.252 ug/ml) dilution followed by a ready to use secondary antibody Opal Polymer HRP Ms + Rb.

Panel A : merged staining of anti-SARM1 (green; Opal520), anti-MUC2 (gray; Opal570) and anti-GSDMC2/3 (magenta; Opal690)on mouse colon.
Panel B : anti-SARM1 staining myenteric nerve plexus in mouse colon.
Panel C : anti-MUC2 staining goblet cells in mouse colon.
Panel D : anti-GSDMC2/3 staining epithelium in mouse colon.
Nuclear DNA was labeled with DAPI (shown in blue).

The section was incubated in three rounds of staining : in the order of ab309195, ab272692 and ab229896 for 30 mins at room temperature. Each round was followed by a separate fluorescent tyramide signal amplification system.

The immunostaining was performed on a Leica Biosystems BOND® RX instrument with an Opal 4-color kit. Image acquisition was performed with Leica SP8 confocal microscope.

Heat mediated antigen retrieval with Tris-EDTA buffer (pH 9.0, epitope retrieval solution2) for 20 mins

Multiplex immunohistochemistry - Anti-MUC2 antibody [EPR23479-47] (AB272692)
  • mIHC

Lab

Multiplex immunohistochemistry - Anti-MUC2 antibody [EPR23479-47] (AB272692)

Multiplex immunohistochemistry analysis of formalin/PFA-fixed paraffin-embedded mouse small intestine tissue staining Uridine Phosphorylase 1 with ab325391 at a 1/2000 (0.258 μg/ml) dilution, ab307365 anti-Sodium/Hydrogen Exchanger 3/NHE-3 used at a 1/5000 (0.126 μg/ml) dilution and ab272692 anti-MUC2 used at a 1/2000 (0.26 μg/ml) dilution.

Panel A : anti-Uridine Phosphorylase 1 (green; Opal™690), anti-Sodium/Hydrogen Exchanger 3/NHE-3 (magenta; Opal™520), anti-MUC2 (gray; Opal™570) on mouse small intestine.

Panel B : anti-Uridine Phosphorylase 1 staining cytoplasm and nucleus of epithelium in mouse small intestine.

Panel C : anti-Sodium/Hydrogen Exchanger 3/NHE-3 staining apical and luminal facing edges of surface cells in mouse small intestine.

Panel D : anti-MUC2 staining on goblet cells in mouse small intestine.

Nuclear DNA was labeled with DAPI (shown in blue).

The section was incubated in three rounds of staining : in the order of ab325391, ab307365 and ab272692 for 30 mins at room temperature. Each round was followed by a separate fluorescent tyramide signal amplification system.

The immunostaining was performed on a Leica Biosystems BOND® RX instrument with an Opal™ 4-color kit. Image acquisition was performed with Leica SP8 confocal microscope.

Heat mediated antigen retrieval was performed with Tris-EDTA buffer (pH 9.0, Epitope Retrieval Solution2) for 20 mins.

Multiplex immunohistochemistry - Anti-MUC2 antibody [EPR23479-47] (AB272692)
  • mIHC

Lab

Multiplex immunohistochemistry - Anti-MUC2 antibody [EPR23479-47] (AB272692)

Multiplex immunohistochemistry analysis of formalin/PFA-fixed paraffin-embedded mouse colon tissue staining Glycam1 with ab324912 at a 1/4000 ( 0.126 μg/ml) dilution, ab317313 anti-CD43 used at 1/500 dilution (1.052 μg/ml) and ab272692 anti-MUC2 used at 1/2000 dilution (0.26 μg/ml).

Panel A : anti-Glycam1 (green; Opal™520), anti-CD43 (magenta; Opal™690), anti-MUC2 (gray; Opal™570) on mouse colon.

Panel B : anti-Glycam1 staining HEV (highly endothelial venules) in mouse colon.

Panel C : anti-CD43 staining T lymphocytes in mouse colon.

Panel D : anti-MUC2 staining goblet cells in mouse colon.

Nuclear DNA was labeled with DAPI (shown in blue).

The section was incubated in three rounds of staining : in the order of ab324912, ab237721 and ab315346 for 30 mins at room temperature. Each round was followed by a separate fluorescent tyramide signal amplification system.

The immunostaining was performed on a Leica Biosystems BOND® RX instrument with an Opal™ 4-color kit. Image acquisition was performed with Leica SP8 confocal microscope.

Heat mediated antigen retrieval was performed with Tris-EDTA buffer (pH 9.0, Epitope Retrieval Solution2) for 20 mins.

Multiplex immunohistochemistry - Anti-MUC2 antibody [EPR23479-47] (AB272692)
  • mIHC

Lab

Multiplex immunohistochemistry - Anti-MUC2 antibody [EPR23479-47] (AB272692)

Multiplex immunohistochemistry analysis of formalin/PFA-fixed paraffin-embedded mouse colon tissue staining GPA33 with ab324562 at a 1/100 dilution, ab324560 anti-ATAD2 used at 1/500 dilution and ab272692 anti-MUC2 used at a 1/2000 dilution.

Panel A : anti-GPA33 (green; Opal™690), anti-ATAD2 (magenta; Opal™520) and anti-MUC2 (gray; Opal™570) on mouse colon.

Panel B : anti-GPA33 staining membrane of epithelium in mouse colon.

Panel C : anti-ATAD2 staining nucleus of proliferating cells in mouse colon.

Panel D : anti-MUC2 staining goblet cells in mouse colon.

Nuclear DNA was labeled with DAPI (shown in blue).

The section was incubated in three rounds of staining : in the order of ab324562, ab324560 and ab272692 for 30 mins at room temperature. Each round was followed by a separate fluorescent tyramide signal amplification system.

The immunostaining was performed on a Leica Biosystems BOND® RX instrument with an Opal™ 4-color kit. Image acquisition was performed with Leica SP8 confocal microscope.

Heat mediated antigen retrieval was performed with Tris-EDTA buffer (pH 9.0, Epitope Retrieval Solution2) for 20 mins.

Immunohistochemistry (Frozen sections) - Anti-MUC2 antibody [EPR23479-47] (AB272692)
  • IHC-Fr

Lab

Immunohistochemistry (Frozen sections) - Anti-MUC2 antibody [EPR23479-47] (AB272692)

Immunohistochemical analysis of 4% PFA-fixed, 0.2% Triton X-100 permeabilized frozen mouse colon tissue labeling MUC2 with ab272692 at 1/500 dilution followed by ab150077 AlexaFluor® 488 Goat anti-Rabbit secondary at 1/1000 (2 μg/ml) dilution (Green). Positive staining on mouse colon is observed. The nuclear counterstain was DAPI (Blue).

Secondary antibody control : Secondary antibody is ab150077 AlexaFluor® 488 Goat anti-Rabbit secondary at 1/1000 (2 μg/ml) dilution.

Heat mediated antigen retrieval using sodium citrate buffer (10mM citrate pH 6.0 + 0.05% Tween-20).

Immunohistochemistry (Formalin/PFA-fixed paraffin-embedded sections) - Anti-MUC2 antibody [EPR23479-47] (AB272692)
  • IHC-P

Lab

Immunohistochemistry (Formalin/PFA-fixed paraffin-embedded sections) - Anti-MUC2 antibody [EPR23479-47] (AB272692)

Immunohistochemical analysis of paraffin-embedded rat colon tissue labeling MUC2 with ab272692 at 1/2000 dilution followed by ready to use Rabbit specific IHC polymer detection kit HRP/DAB (ab209101). Postive staining on rat colon is observed. The section was incubated with ab272692 for 10 mins at room temperature. The immunostaining was performed on a Leica Biosystems BOND® RX instrument. Counterstained with hematoxylin.

Secondary antibody only control : Secondary antibody is ready to use Rabbit specific IHC polymer detection kit HRP/DAB (ab209101).

Heat mediated antigen retrieval with Tris-EDTA buffer (pH 9.0, epitope retrieval solution2) for 20 mins.

Immunohistochemistry (Formalin/PFA-fixed paraffin-embedded sections) - Anti-MUC2 antibody [EPR23479-47] (AB272692)
  • IHC-P

Lab

Immunohistochemistry (Formalin/PFA-fixed paraffin-embedded sections) - Anti-MUC2 antibody [EPR23479-47] (AB272692)

Immunohistochemical analysis of paraffin-embedded mouse colon tissue labeling MUC2 with ab272692 at 1/2000 dilution followed by ready to use Rabbit specific IHC polymer detection kit HRP/DAB (ab209101). Postive staining on mouse colon is observed. The section was incubated with ab272692 for 10 mins at room temperature. The immunostaining was performed on a Leica Biosystems BOND® RX instrument. Counterstained with hematoxylin.

Secondary antibody only control : Secondary antibody is a ready to use Rabbit specific IHC polymer detection kit HRP/DAB (ab209101).

Heat mediated antigen retrieval with Tris-EDTA buffer (pH 9.0, epitope retrieval solution2) for 20 mins.

Multiplex immunohistochemistry - Anti-MUC2 antibody [EPR23479-47] (AB272692)
  • mIHC

Lab

Multiplex immunohistochemistry - Anti-MUC2 antibody [EPR23479-47] (AB272692)

Immunohistochemistry analysis of Formalin/PFA-fixed paraffin-embedded sections mouse small intestine tissue labelling Sodium/Hydrogen Exchanger 3 with ab307365 at 1 : 5000 dilution (B), MUC2 with ab272692 at 1 : 2000 dilution (C) Eph receptor B2 with ab252935 at 1 : 500 dilution (D). Opal Polymer HRP Ms + Rb was used as a secondary antibody, and DAPI was used for a nuclear counter stain. Heat mediated antigen retrieval with Tris-EDTA buffer (pH 9.0, epitope retrieval solution2) for 20 mins.

Panel A : merged staining of anti-Sodium/Hydrogen Exchanger 3 (green; Opal™520), anti-MUC2 (magenta; Opal™690) and anti-Eph receptor B2 (gray; Opal™570) on mouse small intestine.

Panel B : anti-Sodium/Hydrogen Exchanger 3 staining apical and luminal facing edges of surface cells in mouse small intestine.

Panel C : anti-MUC2 staining goblet cells in mouse small intestine.

Panel D : anti-Eph receptor B2 staining membrane of stem cells in mouse small intestine.

Nuclear DNA was labeled with DAPI (shown in blue).

The section was incubated in three rounds of staining : in the order of ab307365, ab272692 and ab252935 for 30 mins at room temperature. Each round was followed by a separate fluorescent tyramide signal amplification system.

Multiplex immunohistochemistry - Anti-MUC2 antibody [EPR23479-47] (AB272692)
  • mIHC

Lab

Multiplex immunohistochemistry - Anti-MUC2 antibody [EPR23479-47] (AB272692)

Immunohistochemistry analysis of Formalin/PFA-fixed paraffin-embedded sections rat colon tissue labelling Sodium/Hydrogen Exchanger 3 with ab307365 at 1 : 5000 dilution (B), MUC2 with ab272692 at 1 : 2000 dilution (C) Eph receptor B2 with ab252935 at 1 : 500 dilution (D). Opal Polymer HRP Ms + Rb was used as a secondary antibody, and DAPI was used for a nuclear counter stain. Heat mediated antigen retrieval with Tris-EDTA buffer (pH 9.0, epitope retrieval solution2) for 20 mins.

Panel A : merged staining of anti-Sodium/Hydrogen Exchanger 3 (green; Opal™520), anti-MUC2 (magenta; Opal™690) and anti-Eph receptor B2 (gray; Opal™570) on rat colon.

Panel B : anti-Sodium/Hydrogen Exchanger 3 staining apical and luminal facing edges of surface cells in rat colon.

Panel C : anti-MUC2 staining goblet cells in rat colon.

Panel D : anti-Eph receptor B2 staining membrane of stem cells in rat colon.

Nuclear DNA was labeled with DAPI (shown in blue).

The section was incubated in three rounds of staining : in the order of ab307365, ab272692 and ab252935 for 30 mins at room temperature. Each round was followed by a separate fluorescent tyramide signal amplification system.

Multiplex immunohistochemistry - Anti-MUC2 antibody [EPR23479-47] (AB272692)
  • mIHC

Lab

Multiplex immunohistochemistry - Anti-MUC2 antibody [EPR23479-47] (AB272692)

Immunohistochemistry analysis of Formalin/PFA-fixed paraffin-embedded sections mouse colon tissue labelling Sodium/Hydrogen Exchanger 3 with ab307365 at 1 : 5000 dilution (B), MUC2 with ab272692 at 1 : 2000 dilution (C) Eph receptor B2 with ab252935 at 1 : 500 dilution (D). Opal Polymer HRP Ms + Rb was used as a secondary antibody, and DAPI was used for a nuclear counter stain. Heat mediated antigen retrieval with Tris-EDTA buffer (pH 9.0, epitope retrieval solution2) for 20 mins.

Panel A : merged staining of anti-Sodium/Hydrogen Exchanger 3 (green; Opal™520), anti-MUC2 (magenta; Opal™690) and anti-Eph receptor B2 (gray; Opal™570) on mouse colon.

Panel B : anti-Sodium/Hydrogen Exchanger 3 staining apical and luminal facing edges of surface cells in mouse colon.

Panel C : anti-MUC2 staining goblet cells in mouse colon.

Panel D : anti-Eph receptor B2 staining membrane of stem cells in mouse colon.

Nuclear DNA was labeled with DAPI (shown in blue).

The section was incubated in three rounds of staining : in the order of ab307365, ab272692 and ab252935 for 30 mins at room temperature. Each round was followed by a separate fluorescent tyramide signal amplification system.

Multiplex immunohistochemistry - Anti-MUC2 antibody [EPR23479-47] (AB272692)
  • mIHC

Lab

Multiplex immunohistochemistry - Anti-MUC2 antibody [EPR23479-47] (AB272692)

Immunohistochemistry analysis of Formalin/PFA-fixed paraffin-embedded sections rat small intestine tissue labelling Sodium/Hydrogen Exchanger 3 with ab307365 at 1 : 5000 dilution (B), MUC2 with ab272692 at 1 : 2000 dilution (C) Eph receptor B2 with ab252935 at 1 : 500 dilution (D). Opal Polymer HRP Ms + Rb was used as a secondary antibody, and DAPI was used for a nuclear counter stain. Heat mediated antigen retrieval with Tris-EDTA buffer (pH 9.0, epitope retrieval solution2) for 20 mins.

Panel A : merged staining of anti-Sodium/Hydrogen Exchanger 3 (green; Opal™520), anti-MUC2 (magenta; Opal™690) and anti-Eph receptor B2 (gray; Opal™570) on rat small intestine.

Panel B : anti-Sodium/Hydrogen Exchanger 3 staining apical and luminal facing edges of surface cells in rat small intestine.

Panel C : anti-MUC2 staining goblet cells in rat small intestine.

Panel D : anti-Eph receptor B2 staining membrane of stem cells in rat small intestine.

Nuclear DNA was labeled with DAPI (shown in blue).

The section was incubated in three rounds of staining : in the order of ab307365, ab272692 and ab252935 for 30 mins at room temperature. Each round was followed by a separate fluorescent tyramide signal amplification system.

Western blot - Anti-MUC2 antibody [EPR23479-47] (AB272692)
  • WB

Lab

Western blot - Anti-MUC2 antibody [EPR23479-47] (AB272692)

Blocking and diluting buffer and concentration : 5% NFDM/TBST.

MUC2 is highly glycosylated.

The C-terminal fragment alpha-MUC2C2 (140-170 kDa) is observed. The molecular weight is consistent with what have been described in literature (PMID : 12582180; 16754877). Exposure time : 3 seconds.

All lanes:

Western blot - Anti-MUC2 antibody [EPR23479-47] (ab272692) at 1/1000 dilution

Lane 1:

Human colon cancer tissue lysate at 20 µg

Lane 2:

Mouse small intestine tissue lysate at 20 µg

Lane 3:

Rat small intestine tissue lysate at 20 µg

Lane 4:

Rat colon tissue lysate at 20 µg

Secondary

All lanes:

Goat Anti-Rabbit IgG, (H+L), Peroxidase conjugated (<a href='/en-us/products/secondary-antibodies/goat-rabbit-igg-h-l-hrp-ab97051'>ab97051</a>) at 1/20000 dilution

Predicted band size: 540 kDa

Observed band size: 140-170 kDa

false

Multiplex immunohistochemistry - Anti-MUC2 antibody [EPR23479-47] (AB272692)
  • mIHC

Lab

Multiplex immunohistochemistry - Anti-MUC2 antibody [EPR23479-47] (AB272692)

Multiplex immunohistochemistry analysis of formalin/PFA-fixed paraffin-embedded human small intestine tissue staining SLC6A19 with ab326561 at a 1 : 500 (0.996 µg/ml) dilution, ab272692 anti-MUC2 used at 1 : 2000 (0.26 µg/ml) dilution and ab325601 anti-Wnt3 used at a 1 : 2000 (0.246 µg/ml) dilution.

Panel A : anti-SLC6A19 (green; Opal™520), anti-MUC2 (magenta; Opal™690), anti-Wnt3 (gray; Opal™570) on human small intestine.
Panel B : anti-SLC6A19 staining apical membrane of epithelium in human small intestine.
Panel C : anti-MUC2 staining goblet cells in human small intestine.
Panel D : anti-Wnt3 staining Paneth cells in human small intestine.
Nuclear DNA was labeled with DAPI (shown in blue).

The section was incubated in three rounds of staining : in the order of ab326561, ab272692 and ab325601 for 30 mins at room temperature. Each round was followed by a separate fluorescent tyramide signal amplification system.

The immunostaining was performed on a Leica Biosystems BOND® RX instrument with an Opal™ 4-color kit. Image acquisition was performed with Leica SP8 confocal microscope.

Nuclear counter stain with DAPI.

Heat mediated antigen retrieval was performed with Tris-EDTA buffer (pH 9.0, Epitope Retrieval Solution2) for 20 mins.

  • Carrier free

    Anti-MUC2 antibody [EPR23479-47] - BSA and Azide free

Key facts

Host species

Rabbit

Clonality

Monoclonal

Clone number

EPR23479-47

Isotype

IgG

Carrier free

No

Reacts with

Mouse, Rat, Human

Applications

IHC-P, mIHC, WB, IHC-Fr

applications

Immunogen

The exact immunogen used to generate this antibody is proprietary information.

Reactivity data

{ "title": "Reactivity Data", "filters": { "stats": ["", "Species", "Dilution Info", "Notes"], "tabs": { "all-applications": {"fullname" : "All Applications", "shortname": "All Applications"}, "mIHC" : {"fullname" : "Multiplex immunohistochemistry", "shortname":"mIHC"}, "IP" : {"fullname" : "Immunoprecipitation", "shortname":"IP"}, "FlowCyt" : {"fullname" : "Flow Cytometry", "shortname":"Flow Cyt"}, "WB" : {"fullname" : "Western blot", "shortname":"WB"}, "ICCIF" : {"fullname" : "Immunocytochemistry/ Immunofluorescence", "shortname":"ICC/IF"}, "IHCFr" : {"fullname" : "Immunohistochemistry (Frozen sections)", "shortname":"IHC-Fr"}, "IHCP" : {"fullname" : "Immunohistochemistry (Formalin/PFA-fixed paraffin-embedded sections)", "shortname":"IHC-P"} }, "product-promise": { "all": "all", "testedAndGuaranteed": "tested", "guaranteed": "expected", "predicted": "predicted", "notRecommended": "not-recommended" } }, "values": { "Human": { "mIHC-species-checked": "testedAndGuaranteed", "mIHC-species-dilution-info": "1/2000 - 1/5000", "mIHC-species-notes": "<p></p>", "IP-species-checked": "notRecommended", "IP-species-dilution-info": "", "IP-species-notes": "<p></p>", "FlowCyt-species-checked": "notRecommended", "FlowCyt-species-dilution-info": "", "FlowCyt-species-notes": "<p></p>", "WB-species-checked": "testedAndGuaranteed", "WB-species-dilution-info": "1/1000", "WB-species-notes": "<p></p>", "ICCIF-species-checked": "notRecommended", "ICCIF-species-dilution-info": "", "ICCIF-species-notes": "<p></p>", "IHCFr-species-checked": "guaranteed", "IHCFr-species-dilution-info": "", "IHCFr-species-notes": "", "IHCP-species-checked": "testedAndGuaranteed", "IHCP-species-dilution-info": "1/2000", "IHCP-species-notes": "<p></p>" }, "Mouse": { "mIHC-species-checked": "testedAndGuaranteed", "mIHC-species-dilution-info": "1/2000 - 1/5000", "mIHC-species-notes": "<p></p>", "IP-species-checked": "notRecommended", "IP-species-dilution-info": "", "IP-species-notes": "<p></p>", "FlowCyt-species-checked": "notRecommended", "FlowCyt-species-dilution-info": "", "FlowCyt-species-notes": "", "WB-species-checked": "testedAndGuaranteed", "WB-species-dilution-info": "1/1000", "WB-species-notes": "<p></p>", "ICCIF-species-checked": "notRecommended", "ICCIF-species-dilution-info": "", "ICCIF-species-notes": "<p></p>", "IHCFr-species-checked": "testedAndGuaranteed", "IHCFr-species-dilution-info": "1/500", "IHCFr-species-notes": "<p>Heat mediated antigen retrieval using sodium citrate buffer (10mM citrate pH 6.0 + 0.05% Tween-20).</p>", "IHCP-species-checked": "testedAndGuaranteed", "IHCP-species-dilution-info": "1/2000", "IHCP-species-notes": "<p></p>" }, "Rat": { "mIHC-species-checked": "testedAndGuaranteed", "mIHC-species-dilution-info": "1/2000", "mIHC-species-notes": "<p></p>", "IP-species-checked": "notRecommended", "IP-species-dilution-info": "", "IP-species-notes": "", "FlowCyt-species-checked": "notRecommended", "FlowCyt-species-dilution-info": "", "FlowCyt-species-notes": "", "WB-species-checked": "testedAndGuaranteed", "WB-species-dilution-info": "1/1000", "WB-species-notes": "<p></p>", "ICCIF-species-checked": "notRecommended", "ICCIF-species-dilution-info": "", "ICCIF-species-notes": "", "IHCFr-species-checked": "testedAndGuaranteed", "IHCFr-species-dilution-info": "1/500", "IHCFr-species-notes": "<p>Heat mediated antigen retrieval using sodium citrate buffer (10mM citrate pH 6.0 + 0.05% Tween-20).</p>", "IHCP-species-checked": "testedAndGuaranteed", "IHCP-species-dilution-info": "1/2000", "IHCP-species-notes": "<p></p>" } } }

Product details

Product Specifications
Anti-MUC2 antibody [EPR23479-47] (ab272692) was developed by Abcam using patented rabbit monoclonal antibody technology and is validated for use in IHC-Fr, IHC-P, WB, mIHC in human, mouse, rat samples.
Anti-MUC2 antibody [EPR23479-47] (ab272692) specifically detects MUC2 (UniProt ID: Q02817; Molecular weight: 549kDa) and is sold in a convenient trial size to enable initial testing (20 µL) and larger sizes for subsequent scaling up experiments (100 µL and 1 mL).

Quality and Validation
Abcam's high quality manufacturing and validation processes ensure Anti-MUC2 antibody [EPR23479-47] (ab272692) has high sensitivity and specificity alongside high lot-to-lot consistency and reproducibility.
Anti-MUC2 antibody [EPR23479-47] (ab272692) has been cited over 40 times in peer reviewed journals and is trusted by the scientific community.
Anti-MUC2 antibody [EPR23479-47] (ab272692) has 4 independent reviews from customers.

Patented technology
Our RabMAb® technology is a patented hybridoma-based technology for making rabbit monoclonal antibodies. For details on our patents, please refer to RabMAb® patents.

What are the advantages of a recombinant monoclonal antibody?
This product is a recombinant monoclonal antibody, which offers several advantages including:

  • - High batch-to-batch consistency and reproducibility
  • - Improved sensitivity and specificity
  • - Long-term security of supply
  • - Animal-free batch production

For more information, read more on recombinant antibodies.

Properties and storage information

Form
Liquid
Purification technique
Affinity purification Protein A
Storage buffer
pH: 7.2 - 7.4 Preservative: 0.01% Sodium azide Constituents: PBS, 40% Glycerol (glycerin, glycerine), 0.05% BSA
Shipped at conditions
Blue Ice
Appropriate short-term storage duration
1-2 weeks
Appropriate short-term storage conditions
+4°C
Appropriate long-term storage conditions
-20°C
Aliquoting information
Upon delivery aliquot
Storage information
Avoid freeze / thaw cycle

Product protocols

For this product, it's our understanding that no specific protocols are required. You can visit:

Target data

Coats the epithelia of the intestines and other mucus membrane-containing organs to provide a protective, lubricating barrier against particles and infectious agents at mucosal surfaces (PubMed : 17058067, PubMed : 19432394, PubMed : 33031746). Major constituent of the colon mucus, which is mainly formed by large polymeric networks of MUC2 secreted by goblet cells that cover the exposed surfaces of intestine (PubMed : 19432394, PubMed : 33031746). MUC2 networks form hydrogels that guard the underlying epithelium from pathogens and other hazardous matter entering from the outside world, while permitting nutrient absorption and gas exchange (PubMed : 33031746, PubMed : 36206754). Acts as a divalent copper chaperone that protects intestinal cells from copper toxicity and facilitates nutritional copper unptake into cells (PubMed : 36206754). Binds both Cu(2+) and its reduced form, Cu(1+), at two juxtaposed binding sites : Cu(2+), once reduced to Cu(1+) by vitamin C (ascorbate) or other dietary antioxidants, transits to the other binding site (PubMed : 36206754). MUC2-bound Cu(1+) is protected from oxidation in aerobic environments, and can be released for nutritional delivery to cells (PubMed : 36206754). Mucin gels store antimicrobial molecules that participate in innate immunity (PubMed : 33031746). Mucin glycoproteins also house and feed the microbiome, lubricate tissue surfaces, and may facilitate the removal of contaminants and waste products from the body (PubMed : 33031746). Goblet cells synthesize two forms of MUC2 mucin that differ in branched chain O-glycosylation and the site of production in the colon : a (1) 'thick' mucus that wraps the microbiota to form fecal pellets is produced in the proximal, ascending colon (By similarity). 'Thick' mucus transits along the descending colon and is lubricated by a (2) 'thin' MUC2 mucus produced in the distal colon which adheres to the 'thick' mucus (By similarity).
See full target information MUC2

Publications (100)

Recent publications for all applications. Explore the full list and refine your search

Nature communications 16:8800 PubMed41038843

2025

Crotonate enhances intestinal regeneration after injury via HBO1-mediated H3K14 crotonylation.

Applications

Unspecified application

Species

Unspecified reactive species

Yanhui Xiao,Shicheng Yu,Mengxian Zhang,Nanshan Zhong,Shan Hua,Zhi Fang,Zhe Zhang,Huidong Liu,Ronghui Tan,Yuan Liu,Ye-Guang Chen

Journal of nanobiotechnology 23:612 PubMed41023976

2025

Lactobacillus johnsonii-derived extracellular vesicles restore mucosal immunity via taurine-linked Th17/Treg and IgA/IgG regulation in colitis.

Applications

Unspecified application

Species

Unspecified reactive species

Hailan Zhao,Ningning Yue,Zhiliang Mai,Yuan Zhang,Chengmei Tian,Chen Kong,Longbin Huang,Ruiyue Shi,Yujie Liang,Jun Yao,Yuqiang Nie,Defeng Li,Biao Nie,Lisheng Wang

Virulence 16:2548623 PubMed40849899

2025

Senecavirus a can replicate in apical-out porcine intestinal organoids and induce stress granules and innate immune response.

Applications

Unspecified application

Species

Unspecified reactive species

Ying Wang,Zhiying Wei,Jiaxuan Li,Xiaona Wang,Yanping Jiang,Wen Cui,Zhifu Shan,Lijie Tang

Journal of cellular and molecular medicine 29:e70772 PubMed40785041

2025

Tianma Granules Alleviate AOM/DSS-Induced Colorectal Tumorigenesis by Inhibiting the Wnt/β-Catenin Pathway Activation.

Applications

Unspecified application

Species

Unspecified reactive species

Renjing Lin,Jinyin Xiao,Yanjie Chen,Xu Li,Peiwen Zhang,Runcheng Zhang,Min Luo

Clinical and translational medicine 15:e70416 PubMed40717219

2025

Comparative spatial transcriptomics of pancreatic cancer with ductal and acinar origins in mouse models.

Applications

Unspecified application

Species

Unspecified reactive species

Ming Cui,Jialu Bai,Xiaoyan Chang,Ruiling Xiao,Shengwei Mo,Kevin C Soares,Sen Yang,Lei You,Quan Liao,Jin He,Ya Hu,Yupei Zhao

Cell & bioscience 15:98 PubMed40624542

2025

Regulation of revival stem cell differentiation by CREPT/RPRD1B during intestinal regeneration.

Applications

Unspecified application

Species

Unspecified reactive species

Tingwei Lan,Mengdi Li,Xiaolin Duan,Huihui Jia,Yajun Cao,Yinyin Wang,Fangli Ren,Jianqiu Sheng,Junfeng Xu,Zhijie Chang

Parasites & vectors 18:230 PubMed40542404

2025

Excretory/secretory products from Hymenolepis nana adult worms alleviate ulcerative colitis in mice via tuft/IL-13 signaling pathway.

Applications

Unspecified application

Species

Unspecified reactive species

Rong Mou,Xuanyin Cui,Hongyan Wang,Zhenfen Zhang,Yi Cheng,Wenlan Wu,Jinfu Li,Ke Zhang

Cell regeneration (London, England) 14:23 PubMed40488929

2025

eIF5A maintains intestinal epithelial homeostasis by sustaining intestinal stem cells.

Applications

Unspecified application

Species

Unspecified reactive species

Leilei Li,Yanhui Xiao,Liansheng Liu,Qianying Zhang,Yong Zhang,Dahai Zhu,Ye-Guang Chen

Nature communications 16:5248 PubMed40473626

2025

The TRIP12 E3 ligase induces SWI/SNF component BRG1-β-catenin interaction to promote Wnt signaling.

Applications

Unspecified application

Species

Unspecified reactive species

Sara Kassel,Kai Yuan,Nawat Bunnag,Leif R Neitzel,Wenhui Lu,Anna Schwarzkopf,Benjamin Maines,Matthew A Loberg,George Xu,Amber Adams,Andrew D McCray,Alex Cho,Mary Rockouski,Gemma Orton,Lily Goldsmith,Md Mubtaseem Ahnaf Aronno,Zachary T Spencer,Omar M Khan,Fei Ye,Charles Williams,Andres M Lebensohn,Rajat Rohatgi,Xiaofeng Wang,Vivian L Weiss,Charles C Hong,Arminja N Kettenbach,David J Robbins,Yashi Ahmed,Ethan Lee

NPJ biofilms and microbiomes 11:93 PubMed40461483

2025

TSP50 deficiency in neural stem cells aggravates colitis in mice by altering intestinal microbiome.

Applications

Unspecified application

Species

Unspecified reactive species

Xiaoli Li,Rong Jin,Zhaoxia Wang,Chunxue Niu,Zhenbo Song,Xiaoling Liu,Jian Huang,Huan Zhang,Xia Qian,Feng Gao,Shuyue Wang,Chunlei Yu,Luguo Sun,Yanxin Huang,Lihua Zheng,Guannan Wang,Ying Sun,Xiaoguang Yang,Yongli Bao,Jiawei Li
View all publications

Product promise

We are committed to supporting your work with high-quality reagents, and we're here for you every step of the way. In the unlikely event that one of our products does not perform as expected, you're protected by our Product Promise.
For full details, please see our Terms & Conditions

Please note: All products are 'FOR RESEARCH USE ONLY. NOT FOR USE IN DIAGNOSTIC OR THERAPEUTIC PROCEDURES'.

For licensing inquiries, please contact partnerships@abcam.com