JavaScript is disabled in your browser. Please enable JavaScript to view this website.
AB177278

Anti-MUC2 antibody [EPR6145] - Low endotoxin, Azide free

Be the first to review this product! Submit a review

|

(1 Publication)

Rabbit Recombinant Monoclonal MUC2 antibody. Carrier free. Suitable for IHC-P, WB, I-ELISA and reacts with Human, Synthetic peptide samples. Cited in 1 publication.

View Alternative Names

SMUC, MUC2, Mucin-2, MUC-2, Intestinal mucin-2

9 Images
Immunohistochemistry (Formalin/PFA-fixed paraffin-embedded sections) - Anti-MUC2 antibody [EPR6145] - Low endotoxin, Azide free (AB177278)
  • IHC-P

Unknown

Immunohistochemistry (Formalin/PFA-fixed paraffin-embedded sections) - Anti-MUC2 antibody [EPR6145] - Low endotoxin, Azide free (AB177278)

Immunohistochemical analysis of paraffin embedded normal Human brain tissue using ab134119 showing -ve staining.

This data was developed using the same antibody clone in a different buffer formulation containing PBS, BSA, glycerol, and sodium azide (ab134119).

Perform heat mediated antigen retrieval with citrate buffer pH 6 before commencing with IHC staining protocol.

Immunohistochemistry (Formalin/PFA-fixed paraffin-embedded sections) - Anti-MUC2 antibody [EPR6145] - Low endotoxin, Azide free (AB177278)
  • IHC-P

Unknown

Immunohistochemistry (Formalin/PFA-fixed paraffin-embedded sections) - Anti-MUC2 antibody [EPR6145] - Low endotoxin, Azide free (AB177278)

Immunohistochemical analysis of paraffin embedded Human Skeletal muscle tissue using ab134119 showing -ve staining.

This data was developed using the same antibody clone in a different buffer formulation containing PBS, BSA, glycerol, and sodium azide (ab134119).

Perform heat mediated antigen retrieval with citrate buffer pH 6 before commencing with IHC staining protocol.

Immunohistochemistry (Formalin/PFA-fixed paraffin-embedded sections) - Anti-MUC2 antibody [EPR6145] - Low endotoxin, Azide free (AB177278)
  • IHC-P

Unknown

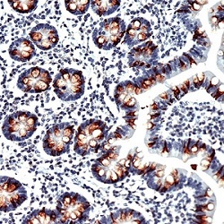
Immunohistochemistry (Formalin/PFA-fixed paraffin-embedded sections) - Anti-MUC2 antibody [EPR6145] - Low endotoxin, Azide free (AB177278)

This IHC data was generated using the same anti-MUC2 antibody clone, EPR6145, in a different buffer formulation (cat# ab134119).

Immunohistochemical analysis of paraffin embedded Human colon tissue labelling MUC2 with ab134119 at 1/250.

Perform heat mediated antigen retrieval with citrate buffer pH 6 before commencing with IHC staining protocol.

Immunohistochemistry (Formalin/PFA-fixed paraffin-embedded sections) - Anti-MUC2 antibody [EPR6145] - Low endotoxin, Azide free (AB177278)
  • IHC-P

Unknown

Immunohistochemistry (Formalin/PFA-fixed paraffin-embedded sections) - Anti-MUC2 antibody [EPR6145] - Low endotoxin, Azide free (AB177278)

Immunohistochemical analysis of paraffin embedded normal Human tonsil tissue using ab134119 showing -ve staining.

This data was developed using the same antibody clone in a different buffer formulation containing PBS, BSA, glycerol, and sodium azide (ab134119).

Perform heat mediated antigen retrieval with citrate buffer pH 6 before commencing with IHC staining protocol.

Immunohistochemistry (Formalin/PFA-fixed paraffin-embedded sections) - Anti-MUC2 antibody [EPR6145] - Low endotoxin, Azide free (AB177278)
  • IHC-P

Unknown

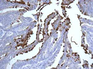
Immunohistochemistry (Formalin/PFA-fixed paraffin-embedded sections) - Anti-MUC2 antibody [EPR6145] - Low endotoxin, Azide free (AB177278)

This IHC data was generated using the same anti-MUC2 antibody clone, EPR6145, in a different buffer formulation (cat# ab134119).

Immunohistochemical analysis of paraffin embedded Human Colonic adenocarcinoma tissue using ab134119 showing +ve staining.

Perform heat mediated antigen retrieval with citrate buffer pH 6 before commencing with IHC staining protocol.

Immunohistochemistry (Formalin/PFA-fixed paraffin-embedded sections) - Anti-MUC2 antibody [EPR6145] - Low endotoxin, Azide free (AB177278)
  • IHC-P

Unknown

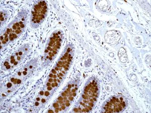
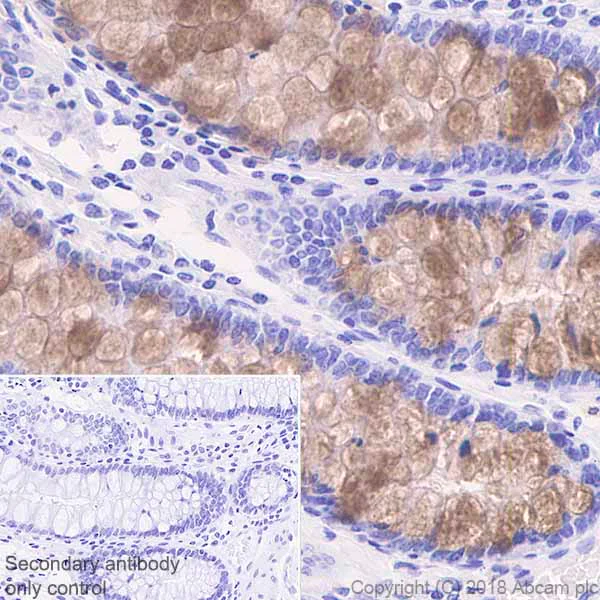
Immunohistochemistry (Formalin/PFA-fixed paraffin-embedded sections) - Anti-MUC2 antibody [EPR6145] - Low endotoxin, Azide free (AB177278)

Immunohistochemistry (Formalin/PFA-fixed paraffin-embedded sections) analysis of human colon tissue sections labeling MUC2 with purified ab134119 at 1/15,000 dilution (0.01 µg/ml). Perform heat mediated antigen retrieval using ab93684 (Tris/EDTA buffer, pH 9.0). ImmunoHistoProbe one step HRP Polymer (ready to use) was used as the secondary antibody. Negative control : PBS instead of the primary antibody. Hematoxylin was used as a counterstain.
This data was developed using the same antibody clone in a different buffer formulation containing PBS, BSA, glycerol, and sodium azide (ab134119)

Immunohistochemistry (Formalin/PFA-fixed paraffin-embedded sections) - Anti-MUC2 antibody [EPR6145] - Low endotoxin, Azide free (AB177278)
  • IHC-P

Unknown

Immunohistochemistry (Formalin/PFA-fixed paraffin-embedded sections) - Anti-MUC2 antibody [EPR6145] - Low endotoxin, Azide free (AB177278)

Immunohistochemical analysis of paraffin embedded Human Breast carcinoma tissue using ab134119 showing -ve staining.

This data was developed using the same antibody clone in a different buffer formulation containing PBS, BSA, glycerol, and sodium azide (ab134119).

Perform heat mediated antigen retrieval with citrate buffer pH 6 before commencing with IHC staining protocol.

Indirect ELISA - Anti-MUC2 antibody [EPR6145] - Low endotoxin, Azide free (AB177278)
  • I-ELISA

Unknown

Indirect ELISA - Anti-MUC2 antibody [EPR6145] - Low endotoxin, Azide free (AB177278)

indirect ELISA using ab134119 at varying antibody concentrations (1000-0 ng/ml) and MUC2 antigen at 1000 ng/ml. Alkaline Phosphatase-conjugated AffiniPure Goat Anti-Rabbit IgG (H+L) at 1/2500 dilution was used as a secondary antibody.This data was developed using the same antibody clone in a different buffer formulation containing PBS, BSA, glycerol, and sodium azide (ab134119).

OI-RD Scanning - Anti-MUC2 antibody [EPR6145] - Low endotoxin, Azide free (AB177278)
  • OI-RD Scanning

Unknown

OI-RD Scanning - Anti-MUC2 antibody [EPR6145] - Low endotoxin, Azide free (AB177278)

We have systematically measured KD (the equilibrium dissociation constant between the antibody and its antigen), of more than 840 recombinant antibodies to assess not only their individual KD values but also to see the average affinity of antibody. Based on the comparison with published literature values for mouse monoclonal antibodies, Recombinant antibodies appear to be on average 1-2 order of magnitude higher affinity.

Key facts

Host species

Rabbit

Clonality

Monoclonal

Clone number

EPR6145

Isotype

IgG

Carrier free

Yes

Reacts with

Human

Applications

WB, I-ELISA, IHC-P

applications

Immunogen

The exact immunogen used to generate this antibody is proprietary information.

Reactivity data

{ "title": "Reactivity Data", "filters": { "stats": ["", "Species", "Dilution Info", "Notes"], "tabs": { "all-applications": {"fullname" : "All Applications", "shortname": "All Applications"}, "IHCP" : {"fullname" : "Immunohistochemistry (Formalin/PFA-fixed paraffin-embedded sections)", "shortname":"IHC-P"}, "WB" : {"fullname" : "Western blot", "shortname":"WB"}, "IELISA" : {"fullname" : "Indirect ELISA", "shortname":"I-ELISA"} }, "product-promise": { "all": "all", "testedAndGuaranteed": "tested", "guaranteed": "expected", "predicted": "predicted", "notRecommended": "not-recommended" } }, "values": { "Human": { "IHCP-species-checked": "testedAndGuaranteed", "IHCP-species-dilution-info": "", "IHCP-species-notes": "<p></p>", "WB-species-checked": "guaranteed", "WB-species-dilution-info": "", "WB-species-notes": "<p></p>", "IELISA-species-checked": "guaranteed", "IELISA-species-dilution-info": "", "IELISA-species-notes": "" }, "Synthetic peptide": { "IHCP-species-checked": "notRecommended", "IHCP-species-dilution-info": "", "IHCP-species-notes": "", "WB-species-checked": "notRecommended", "WB-species-dilution-info": "", "WB-species-notes": "", "IELISA-species-checked": "testedAndGuaranteed", "IELISA-species-dilution-info": "1 µg/mL", "IELISA-species-notes": "<p></p>" } } }

Product details

ab177278 is the carrier-free version of ab134119.

Conjugation ready
Our carrier-free antibodies are typically supplied in a PBS-only formulation, purified and free of BSA, sodium azide and glycerol. This conjugation-ready format is designed for use with fluorochromes, metal isotopes, oligonucleotides, and enzymes, which makes them ideal for antibody labelling, functional and cell-based assays, flow-based assays (e.g. mass cytometry) and Multiplex Imaging applications.

Use our conjugation kits for antibody conjugates that are ready-to-use in as little as 20 minutes with 1 minute hands-on-time and 100% antibody recovery: available for fluorescent dyes, HRP, biotin and gold.

Compatibility
This product is compatible with the Maxpar® Antibody Labeling Kit from Fluidigm, without the need for antibody preparation. Maxpar® is a trademark of Fluidigm Canada Inc.

What does low endotoxin mean?
Our low endotoxin, azide-free formats have low endotoxin level (1 EU/mg, determined by the TAL assay) and are free from azide, to achieve consistent experimental results in functional assays.

Properties and storage information

Form
Liquid
Purification technique
Affinity purification Protein A
Storage buffer
Constituents: PBS
Shipped at conditions
Blue Ice
Appropriate short-term storage conditions
+4°C
Appropriate long-term storage conditions
+4°C
Storage information
Do Not Freeze

Product protocols

For this product, it's our understanding that no specific protocols are required. You can visit:

Target data

Coats the epithelia of the intestines and other mucus membrane-containing organs to provide a protective, lubricating barrier against particles and infectious agents at mucosal surfaces (PubMed : 17058067, PubMed : 19432394, PubMed : 33031746). Major constituent of the colon mucus, which is mainly formed by large polymeric networks of MUC2 secreted by goblet cells that cover the exposed surfaces of intestine (PubMed : 19432394, PubMed : 33031746). MUC2 networks form hydrogels that guard the underlying epithelium from pathogens and other hazardous matter entering from the outside world, while permitting nutrient absorption and gas exchange (PubMed : 33031746, PubMed : 36206754). Acts as a divalent copper chaperone that protects intestinal cells from copper toxicity and facilitates nutritional copper unptake into cells (PubMed : 36206754). Binds both Cu(2+) and its reduced form, Cu(1+), at two juxtaposed binding sites : Cu(2+), once reduced to Cu(1+) by vitamin C (ascorbate) or other dietary antioxidants, transits to the other binding site (PubMed : 36206754). MUC2-bound Cu(1+) is protected from oxidation in aerobic environments, and can be released for nutritional delivery to cells (PubMed : 36206754). Mucin gels store antimicrobial molecules that participate in innate immunity (PubMed : 33031746). Mucin glycoproteins also house and feed the microbiome, lubricate tissue surfaces, and may facilitate the removal of contaminants and waste products from the body (PubMed : 33031746). Goblet cells synthesize two forms of MUC2 mucin that differ in branched chain O-glycosylation and the site of production in the colon : a (1) 'thick' mucus that wraps the microbiota to form fecal pellets is produced in the proximal, ascending colon (By similarity). 'Thick' mucus transits along the descending colon and is lubricated by a (2) 'thin' MUC2 mucus produced in the distal colon which adheres to the 'thick' mucus (By similarity).
See full target information MUC2

Publications (1)

Recent publications for all applications. Explore the full list and refine your search

Frontiers in immunology 16:1590368 PubMed40475780

2025

HMGA2 interacts with KAT6A to regulate MMPs chromatin architecture and promote triple-negative breast cancer metastasis.

Applications

Unspecified application

Species

Unspecified reactive species

Lu Qiao,Zenghua Liang,Pengyi Ma,Shanshan Zhang,Cuiyun Sun,Wenjun Luo,Lin Yu
View all publications

Product promise

We are committed to supporting your work with high-quality reagents, and we're here for you every step of the way. In the unlikely event that one of our products does not perform as expected, you're protected by our Product Promise.
For full details, please see our Terms & Conditions

Please note: All products are 'FOR RESEARCH USE ONLY. NOT FOR USE IN DIAGNOSTIC OR THERAPEUTIC PROCEDURES'.

For licensing inquiries, please contact partnerships@abcam.com