JavaScript is disabled in your browser. Please enable JavaScript to view this website.
AB322964

Anti-MUC2 antibody [RM1281]

  • BOND RX™ Validated
  • Recombinant
  • RabMAb
  • 20ul selling size
  • What is this?

Be the first to review this product! Submit a review

|

(0 Publication)

Rabbit Recombinant Multiclonal MUC2 antibody. Suitable for IHC-P, WB, IP, IHC-Fr, Flow Cyt (Intra) and reacts with Human, Mouse, Rat samples.

View Alternative Names

SMUC, MUC2, Mucin-2, MUC-2, Intestinal mucin-2

17 Images
Flow Cytometry (Intracellular) - Anti-MUC2 antibody [RM1281] (AB322964)
  • Flow Cyt (Intra)

Supplier Data

Flow Cytometry (Intracellular) - Anti-MUC2 antibody [RM1281] (AB322964)

Flow cytometric analysis of 4% paraformaldehyde fixed 90% methanol permeabilized HT-29(human colorectal adenocarcinoma epithelial cell) cells labelling MUC2 with ab322964 at 1/50 dilution (1ug) (Red) compared with a Rabbit monoclonal IgG (ab172730) (Black) isotype control and an unlabelled control (cells without incubation with primary antibody and secondary antibody).

Goat Anti-Rabbit IgG (Alexa Fluor® 488, ab150081) at 1/5000 dilution was used as the secondary antibody.

Immunohistochemistry (Formalin/PFA-fixed paraffin-embedded sections) - Anti-MUC2 antibody [RM1281] (AB322964)
  • IHC-P

Supplier Data

Immunohistochemistry (Formalin/PFA-fixed paraffin-embedded sections) - Anti-MUC2 antibody [RM1281] (AB322964)

Immunohistochemical analysis of paraffin-embedded Human cerebrum tissue labeling MUC2 with ab322964 at 1/10000 (0.05 ug/ml) dilution, followed by a ready to use LeicaDS9800 (Bond™ Polymer Refine Detection).

Negative control : no staining on human cerebrum. The section was incubated with ab322964 for 10 mins at room temperature.
The immunostaining was performed on a Leica Biosystems BOND® RX instrument

Counterstained with Hematoxylin.

Secondary antibody only control : Secondary antibody is a ready to use LeicaDS9800 (Bond™ Polymer Refine Detection).

Heat mediated antigen retrieval was performed with Citrate buffer (pH 6.0, Epitope Retrieval Solution 1) for 20 mins

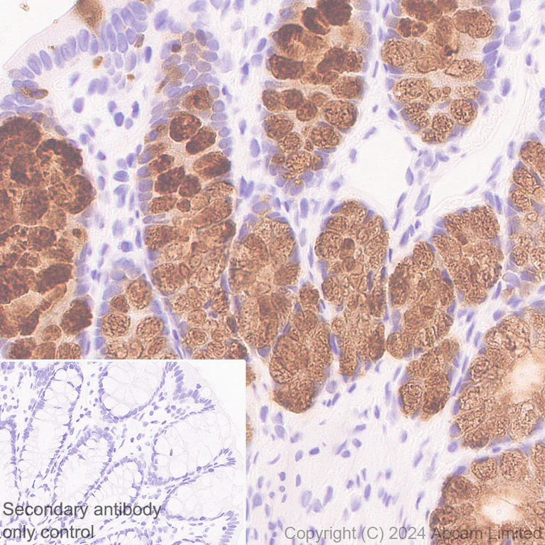
Immunohistochemistry (Formalin/PFA-fixed paraffin-embedded sections) - Anti-MUC2 antibody [RM1281] (AB322964)
  • IHC-P

Supplier Data

Immunohistochemistry (Formalin/PFA-fixed paraffin-embedded sections) - Anti-MUC2 antibody [RM1281] (AB322964)

Immunohistochemical analysis of paraffin-embedded Human colon tissue labeling MUC2 with ab322964 at 1/10000 (0.05 ug/ml) dilution, followed by a ready to use LeicaDS9800 (Bond™ Polymer Refine Detection).

Positive staining on human colon. The section was incubated with ab322964 for 10 mins at room temperature.
The immunostaining was performed on a Leica Biosystems BOND® RX instrument

Counterstained with Hematoxylin.

Secondary antibody only control : Secondary antibody is a ready to use LeicaDS9800 (Bond™ Polymer Refine Detection).

Heat mediated antigen retrieval was performed with Citrate buffer (pH 6.0, Epitope Retrieval Solution 1) for 20 mins

Flow Cytometry (Intracellular) - Anti-MUC2 antibody [RM1281] (AB322964)
  • Flow Cyt (Intra)

Supplier Data

Flow Cytometry (Intracellular) - Anti-MUC2 antibody [RM1281] (AB322964)

Flow cytometric analysis of 4% paraformaldehyde fixed 90% methanol permeabilized LoVo(human colorectal adenocarcinoma epithelial cell) cells labelling MUC2 with ab322964 at 1/50 dilution (1ug) (Red) compared with a Rabbit monoclonal IgG (ab172730) (Black) isotype control and an unlabelled control (cells without incubation with primary antibody and secondary antibody).

Goat Anti-Rabbit IgG (Alexa Fluor® 488, ab150081) at 1/5000 dilution was used as the secondary antibody.

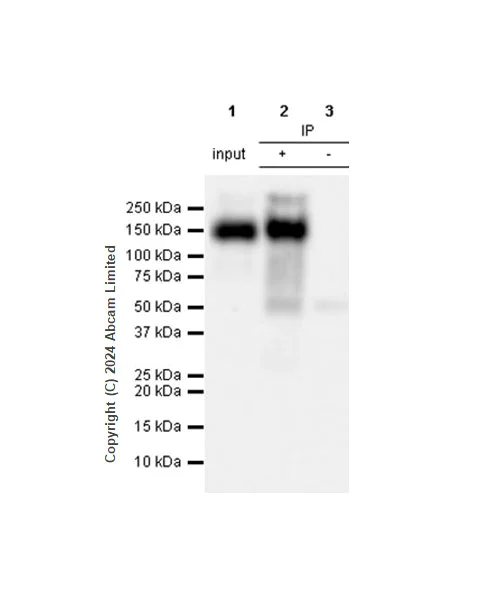
Immunoprecipitation - Anti-MUC2 antibody [RM1281] (AB322964)
  • IP

Supplier Data

Immunoprecipitation - Anti-MUC2 antibody [RM1281] (AB322964)

MUC2 was immunoprecipitated from 0.35 mg Human colon tissue lysate with ab322964 at 1/30 dilution (2ug in 0.35mg lysates). Western blot was performed on the immunoprecipitate using ab322964 at 1/1000 dilution. VeriBlot for IP secondary antibody(HRP)(ab131366) was used at 1/5000 dilution.

Lane 1 : Human colon tissue lysate
Lane 2 : ab322964 IP in Human colon tissue lysate
Lane 3 : Rabbit monoclonal IgG (ab172730) instead of ab322964 in human colon tissue lysate

Blocking and dilution buffer and concentration : 5% NFDM/TBST

All lanes:

Immunoprecipitation - Anti-MUC2 antibody [RM1281] (ab322964) at 1/30 dilution

All lanes:

Human colon tissue lysate

Secondary

All lanes:

Immunoprecipitation - VeriBlot for IP Detection Reagent (HRP) (<a href='/en-us/products/reagents/veriblot-for-ip-detection-reagent-hrp-ab131366'>ab131366</a>) at 1/5000 dilution

false

Exposure time: 8s

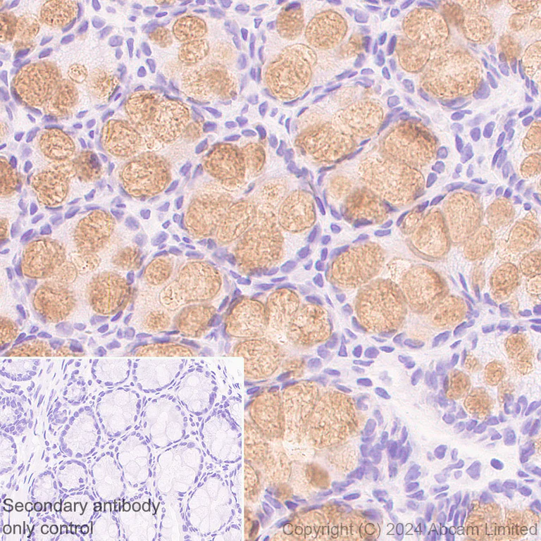
Immunohistochemistry (Formalin/PFA-fixed paraffin-embedded sections) - Anti-MUC2 antibody [RM1281] (AB322964)
  • IHC-P

Supplier Data

Immunohistochemistry (Formalin/PFA-fixed paraffin-embedded sections) - Anti-MUC2 antibody [RM1281] (AB322964)

Immunohistochemical analysis of paraffin-embedded Mouse colon tissue labeling MUC2 with ab322964 at 1/10000 (0.05 ug/ml) dilution, followed by a ready to use LeicaDS9800 (Bond™ Polymer Refine Detection).

Positive staining on mouse colon. The section was incubated with ab322964 for 10 mins at room temperature.
The immunostaining was performed on a Leica Biosystems BOND® RX instrument

Counterstained with Hematoxylin.

Secondary antibody only control : Secondary antibody is a ready to use LeicaDS9800 (Bond™ Polymer Refine Detection).

Heat mediated antigen retrieval was performed with Citrate buffer (pH 6.0, Epitope Retrieval Solution 1) for 20 mins

Immunohistochemistry (Frozen sections) - Anti-MUC2 antibody [RM1281] (AB322964)
  • IHC-Fr

Supplier Data

Immunohistochemistry (Frozen sections) - Anti-MUC2 antibody [RM1281] (AB322964)

Immunohistochemical analysis of 4% PFA-fixed, 0.2% Triton X-100 permeabilized frozen Mouse colon (fresh frozen) tissue labeling MUC2 with ab322964 at 1/1000 (0.495 ug/ml) dilution followed by ab150081 Goat Anti-Rabbit IgG H&L (Alexa Fluor® 488) preadsorbed at 1/1000 2 ug/mL dilution (Green).

Confocal image showing positive staining on mouse colon. The nuclear counterstain was DAPI (Blue). The section was incubated with ab322964 for 60 mins at room temperature. The section was then mounted using Fluoromount®.The immunostaining was performed on a Leica Biosystems BOND® RX instrument. Image was taken with a confocal microscope (Leica-Microsystems, TCS SP8).

Secondary antibody control : Secondary antibody is ab150081 Goat Anti-Rabbit IgG H&L (Alexa Fluor® 488) preadsorbedat 1/1000 2 ug/mL dilution.

Immunohistochemistry (Formalin/PFA-fixed paraffin-embedded sections) - Anti-MUC2 antibody [RM1281] (AB322964)
  • IHC-P

Supplier Data

Immunohistochemistry (Formalin/PFA-fixed paraffin-embedded sections) - Anti-MUC2 antibody [RM1281] (AB322964)

Immunohistochemical analysis of paraffin-embedded Rat colon tissue labeling MUC2 with ab322964 at 1/10000 (0.05 ug/ml) dilution, followed by a ready to use LeicaDS9800 (Bond™ Polymer Refine Detection).

Positive staining on rat colon. The section was incubated with ab322964 for 10 mins at room temperature.
The immunostaining was performed on a Leica Biosystems BOND® RX instrument

Counterstained with Hematoxylin.

Secondary antibody only control : Secondary antibody is a ready to use LeicaDS9800 (Bond™ Polymer Refine Detection).

Heat mediated antigen retrieval was performed with Citrate buffer (pH 6.0, Epitope Retrieval Solution 1) for 20 mins

Immunohistochemistry (Frozen sections) - Anti-MUC2 antibody [RM1281] (AB322964)
  • IHC-Fr

Supplier Data

Immunohistochemistry (Frozen sections) - Anti-MUC2 antibody [RM1281] (AB322964)

Immunohistochemical analysis of 4% PFA-fixed, 0.2% Triton X-100 permeabilized frozen Rat colon (fresh frozen) tissue labeling MUC2 with ab322964 at 1/1000 (0.495 ug/ml) dilution followed by ab150081 Goat Anti-Rabbit IgG H&L (Alexa Fluor® 488) preadsorbed at 1/1000 2 ug/mL dilution (Green).

Confocal image showing positive staining on rat colon. The nuclear counterstain was DAPI (Blue). The section was incubated with ab322964 for 60 mins at room temperature. The section was then mounted using Fluoromount®.The immunostaining was performed on a Leica Biosystems BOND® RX instrument. Image was taken with a confocal microscope (Leica-Microsystems, TCS SP8).

Secondary antibody control : Secondary antibody is ab150081 Goat Anti-Rabbit IgG H&L (Alexa Fluor® 488) preadsorbedat 1/1000 2 ug/mL dilution.

Immunohistochemistry (Frozen sections) - Anti-MUC2 antibody [RM1281] (AB322964)
  • IHC-Fr

Supplier Data

Immunohistochemistry (Frozen sections) - Anti-MUC2 antibody [RM1281] (AB322964)

Immunohistochemical analysis of 4% PFA-fixed, 0.2% Triton X-100 permeabilized frozen Rat cerebrum (fresh frozen) tissue labeling MUC2 with ab322964 at 1/1000 (0.495 ug/ml) dilution followed by ab150081 Goat Anti-Rabbit IgG H&L (Alexa Fluor® 488) preadsorbed at 1/1000 2 ug/mL dilution (Green).

Negative control : confocal image showing no staining on rat cerebrum. The nuclear counterstain was DAPI (Blue). The section was incubated with ab322964 for 60 mins at room temperature. The section was then mounted using Fluoromount®.The immunostaining was performed on a Leica Biosystems BOND® RX instrument. Image was taken with a confocal microscope (Leica-Microsystems, TCS SP8).

Secondary antibody control : Secondary antibody is ab150081 Goat Anti-Rabbit IgG H&L (Alexa Fluor® 488) preadsorbedat 1/1000 2 ug/mL dilution.

Immunohistochemistry (Frozen sections) - Anti-MUC2 antibody [RM1281] (AB322964)
  • IHC-Fr

Supplier Data

Immunohistochemistry (Frozen sections) - Anti-MUC2 antibody [RM1281] (AB322964)

Immunohistochemical analysis of 4% PFA-fixed, 0.2% Triton X-100 permeabilized frozen Mouse cerebrum (fresh frozen) tissue labeling MUC2 with ab322964 at 1/1000 (0.495 ug/ml) dilution followed by ab150081 Goat Anti-Rabbit IgG H&L (Alexa Fluor® 488) preadsorbed at 1/1000 2 ug/mL dilution (Green).

Negative control : confocal image showing no staining on mouse cerebrum. The nuclear counterstain was DAPI (Blue). The section was incubated with ab322964 for 60 mins at room temperature. The section was then mounted using Fluoromount®.The immunostaining was performed on a Leica Biosystems BOND® RX instrument. Image was taken with a confocal microscope (Leica-Microsystems, TCS SP8).

Secondary antibody control : Secondary antibody is ab150081 Goat Anti-Rabbit IgG H&L (Alexa Fluor® 488) preadsorbedat 1/1000 2 ug/mL dilution.

Immunoprecipitation - Anti-MUC2 antibody [RM1281] (AB322964)
  • IP

Supplier Data

Immunoprecipitation - Anti-MUC2 antibody [RM1281] (AB322964)

MUC2 was immunoprecipitated from 0.35 mg Rat colon tissue lysate with ab322964 at 1/30 dilution (2ug in 0.35mg lysates). Western blot was performed on the immunoprecipitate using ab322964 at 1/1000 dilution. VeriBlot for IP secondary antibody(HRP)(ab131366) was used at 1/5000 dilution.

Lane 1 : Rat colon tissue lysate
Lane 2 : ab322964 IP in Rat colon tissue lysate
Lane 3 : Rabbit monoclonal IgG (ab172730) instead of ab322964 in rat colon tissue lysate

Blocking and dilution buffer and concentration : 5% NFDM/TBST

All lanes:

Immunoprecipitation - Anti-MUC2 antibody [RM1281] (ab322964) at 1/30 dilution

All lanes:

Rat colon tissue lysate

Secondary

All lanes:

Immunoprecipitation - VeriBlot for IP Detection Reagent (HRP) (<a href='/en-us/products/reagents/veriblot-for-ip-detection-reagent-hrp-ab131366'>ab131366</a>) at 1/5000 dilution

false

Exposure time: 8s

Immunoprecipitation - Anti-MUC2 antibody [RM1281] (AB322964)
  • IP

Supplier Data

Immunoprecipitation - Anti-MUC2 antibody [RM1281] (AB322964)

MUC2 was immunoprecipitated from 0.35 mg Mouse colon tissue lysate with ab322964 at 1/30 dilution (2ug in 0.35mg lysates). Western blot was performed on the immunoprecipitate using ab322964 at 1/1000 dilution. VeriBlot for IP secondary antibody(HRP)(ab131366) was used at 1/5000 dilution.

Lane 1 : Mouse colon tissue lysate
Lane 2 : ab322964 IP in Mouse colon tissue lysate
Lane 3 : Rabbit monoclonal IgG (ab172730) instead of ab322964 in mouse colon tissue lysate

Blocking and dilution buffer and concentration : 5% NFDM/TBST

All lanes:

Immunoprecipitation - Anti-MUC2 antibody [RM1281] (ab322964) at 1/30 dilution

All lanes:

Mouse colon tissue lysate

Secondary

All lanes:

Immunoprecipitation - VeriBlot for IP Detection Reagent (HRP) (<a href='/en-us/products/reagents/veriblot-for-ip-detection-reagent-hrp-ab131366'>ab131366</a>) at 1/5000 dilution

false

Exposure time: 24s

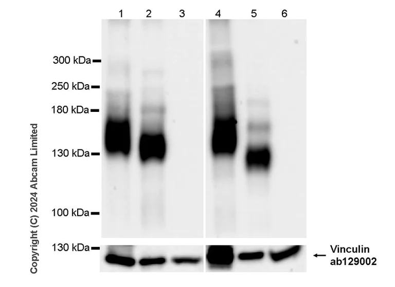
Western blot - Anti-MUC2 antibody [RM1281] (AB322964)
  • WB

Supplier Data

Western blot - Anti-MUC2 antibody [RM1281] (AB322964)

Blocking and diluting buffer and concentration : 5% NFDM/TBST.

Low expression : brain.

The molecular weight is consistent with what have been described in literature (PMID : 12582180; 16754877).

In Western blot, Anti-Vinculin antibody [EPR8185] (ab129002) staining at 1/10000 dilution.

Exposure time : Lanes 1, 3 and 4 : 180 seconds; Lane 2 : 37 seconds

All lanes:

Western blot - Anti-MUC2 antibody [RM1281] (ab322964) at 1/1000 dilution

Lane 1:

HT-29 (human colorectal adenocarcinoma epithelial cell) whole cell lysate at 50 µg

Lane 2:

Mouse colon tissue lysate at 50 µg

Lane 3:

Mouse small intestine tissue lysate at 50 µg

Lane 4:

Mouse brain tissue lysate at 50 µg

Secondary

All lanes:

Western blot - Goat Anti-Rabbit IgG H&L (HRP) (<a href='/en-us/products/secondary-antibodies/goat-rabbit-igg-h-l-hrp-ab97051'>ab97051</a>) at 1/20000 dilution

false

Western blot - Anti-MUC2 antibody [RM1281] (AB322964)
  • WB

Supplier Data

Western blot - Anti-MUC2 antibody [RM1281] (AB322964)

Blocking and diluting buffer and concentration : 5% NFDM/TBST.

Low expression : brain.

The molecular weight is consistent with what have been described in literature (PMID : 12582180; 16754877).

In Western blot, Anti-Vinculin antibody [EPR8185] (ab129002) staining at 1/10000 dilution.

All lanes:

Western blot - Anti-MUC2 antibody [RM1281] (ab322964) at 1/1000 dilution

Lane 1:

Human colon tissue lysate at 10 µg

Lane 2:

Human small intestine tissue lysate at 10 µg

Lane 3:

Human brain tissue lysate at 40 µg

Lane 4:

Rat colon tissue lysate at 10 µg

Lane 5:

Rat small intestine tissue lysate at 10 µg

Lane 6:

Rat brain tissue lysate at 10 µg

Secondary

All lanes:

Western blot - Goat Anti-Rabbit IgG H&L (HRP) (<a href='/en-us/products/secondary-antibodies/goat-rabbit-igg-h-l-hrp-ab97051'>ab97051</a>) at 1/100000 dilution

Observed band size: 140-170 kDa,124 kDa

false

Exposure time: 26s

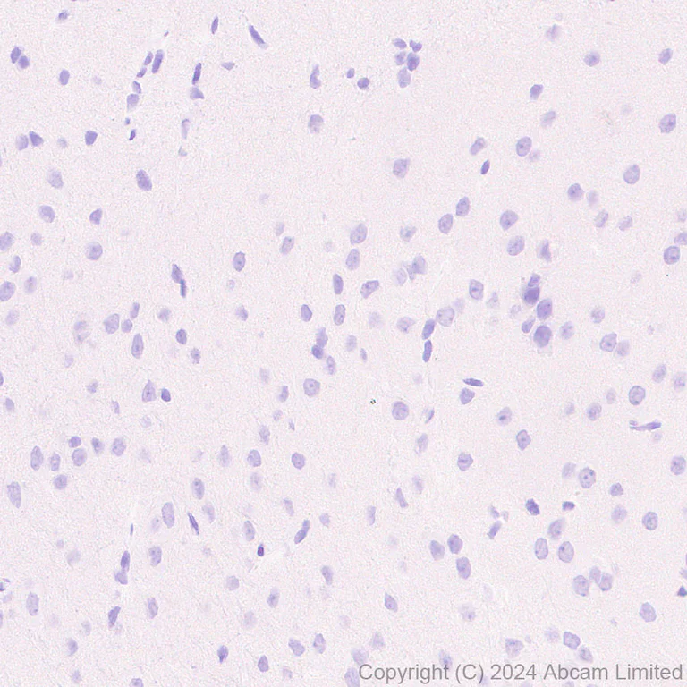
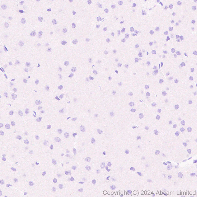
Immunohistochemistry (Formalin/PFA-fixed paraffin-embedded sections) - Anti-MUC2 antibody [RM1281] (AB322964)
  • IHC-P

Supplier Data

Immunohistochemistry (Formalin/PFA-fixed paraffin-embedded sections) - Anti-MUC2 antibody [RM1281] (AB322964)

Immunohistochemical analysis of paraffin-embedded Mouse cerebrum tissue labeling MUC2 with ab322964 at 1/10000 (0.05 ug/ml) dilution, followed by a ready to use LeicaDS9800 (Bond™ Polymer Refine Detection).

Negative control : no staining on mouse cerebrum. The section was incubated with ab322964 for 10 mins at room temperature.
The immunostaining was performed on a Leica Biosystems BOND® RX instrument

Counterstained with Hematoxylin.

Secondary antibody only control : Secondary antibody is a ready to use LeicaDS9800 (Bond™ Polymer Refine Detection).

Heat mediated antigen retrieval was performed with Citrate buffer (pH 6.0, Epitope Retrieval Solution 1) for 20 mins

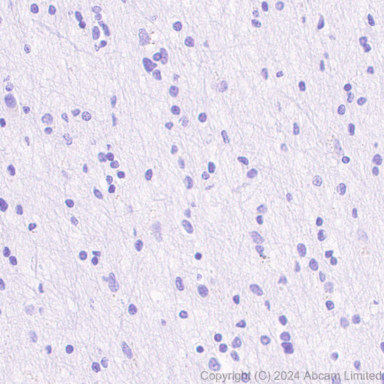
Immunohistochemistry (Formalin/PFA-fixed paraffin-embedded sections) - Anti-MUC2 antibody [RM1281] (AB322964)
  • IHC-P

Supplier Data

Immunohistochemistry (Formalin/PFA-fixed paraffin-embedded sections) - Anti-MUC2 antibody [RM1281] (AB322964)

Immunohistochemical analysis of paraffin-embedded Rat cerebrum tissue labeling MUC2 with ab322964 at 1/10000 (0.05 ug/ml) dilution, followed by a ready to use LeicaDS9800 (Bond™ Polymer Refine Detection).

Negative control : no staining on rat cerebrum. The section was incubated with ab322964 for 10 mins at room temperature.
The immunostaining was performed on a Leica Biosystems BOND® RX instrument

Counterstained with Hematoxylin.

Secondary antibody only control : Secondary antibody is a ready to use LeicaDS9800 (Bond™ Polymer Refine Detection).

Heat mediated antigen retrieval was performed with Citrate buffer (pH 6.0, Epitope Retrieval Solution 1) for 20 mins

Key facts

Host species

Rabbit

Clonality

Multiclonal

Clone number

RM1281

Isotype

IgG

Carrier free

No

Reacts with

Human, Mouse, Rat

Applications

IHC-P, WB, IP, Flow Cyt (Intra), IHC-Fr

applications

Immunogen

The exact immunogen used to generate this antibody is proprietary information.

Reactivity data

{ "title": "Reactivity Data", "filters": { "stats": ["", "Species", "Dilution Info", "Notes"], "tabs": { "all-applications": {"fullname" : "All Applications", "shortname": "All Applications"}, "IHCP" : {"fullname" : "Immunohistochemistry (Formalin/PFA-fixed paraffin-embedded sections)", "shortname":"IHC-P"}, "WB" : {"fullname" : "Western blot", "shortname":"WB"}, "IP" : {"fullname" : "Immunoprecipitation", "shortname":"IP"}, "IHCFr" : {"fullname" : "Immunohistochemistry (Frozen sections)", "shortname":"IHC-Fr"}, "FlowCytIntra" : {"fullname" : "Flow Cytometry (Intracellular)", "shortname":"Flow Cyt (Intra)"}, "ICCIF" : {"fullname" : "Immunocytochemistry/ Immunofluorescence", "shortname":"ICC/IF"} }, "product-promise": { "all": "all", "testedAndGuaranteed": "tested", "guaranteed": "expected", "predicted": "predicted", "notRecommended": "not-recommended" } }, "values": { "Human": { "IHCP-species-checked": "testedAndGuaranteed", "IHCP-species-dilution-info": "1/10000", "IHCP-species-notes": "<p></p> Perform heat-mediated antigen retrieval with citrate buffer pH 6 before commencing with IHC staining protocol.", "WB-species-checked": "testedAndGuaranteed", "WB-species-dilution-info": "1/1000", "WB-species-notes": "<p></p>", "IP-species-checked": "testedAndGuaranteed", "IP-species-dilution-info": "1/30", "IP-species-notes": "<p></p>", "IHCFr-species-checked": "guaranteed", "IHCFr-species-dilution-info": "", "IHCFr-species-notes": "", "FlowCytIntra-species-checked": "testedAndGuaranteed", "FlowCytIntra-species-dilution-info": "1/50", "FlowCytIntra-species-notes": "<p></p>", "ICCIF-species-checked": "notRecommended", "ICCIF-species-dilution-info": "", "ICCIF-species-notes": "<p></p>" }, "Mouse": { "IHCP-species-checked": "testedAndGuaranteed", "IHCP-species-dilution-info": "1/10000", "IHCP-species-notes": "<p></p> Perform heat-mediated antigen retrieval with citrate buffer pH 6 before commencing with IHC staining protocol.", "WB-species-checked": "testedAndGuaranteed", "WB-species-dilution-info": "1/1000", "WB-species-notes": "<p></p>", "IP-species-checked": "testedAndGuaranteed", "IP-species-dilution-info": "1/30", "IP-species-notes": "<p></p>", "IHCFr-species-checked": "testedAndGuaranteed", "IHCFr-species-dilution-info": "1/1000", "IHCFr-species-notes": "<p></p>", "FlowCytIntra-species-checked": "guaranteed", "FlowCytIntra-species-dilution-info": "", "FlowCytIntra-species-notes": "", "ICCIF-species-checked": "notRecommended", "ICCIF-species-dilution-info": "", "ICCIF-species-notes": "<p></p>" }, "Rat": { "IHCP-species-checked": "testedAndGuaranteed", "IHCP-species-dilution-info": "1/10000", "IHCP-species-notes": "<p></p> Perform heat-mediated antigen retrieval with citrate buffer pH 6 before commencing with IHC staining protocol.", "WB-species-checked": "testedAndGuaranteed", "WB-species-dilution-info": "1/1000", "WB-species-notes": "<p></p>", "IP-species-checked": "testedAndGuaranteed", "IP-species-dilution-info": "1/30", "IP-species-notes": "<p></p>", "IHCFr-species-checked": "testedAndGuaranteed", "IHCFr-species-dilution-info": "1/1000", "IHCFr-species-notes": "<p></p>", "FlowCytIntra-species-checked": "guaranteed", "FlowCytIntra-species-dilution-info": "", "FlowCytIntra-species-notes": "", "ICCIF-species-checked": "notRecommended", "ICCIF-species-dilution-info": "", "ICCIF-species-notes": "<p></p>" } } }

Product details

What are recombinant multiclonals?
Recombinant multiclonals are a mixture of recombinant antibodies co-expressed from a library of heavy and light chains. They offer several advantages including:

  • - The sensitivity of polyclonal antibodies by recognising multiple epitopes
  • - High batch-to-batch consistency and reproducibility
  • - Improved sensitivity and specificity
  • - Long-term security of supply
  • - Animal-free batch production

View our range of recombinant multiclonal antibodies.

Patented technology
Our RabMAb® technology is a patented hybridoma-based technology for making rabbit monoclonal antibodies. For details on our patents, please refer to RabMAb® patents.

Properties and storage information

Form
Liquid
Purification technique
Affinity purification Protein A
Storage buffer
pH: 7.2 - 7.4 Preservative: 0.01% Sodium azide Constituents: PBS, 40% Glycerol (glycerin, glycerine), 0.05% BSA
Shipped at conditions
Blue Ice
Appropriate short-term storage duration
1-2 weeks
Appropriate short-term storage conditions
+4°C
Appropriate long-term storage conditions
-20°C
Aliquoting information
Upon delivery aliquot
Storage information
Avoid freeze / thaw cycle

Product protocols

For this product, it's our understanding that no specific protocols are required. You can visit:

Target data

Coats the epithelia of the intestines and other mucus membrane-containing organs to provide a protective, lubricating barrier against particles and infectious agents at mucosal surfaces (PubMed : 17058067, PubMed : 19432394, PubMed : 33031746). Major constituent of the colon mucus, which is mainly formed by large polymeric networks of MUC2 secreted by goblet cells that cover the exposed surfaces of intestine (PubMed : 19432394, PubMed : 33031746). MUC2 networks form hydrogels that guard the underlying epithelium from pathogens and other hazardous matter entering from the outside world, while permitting nutrient absorption and gas exchange (PubMed : 33031746, PubMed : 36206754). Acts as a divalent copper chaperone that protects intestinal cells from copper toxicity and facilitates nutritional copper unptake into cells (PubMed : 36206754). Binds both Cu(2+) and its reduced form, Cu(1+), at two juxtaposed binding sites : Cu(2+), once reduced to Cu(1+) by vitamin C (ascorbate) or other dietary antioxidants, transits to the other binding site (PubMed : 36206754). MUC2-bound Cu(1+) is protected from oxidation in aerobic environments, and can be released for nutritional delivery to cells (PubMed : 36206754). Mucin gels store antimicrobial molecules that participate in innate immunity (PubMed : 33031746). Mucin glycoproteins also house and feed the microbiome, lubricate tissue surfaces, and may facilitate the removal of contaminants and waste products from the body (PubMed : 33031746). Goblet cells synthesize two forms of MUC2 mucin that differ in branched chain O-glycosylation and the site of production in the colon : a (1) 'thick' mucus that wraps the microbiota to form fecal pellets is produced in the proximal, ascending colon (By similarity). 'Thick' mucus transits along the descending colon and is lubricated by a (2) 'thin' MUC2 mucus produced in the distal colon which adheres to the 'thick' mucus (By similarity).
See full target information MUC2

Product promise

We are committed to supporting your work with high-quality reagents, and we're here for you every step of the way. In the unlikely event that one of our products does not perform as expected, you're protected by our Product Promise.
For full details, please see our Terms & Conditions

Please note: All products are 'FOR RESEARCH USE ONLY. NOT FOR USE IN DIAGNOSTIC OR THERAPEUTIC PROCEDURES'.

For licensing inquiries, please contact partnerships@abcam.com