JavaScript is disabled in your browser. Please enable JavaScript to view this website.
AB231659

Anti-MUC20 antibody

Be the first to review this product! Submit a review

|

(2 Publications)

Rabbit Polyclonal Mucin 20, cell surface associated antibody. Suitable for WB, IHC-P and reacts with Rat samples. Cited in 2 publications.

View Alternative Names

Muc20

5 Images
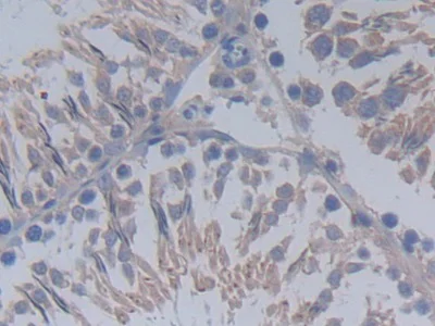
Immunohistochemistry (Formalin/PFA-fixed paraffin-embedded sections) - Anti-MUC20 antibody (AB231659)
  • IHC-P

Supplier Data

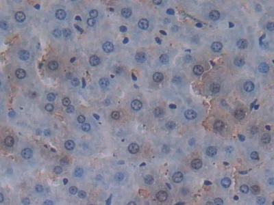
Immunohistochemistry (Formalin/PFA-fixed paraffin-embedded sections) - Anti-MUC20 antibody (AB231659)

Paraffin-embedded rat liver tissue stained for MUC20 using ab231659 at 30 μg/ml in immunohistochemical analysis. DAB staining.

Immunohistochemistry (Formalin/PFA-fixed paraffin-embedded sections) - Anti-MUC20 antibody (AB231659)
  • IHC-P

Supplier Data

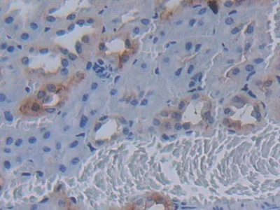
Immunohistochemistry (Formalin/PFA-fixed paraffin-embedded sections) - Anti-MUC20 antibody (AB231659)

Paraffin-embedded rat kidney tissue stained for MUC20 using ab231659 at 20 μg/ml in immunohistochemical analysis. DAB staining.

Immunohistochemistry (Formalin/PFA-fixed paraffin-embedded sections) - Anti-MUC20 antibody (AB231659)
  • IHC-P

Supplier Data

Immunohistochemistry (Formalin/PFA-fixed paraffin-embedded sections) - Anti-MUC20 antibody (AB231659)

Paraffin-embedded rat testis tissue stained for MUC20 using ab231659 at 20 μg/ml in immunohistochemical analysis. DAB staining.

Western blot - Anti-MUC20 antibody (AB231659)
  • WB

Supplier Data

Western blot - Anti-MUC20 antibody (AB231659)

All lanes:

Western blot - Anti-MUC20 antibody (ab231659) at 1 µg/mL

All lanes:

Recombinant rat MUC20 protein

Secondary

All lanes:

HRP-Linked Guinea pig Anti-Rabbit at 1/2000 dilution

Predicted band size: 72 kDa

false

Western blot - Anti-MUC20 antibody (AB231659)
  • WB

Supplier Data

Western blot - Anti-MUC20 antibody (AB231659)

All lanes:

Western blot - Anti-MUC20 antibody (ab231659) at 1 µg/mL

Lane 1:

Rat serum

Lane 2:

Rat liver lysate

Lane 3:

Rat kidney lysate

Secondary

All lanes:

HRP-Linked Guinea pig Anti-Rabbit at 1/2000 dilution

Predicted band size: 72 kDa

false

Key facts

Host species

Rabbit

Clonality

Polyclonal

Isotype

IgG

Carrier free

No

Reacts with

Rat

Applications

IHC-P, WB

applications

Reactivity data

{ "title": "Reactivity Data", "filters": { "stats": ["", "Species", "Dilution Info", "Notes"], "tabs": { "all-applications": {"fullname" : "All Applications", "shortname": "All Applications"}, "WB" : {"fullname" : "Western blot", "shortname":"WB"}, "IHCP" : {"fullname" : "Immunohistochemistry (Formalin/PFA-fixed paraffin-embedded sections)", "shortname":"IHC-P"} }, "product-promise": { "all": "all", "testedAndGuaranteed": "tested", "guaranteed": "expected", "predicted": "predicted", "notRecommended": "not-recommended" } }, "values": { "Rat": { "WB-species-checked": "testedAndGuaranteed", "WB-species-dilution-info": "0.5-2 µg/mL", "WB-species-notes": "<p></p>", "IHCP-species-checked": "testedAndGuaranteed", "IHCP-species-dilution-info": "5-20 µg/mL", "IHCP-species-notes": "<p></p>" } } }

Properties and storage information

Form
Liquid
Purification technique
Affinity purification Immunogen
Purification notes
ab231659 was purified by antigen-specific affinity chromatography followed by Protein A affinity chromatography.
Storage buffer
pH: 7.4 Preservative: 0.02% Sodium azide Constituents: PBS, 55.77% Glycerol (glycerin, glycerine)
Shipped at conditions
Blue Ice
Appropriate short-term storage duration
1-2 weeks
Appropriate short-term storage conditions
+4°C
Appropriate long-term storage conditions
-20°C
Aliquoting information
Upon delivery aliquot
Storage information
Avoid freeze / thaw cycle

Product protocols

For this product, it's our understanding that no specific protocols are required. You can visit:

Publications (2)

Recent publications for all applications. Explore the full list and refine your search

CNS neuroscience & therapeutics 30:e70098 PubMed39491498

2024

Fasudil Alleviates Postoperative Neurocognitive Disorders in Mice by Downregulating the Surface Expression of α5GABAAR in Hippocampus.

Applications

Unspecified application

Species

Unspecified reactive species

Jinpeng Dong,Zhun Wang,Lixuan Li,Mengxue Zhang,Sixuan Wang,Yuan Luo,Ying Dong,Xiaokun Wang,Yongan Wang,Kaiyuan Wang,Yiqing Yin

Heliyon 10:e31403 PubMed38803848

2024

Prognostic role of family and its relationship with immune characteristics and tumor biology in diffuse-type gastric cancer.

Applications

Unspecified application

Species

Unspecified reactive species

Xiao-Xiao Luo,Shi-Zhen Li,Lu Wang,Ai-Lin Luo,Hong Qiu,Xiang-Lin Yuan
View all publications

Product promise

We are committed to supporting your work with high-quality reagents, and we're here for you every step of the way. In the unlikely event that one of our products does not perform as expected, you're protected by our Product Promise.
For full details, please see our Terms & Conditions

Please note: All products are 'FOR RESEARCH USE ONLY. NOT FOR USE IN DIAGNOSTIC OR THERAPEUTIC PROCEDURES'.

For licensing inquiries, please contact partnerships@abcam.com