JavaScript is disabled in your browser. Please enable JavaScript to view this website.
AB270273

Anti-MUC3 antibody [MUC3/2992R]

Be the first to review this product! Submit a review

|

(1 Publication)

Rabbit Recombinant Monoclonal MUC3A antibody. Suitable for IHC-P and reacts with Human samples. Cited in 1 publication. Immunogen corresponding to Synthetic Peptide within Human MUC3A conjugated to Keyhole Limpet Haemocyanin.

View Alternative Names

MUC3, MUC3A, Mucin-3A, MUC-3A, Intestinal mucin-3A

1 Images
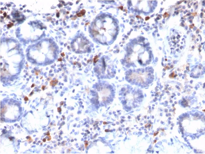
Immunohistochemistry (Formalin/PFA-fixed paraffin-embedded sections) - Anti-MUC3 antibody [MUC3/2992R] (AB270273)
  • IHC-P

Supplier Data

Immunohistochemistry (Formalin/PFA-fixed paraffin-embedded sections) - Anti-MUC3 antibody [MUC3/2992R] (AB270273)

Formalin-fixed, paraffin-embedded human gastric carcinoma stained for MUC3 using ab270273 at 2 μg/ml in imunnohistochemical analysis.

Key facts

Host species

Rabbit

Clonality

Monoclonal

Clone number

MUC3/2992R

Isotype

IgG

Carrier free

No

Reacts with

Human

Applications

IHC-P

applications

Immunogen

Synthetic Peptide within Human MUC3A conjugated to Keyhole Limpet Haemocyanin. The exact immunogen used to generate this antibody is proprietary information.

Q02505

Reactivity data

{ "title": "Reactivity Data", "filters": { "stats": ["", "Species", "Dilution Info", "Notes"], "tabs": { "all-applications": {"fullname" : "All Applications", "shortname": "All Applications"}, "IHCP" : {"fullname" : "Immunohistochemistry (Formalin/PFA-fixed paraffin-embedded sections)", "shortname":"IHC-P"} }, "product-promise": { "all": "all", "testedAndGuaranteed": "tested", "guaranteed": "expected", "predicted": "predicted", "notRecommended": "not-recommended" } }, "values": { "Human": { "IHCP-species-checked": "testedAndGuaranteed", "IHCP-species-dilution-info": "1-2 µg/mL", "IHCP-species-notes": "<p></p>" } } }

Properties and storage information

Form
Liquid
Purification technique
Affinity purification Protein A/G
Purification notes
Purified from Bioreactor Concentrate by Protein A/G.
Storage buffer
pH: 7.2 - 7.4 Preservative: 0.05% Sodium azide Constituents: PBS, 0.05% BSA
Shipped at conditions
Blue Ice
Appropriate short-term storage duration
1-2 weeks
Appropriate short-term storage conditions
+4°C
Appropriate long-term storage conditions
-20°C
Aliquoting information
Upon delivery aliquot
Storage information
Avoid freeze / thaw cycle

Product protocols

For this product, it's our understanding that no specific protocols are required. You can visit:

Target data

Major glycoprotein component of a variety of mucus gels. Thought to provide a protective, lubricating barrier against particles and infectious agents at mucosal surfaces. May be involved in ligand binding and intracellular signaling.
See full target information MUC3A

Publications (1)

Recent publications for all applications. Explore the full list and refine your search

Oncotarget 15:124-133 PubMed38329728

2024

GZ17-6.02 interacts with bexarotene to kill mycosis fungoides cells.

Applications

Unspecified application

Species

Unspecified reactive species

Michael R Booth,Laurence Booth,Jane L Roberts,Cameron West,Paul Dent
View all publications

Product promise

We are committed to supporting your work with high-quality reagents, and we're here for you every step of the way. In the unlikely event that one of our products does not perform as expected, you're protected by our Product Promise.
For full details, please see our Terms & Conditions

Please note: All products are 'FOR RESEARCH USE ONLY. NOT FOR USE IN DIAGNOSTIC OR THERAPEUTIC PROCEDURES'.

For licensing inquiries, please contact partnerships@abcam.com