JavaScript is disabled in your browser. Please enable JavaScript to view this website.
AB214220

Anti-MUC4 antibody

Be the first to review this product! Submit a review

|

(1 Publication)

Rabbit Polyclonal MUC4 antibody. Suitable for IHC-P and reacts with Human samples. Cited in 1 publication. Immunogen corresponding to Synthetic Peptide within Human MUC4 aa 1550-1650 conjugated to Keyhole Limpet Haemocyanin.

View Alternative Names

Mucin-4, MUC-4, Ascites sialoglycoprotein, Pancreatic adenocarcinoma mucin, Testis mucin, Tracheobronchial mucin, ASGP, MUC4

1 Images
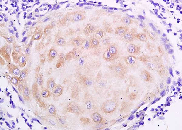
Immunohistochemistry (Formalin/PFA-fixed paraffin-embedded sections) - Anti-MUC4 antibody (AB214220)
  • IHC-P

Supplier Data

Immunohistochemistry (Formalin/PFA-fixed paraffin-embedded sections) - Anti-MUC4 antibody (AB214220)

Immunohistochemical analysis of formalin-fixed, paraffin-embedded human oral squamous cell carcinoma tissue labeling MUC4 with ab214220 at 1/200 dilution, followed by secondary antibody detection and DAB staining.

Key facts

Host species

Rabbit

Clonality

Polyclonal

Isotype

IgG

Carrier free

No

Reacts with

Human

Applications

IHC-P

applications

Immunogen

Synthetic Peptide within Human MUC4 aa 1550-1650 conjugated to Keyhole Limpet Haemocyanin. The exact immunogen used to generate this antibody is proprietary information.

Q99102

Reactivity data

{ "title": "Reactivity Data", "filters": { "stats": ["", "Species", "Dilution Info", "Notes"], "tabs": { "all-applications": {"fullname" : "All Applications", "shortname": "All Applications"}, "IHCP" : {"fullname" : "Immunohistochemistry (Formalin/PFA-fixed paraffin-embedded sections)", "shortname":"IHC-P"} }, "product-promise": { "all": "all", "testedAndGuaranteed": "tested", "guaranteed": "expected", "predicted": "predicted", "notRecommended": "not-recommended" } }, "values": { "Human": { "IHCP-species-checked": "testedAndGuaranteed", "IHCP-species-dilution-info": "1/100 - 1/500", "IHCP-species-notes": "<p></p> Perform heat-mediated antigen retrieval with citrate buffer pH 6 before commencing with IHC staining protocol." }, "Mouse": { "IHCP-species-checked": "predicted", "IHCP-species-dilution-info": "", "IHCP-species-notes": "" }, "Rat": { "IHCP-species-checked": "predicted", "IHCP-species-dilution-info": "", "IHCP-species-notes": "" } } }

Properties and storage information

Form
Liquid
Purification technique
Affinity purification Protein A
Storage buffer
pH: 7.4 Preservative: 0.02% Proclin 300 Constituents: 50% Glycerol (glycerin, glycerine), 48.98% TBS, 1X, 1% BSA
Shipped at conditions
Blue Ice
Appropriate short-term storage duration
1-2 weeks
Appropriate short-term storage conditions
+4°C
Appropriate long-term storage conditions
-20°C
Aliquoting information
Upon delivery aliquot
Storage information
Avoid freeze / thaw cycle

Product protocols

For this product, it's our understanding that no specific protocols are required. You can visit:

Target data

Membrane-bound mucin, a family of highly glycosylated proteins that constitute the major component of the mucus, the slimy and viscous secretion covering epithelial surfaces (PubMed : 10880978). These glycoproteins play important roles in the protection of the epithelium and are implicated in epithelial renewal and differentiation (PubMed : 10880978). Regulates cellular behavior through both anti-adhesive effects on cell-cell and cell-extracellular matrix interactions and its ability to act as an intramembrane ligand for ERBB2. Plays an important role in proliferation and differentiation of epithelial cells by inducing specific phosphorylation of ERBB2. In polarized epithelial cells, segregates ERBB2 and other ERBB receptors and prevents ERBB2 from acting as a coreceptor. The interaction with ERBB2 leads to enhanced expression of CDKN1B. The formation of a MUC4-ERBB2-ERBB3-NRG1 complex leads to down-regulation of CDKN1B, resulting in repression of apoptosis and stimulation of proliferation. Its ability to promote tumor growth may be mainly due to repression of apoptosis as opposed to proliferation.
See full target information MUC4

Publications (1)

Recent publications for all applications. Explore the full list and refine your search

PLoS genetics 13:e1007078 PubMed29136647

2017

Katanin-like 2 (KATNAL2) functions in multiple aspects of haploid male germ cell development in the mouse.

Applications

Unspecified application

Species

Unspecified reactive species

Jessica E M Dunleavy,Hidenobu Okuda,Anne E O'Connor,D Jo Merriner,Liza O'Donnell,Duangporn Jamsai,Martin Bergmann,Moira K O'Bryan
View all publications

Product promise

We are committed to supporting your work with high-quality reagents, and we're here for you every step of the way. In the unlikely event that one of our products does not perform as expected, you're protected by our Product Promise.
For full details, please see our Terms & Conditions

Please note: All products are 'FOR RESEARCH USE ONLY. NOT FOR USE IN DIAGNOSTIC OR THERAPEUTIC PROCEDURES'.

For licensing inquiries, please contact partnerships@abcam.com