JavaScript is disabled in your browser. Please enable JavaScript to view this website.
AB307546

Anti-MUC4 antibody [EPR27199-56]

  • BOND RX™ Validated
  • 20ul selling size
  • RabMAb
  • Recombinant
  • What is this?

Be the first to review this product! Submit a review

|

(2 Publications)

Rabbit Recombinant Monoclonal MUC4 antibody. Suitable for IP, IHC-P, WB and reacts with Human samples. Cited in 2 publications.

View Alternative Names

Mucin-4, MUC-4, Ascites sialoglycoprotein, Pancreatic adenocarcinoma mucin, Testis mucin, Tracheobronchial mucin, ASGP, MUC4

6 Images
Immunohistochemistry (Formalin/PFA-fixed paraffin-embedded sections) - Anti-MUC4 antibody [EPR27199-56] (AB307546)
  • IHC-P

Supplier Data

Immunohistochemistry (Formalin/PFA-fixed paraffin-embedded sections) - Anti-MUC4 antibody [EPR27199-56] (AB307546)

Immunohistochemical analysis of paraffin-embedded Human skeletal muscl tissue lABeling MUC4 with ab307546 at 1/500 (0.96 ug/ml) followed by a ready to use LeicaDS9800 (Bond? Polymer Refine Detection) was used. Negative control : no staining on human skeletal muscle. The section was incubated with ab307546 for 30 mins at room temperature.The immunostaining was performed on a Leica Biosystems BOND? RX instrument Counterstained with Hematoxylin. Secondary antibody only control : Secondary antibody is a ready to use LeicaDS9800 (Bond? Polymer Refine Detection) was used. Heat mediated antigen retrieval was performed with Tris-EDTA buffer (pH 9.0, Epitope Retrieval Solution2) for 20 mins

Immunohistochemistry (Formalin/PFA-fixed paraffin-embedded sections) - Anti-MUC4 antibody [EPR27199-56] (AB307546)
  • IHC-P

Supplier Data

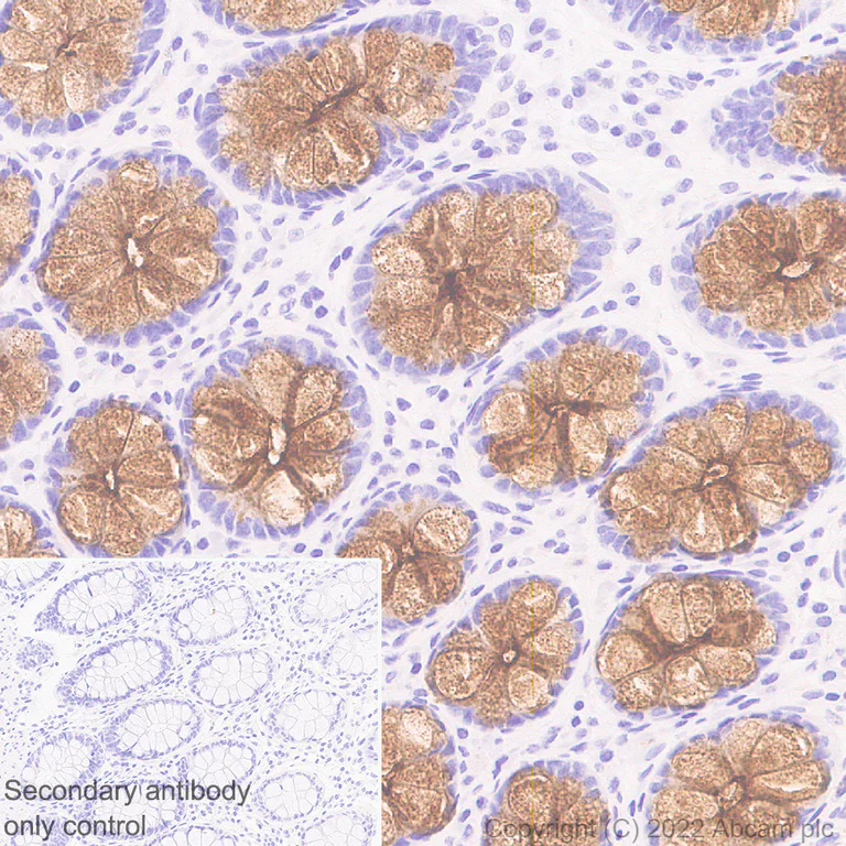
Immunohistochemistry (Formalin/PFA-fixed paraffin-embedded sections) - Anti-MUC4 antibody [EPR27199-56] (AB307546)

Immunohistochemical analysis of paraffin-embedded Human colon tissue lABeling MUC4 with ab307546 at 1/500 (0.96 ug/ml) followed by a ready to use LeicaDS9800 (Bond? Polymer Refine Detection) was used. Positive staining on human colon. The section was incubated with ab307546 for 30 mins at room temperature.The immunostaining was performed on a Leica Biosystems BOND? RX instrument Counterstained with Hematoxylin. Secondary antibody only control : Secondary antibody is a ready to use LeicaDS9800 (Bond? Polymer Refine Detection) was used. Heat mediated antigen retrieval was performed with Tris-EDTA buffer (pH 9.0, Epitope Retrieval Solution2) for 20 mins

Immunohistochemistry (Formalin/PFA-fixed paraffin-embedded sections) - Anti-MUC4 antibody [EPR27199-56] (AB307546)
  • IHC-P

Supplier Data

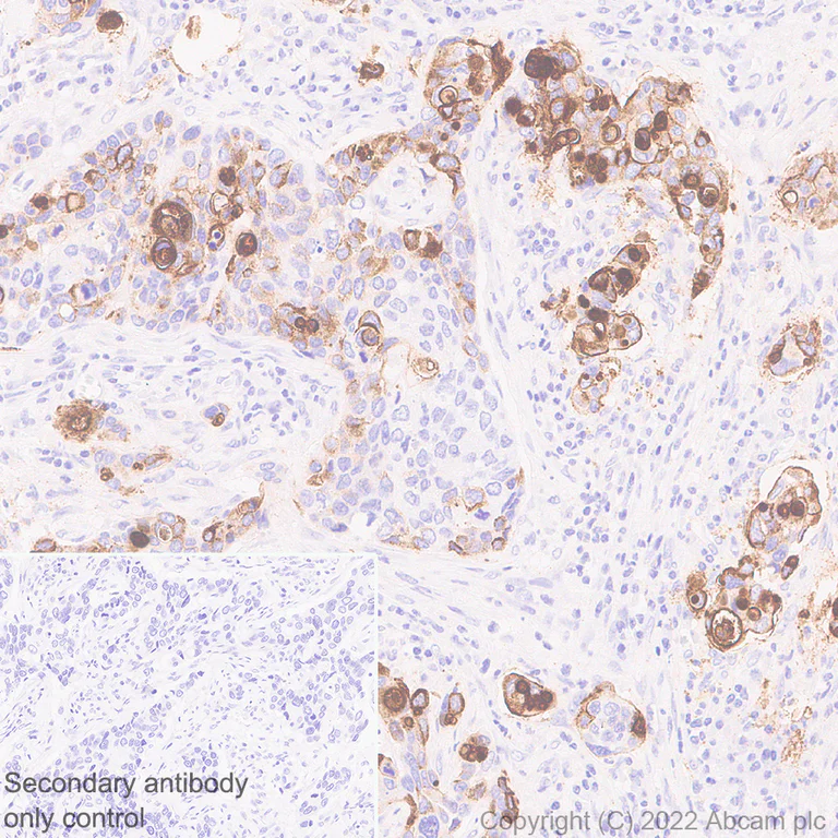
Immunohistochemistry (Formalin/PFA-fixed paraffin-embedded sections) - Anti-MUC4 antibody [EPR27199-56] (AB307546)

Immunohistochemical analysis of paraffin-embedded Human cervical carci tissue lABeling MUC4 with ab307546 at 1/500 (0.96 ug/ml) followed by a ready to use LeicaDS9800 (Bond? Polymer Refine Detection) was used. Positive staining on human cervical carcinoma. The section was incubated with ab307546 for 30 mins at room temperature.The immunostaining was performed on a Leica Biosystems BOND? RX instrument Counterstained with Hematoxylin. Secondary antibody only control : Secondary antibody is a ready to use LeicaDS9800 (Bond? Polymer Refine Detection) was used. Heat mediated antigen retrieval was performed with Tris-EDTA buffer (pH 9.0, Epitope Retrieval Solution2) for 20 mins

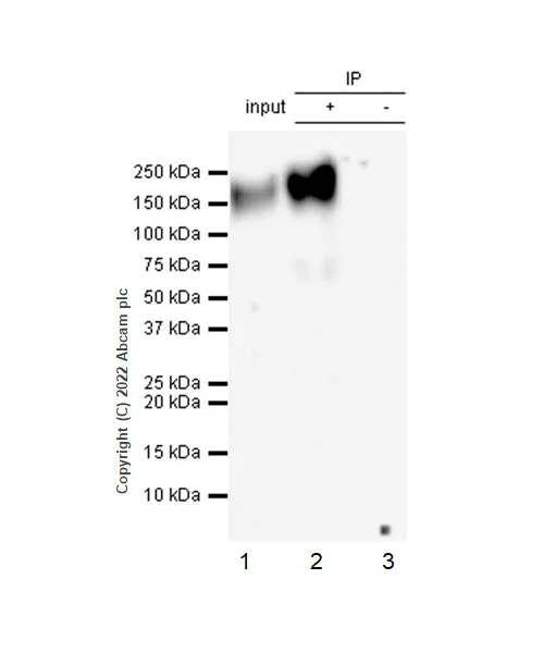
Immunoprecipitation - Anti-MUC4 antibody [EPR27199-56] (AB307546)
  • IP

Supplier Data

Immunoprecipitation - Anti-MUC4 antibody [EPR27199-56] (AB307546)

MUC4 was immunoprecipitated from 0.35 mg Capan-1 (human pancreas adenocarcinoma epithelial cell) whole cell lysate 10 ug with ab307546 at 1/30 dilution (2ug in 0.35mg lysates). Western blot was performed on the immunoprecipitate using ab307546 at 1/1000 dilution. VeriBlot for IP secondary antibody (HRP) (ab131366) was used at 1/5000 dilution.

Lane 1 : Capan-1 (human pancreas adenocarcinoma epithelial cell) whole cell lysate 10 ug

Lane 2 : ab307546 IP in Capan-1 whole cell lysate.

Lane 3 : Rabbit monoclonal IgG (ab172730) instead of ab307546 in Capan-1 whole cell lysate.

Blocking and dilution buffer and concentration : 5% NFDM/TBST.

Exposure time : 93 seconds.

All lanes:

Immunoprecipitation - Anti-MUC4 antibody [EPR27199-56] (ab307546) at 1/1000 dilution

Lane 1:

Capan-1 (human pancreas adenocarcinoma epithelial cell) whole cell lysate 10 μg

Lane 2:

Capan-1 whole cell lysate

Secondary

All lanes:

Immunoprecipitation - VeriBlot for IP Detection Reagent (HRP) (<a href='/en-us/products/reagents/veriblot-for-ip-detection-reagent-hrp-ab131366'>ab131366</a>) at 1/5000 dilution

Predicted band size: 80 kDa

Observed band size: 100 kDa,170 kDa

false

Exposure time: 93s

Western blot - Anti-MUC4 antibody [EPR27199-56] (AB307546)
  • WB

Supplier Data

Western blot - Anti-MUC4 antibody [EPR27199-56] (AB307546)

Blocking and diluting buffer and concentration : 5% NFDM/TBST.

Negative control : skeletal muscle.

This blot was developed using a high sensitivity ECL substrate. The high-sensitivity ECL substrate used allows for the detection of proteins in the mid-femtogram range.

The identity of the bands below 75 kDa are unknown.

The detected signal is the beta chain of MUC4.

All lanes:

Western blot - Anti-MUC4 antibody [EPR27199-56] (ab307546) at 1/1000 dilution

Lane 1:

Human stomach tissue lysate 20 μg

Lane 2:

Human skeletal muscle cytoplasma tissue lysate 20 μg

Secondary

All lanes:

Western blot - Goat Anti-Rabbit IgG H&L (HRP) (<a href='/en-us/products/secondary-antibodies/goat-rabbit-igg-h-l-hrp-ab97051'>ab97051</a>) at 1/100000 dilution

Predicted band size: 80 kDa

Observed band size: 100 kDa,170 kDa

true

Exposure time: 180s

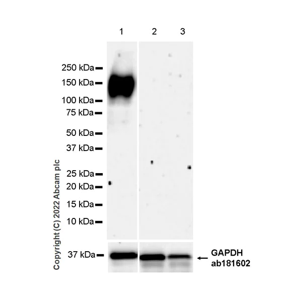
Western blot - Anti-MUC4 antibody [EPR27199-56] (AB307546)
  • WB

Supplier Data

Western blot - Anti-MUC4 antibody [EPR27199-56] (AB307546)

Blocking and diluting buffer and concentration : 5% NFDM/TBST

Negative control : MIA PaCa-2 (PMID : 21886786), PANC-1 (PMID : 23152882)

The detected signal is the beta chain of MUC4.

All lanes:

Western blot - Anti-MUC4 antibody [EPR27199-56] (ab307546) at 1/1000 dilution

Lane 1:

Capan-1 (human pancreas adenocarcinoma epithelial cell) whole cell lysate 20 &mu;g

Lane 2:

MIA PaCa-2 (human pancreas epithelial cell) whole cell lysate 20 &mu;g

Lane 3:

PANC-1 (human pancreatic epithelioid carcinoma epithelial cell) whole cell lysate 20 &mu;g

Secondary

All lanes:

Western blot - Goat Anti-Rabbit IgG H&L (HRP) (<a href='/en-us/products/secondary-antibodies/goat-rabbit-igg-h-l-hrp-ab97051'>ab97051</a>) at 1/100000 dilution

Predicted band size: 80 kDa

Observed band size: 100 kDa,170 kDa

false

Exposure time: 147s

  • Carrier free

    Anti-MUC4 antibody [EPR27199-56] - BSA and Azide free

Key facts

Host species

Rabbit

Clonality

Monoclonal

Clone number

EPR27199-56

Isotype

IgG

Carrier free

No

Reacts with

Human

Applications

IHC-P, IP, WB

applications

Immunogen

The exact immunogen used to generate this antibody is proprietary information.

Reactivity data

{ "title": "Reactivity Data", "filters": { "stats": ["", "Species", "Dilution Info", "Notes"], "tabs": { "all-applications": {"fullname" : "All Applications", "shortname": "All Applications"}, "IP" : {"fullname" : "Immunoprecipitation", "shortname":"IP"}, "FlowCyt" : {"fullname" : "Flow Cytometry", "shortname":"Flow Cyt"}, "ICCIF" : {"fullname" : "Immunocytochemistry/ Immunofluorescence", "shortname":"ICC/IF"}, "IHCP" : {"fullname" : "Immunohistochemistry (Formalin/PFA-fixed paraffin-embedded sections)", "shortname":"IHC-P"}, "WB" : {"fullname" : "Western blot", "shortname":"WB"} }, "product-promise": { "all": "all", "testedAndGuaranteed": "tested", "guaranteed": "expected", "predicted": "predicted", "notRecommended": "not-recommended" } }, "values": { "Human": { "IP-species-checked": "testedAndGuaranteed", "IP-species-dilution-info": "1/30", "IP-species-notes": "<p></p>", "FlowCyt-species-checked": "notRecommended", "FlowCyt-species-dilution-info": "", "FlowCyt-species-notes": "<p></p>", "ICCIF-species-checked": "notRecommended", "ICCIF-species-dilution-info": "1/50", "ICCIF-species-notes": "<p></p>", "IHCP-species-checked": "testedAndGuaranteed", "IHCP-species-dilution-info": "1/500", "IHCP-species-notes": "<p></p>", "WB-species-checked": "testedAndGuaranteed", "WB-species-dilution-info": "1/1000", "WB-species-notes": "<p></p>" }, "Mouse": { "IP-species-checked": "notRecommended", "IP-species-dilution-info": "", "IP-species-notes": "", "FlowCyt-species-checked": "notRecommended", "FlowCyt-species-dilution-info": "", "FlowCyt-species-notes": "", "ICCIF-species-checked": "notRecommended", "ICCIF-species-dilution-info": "", "ICCIF-species-notes": "", "IHCP-species-checked": "notRecommended", "IHCP-species-dilution-info": "1/500", "IHCP-species-notes": "<p></p>", "WB-species-checked": "notRecommended", "WB-species-dilution-info": "1/1000", "WB-species-notes": "<p></p>" }, "Rat": { "IP-species-checked": "notRecommended", "IP-species-dilution-info": "", "IP-species-notes": "", "FlowCyt-species-checked": "notRecommended", "FlowCyt-species-dilution-info": "", "FlowCyt-species-notes": "", "ICCIF-species-checked": "notRecommended", "ICCIF-species-dilution-info": "", "ICCIF-species-notes": "", "IHCP-species-checked": "notRecommended", "IHCP-species-dilution-info": "1/500", "IHCP-species-notes": "<p></p>", "WB-species-checked": "notRecommended", "WB-species-dilution-info": "1/1000", "WB-species-notes": "<p></p>" } } }

Product details

Patented technology
Our RabMAb® technology is a patented hybridoma-based technology for making rabbit monoclonal antibodies. For details on our patents, please refer to RabMAb® patents.

What are the advantages of a recombinant monoclonal antibody?
This product is a recombinant monoclonal antibody, which offers several advantages including:

  • - High batch-to-batch consistency and reproducibility
  • - Improved sensitivity and specificity
  • - Long-term security of supply
  • - Animal-free batch production

For more information, read more on recombinant antibodies.

Properties and storage information

Form
Liquid
Purification technique
Affinity purification Protein A
Storage buffer
pH: 7.2 - 7.4 Preservative: 0.01% Sodium azide Constituents: PBS, 40% Glycerol (glycerin, glycerine), 0.05% BSA
Shipped at conditions
Blue Ice
Appropriate short-term storage duration
1-2 weeks
Appropriate short-term storage conditions
+4°C
Appropriate long-term storage conditions
-20°C
Aliquoting information
Upon delivery aliquot
Storage information
Avoid freeze / thaw cycle

Product protocols

For this product, it's our understanding that no specific protocols are required. You can visit:

Target data

Membrane-bound mucin, a family of highly glycosylated proteins that constitute the major component of the mucus, the slimy and viscous secretion covering epithelial surfaces (PubMed : 10880978). These glycoproteins play important roles in the protection of the epithelium and are implicated in epithelial renewal and differentiation (PubMed : 10880978). Regulates cellular behavior through both anti-adhesive effects on cell-cell and cell-extracellular matrix interactions and its ability to act as an intramembrane ligand for ERBB2. Plays an important role in proliferation and differentiation of epithelial cells by inducing specific phosphorylation of ERBB2. In polarized epithelial cells, segregates ERBB2 and other ERBB receptors and prevents ERBB2 from acting as a coreceptor. The interaction with ERBB2 leads to enhanced expression of CDKN1B. The formation of a MUC4-ERBB2-ERBB3-NRG1 complex leads to down-regulation of CDKN1B, resulting in repression of apoptosis and stimulation of proliferation. Its ability to promote tumor growth may be mainly due to repression of apoptosis as opposed to proliferation.
See full target information MUC4

Publications (2)

Recent publications for all applications. Explore the full list and refine your search

Molecular neurobiology 62:10228-10244 PubMed40195217

2025

Rhubarb with Different Cooking Methods Restored the Gut Microbiota Dysbiosis and SCFAs in Ischemic Stroke Mice.

Applications

Unspecified application

Species

Unspecified reactive species

Jing Xu,Taotao Liu,Fuzhu Pan,Xuan Ao,Lan Wang,Rixin Liang,Yuxin Lei,Yurong Ding,Miao Yu,Li Li,Hongjun Yang

Frontiers in immunology 14:1028404 PubMed36817485

2023

Identification of immune related gene signature for predicting prognosis of cholangiocarcinoma patients.

Applications

Unspecified application

Species

Unspecified reactive species

Zi-Jian Zhang,Yun-Peng Huang,Zhong-Tao Liu,Yong-Xiang Wang,Hui Zhou,Ke-Xiong Hou,Ji-Wang Tang,Li Xiong,Yu Wen,Sheng-Fu Huang
View all publications
enhancedValidationDataWebsite
en

Product promise

We are committed to supporting your work with high-quality reagents, and we're here for you every step of the way. In the unlikely event that one of our products does not perform as expected, you're protected by our Product Promise.
For full details, please see our Terms & Conditions

Please note: All products are 'FOR RESEARCH USE ONLY. NOT FOR USE IN DIAGNOSTIC OR THERAPEUTIC PROCEDURES'.

For licensing inquiries, please contact partnerships@abcam.com