JavaScript is disabled in your browser. Please enable JavaScript to view this website.
AB87376

Anti-MUC5B antibody

Be the first to review this product! Submit a review

|

(15 Publications)

Rabbit Polyclonal MUC5B antibody. Suitable for IHC-P, ICC/IF and reacts with Human samples. Cited in 15 publications.

View Alternative Names

MUC5, MUC5B, Mucin-5B, MUC-5B, Cervical mucin, High molecular weight salivary mucin MG1, Sublingual gland mucin

2 Images
Immunocytochemistry/ Immunofluorescence - Anti-MUC5B antibody (AB87376)
  • ICC/IF

Unknown

Immunocytochemistry/ Immunofluorescence - Anti-MUC5B antibody (AB87376)

ICC/IF image of ab87376 stained HepG2 cells. The cells were 4% paraformaldehyde fixed (10 min) and then incubated in 1%BSA / 10% normal goat serum / 0.3M glycine in 0.1% PBS-Tween for 1h to permeabilise the cells and block non-specific protein-protein interactions. The cells were then incubated with the antibody (ab87376, 5µg/ml) overnight at +4°C. The secondary antibody (green) was ab96899, DyLight® 488 goat anti-rabbit IgG (H+L) used at a 1/250 dilution for 1h. Alexa Fluor® 594 WGA was used to label plasma membranes (red) at a 1/200 dilution for 1h. DAPI was used to stain the cell nuclei (blue) at a concentration of 1.43µM.

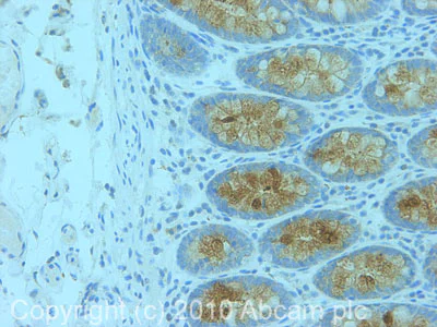
Immunohistochemistry (Formalin/PFA-fixed paraffin-embedded sections) - Anti-MUC5B antibody (AB87376)
  • IHC-P

Unknown

Immunohistochemistry (Formalin/PFA-fixed paraffin-embedded sections) - Anti-MUC5B antibody (AB87376)

IHC image of MUC5B staining in Human normal colon FFPE section, performed on a BondTM system using the standard protocol F. The section was pre-treated using heat mediated antigen retrieval with sodium citrate buffer (pH6, epitope retrieval solution 1) for 20 mins. The section was then incubated with ab87376, 5µg/ml, for 15 mins at room temperature and detected using an HRP conjugated compact polymer system. DAB was used as the chromogen. The section was then counterstained with haematoxylin and mounted with DPX

Key facts

Host species

Rabbit

Clonality

Polyclonal

Isotype

IgG

Carrier free

No

Reacts with

Human

Applications

IHC-P, ICC/IF

applications

Immunogen

The exact immunogen used to generate this antibody is proprietary information.

Specificity

From Jan 2024, QC testing of replenishment batches of this polyclonal changed. All tested and expected application and reactive species combinations are still covered by our Abcam product promise. However, we no longer test all applications. For more information on a specific batch, please contact our Scientific Support who will be happy to help.

Reactivity data

{ "title": "Reactivity Data", "filters": { "stats": ["", "Species", "Dilution Info", "Notes"], "tabs": { "all-applications": {"fullname" : "All Applications", "shortname": "All Applications"}, "IHCP" : {"fullname" : "Immunohistochemistry (Formalin/PFA-fixed paraffin-embedded sections)", "shortname":"IHC-P"}, "ICCIF" : {"fullname" : "Immunocytochemistry/ Immunofluorescence", "shortname":"ICC/IF"} }, "product-promise": { "all": "all", "testedAndGuaranteed": "tested", "guaranteed": "expected", "predicted": "predicted", "notRecommended": "not-recommended" } }, "values": { "Human": { "IHCP-species-checked": "testedAndGuaranteed", "IHCP-species-dilution-info": "1 µg/mL", "IHCP-species-notes": "<p></p>", "ICCIF-species-checked": "guaranteed", "ICCIF-species-dilution-info": "5 µg/mL", "ICCIF-species-notes": "<p></p>" } } }

Properties and storage information

Form
Liquid
Purification technique
Affinity purification Immunogen
Storage buffer
pH: 7.4 Preservative: 0.02% Sodium azide Constituents: PBS, 1% BSA
Shipped at conditions
Blue Ice
Appropriate short-term storage duration
1-2 weeks
Appropriate short-term storage conditions
+4°C
Appropriate long-term storage conditions
-20°C
Aliquoting information
Upon delivery aliquot
Storage information
Avoid freeze / thaw cycle

Product protocols

For this product, it's our understanding that no specific protocols are required. You can visit:

Target data

Gel-forming mucin that is thought to contribute to the lubricating and viscoelastic properties of whole saliva and cervical mucus.
See full target information MUC5B

Publications (15)

Recent publications for all applications. Explore the full list and refine your search

Respiratory research 25:397 PubMed39497082

2024

Ivacaftor ameliorates mucus burden, bacterial load, and inflammation in acute but not chronic P. aeruginosa infection in hG551D rats.

Applications

Unspecified application

Species

Unspecified reactive species

Johnathan D Keith,Mikayla Murphree-Terry,Gretchen Bollar,Ashley M Oden,Ian H Doty,Susan E Birket

Nature communications 15:4578 PubMed38811586

2024

Mucus production, host-microbiome interactions, hormone sensitivity, and innate immune responses modeled in human cervix chips.

Applications

Unspecified application

Species

Unspecified reactive species

Zohreh Izadifar,Justin Cotton,Siyu Chen,Viktor Horvath,Anna Stejskalova,Aakanksha Gulati,Nina T LoGrande,Bogdan Budnik,Sanjid Shahriar,Erin R Doherty,Yixuan Xie,Tania To,Sarah E Gilpin,Adama M Sesay,Girija Goyal,Carlito B Lebrilla,Donald E Ingber

Scientific reports 14:240 PubMed38168149

2024

Modelling bronchial epithelial-fibroblast cross-talk in idiopathic pulmonary fibrosis (IPF) using a human-derived in vitro air liquid interface (ALI) culture.

Applications

Unspecified application

Species

Unspecified reactive species

Sarah L Barron,Owen Wyatt,Andy O'Connor,David Mansfield,E Suzanne Cohen,Tomasz M Witkos,Sam Strickson,Róisín M Owens

BioMed research international 2022:2743046 PubMed35692597

2022

SARS-CoV-2 Induces Expression of Cytokine and MUC5AC/5B in Human Nasal Epithelial Cell through ACE 2 Receptor.

Applications

Unspecified application

Species

Unspecified reactive species

Sangjae Lee,Hyung Gyun Na,Yoon Seok Choi,Chang Hoon Bae,Si-Youn Song,Yong-Dae Kim

American journal of physiology. Lung cellular and molecular physiology 322:L462-L478 PubMed35020534

2022

Human airway lineages derived from pluripotent stem cells reveal the epithelial responses to SARS-CoV-2 infection.

Applications

Unspecified application

Species

Unspecified reactive species

Ruobing Wang,Adam J Hume,Mary Lou Beermann,Chantelle Simone-Roach,Jonathan Lindstrom-Vautrin,Jake Le Suer,Jessie Huang,Judith Olejnik,Carlos Villacorta-Martin,Esther Bullitt,Anne Hinds,Mahboobe Ghaedi,Stuart Rollins,Rhiannon B Werder,Kristine M Abo,Andrew A Wilson,Elke Mühlberger,Darrell N Kotton,Finn J Hawkins

International journal of molecular sciences 22: PubMed34445538

2021

Advanced Glycation End Products Are Retained in Decellularized Muscle Matrix Derived from Aged Skeletal Muscle.

Applications

Unspecified application

Species

Unspecified reactive species

Lucas C Olson,Tri M Nguyen,Rebecca L Heise,Barbara D Boyan,Zvi Schwartz,Michael J McClure

mBio 11: PubMed32963006

2020

Genotoxic Effect of Paratyphi A Infection on Human Primary Gallbladder Cells.

Applications

Unspecified application

Species

Unspecified reactive species

Ludovico P Sepe,Kimberly Hartl,Amina Iftekhar,Hilmar Berger,Naveen Kumar,Christian Goosmann,Sascha Chopra,Sven Christian Schmidt,Rajendra Kumar Gurumurthy,Thomas F Meyer,Francesco Boccellato

Infection and immunity 88: PubMed32747599

2020

Paracellular Pathway-Mediated Mycoplasma hyopneumoniae Migration across Porcine Airway Epithelial Barrier under Air-Liquid Interface Conditions.

Applications

Unspecified application

Species

Unspecified reactive species

Haiyan Wang,Zhenzhen Zhang,Xing Xie,Beibei Liu,Yanna Wei,Yuan Gan,Ting Yuan,Bo Ni,Jia Wang,Lei Zhang,Qiyan Xiong,Guoqing Shao,Zhixin Feng

Experimental and therapeutic medicine 20:1808-1814 PubMed32742413

2020

Association of MUC2, MUC5AC and MUC5B genes with the recurrence of nasal polyps.

Applications

Unspecified application

Species

Unspecified reactive species

Lei Liu,Chaohui Yan,Shudong Tao

Cancer medicine 9:5200-5209 PubMed32441484

2020

Identification of the key genes associated with chemotherapy sensitivity in ovarian cancer patients.

Applications

Unspecified application

Species

Unspecified reactive species

Hui Zheng,Meiqin Zhang,Shuang Ma,Wenting Yang,Suhong Xie,Yanchun Wang,Yixuan Liu,Jinyan Kai,Qian Ma,Renquan Lu,Lin Guo
View all publications

Product promise

We are committed to supporting your work with high-quality reagents, and we're here for you every step of the way. In the unlikely event that one of our products does not perform as expected, you're protected by our Product Promise.
For full details, please see our Terms & Conditions

Please note: All products are 'FOR RESEARCH USE ONLY. NOT FOR USE IN DIAGNOSTIC OR THERAPEUTIC PROCEDURES'.

For licensing inquiries, please contact partnerships@abcam.com