JavaScript is disabled in your browser. Please enable JavaScript to view this website.
AB224342

Anti-MUC7/MG2 antibody

Be the first to review this product! Submit a review

|

(1 Publication)

Rabbit Polyclonal MUC7/MG2 antibody. Suitable for IHC-P and reacts with Human samples. Cited in 1 publication. Immunogen corresponding to Recombinant Fragment Protein within Human MUC7 aa 1-200.

View Alternative Names

MG2, MUC7, Mucin-7, MUC-7, Apo-MG2, Salivary mucin-7

1 Images
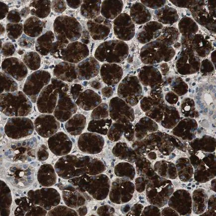
Immunohistochemistry (Formalin/PFA-fixed paraffin-embedded sections) - Anti-MUC7/MG2 antibody (AB224342)
  • IHC-P

Supplier Data

Immunohistochemistry (Formalin/PFA-fixed paraffin-embedded sections) - Anti-MUC7/MG2 antibody (AB224342)

Paraffin-embedded human salivary gland tissue stained for MUC7/MG2 with ab224342 (1/200) in immunohistochemical analysis.

Key facts

Host species

Rabbit

Clonality

Polyclonal

Isotype

IgG

Carrier free

No

Reacts with

Human

Applications

IHC-P

applications

Immunogen

Recombinant Fragment Protein within Human MUC7 aa 1-200. The exact immunogen used to generate this antibody is proprietary information.

Q8TAX7

Reactivity data

{ "title": "Reactivity Data", "filters": { "stats": ["", "Species", "Dilution Info", "Notes"], "tabs": { "all-applications": {"fullname" : "All Applications", "shortname": "All Applications"}, "IHCP" : {"fullname" : "Immunohistochemistry (Formalin/PFA-fixed paraffin-embedded sections)", "shortname":"IHC-P"} }, "product-promise": { "all": "all", "testedAndGuaranteed": "tested", "guaranteed": "expected", "predicted": "predicted", "notRecommended": "not-recommended" } }, "values": { "Human": { "IHCP-species-checked": "testedAndGuaranteed", "IHCP-species-dilution-info": "1/200 - 1/500", "IHCP-species-notes": "<p></p> Perform heat-mediated antigen retrieval with citrate buffer pH 6 before commencing with IHC staining protocol." } } }

Properties and storage information

Form
Liquid
Purification technique
Affinity purification Immunogen
Storage buffer
pH: 7.2 Preservative: 0.02% Sodium azide Constituents: PBS, 40% Glycerol (glycerin, glycerine)
Shipped at conditions
Blue Ice
Appropriate short-term storage duration
1-2 weeks
Appropriate short-term storage conditions
+4°C
Appropriate long-term storage conditions
-20°C
Aliquoting information
Upon delivery aliquot
Storage information
Avoid freeze / thaw cycle

Product protocols

For this product, it's our understanding that no specific protocols are required. You can visit:

Target data

May function in a protective capacity by promoting the clearance of bacteria in the oral cavity and aiding in mastication, speech, and swallowing. Binds P.aeruginosa pili.
See full target information MUC7

Publications (1)

Recent publications for all applications. Explore the full list and refine your search

Odontology : PubMed40975852

2025

Injectable GSK3 inhibitor (Tideglusib) hydrogel versus enhanced β-tricalcium phosphate in tibial bone healing (in vitro and in vivo study).

Applications

Unspecified application

Species

Unspecified reactive species

Mahitabe Elgamily,Mona Denewar,Ahmed A Emam,Basma Hamed Othman,Nessma Sultan
View all publications

Product promise

We are committed to supporting your work with high-quality reagents, and we're here for you every step of the way. In the unlikely event that one of our products does not perform as expected, you're protected by our Product Promise.
For full details, please see our Terms & Conditions

Please note: All products are 'FOR RESEARCH USE ONLY. NOT FOR USE IN DIAGNOSTIC OR THERAPEUTIC PROCEDURES'.

For licensing inquiries, please contact partnerships@abcam.com