JavaScript is disabled in your browser. Please enable JavaScript to view this website.
AB212636

Anti-Mucin 5AC antibody [45M1] - BSA and Azide free

  • BOND RX™ Validated
  • Advanced Validation
  • Recombinant
  • What is this?

5

(4 Reviews)

|

(14 Publications)

Mouse Recombinant Monoclonal Mucin 5AC antibody. Carrier free. Suitable for mIHC, IHC-P, ICC/IF, IHC-Fr and reacts with Human, Mouse, Rat samples. Cited in 14 publications.

View Alternative Names

MUC5, MUC5AC, Mucin-5AC, MUC-5AC, Gastric mucin, Major airway glycoprotein, Tracheobronchial mucin, TBM

8 Images
Immunohistochemistry (Formalin/PFA-fixed paraffin-embedded sections) - Anti-Mucin 5AC antibody [45M1] - BSA and Azide free (AB212636)
  • IHC-P

Lab

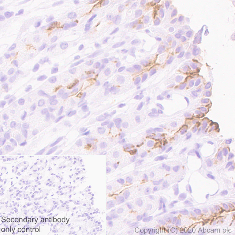
Immunohistochemistry (Formalin/PFA-fixed paraffin-embedded sections) - Anti-Mucin 5AC antibody [45M1] - BSA and Azide free (AB212636)

This data was developed using ab3649, the same antibody clone in a different buffer formulation.

Immunohistochemistry (Formalin/PFA-fixed paraffin-embedded sections) analysis of human stomach tissue labeling Mucin 5AC with ab3649 at 1/5000 dilution. Heat mediated antigen retrieval was performed using Citrate buffer pH 6 (epitope retrieval solution 1) for 20 minutes. The section was incubated with ab3649 for 30 mins at room temperature. Goat Anti-Mouse IgG H&L (HRP polymer) (ab214879) was used as the secondary antibody. Negative control using PBS instead of primary antibody. Counterstained with hematoxylin.

The immunostaining was performed on a Leica Biosystems BOND® RX instrument

Immunocytochemistry/ Immunofluorescence - Anti-Mucin 5AC antibody [45M1] - BSA and Azide free (AB212636)
  • ICC/IF

Lab

Immunocytochemistry/ Immunofluorescence - Anti-Mucin 5AC antibody [45M1] - BSA and Azide free (AB212636)

This data was developed using ab3649, the same antibody clone in a different buffer formulation.

Immunocytochemistry analysis of A549 (human lung carcinoma cell line) cells labeling Mucin 5AC with ab3649 at 1/100 dilution. Cells were fixed with 4% paraformaldehyde and permeabilized with 0.1% Triton X-100. Goat Anti-Mouse IgG H&L (Alexa Fluor® 488) (ab150113) at 1/1000 was used as the secondary antibody (green). Cells were counterstained with Anti-beta Tubulin rabbit monoclonal antibody (ab179513) at 1/200 dilution followed by Goat Anti-Rabbit IgG H&L (Alexa Fluor® 594) (ab150080) at 1/1000 dilution (red). Nuclear DNA was labelled with DAPI (blue).

Negative control 1 : ab3649 (Mouse monoclonal antibody to Mucin 5AC at 1/100 dilution) and ab150080 (anti-Rabbit secondary Alexa Fluor® 594 at 1/1000 dilution)

Negative control 2 : ab179513 (Rabbit monoclonal antibody to beta Tubulin at 1/200 dilution) and ab150113 (anti-Mouse secondary Alexa Fluor® 488 at 1/1000 dilution)

Multiplex immunohistochemistry - Anti-Mucin 5AC antibody [45M1] - BSA and Azide free (AB212636)
  • mIHC

Lab

Multiplex immunohistochemistry - Anti-Mucin 5AC antibody [45M1] - BSA and Azide free (AB212636)

Fluorescence multiplex immunohistochemical analysis of the human stomach (Formalin/PFA-fixed paraffin-embedded sections). Panel A : merged staining of anti-Mucin 5AC (ab3649, gray; Opal™690), anti-MUC-6 (ab223846, green; Opal™520) and anti-Rab3D (ab128997, red; Opal™570) on human stomach. Panel B : anti-MUC-6 stained on mucous neck cells. Panel C : anti-Mucin 5AC stained on surface mucous cells. Panel D : anti-Rab3D stained on Chief cells. Opal Polymer HRP Ms + Rb was used as a secondary antibody. The immunostaining was performed on a Leica Biosystems BOND® RX instrument with an Opal™ 4-color kit. The section was incubated in three rounds of staining : in the order of ab3649 (1/5000 dilution), ab223846 (1/1000 dilution), and ab128997 (1/10000 dilution) for 30 mins at room temperature. Each round was followed by a separate fluorescent tyramide signal amplification system. Heat mediated antigen retrieval with Tris-EDTA buffer (pH 9.0, epitope retrieval solution2) was used for 20 mins. DAPI (blue) was used as a nuclear counter stain. Image acquisition was performed with Leica SP8 confocal microscope.

This data was developed using ab3649, the same antibody clone in a different buffer formulation.

Immunohistochemistry (Formalin/PFA-fixed paraffin-embedded sections) - Anti-Mucin 5AC antibody [45M1] - BSA and Azide free (AB212636)
  • IHC-P

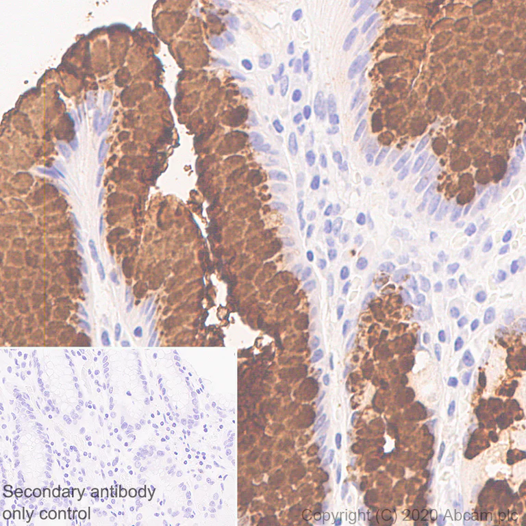
Lab

Immunohistochemistry (Formalin/PFA-fixed paraffin-embedded sections) - Anti-Mucin 5AC antibody [45M1] - BSA and Azide free (AB212636)

This data was developed using ab3649, the same antibody clone in a different buffer formulation.

Immunohistochemical analysis of formalin fixed paraffin embedded human stomach labelling Mucin 5AC with ab3649 at a concentration of 0.05µg/ml. The immunostaining was performed on a Ventana DISCOVERY ULTRA (Roche Tissue Diagnostics) instrument with a OptiView DAB IHC Detection Kit. Heat mediated antigen retrieval was performed with DISCOVERY cell conditioning solution (CC1) 100°C, pH8.5 for 32mins.

Anti-Mucin 5AC antibody [45M1] ab3649 was incubated for 16mins at 37°C. Sections were counterstained with Hematoxylin II. Image inset shows absence of staining in secondary antibody only control.

Customers are encouraged to optimise antigen retrieval conditions, antibody concentration, incubation times and temperature for best results in their own IHC assay workflow (automated and manual).

Immunohistochemistry (Frozen sections) - Anti-Mucin 5AC antibody [45M1] - BSA and Azide free (AB212636)
  • IHC-Fr

Lab

Immunohistochemistry (Frozen sections) - Anti-Mucin 5AC antibody [45M1] - BSA and Azide free (AB212636)

This data was developed using ab3649, the same antibody clone in a different buffer formulation.

Immunohistochemistry (Frozen sections) analysis of rat stomach tissue labeling Mucin 5AC with ab3649 at 1/100 dilution. Tissue was fixed with 4% paraformaldehyde and permeabilized with 0.2% Triton X-100. Heat mediated antigen retrieval was performed using sodium citrate buffer (10mM citrate pH 6.0 + 0.05% Tween-20). Goat Anti-Mouse IgG H&L (Alexa Fluor® 488) (ab150113) was used as the secondary antibody at 1/1000 dilution (green). Nuclei counterstained with DAPI (blue).

Immunohistochemistry (Formalin/PFA-fixed paraffin-embedded sections) - Anti-Mucin 5AC antibody [45M1] - BSA and Azide free (AB212636)
  • IHC-P

Lab

Immunohistochemistry (Formalin/PFA-fixed paraffin-embedded sections) - Anti-Mucin 5AC antibody [45M1] - BSA and Azide free (AB212636)

This data was developed using ab3649, the same antibody clone in a different buffer formulation.

Immunohistochemistry (Formalin/PFA-fixed paraffin-embedded sections) analysis of rat stomach tissue labeling Mucin 5AC with ab3649 at 1/5000 dilution. Heat mediated antigen retrieval was performed using Citrate buffer pH 6 (epitope retrieval solution 1) for 20 minutes. The section was incubated with ab3649 for 30 mins at room temperature. Goat Anti-Mouse IgG H&L (HRP polymer) (ab214879) was used as the secondary antibody. Negative control using PBS instead of primary antibody. Counterstained with hematoxylin.

The immunostaining was performed on a Leica Biosystems BOND® RX instrument

Immunohistochemistry (Formalin/PFA-fixed paraffin-embedded sections) - Anti-Mucin 5AC antibody [45M1] - BSA and Azide free (AB212636)
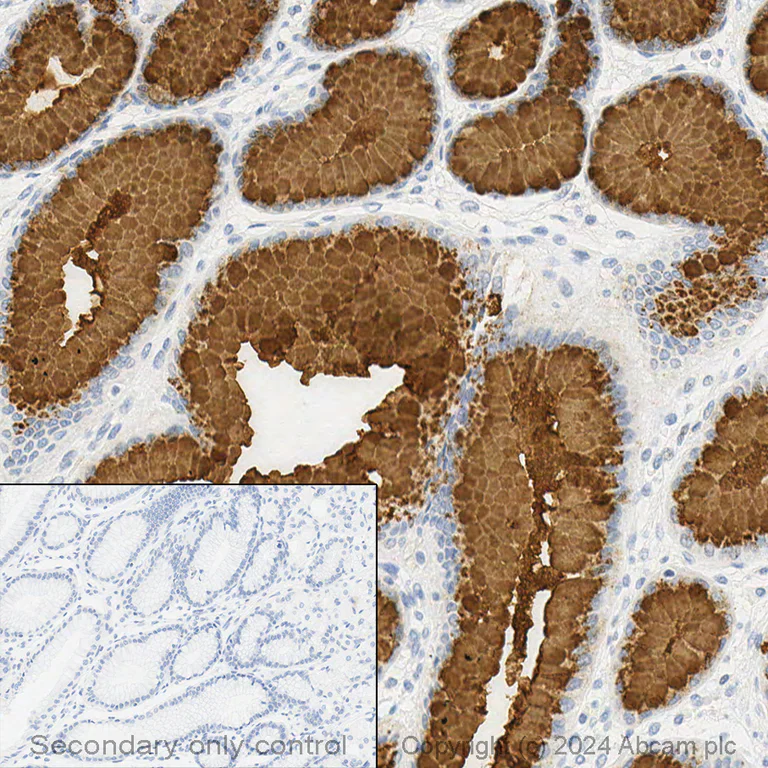
  • IHC-P

Lab

Immunohistochemistry (Formalin/PFA-fixed paraffin-embedded sections) - Anti-Mucin 5AC antibody [45M1] - BSA and Azide free (AB212636)

This data was developed using ab3649, the same antibody clone in a different buffer formulation.

Immunohistochemistry (Formalin/PFA-fixed paraffin-embedded sections) analysis of mouse stomach tissue labeling Mucin 5AC with ab3649 at 1/5000 dilution. Heat mediated antigen retrieval was performed using Citrate buffer pH 6 (epitope retrieval solution 1) for 20 minutes. The section was incubated with ab3649 for 30 mins at room temperature. Goat Anti-Mouse IgG H&L (HRP polymer) (ab214879) was used as the secondary antibody. Negative control using PBS instead of primary antibody. Counterstained with hematoxylin.

The immunostaining was performed on a Leica Biosystems BOND® RX instrument

Immunohistochemistry (Frozen sections) - Anti-Mucin 5AC antibody [45M1] - BSA and Azide free (AB212636)
  • IHC-Fr

Lab

Immunohistochemistry (Frozen sections) - Anti-Mucin 5AC antibody [45M1] - BSA and Azide free (AB212636)

This data was developed using ab3649, the same antibody clone in a different buffer formulation.

Immunohistochemistry (Frozen sections) analysis of mouse stomach tissue labeling Mucin 5AC with ab3649 at 1/100 dilution. Tissue was fixed with 4% paraformaldehyde and permeabilized with 0.2% Triton X-100. Heat mediated antigen retrieval was performed using sodium citrate buffer (10mM citrate pH 6.0 + 0.05% Tween-20). Goat Anti-Mouse IgG H&L (Alexa Fluor® 488) (ab150113) was used as the secondary antibody at 1/1000 dilution (green). Nuclei counterstained with DAPI (blue).

Key facts

Host species

Mouse

Clonality

Monoclonal

Clone number

45M1

Isotype

IgG1

Light chain type

kappa

Carrier free

Yes

Reacts with

Mouse, Rat, Human

Applications

IHC-P, ICC/IF, IHC-Fr, mIHC

applications

Immunogen

The exact immunogen used to generate this antibody is proprietary information.

Epitope

Located in the C-terminal cysteine rich part of the peptide core of MUC5AC.

Reactivity data

{ "title": "Reactivity Data", "filters": { "stats": ["", "Species", "Dilution Info", "Notes"], "tabs": { "all-applications": {"fullname" : "All Applications", "shortname": "All Applications"}, "mIHC" : {"fullname" : "Multiplex immunohistochemistry", "shortname":"mIHC"}, "IHCP" : {"fullname" : "Immunohistochemistry (Formalin/PFA-fixed paraffin-embedded sections)", "shortname":"IHC-P"}, "ICCIF" : {"fullname" : "Immunocytochemistry/ Immunofluorescence", "shortname":"ICC/IF"}, "IHCFr" : {"fullname" : "Immunohistochemistry (Frozen sections)", "shortname":"IHC-Fr"} }, "product-promise": { "all": "all", "testedAndGuaranteed": "tested", "guaranteed": "expected", "predicted": "predicted", "notRecommended": "not-recommended" } }, "values": { "Human": { "mIHC-species-checked": "testedAndGuaranteed", "mIHC-species-dilution-info": "", "mIHC-species-notes": "<p></p>", "IHCP-species-checked": "testedAndGuaranteed", "IHCP-species-dilution-info": "", "IHCP-species-notes": "<p></p>", "ICCIF-species-checked": "testedAndGuaranteed", "ICCIF-species-dilution-info": "", "ICCIF-species-notes": "<p></p>", "IHCFr-species-checked": "guaranteed", "IHCFr-species-dilution-info": "", "IHCFr-species-notes": "" }, "Mouse": { "mIHC-species-checked": "guaranteed", "mIHC-species-dilution-info": "", "mIHC-species-notes": "", "IHCP-species-checked": "testedAndGuaranteed", "IHCP-species-dilution-info": "", "IHCP-species-notes": "<p></p>", "ICCIF-species-checked": "guaranteed", "ICCIF-species-dilution-info": "", "ICCIF-species-notes": "", "IHCFr-species-checked": "testedAndGuaranteed", "IHCFr-species-dilution-info": "", "IHCFr-species-notes": "<p></p>" }, "Rat": { "mIHC-species-checked": "guaranteed", "mIHC-species-dilution-info": "", "mIHC-species-notes": "", "IHCP-species-checked": "testedAndGuaranteed", "IHCP-species-dilution-info": "", "IHCP-species-notes": "<p></p>", "ICCIF-species-checked": "guaranteed", "ICCIF-species-dilution-info": "", "ICCIF-species-notes": "", "IHCFr-species-checked": "testedAndGuaranteed", "IHCFr-species-dilution-info": "", "IHCFr-species-notes": "<p></p>" } } }

Product details

This product has switched from a hybridoma to recombinant production method on 8th March 2021.

What are the advantages of a recombinant monoclonal antibody?
This product is a recombinant monoclonal antibody, which offers several advantages including:

  • - High batch-to-batch consistency and reproducibility
  • - Improved sensitivity and specificity
  • - Long-term security of supply
  • - Animal-free batch production

For more information, read more on recombinant antibodies.

Properties and storage information

Form
Liquid
Purification technique
Affinity purification Protein A
Storage buffer
pH: 7.2 - 7.4 Constituents: PBS
Shipped at conditions
Blue Ice
Appropriate short-term storage conditions
+4°C
Appropriate long-term storage conditions
+4°C
Storage information
Do Not Freeze

Supplementary information

This supplementary information is collated from multiple sources and compiled automatically.

Mucin 5AC also known simply as MUC5AC is a high molecular weight glycoprotein with a mass in the megadaltons typically found in the human respiratory gastrointestinal and reproductive tracts. It is a major component of mucus which plays a critical role in protecting and lubricating the epithelial surfaces of these organs. MUC5AC is primarily expressed in the goblet cells of the respiratory epithelium and the stomach lining. Due to its significance researchers often use a MUC5AC ELISA or other detection methods such as tagging with Alexa Fluor 555 to measure its levels in various tissues.
Biological function summary

The functions of MUC5AC are central to the maintenance of the protective mucus barrier on epithelial surfaces preventing pathogen invasion and facilitating the clearance of inhaled particles. It is a part of the gel-forming mucin family and often forms complex structures by polymerizing with other mucins like MUC2 and MUC5B contributing to the viscoelastic properties of mucus. These interactions ensure the formation of a stable and robust mucosal barrier.

Pathways

The regulation of MUC5AC production involves several signaling pathways including the EGFR (epidermal growth factor receptor) pathway and the IL-13/STAT6 pathway. These pathways influence mucin production and secretion particularly in response to growth factors and inflammatory cytokines. Proteins such as 13M1 and 11M1 interact with MUC5AC within these pathways modulating its expression and function. This regulation is essential for normal mucus homeostasis and response to environmental challenges.

MUC5AC has a strong association with respiratory conditions like asthma and chronic obstructive pulmonary disease (COPD). In these diseases the overproduction or altered composition of MUC5AC contributes to airway obstruction and reduced pulmonary function. MUC5AC levels can be indicative of disease severity and are often measured via tests like the 5AC blood test. In these contexts proteins such as 5AC protein and 45M1 are often studied for their roles in facilitating disease progression and as potential therapeutic targets to modulate mucin levels in affected individuals.

Product protocols

For this product, it's our understanding that no specific protocols are required. You can visit:

Target data

Gel-forming glycoprotein of gastric and respiratory tract epithelia that protects the mucosa from infection and chemical damage by binding to inhaled microorganisms and particles that are subsequently removed by the mucociliary system (PubMed : 14535999, PubMed : 14718370). Interacts with H.pylori in the gastric epithelium, Barrett's esophagus as well as in gastric metaplasia of the duodenum (GMD) (PubMed : 14535999).
See full target information MUC5AC

Publications (14)

Recent publications for all applications. Explore the full list and refine your search

Biofilm 10:100317 PubMed41050920

2025

Farnesol emulsion for elimination of biofilm in a 3D airway model of cystic fibrosis.

Applications

Unspecified application

Species

Unspecified reactive species

Li Tan,Khiry Sutton,Sean V Murphy,Nicole Levi

Proceedings of the National Academy of Sciences of the United States of America 121:e2313089121 PubMed38252817

2024

Specialized proresolving mediator resolvin E1 corrects the altered cystic fibrosis nasal epithelium cilia beating dynamics.

Applications

Unspecified application

Species

Unspecified reactive species

Maëlle Briottet,Khadeeja Sy,Charlie London,Abdel Aissat,Mickael Shum,Virginie Escabasse,Bruno Louis,Valérie Urbach

Scientific reports 13:10137 PubMed37349353

2023

Development of a novel air-liquid interface airway tissue equivalent model for in vitro respiratory modeling studies.

Applications

Unspecified application

Species

Unspecified reactive species

Timothy Leach,Uma Gandhi,Kimberly D Reeves,Kristina Stumpf,Kenichi Okuda,Frank C Marini,Stephen J Walker,Richard Boucher,Jeannie Chan,Laura A Cox,Anthony Atala,Sean V Murphy

Cell 186:112-130.e20 PubMed36580912

2022

SARS-CoV-2 replication in airway epithelia requires motile cilia and microvillar reprogramming.

Applications

Unspecified application

Species

Unspecified reactive species

Chien-Ting Wu,Peter V Lidsky,Yinghong Xiao,Ran Cheng,Ivan T Lee,Tsuguhisa Nakayama,Sizun Jiang,Wei He,Janos Demeter,Miguel G Knight,Rachel E Turn,Laura S Rojas-Hernandez,Chengjin Ye,Kevin Chiem,Judy Shon,Luis Martinez-Sobrido,Carolyn R Bertozzi,Garry P Nolan,Jayakar V Nayak,Carlos Milla,Raul Andino,Peter K Jackson

Molecular therapy. Methods & clinical development 26:239-252 PubMed35892086

2022

Sendai F/HN pseudotyped lentiviral vector transduces human ciliated and non-ciliated airway cells using α 2,3 sialylated receptors.

Applications

Unspecified application

Species

Unspecified reactive species

Rosie J Munday,Tiziana Coradin,Rachael Nimmo,Yatish Lad,Stephen C Hyde,Kyriacos Mitrophanos,Deborah R Gill

Scientific reports 12:7673 PubMed35538146

2022

Apical-out airway organoids as a platform for studying viral infections and screening for antiviral drugs.

Applications

Unspecified application

Species

Unspecified reactive species

Georgios Stroulios,Tyler Brown,Giulia Moreni,Douglas Kondro,Alessandro Dei,Allen Eaves,Sharon Louis,Juan Hou,Wing Chang,Dasja Pajkrt,Katja C Wolthers,Adithya Sridhar,Salvatore Simmini

Journal of virology 96:e0009822 PubMed35285684

2022

Generation of Human Lung Organoid Cultures from Healthy and Tumor Tissue to Study Infectious Diseases.

Applications

Unspecified application

Species

Unspecified reactive species

Lorena Salgueiro,Susann Kummer,Vera Sonntag-Buck,Anne Weiß,Marc A Schneider,Hans-Georg Kräusslich,Rocio Sotillo

Veterinary research 52:142 PubMed34819162

2021

Novel chicken two-dimensional intestinal model comprising all key epithelial cell types and a mesenchymal sub-layer.

Applications

Unspecified application

Species

Unspecified reactive species

Brigid Orr,Kate Sutton,Sonja Christian,Tessa Nash,Helle Niemann,Lone Lind Hansen,Mike J McGrew,Stina Rikke Jensen,Lonneke Vervelde

International journal of molecular sciences 22: PubMed34070266

2021

Fibrin-Plasma Rich in Growth Factors Membrane for the Treatment of a Rabbit Alkali-Burn Lesion.

Applications

Unspecified application

Species

Unspecified reactive species

Ronald M Sánchez-Ávila,Natalia Vázquez,Manuel Chacón,Mairobi Persinal-Medina,Agustín Brea-Pastor,Silvia Berisa-Prado,Luis Fernández-Vega-Cueto,Eduardo Anitua,Álvaro Meana,Jesús Merayo-Lloves

Translational vision science & technology 10:32 PubMed34004007

2021

A Novel Rabbit Dry Eye Model Induced by a Controlled Drying System.

Applications

Unspecified application

Species

Unspecified reactive species

Xiao-Min Chen,Jian-Biao Kuang,Hui-Yin Yu,Zhen-Ning Wu,Shu-Yi Wang,Shi-You Zhou
View all publications

Product promise

We are committed to supporting your work with high-quality reagents, and we're here for you every step of the way. In the unlikely event that one of our products does not perform as expected, you're protected by our Product Promise.
For full details, please see our Terms & Conditions

Please note: All products are 'FOR RESEARCH USE ONLY. NOT FOR USE IN DIAGNOSTIC OR THERAPEUTIC PROCEDURES'.

For licensing inquiries, please contact partnerships@abcam.com