JavaScript is disabled in your browser. Please enable JavaScript to view this website.
AB77576

Anti-Mucin 5AC antibody [CLH2]

0

(1 Review)

|

(9 Publications)

Mouse Monoclonal Mucin 5AC antibody. Suitable for Flow Cyt, IHC-Fr, IHC-P and reacts with Human samples. Cited in 9 publications.

View Alternative Names

MUC5, MUC5AC, Mucin-5AC, MUC-5AC, Gastric mucin, Major airway glycoprotein, Tracheobronchial mucin, TBM

3 Images
Immunohistochemistry (Frozen sections) - Anti-Mucin 5AC antibody [CLH2] (AB77576)
  • IHC-Fr

Unknown

Immunohistochemistry (Frozen sections) - Anti-Mucin 5AC antibody [CLH2] (AB77576)

ab77576 staining of foveolar epithelium of human gastric mucosa by IHC-Fr. Detection with a biotin-conjugated rabbit anti-mouse secondary, followed by avidin-biotin peroxidase complex.

This image was generated using the ascites version of the product.

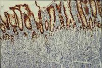
Immunohistochemistry (Frozen sections) - Anti-Mucin 5AC antibody [CLH2] (AB77576)
  • IHC-Fr

Unknown

Immunohistochemistry (Frozen sections) - Anti-Mucin 5AC antibody [CLH2] (AB77576)

ab77576 staining of foveolar epithelium of human gastric mucosa using IHC-Fr. Detection with a biotin-conjugated rabbit anti-mouse secondary, followed by avidin-biotin peroxidase complex. Colour Development by DAB. Hematoxylin counterstained.

This image was generated using the ascites version of the product.

Flow Cytometry - Anti-Mucin 5AC antibody [CLH2] (AB77576)
  • Flow Cyt

Unknown

Flow Cytometry - Anti-Mucin 5AC antibody [CLH2] (AB77576)

Overlay histogram showing A549 cells stained with ab77576 (red line). The cells were fixed with 80% methanol (5 min) and then permeabilized with 0.1% PBS-Tween for 20 min. The cells were then incubated in 1x PBS / 10% normal goat serum / 0.3M glycine to block non-specific protein-protein interactions followed by the antibody (ab77576, 1μg/1x106 cells) for 30 min at 22°C. The secondary antibody used was DyLight® 488 goat anti-mouse IgG (H+L) (ab96879) at 1/500 dilution for 30 min at 22°C. Isotype control antibody (black line) was mouse IgG1 [ICIGG1] (ab91353, 2μg/1x106 cells) used under the same conditions. Unlabelled sample (blue line). Acquisition of >5,000 events were collected using a 20mW Argon ion laser (488nm) and 525/30 bandpass filter.

This image was generated using the ascites version of the product.

Key facts

Host species

Mouse

Clonality

Monoclonal

Clone number

CLH2

Isotype

IgG1

Carrier free

No

Reacts with

Human

Applications

Flow Cyt, IHC-Fr, IHC-P

applications

Immunogen

The exact immunogen used to generate this antibody is proprietary information.

Specificity

ab77576 is specific for the MUC5AC tandem repeat of human mucin. No cross reactivity with other peptides from MUC2, 3, 6 or 7 The antibody recognises glycosylated as well as unglycosylated MUC5AC.

Reactivity data

{ "title": "Reactivity Data", "filters": { "stats": ["", "Species", "Dilution Info", "Notes"], "tabs": { "all-applications": {"fullname" : "All Applications", "shortname": "All Applications"}, "FlowCyt" : {"fullname" : "Flow Cytometry", "shortname":"Flow Cyt"}, "IHCFr" : {"fullname" : "Immunohistochemistry (Frozen sections)", "shortname":"IHC-Fr"}, "IHCP" : {"fullname" : "Immunohistochemistry (Formalin/PFA-fixed paraffin-embedded sections)", "shortname":"IHC-P"} }, "product-promise": { "all": "all", "testedAndGuaranteed": "tested", "guaranteed": "expected", "predicted": "predicted", "notRecommended": "not-recommended" } }, "values": { "Human": { "FlowCyt-species-checked": "testedAndGuaranteed", "FlowCyt-species-dilution-info": "", "FlowCyt-species-notes": "<p><a href='/en-us/products/primary-antibodies/mouse-igg1-kappa-monoclonal-15-6e10a7-isotype-control-ab170190'>ab170190</a> - Mouse monoclonal IgG1, is suitable for use as an isotype control with this antibody.</p>", "IHCFr-species-checked": "guaranteed", "IHCFr-species-dilution-info": "1/100", "IHCFr-species-notes": "<p></p>", "IHCP-species-checked": "testedAndGuaranteed", "IHCP-species-dilution-info": "1/100", "IHCP-species-notes": "<p></p>" } } }

Product details

This product was changed from ascites to tissue culture supernatant on 17 May 2019. Please note that the dilutions may need to be adjusted accordingly. If you have any questions, please do not hesitate to contact our scientific support team.

Properties and storage information

Form
Liquid
Purity
Tissue culture supernatant
Purification notes
Purified from TCS.
Storage buffer
pH: 7.6 Preservative: 0.1% Sodium azide Constituents: PBS, 1.45% Sodium chloride
Shipped at conditions
Blue Ice
Appropriate short-term storage duration
1-2 weeks
Appropriate short-term storage conditions
+4°C
Appropriate long-term storage conditions
-20°C
Storage information
Avoid freeze / thaw cycle

Supplementary information

This supplementary information is collated from multiple sources and compiled automatically.

Mucin 5AC also known simply as MUC5AC is a high molecular weight glycoprotein with a mass in the megadaltons typically found in the human respiratory gastrointestinal and reproductive tracts. It is a major component of mucus which plays a critical role in protecting and lubricating the epithelial surfaces of these organs. MUC5AC is primarily expressed in the goblet cells of the respiratory epithelium and the stomach lining. Due to its significance researchers often use a MUC5AC ELISA or other detection methods such as tagging with Alexa Fluor 555 to measure its levels in various tissues.
Biological function summary

The functions of MUC5AC are central to the maintenance of the protective mucus barrier on epithelial surfaces preventing pathogen invasion and facilitating the clearance of inhaled particles. It is a part of the gel-forming mucin family and often forms complex structures by polymerizing with other mucins like MUC2 and MUC5B contributing to the viscoelastic properties of mucus. These interactions ensure the formation of a stable and robust mucosal barrier.

Pathways

The regulation of MUC5AC production involves several signaling pathways including the EGFR (epidermal growth factor receptor) pathway and the IL-13/STAT6 pathway. These pathways influence mucin production and secretion particularly in response to growth factors and inflammatory cytokines. Proteins such as 13M1 and 11M1 interact with MUC5AC within these pathways modulating its expression and function. This regulation is essential for normal mucus homeostasis and response to environmental challenges.

MUC5AC has a strong association with respiratory conditions like asthma and chronic obstructive pulmonary disease (COPD). In these diseases the overproduction or altered composition of MUC5AC contributes to airway obstruction and reduced pulmonary function. MUC5AC levels can be indicative of disease severity and are often measured via tests like the 5AC blood test. In these contexts proteins such as 5AC protein and 45M1 are often studied for their roles in facilitating disease progression and as potential therapeutic targets to modulate mucin levels in affected individuals.

Product protocols

For this product, it's our understanding that no specific protocols are required. You can visit:

Target data

Gel-forming glycoprotein of gastric and respiratory tract epithelia that protects the mucosa from infection and chemical damage by binding to inhaled microorganisms and particles that are subsequently removed by the mucociliary system (PubMed : 14535999, PubMed : 14718370). Interacts with H.pylori in the gastric epithelium, Barrett's esophagus as well as in gastric metaplasia of the duodenum (GMD) (PubMed : 14535999).
See full target information MUC5AC

Publications (9)

Recent publications for all applications. Explore the full list and refine your search

Frontiers in cellular and infection microbiology 15:1572244 PubMed40444149

2025

Application of an organoid-based model to explore human gastric epithelium interaction .

Applications

Unspecified application

Species

Unspecified reactive species

Byeong Min Yu,So Dam Lee,Bo Ram Hwang,Ji Seon Kim,Sungsook Yu,Ki Taek Nam,Yong Chan Lee

Cancers 15: PubMed37835525

2023

Differential Expression and Diagnostic Value of MUC5AC Glycoforms in Pancreatic Ductal Adenocarcinoma.

Applications

Unspecified application

Species

Unspecified reactive species

Ashish Manne,Lianbo Yu,Phil A Hart,Allan Tsung,Ashwini Esnakula

Stem cell reports 17:820-834 PubMed35245440

2022

Epithelial-derived factors induce muscularis mucosa of human induced pluripotent stem cell-derived gastric organoids.

Applications

Unspecified application

Species

Unspecified reactive species

Keiichiro Uehara,Michiyo Koyanagi-Aoi,Takahiro Koide,Tomoo Itoh,Takashi Aoi

Toxins 13: PubMed33806705

2021

Assessing Mixture Effects of Cereulide and Deoxynivalenol on Intestinal Barrier Integrity and Uptake in Differentiated Human Caco-2 Cells.

Applications

Unspecified application

Species

Unspecified reactive species

Julia Beisl,Elisabeth Varga,Dominik Braun,Benedikt Warth,Monika Ehling-Schulz,Giorgia Del Favero,Doris Marko

Scientific reports 10:6224 PubMed32277121

2020

Alpha-tocopherol exerts protective function against the mucotoxicity of particulate matter in amphibian and human goblet cells.

Applications

Unspecified application

Species

Unspecified reactive species

Hee-Sun Yang,Hyo Jung Sim,Hanna Cho,Woo Young Bang,Ha Eun Kim,Taeg Kyu Kwon,Taejoon Kwon,Tae Joo Park

World journal of surgical oncology 18:31 PubMed32028958

2020

Evaluation of serum MUC5AC in combination with CA19-9 for the diagnosis of pancreatic cancer.

Applications

Unspecified application

Species

Unspecified reactive species

Jiayu Zhang,Yue Wang,Tiancheng Zhao,Yezhou Li,Leilei Tian,Jinming Zhao,Jingxin Zhang

Food and chemical toxicology : an international journal published for the British Industrial Biological Research Association 123:412-423 PubMed30399386

2018

Platycodi Radix and its active compounds ameliorate against house dust mite-induced allergic airway inflammation and ER stress and ROS by enhancing anti-oxidation.

Applications

Unspecified application

Species

Unspecified reactive species

Hwa-Young Lee,Geum-Hwa Lee,Hye-Kyung Kim,Han-Jung Chae

PloS one 13:e0193310 PubMed29470529

2018

Xenopus: An alternative model system for identifying muco-active agents.

Applications

Unspecified application

Species

Unspecified reactive species

Hyo Jung Sim,Sang-Hyun Kim,Kyung-Jae Myung,Taejoon Kwon,Hyun-Shik Lee,Tae Joo Park

The American journal of gastroenterology 112:172-183 PubMed27845339

2016

A Combination of MUC5AC and CA19-9 Improves the Diagnosis of Pancreatic Cancer: A Multicenter Study.

Applications

Unspecified application

Species

Unspecified reactive species

Sukhwinder Kaur,Lynette M Smith,Asish Patel,Melanie Menning,Duncan C Watley,Saad S Malik,Shiv Ram Krishn,Kavita Mallya,Abhijit Aithal,Aaron R Sasson,Sonny L Johansson,Maneesh Jain,Shailender Singh,Sushovan Guha,Chandrakanth Are,Massimo Raimondo,Michael A Hollingsworth,Randall E Brand,Surinder K Batra
View all publications

Product promise

We are committed to supporting your work with high-quality reagents, and we're here for you every step of the way. In the unlikely event that one of our products does not perform as expected, you're protected by our Product Promise.
For full details, please see our Terms & Conditions

Please note: All products are 'FOR RESEARCH USE ONLY. NOT FOR USE IN DIAGNOSTIC OR THERAPEUTIC PROCEDURES'.

For licensing inquiries, please contact partnerships@abcam.com