JavaScript is disabled in your browser. Please enable JavaScript to view this website.
AB229451

Anti-Mucin 5AC antibody [EPR16904] - Low endotoxin, Azide free

Be the first to review this product! Submit a review

|

(1 Publication)

Rabbit Recombinant Monoclonal Mucin 5AC antibody. Carrier free. Suitable for WB, ICC/IF, IHC-P and reacts with Human samples. Cited in 1 publication.

View Alternative Names

MUC5, MUC5AC, Mucin-5AC, MUC-5AC, Gastric mucin, Major airway glycoprotein, Tracheobronchial mucin, TBM

3 Images
Immunocytochemistry/ Immunofluorescence - Anti-Mucin 5AC antibody [EPR16904] - Low endotoxin, Azide free (AB229451)
  • ICC/IF

Supplier Data

Immunocytochemistry/ Immunofluorescence - Anti-Mucin 5AC antibody [EPR16904] - Low endotoxin, Azide free (AB229451)

Immunofluorescent analysis of 4% paraformaldehyde-fixed 0.1% Triton X-100 permeabilized HeLa (Human epithelial cells from cervix adenocarcinoma) cells labeling Mucin 5AC with ab198294 at 1/250 dilution followed by Goat anti-rabbit IgG (Alexa Fluor® 488) (ab150077) secondary antibody at 1/500 dilution (green).

Cytoplasm staining on HeLa cell line is observed.

The nuclear counterstain is DAPI (blue).

Tubulin is detected with ab7291 (anti-Tubulin mouse mAb) at 1/1000 dilution and ab150120 (AlexaFluor®594 Goat anti-Mouse secondary) at 1/500 dilution (red).

The negative controls are as follows : -
-ve control 1 : ab198294 at 1/250 dilution followed by ab150120 (AlexaFluor®594 Goat anti-Mouse secondary) at 1/500 dilution.
-ve control 2 : ab7291 (anti-Tubulin mouse mAb) at 1/1000 dilution followed by ab150077 (Alexa Fluor®488 Goat Anti-Rabbit IgG H&L) at 1/500 dilution.

This data was developed using the same antibody clone in a different buffer formulation containing PBS BSA glycerol and sodium azide (ab198294).

Immunocytochemistry/ Immunofluorescence - Anti-Mucin 5AC antibody [EPR16904] - Low endotoxin, Azide free (AB229451)
  • ICC/IF

Supplier Data

Immunocytochemistry/ Immunofluorescence - Anti-Mucin 5AC antibody [EPR16904] - Low endotoxin, Azide free (AB229451)

This ICC/IF data was generated using the same anti-Mucin 5AC antibody clone EPR16904 in a different buffer formulation (cat# ab198294).

Immunofluorescent analysis of 4% paraformaldehyde-fixed 0.1% Triton X-100 permeabilized SW480 (Human colorectal adenocarcinoma cell line) cells labeling Mucin 5AC with ab198294 at 1/250 dilution followed by Goat anti-rabbit IgG (Alexa Fluor® 488) (ab150077) secondary antibody at 1/500 dilution (green).

Cytoplasm staining on SW480 cell line is observed.

The nuclear counterstain is DAPI (blue).

Tubulin is detected with ab7291 (anti-Tubulin mouse mAb) at 1/1000 dilution and ab150120 (AlexaFluor®594 Goat anti-Mouse secondary) at 1/500 dilution (red).

The negative controls are as follows : -
-ve control 1 : ab198294 at 1/250 dilution followed by ab150120 (AlexaFluor®594 Goat anti-Mouse secondary) at 1/500 dilution.
-ve control 2 : ab7291 (anti-Tubulin mouse mAb) at 1/1000 dilution followed by ab150077 (Alexa Fluor®488 Goat Anti-Rabbit IgG H&L) at 1/500 dilution.

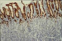
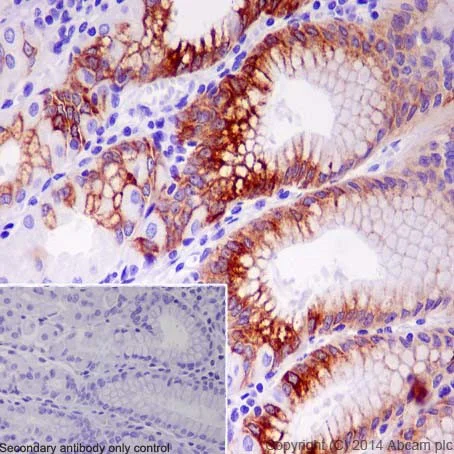
Immunohistochemistry (Formalin/PFA-fixed paraffin-embedded sections) - Anti-Mucin 5AC antibody [EPR16904] - Low endotoxin, Azide free (AB229451)
  • IHC-P

Supplier Data

Immunohistochemistry (Formalin/PFA-fixed paraffin-embedded sections) - Anti-Mucin 5AC antibody [EPR16904] - Low endotoxin, Azide free (AB229451)

This IHC data was generated using the same anti-Mucin 5AC antibody clone EPR16904 in a different buffer formulation (cat# ab198294).

Immunohistochemical analysis of paraffin-embedded Human stomach tissue labeling Mucin 5AC with ab198294 at 1/1000 dilution followed by Goat Anti-Rabbit IgG H&L (HRP) (ab97051) at 1/500 dilution.

Cytoplasm staining on Human stomach tissue is observed. Counter stained with Hematoxylin.

Secondary antibody only control : Used PBS instead of primary antibody secondary antibody is Goat Anti-Rabbit IgG H&L (HRP) (ab97051) at 1/500 dilution.

Perform heat mediated antigen retrieval with Tris/EDTA buffer pH 9.0 before commencing with IHC staining protocol.

  • HRP

    HRP Anti-Mucin 5AC antibody [EPR16904]

  • 565 Alexa Fluor® 555

    Alexa Fluor® 555 Anti-Mucin 5AC antibody [EPR16904]

  • 617 Alexa Fluor® 594

    Alexa Fluor® 594 Anti-Mucin 5AC antibody [EPR16904]

  • Unconjugated

    Anti-Mucin 5AC antibody [EPR16904]

  • Carrier free

    Anti-Mucin 5AC antibody [EPR16904] - BSA and Azide free

Key facts

Host species

Rabbit

Clonality

Monoclonal

Clone number

EPR16904

Isotype

IgG

Carrier free

Yes

Reacts with

Human

Applications

WB, IHC-P, ICC/IF

applications

Immunogen

The exact immunogen used to generate this antibody is proprietary information.

Reactivity data

{ "title": "Reactivity Data", "filters": { "stats": ["", "Species", "Dilution Info", "Notes"], "tabs": { "all-applications": {"fullname" : "All Applications", "shortname": "All Applications"}, "WB" : {"fullname" : "Western blot", "shortname":"WB"}, "ICCIF" : {"fullname" : "Immunocytochemistry/ Immunofluorescence", "shortname":"ICC/IF"}, "IHCP" : {"fullname" : "Immunohistochemistry (Formalin/PFA-fixed paraffin-embedded sections)", "shortname":"IHC-P"} }, "product-promise": { "all": "all", "testedAndGuaranteed": "tested", "guaranteed": "expected", "predicted": "predicted", "notRecommended": "not-recommended" } }, "values": { "Human": { "WB-species-checked": "guaranteed", "WB-species-dilution-info": "", "WB-species-notes": "<p></p>", "ICCIF-species-checked": "testedAndGuaranteed", "ICCIF-species-dilution-info": "", "ICCIF-species-notes": "<p></p>", "IHCP-species-checked": "testedAndGuaranteed", "IHCP-species-dilution-info": "", "IHCP-species-notes": "<p></p>" } } }

Product details

ab229451 is the carrier-free version of ab198294.

Conjugation ready
Our carrier-free antibodies are typically supplied in a PBS-only formulation, purified and free of BSA, sodium azide and glycerol. This conjugation-ready format is designed for use with fluorochromes, metal isotopes, oligonucleotides, and enzymes, which makes them ideal for antibody labelling, functional and cell-based assays, flow-based assays (e.g. mass cytometry) and Multiplex Imaging applications.

Use our conjugation kits for antibody conjugates that are ready-to-use in as little as 20 minutes with 1 minute hands-on-time and 100% antibody recovery: available for fluorescent dyes, HRP, biotin and gold.

Compatibility
This product is compatible with the Maxpar® Antibody Labeling Kit from Fluidigm, without the need for antibody preparation. Maxpar® is a trademark of Fluidigm Canada Inc.

What does low endotoxin mean?
Our low endotoxin, azide-free formats have low endotoxin level (1 EU/mg, determined by the TAL assay) and are free from azide, to achieve consistent experimental results in functional assays.

Properties and storage information

Form
Liquid
Purification technique
Affinity purification Protein A
Storage buffer
pH: 7.2 - 7.4 Constituents: PBS
Shipped at conditions
Blue Ice
Appropriate short-term storage conditions
+4°C
Appropriate long-term storage conditions
+4°C
Storage information
Do Not Freeze

Supplementary information

This supplementary information is collated from multiple sources and compiled automatically.

Mucin 5AC also known simply as MUC5AC is a high molecular weight glycoprotein with a mass in the megadaltons typically found in the human respiratory gastrointestinal and reproductive tracts. It is a major component of mucus which plays a critical role in protecting and lubricating the epithelial surfaces of these organs. MUC5AC is primarily expressed in the goblet cells of the respiratory epithelium and the stomach lining. Due to its significance researchers often use a MUC5AC ELISA or other detection methods such as tagging with Alexa Fluor 555 to measure its levels in various tissues.
Biological function summary

The functions of MUC5AC are central to the maintenance of the protective mucus barrier on epithelial surfaces preventing pathogen invasion and facilitating the clearance of inhaled particles. It is a part of the gel-forming mucin family and often forms complex structures by polymerizing with other mucins like MUC2 and MUC5B contributing to the viscoelastic properties of mucus. These interactions ensure the formation of a stable and robust mucosal barrier.

Pathways

The regulation of MUC5AC production involves several signaling pathways including the EGFR (epidermal growth factor receptor) pathway and the IL-13/STAT6 pathway. These pathways influence mucin production and secretion particularly in response to growth factors and inflammatory cytokines. Proteins such as 13M1 and 11M1 interact with MUC5AC within these pathways modulating its expression and function. This regulation is essential for normal mucus homeostasis and response to environmental challenges.

MUC5AC has a strong association with respiratory conditions like asthma and chronic obstructive pulmonary disease (COPD). In these diseases the overproduction or altered composition of MUC5AC contributes to airway obstruction and reduced pulmonary function. MUC5AC levels can be indicative of disease severity and are often measured via tests like the 5AC blood test. In these contexts proteins such as 5AC protein and 45M1 are often studied for their roles in facilitating disease progression and as potential therapeutic targets to modulate mucin levels in affected individuals.

Product protocols

For this product, it's our understanding that no specific protocols are required. You can visit:

Target data

Gel-forming glycoprotein of gastric and respiratory tract epithelia that protects the mucosa from infection and chemical damage by binding to inhaled microorganisms and particles that are subsequently removed by the mucociliary system (PubMed : 14535999, PubMed : 14718370). Interacts with H.pylori in the gastric epithelium, Barrett's esophagus as well as in gastric metaplasia of the duodenum (GMD) (PubMed : 14535999).
See full target information MUC5AC

Publications (1)

Recent publications for all applications. Explore the full list and refine your search

Nature communications 16:1589 PubMed39939598

2025

An optimised faecal microRNA sequencing pipeline reveals fibrosis in Trichuris muris infection.

Applications

Unspecified application

Species

Unspecified reactive species

Emma Layton,Sian Goldsworthy,EnJun Yang,Wei Yee Ong,Tara E Sutherland,Allison J Bancroft,Seona Thompson,Veonice Bijin Au,Sam Griffiths-Jones,Richard K Grencis,Anna-Marie Fairhurst,Ian S Roberts
View all publications

Product promise

We are committed to supporting your work with high-quality reagents, and we're here for you every step of the way. In the unlikely event that one of our products does not perform as expected, you're protected by our Product Promise.
For full details, please see our Terms & Conditions

Please note: All products are 'FOR RESEARCH USE ONLY. NOT FOR USE IN DIAGNOSTIC OR THERAPEUTIC PROCEDURES'.

For licensing inquiries, please contact partnerships@abcam.com