JavaScript is disabled in your browser. Please enable JavaScript to view this website.
AB216007

Anti-Mucin 5AC antibody [MUC5AC/917] - BSA and Azide free

Be the first to review this product! Submit a review

|

(1 Publication)

Mouse Monoclonal Mucin 5AC antibody. Carrier free. Suitable for IHC-P and reacts with Human samples. Cited in 1 publication. Immunogen corresponding to Recombinant Fragment Protein within Human MUC5AC.

View Alternative Names

MUC5, MUC5AC, Mucin-5AC, MUC-5AC, Gastric mucin, Major airway glycoprotein, Tracheobronchial mucin, TBM

1 Images
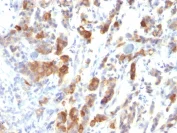
Immunohistochemistry (Formalin/PFA-fixed paraffin-embedded sections) - Anti-Mucin 5AC antibody [MUC5AC/917] - BSA and Azide free (AB216007)
  • IHC-P

Supplier Data

Immunohistochemistry (Formalin/PFA-fixed paraffin-embedded sections) - Anti-Mucin 5AC antibody [MUC5AC/917] - BSA and Azide free (AB216007)

Immunohistochemical analysis of formalin-fixed, paraffin-embedded human gastric carcinoma tissue labeling Mucin 5AC with ab216007 at 2 μg/ml dilution.

Key facts

Host species

Mouse

Clonality

Monoclonal

Clone number

MUC5AC/917

Isotype

IgG1

Light chain type

kappa

Carrier free

Yes

Reacts with

Human

Applications

IHC-P

applications

Immunogen

Recombinant Fragment Protein within Human MUC5AC. The exact immunogen used to generate this antibody is proprietary information.

P98088

Reactivity data

{ "title": "Reactivity Data", "filters": { "stats": ["", "Species", "Dilution Info", "Notes"], "tabs": { "all-applications": {"fullname" : "All Applications", "shortname": "All Applications"}, "IHCP" : {"fullname" : "Immunohistochemistry (Formalin/PFA-fixed paraffin-embedded sections)", "shortname":"IHC-P"} }, "product-promise": { "all": "all", "testedAndGuaranteed": "tested", "guaranteed": "expected", "predicted": "predicted", "notRecommended": "not-recommended" } }, "values": { "Human": { "IHCP-species-checked": "testedAndGuaranteed", "IHCP-species-dilution-info": "1-2 µg/mL", "IHCP-species-notes": "<p></p> Perform heat-mediated antigen retrieval with citrate buffer pH 6 before commencing with IHC staining protocol." }, "Rat": { "IHCP-species-checked": "notRecommended", "IHCP-species-dilution-info": "1-2 µg/mL", "IHCP-species-notes": "<p></p> Perform heat-mediated antigen retrieval with citrate buffer pH 6 before commencing with IHC staining protocol." } } }

Properties and storage information

Form
Liquid
Purification technique
Affinity purification Protein A/G
Purification notes
ab216007 is purified from Bioreactor Concentrate by Protein A/G.
Storage buffer
pH: 7.2 - 7.4 Constituents: PBS
Shipped at conditions
Blue Ice
Appropriate short-term storage duration
1-2 weeks
Appropriate short-term storage conditions
+4°C
Appropriate long-term storage conditions
-20°C
Aliquoting information
Upon delivery aliquot
Storage information
Avoid freeze / thaw cycle

Supplementary information

This supplementary information is collated from multiple sources and compiled automatically.

Mucin 5AC also known simply as MUC5AC is a high molecular weight glycoprotein with a mass in the megadaltons typically found in the human respiratory gastrointestinal and reproductive tracts. It is a major component of mucus which plays a critical role in protecting and lubricating the epithelial surfaces of these organs. MUC5AC is primarily expressed in the goblet cells of the respiratory epithelium and the stomach lining. Due to its significance researchers often use a MUC5AC ELISA or other detection methods such as tagging with Alexa Fluor 555 to measure its levels in various tissues.
Biological function summary

The functions of MUC5AC are central to the maintenance of the protective mucus barrier on epithelial surfaces preventing pathogen invasion and facilitating the clearance of inhaled particles. It is a part of the gel-forming mucin family and often forms complex structures by polymerizing with other mucins like MUC2 and MUC5B contributing to the viscoelastic properties of mucus. These interactions ensure the formation of a stable and robust mucosal barrier.

Pathways

The regulation of MUC5AC production involves several signaling pathways including the EGFR (epidermal growth factor receptor) pathway and the IL-13/STAT6 pathway. These pathways influence mucin production and secretion particularly in response to growth factors and inflammatory cytokines. Proteins such as 13M1 and 11M1 interact with MUC5AC within these pathways modulating its expression and function. This regulation is essential for normal mucus homeostasis and response to environmental challenges.

MUC5AC has a strong association with respiratory conditions like asthma and chronic obstructive pulmonary disease (COPD). In these diseases the overproduction or altered composition of MUC5AC contributes to airway obstruction and reduced pulmonary function. MUC5AC levels can be indicative of disease severity and are often measured via tests like the 5AC blood test. In these contexts proteins such as 5AC protein and 45M1 are often studied for their roles in facilitating disease progression and as potential therapeutic targets to modulate mucin levels in affected individuals.

Product protocols

For this product, it's our understanding that no specific protocols are required. You can visit:

Target data

Gel-forming glycoprotein of gastric and respiratory tract epithelia that protects the mucosa from infection and chemical damage by binding to inhaled microorganisms and particles that are subsequently removed by the mucociliary system (PubMed : 14535999, PubMed : 14718370). Interacts with H.pylori in the gastric epithelium, Barrett's esophagus as well as in gastric metaplasia of the duodenum (GMD) (PubMed : 14535999).
See full target information MUC5AC

Publications (1)

Recent publications for all applications. Explore the full list and refine your search

Oncology letters 17:3657-3664 PubMed30881490

2019

The oncogenic role of Wnt10a in colorectal cancer through activation of canonical Wnt/β-catenin signaling.

Applications

Unspecified application

Species

Unspecified reactive species

Jinlong Li,Zhaoli Zhang,Lixue Wang,Yongchen Zhang
View all publications

Product promise

We are committed to supporting your work with high-quality reagents, and we're here for you every step of the way. In the unlikely event that one of our products does not perform as expected, you're protected by our Product Promise.
For full details, please see our Terms & Conditions

Please note: All products are 'FOR RESEARCH USE ONLY. NOT FOR USE IN DIAGNOSTIC OR THERAPEUTIC PROCEDURES'.

For licensing inquiries, please contact partnerships@abcam.com