JavaScript is disabled in your browser. Please enable JavaScript to view this website.
AB247079

Anti-MUM1 antibody

Be the first to review this product! Submit a review

|

(0 Publication)

Rabbit Polyclonal MUM1 antibody. Suitable for IHC-P, ICC/IF and reacts with Human samples. Immunogen corresponding to Recombinant Fragment Protein within Human PWWP3A aa 50-200.

View Alternative Names

EXPAND1, MUM1, PWWP3A, PWWP domain-containing DNA repair factor 3A, Mutated melanoma-associated antigen 1, PWWP domain-containing protein MUM1, Protein expandere, MUM-1

2 Images
Immunocytochemistry/ Immunofluorescence - Anti-MUM1 antibody (AB247079)
  • ICC/IF

Unknown

Immunocytochemistry/ Immunofluorescence - Anti-MUM1 antibody (AB247079)

PFA-fixed, Triton X-100 permeabilized RT4 (human urinary bladder cancer cell line) cells stained for MUM1 (green) using ab247079 at 4 μg/ml in ICC/IF.

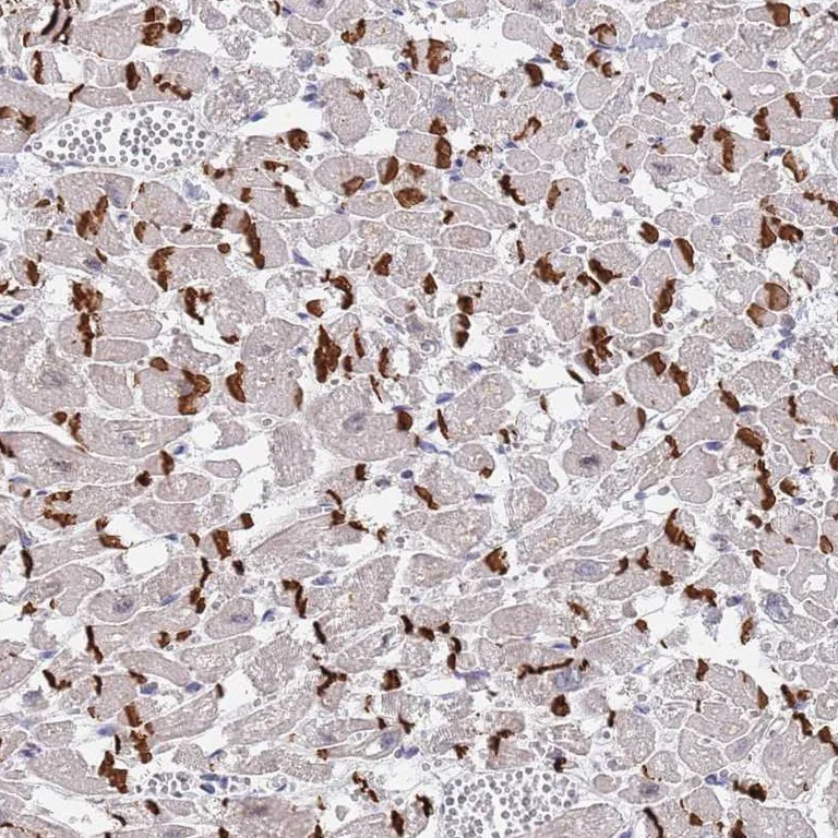
Immunohistochemistry (Formalin/PFA-fixed paraffin-embedded sections) - Anti-MUM1 antibody (AB247079)
  • IHC-P

Unknown

Immunohistochemistry (Formalin/PFA-fixed paraffin-embedded sections) - Anti-MUM1 antibody (AB247079)

Paraffin-embedded human heart muscle tissue stained for MUM1 using ab247079 at 1/50 dilution in immunohistochemical analysis.

Key facts

Host species

Rabbit

Clonality

Polyclonal

Isotype

IgG

Carrier free

No

Reacts with

Human

Applications

IHC-P, ICC/IF

applications

Immunogen

Recombinant Fragment Protein within Human PWWP3A aa 50-200. The exact immunogen used to generate this antibody is proprietary information.

Q2TAK8

Reactivity data

{ "title": "Reactivity Data", "filters": { "stats": ["", "Species", "Dilution Info", "Notes"], "tabs": { "all-applications": {"fullname" : "All Applications", "shortname": "All Applications"}, "IHCP" : {"fullname" : "Immunohistochemistry (Formalin/PFA-fixed paraffin-embedded sections)", "shortname":"IHC-P"}, "ICCIF" : {"fullname" : "Immunocytochemistry/ Immunofluorescence", "shortname":"ICC/IF"} }, "product-promise": { "all": "all", "testedAndGuaranteed": "tested", "guaranteed": "expected", "predicted": "predicted", "notRecommended": "not-recommended" } }, "values": { "Human": { "IHCP-species-checked": "testedAndGuaranteed", "IHCP-species-dilution-info": "1/50.00000 - 1/200.00000", "IHCP-species-notes": "<p></p> Perform heat-mediated antigen retrieval with citrate buffer pH 6 before commencing with IHC staining protocol.", "ICCIF-species-checked": "testedAndGuaranteed", "ICCIF-species-dilution-info": "0.25000-2.00000 µg/mL", "ICCIF-species-notes": "<p>Fixation/Permeabilization: PFA/Triton X-100.</p>" } } }

Properties and storage information

Form
Liquid
Purification technique
Affinity purification Immunogen
Storage buffer
pH: 7.2 Preservative: 0.02% Sodium azide Constituents: PBS, 40% Glycerol (glycerin, glycerine)
Shipped at conditions
Blue Ice
Appropriate short-term storage duration
1-2 weeks
Appropriate short-term storage conditions
+4°C
Appropriate long-term storage conditions
-20°C
Aliquoting information
Upon delivery aliquot
Storage information
Avoid freeze / thaw cycle

Product protocols

For this product, it's our understanding that no specific protocols are required. You can visit:

Target data

Involved in the DNA damage response pathway by contributing to the maintenance of chromatin architecture. Recruited to the vicinity of DNA breaks by TP53BP1 and plays an accessory role to facilitate damage-induced chromatin changes and promoting chromatin relaxation. Required for efficient DNA repair and cell survival following DNA damage.
See full target information PWWP3A

Product promise

We are committed to supporting your work with high-quality reagents, and we're here for you every step of the way. In the unlikely event that one of our products does not perform as expected, you're protected by our Product Promise.
For full details, please see our Terms & Conditions

Please note: All products are 'FOR RESEARCH USE ONLY. NOT FOR USE IN DIAGNOSTIC OR THERAPEUTIC PROCEDURES'.

For licensing inquiries, please contact partnerships@abcam.com