JavaScript is disabled in your browser. Please enable JavaScript to view this website.
AB307512

Anti-Munc13-1 antibody [EPR27022-47] - BSA and Azide free

Be the first to review this product! Submit a review

|

(0 Publication)

Rabbit Recombinant Monoclonal Munc13-1 antibody. Carrier free. Suitable for IP, Flow Cyt (Intra), IHC-Fr, IHC-P, WB and reacts with Rat, Mouse, Transfected cell lysate - Mouse samples.

View Alternative Names

Protein unc-13 homolog A, Munc13-1, Unc13a

18 Images
Immunohistochemistry (Frozen sections) - Anti-Munc13-1 antibody [EPR27022-47] - BSA and Azide free (AB307512)
  • IHC-Fr

Supplier Data

Immunohistochemistry (Frozen sections) - Anti-Munc13-1 antibody [EPR27022-47] - BSA and Azide free (AB307512)

This data was developed using ab307511, the same antibody clone in a different buffer formulation. Immunohistochemical analysis of 4% PFA-fixed, 0.2% Triton X-100 permeABilized frozen Mouse liver (fresh) tissue lABeling Munc13-1 with ab307511 at 1/50 (10.72 ug/ml) dilution followed by ab150081 Goat Anti-RABbit IgG H&L (Alexa Fluor? 488) preadsorbed at 1/1000 2 ug/mL dilution (Green). Negative control : confocal image showing no staining on mouse liver (PMID : 24309898). The nuclear counterstain was DAPI (Blue). The section was incubated with ab307511 for 60 mins at room temperature. The section was then mounted using Fluoromount?.The immunostaining was performed on a Leica Biosystems BOND? RX instrument. Image was taken with a confocal microscope (Leica-Microsystems, TCS SP8). is observed. The nuclear counterstain was DAPI (Blue). Secondary antibody control : Secondary antibody is ab150081 Goat Anti-RABbit IgG H&L (Alexa Fluor? 488) preadsorbedat 1/1000 2 ug/mL dilution.

Immunohistochemistry (Frozen sections) - Anti-Munc13-1 antibody [EPR27022-47] - BSA and Azide free (AB307512)
  • IHC-Fr

Supplier Data

Immunohistochemistry (Frozen sections) - Anti-Munc13-1 antibody [EPR27022-47] - BSA and Azide free (AB307512)

This data was developed using ab307511, the same antibody clone in a different buffer formulation. Immunohistochemical analysis of 4% PFA-fixed, 0.2% Triton X-100 permeABilized frozen Mouse adrenal gland (fresh) tissue lABeling Munc13-1 with ab307511 at 1/50 (10.72 ug/ml) dilution followed by ab150081 Goat Anti-RABbit IgG H&L (Alexa Fluor? 488) preadsorbed at 1/1000 2 ug/mL dilution (Green). Low expression : confocal image showing no staining on mouse adrenal gland (PMID : ?26575293). The nuclear counterstain was DAPI (Blue). The section was incubated with ab307511 for 60 mins at room temperature. The section was then mounted using Fluoromount?.The immunostaining was performed on a Leica Biosystems BOND? RX instrument. Image was taken with a confocal microscope (Leica-Microsystems, TCS SP8). is observed. The nuclear counterstain was DAPI (Blue). Secondary antibody control : Secondary antibody is ab150081 Goat Anti-RABbit IgG H&L (Alexa Fluor? 488) preadsorbedat 1/1000 2 ug/mL dilution.

Flow Cytometry (Intracellular) - Anti-Munc13-1 antibody [EPR27022-47] - BSA and Azide free (AB307512)
  • Flow Cyt (Intra)

Supplier Data

Flow Cytometry (Intracellular) - Anti-Munc13-1 antibody [EPR27022-47] - BSA and Azide free (AB307512)

This data was developed using ab307511, the same antibody clone in a different buffer formulation.

Flow cytometric analysis of 4% paraformaldehyde fixed 90% methanol permeabilized Mouse primary neuron cells labelling Munc13-1 with ab307511 at 1/50 dilution (1ug) (Red) compared with a Rabbit monoclonal IgG (ab172730) (Black) isotype control and an unlabelled control (cells without incubation with primary antibody and secondary antibody) (Blue). A Goat Anti-Rabbit IgG (Alexa Fluor® 488, ab150081) at 1/2000 dilution was used as the secondary antibody.

Flow Cytometry (Intracellular) - Anti-Munc13-1 antibody [EPR27022-47] - BSA and Azide free (AB307512)
  • Flow Cyt (Intra)

Supplier Data

Flow Cytometry (Intracellular) - Anti-Munc13-1 antibody [EPR27022-47] - BSA and Azide free (AB307512)

This data was developed using ab307511, the same antibody clone in a different buffer formulation.

Flow cytometric analysis of 4% paraformaldehyde fixed 90% methanol permeabilized Rat primary neuron cells labelling Munc13-1 with ab307511 at 1/50 dilution (1ug) (Red) compared with a Rabbit monoclonal IgG (ab172730) (Black) isotype control and an unlabelled control (cells without incubation with primary antibody and secondary antibody) (Blue). A Goat Anti-Rabbit IgG (Alexa Fluor® 488, ab150081) at 1/2000 dilution was used as the secondary antibody.

Immunohistochemistry (Formalin/PFA-fixed paraffin-embedded sections) - Anti-Munc13-1 antibody [EPR27022-47] - BSA and Azide free (AB307512)
  • IHC-P

Supplier Data

Immunohistochemistry (Formalin/PFA-fixed paraffin-embedded sections) - Anti-Munc13-1 antibody [EPR27022-47] - BSA and Azide free (AB307512)

This data was developed using ab307511, the same antibody clone in a different buffer formulation. Immunohistochemical analysis of paraffin-embedded Mouse liver tissue labeling Munc13-1 with ab307511 at 1/4000 (0.134 ug/ml) followed by a ready to use LeicaDS9800 (Bond? Polymer Refine Detection) was used. Negative control : no staining on mouse liver. The section was incubated with ab307511 for 30 mins at room temperature.The immunostaining was performed on a Leica Biosystems BOND? RX instrument. Incubate slides with 3% Hydrogen Peroxide for 10 mins at room temperature after secondary antibody incubation to reduce the background. Counterstained with Hematoxylin. Secondary antibody only control : Secondary antibody is a ready to use LeicaDS9800 (Bond? Polymer Refine Detection) was used. Heat mediated antigen retrieval was performed with Tris-EDTA buffer (pH 9.0, Epitope Retrieval Solution2) for 20 mins

Immunohistochemistry (Formalin/PFA-fixed paraffin-embedded sections) - Anti-Munc13-1 antibody [EPR27022-47] - BSA and Azide free (AB307512)
  • IHC-P

Supplier Data

Immunohistochemistry (Formalin/PFA-fixed paraffin-embedded sections) - Anti-Munc13-1 antibody [EPR27022-47] - BSA and Azide free (AB307512)

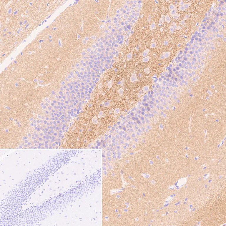
This data was developed using ab307511, the same antibody clone in a different buffer formulation. Immunohistochemical analysis of paraffin-embedded Mouse hippocampus tissue labeling Munc13-1 with ab307511 at 1/4000 (0.134 ug/ml) followed by a ready to use LeicaDS9800 (Bond? Polymer Refine Detection) was used. Positive staining on mouse hippocampus. The section was incubated with ab307511 for 30 mins at room temperature.The immunostaining was performed on a Leica Biosystems BOND? RX instrument. Incubate slides with 3% Hydrogen Peroxide for 10 mins at room temperature after secondary antibody incubation to reduce the background. Counterstained with Hematoxylin. Secondary antibody only control : Secondary antibody is a ready to use LeicaDS9800 (Bond? Polymer Refine Detection) was used. Heat mediated antigen retrieval was performed with Tris-EDTA buffer (pH 9.0, Epitope Retrieval Solution2) for 20 mins

Immunohistochemistry (Formalin/PFA-fixed paraffin-embedded sections) - Anti-Munc13-1 antibody [EPR27022-47] - BSA and Azide free (AB307512)
  • IHC-P

Supplier Data

Immunohistochemistry (Formalin/PFA-fixed paraffin-embedded sections) - Anti-Munc13-1 antibody [EPR27022-47] - BSA and Azide free (AB307512)

This data was developed using ab307511, the same antibody clone in a different buffer formulation. Immunohistochemical analysis of paraffin-embedded Rat hippocampus tissue labeling Munc13-1 with ab307511 at 1/4000 (0.134 ug/ml) followed by a ready to use LeicaDS9800 (Bond? Polymer Refine Detection) was used. Positive staining on rat hippocampus. The section was incubated with ab307511 for 30 mins at room temperature.The immunostaining was performed on a Leica Biosystems BOND? RX instrument. Incubate slides with 3% Hydrogen Peroxide for 10 mins at room temperature after secondary antibody incubation to reduce the background. Counterstained with Hematoxylin. Secondary antibody only control : Secondary antibody is a ready to use LeicaDS9800 (Bond? Polymer Refine Detection) was used. Heat mediated antigen retrieval was performed with Tris-EDTA buffer (pH 9.0, Epitope Retrieval Solution2) for 20 mins

Immunohistochemistry (Formalin/PFA-fixed paraffin-embedded sections) - Anti-Munc13-1 antibody [EPR27022-47] - BSA and Azide free (AB307512)
  • IHC-P

Supplier Data

Immunohistochemistry (Formalin/PFA-fixed paraffin-embedded sections) - Anti-Munc13-1 antibody [EPR27022-47] - BSA and Azide free (AB307512)

This data was developed using ab307511, the same antibody clone in a different buffer formulation. Immunohistochemical analysis of paraffin-embedded Rat liver tissue labeling Munc13-1 with ab307511 at 1/4000 (0.134 ug/ml) followed by a ready to use LeicaDS9800 (Bond? Polymer Refine Detection) was used. Negative control : no staining on rat liver. The section was incubated with ab307511 for 30 mins at room temperature.The immunostaining was performed on a Leica Biosystems BOND? RX instrument. Incubate slides with 3% Hydrogen Peroxide for 10 mins at room temperature after secondary antibody incubation to reduce the background. Counterstained with Hematoxylin. Secondary antibody only control : Secondary antibody is a ready to use LeicaDS9800 (Bond? Polymer Refine Detection) was used. Heat mediated antigen retrieval was performed with Tris-EDTA buffer (pH 9.0, Epitope Retrieval Solution2) for 20 mins

Immunohistochemistry (Frozen sections) - Anti-Munc13-1 antibody [EPR27022-47] - BSA and Azide free (AB307512)
  • IHC-Fr

Supplier Data

Immunohistochemistry (Frozen sections) - Anti-Munc13-1 antibody [EPR27022-47] - BSA and Azide free (AB307512)

This data was developed using ab307511, the same antibody clone in a different buffer formulation. Immunohistochemical analysis of 4% PFA-fixed, 0.2% Triton X-100 permeABilized frozen Rat hippocampus (fresh) tissue lABeling Munc13-1 with ab307511 at 1/50 (10.72 ug/ml) dilution followed by ab150081 Goat Anti-RABbit IgG H&L (Alexa Fluor? 488) preadsorbed at 1/1000 2 ug/mL dilution (Green). Confocal image showing positive staining on rat hippocampus. The nuclear counterstain was DAPI (Blue). The section was incubated with ab307511 for 60 mins at room temperature. The section was then mounted using Fluoromount?.The immunostaining was performed on a Leica Biosystems BOND? RX instrument. Image was taken with a confocal microscope (Leica-Microsystems, TCS SP8). is observed. The nuclear counterstain was DAPI (Blue). Secondary antibody control : Secondary antibody is ab150081 Goat Anti-RABbit IgG H&L (Alexa Fluor? 488) preadsorbedat 1/1000 2 ug/mL dilution.

Immunohistochemistry (Frozen sections) - Anti-Munc13-1 antibody [EPR27022-47] - BSA and Azide free (AB307512)
  • IHC-Fr

Supplier Data

Immunohistochemistry (Frozen sections) - Anti-Munc13-1 antibody [EPR27022-47] - BSA and Azide free (AB307512)

This data was developed using ab307511, the same antibody clone in a different buffer formulation. Immunohistochemical analysis of 4% PFA-fixed, 0.2% Triton X-100 permeABilized frozen Rat liver (fresh) tissue lABeling Munc13-1 with ab307511 at 1/50 (10.72 ug/ml) dilution followed by ab150081 Goat Anti-RABbit IgG H&L (Alexa Fluor? 488) preadsorbed at 1/1000 2 ug/mL dilution (Green). Negative control : confocal image showing no staining on rat liver (PMID : 24309898). The nuclear counterstain was DAPI (Blue). The section was incubated with ab307511 for 60 mins at room temperature. The section was then mounted using Fluoromount?.The immunostaining was performed on a Leica Biosystems BOND? RX instrument. Image was taken with a confocal microscope (Leica-Microsystems, TCS SP8). is observed. The nuclear counterstain was DAPI (Blue). Secondary antibody control : Secondary antibody is ab150081 Goat Anti-RABbit IgG H&L (Alexa Fluor? 488) preadsorbedat 1/1000 2 ug/mL dilution.

Immunohistochemistry (Frozen sections) - Anti-Munc13-1 antibody [EPR27022-47] - BSA and Azide free (AB307512)
  • IHC-Fr

Supplier Data

Immunohistochemistry (Frozen sections) - Anti-Munc13-1 antibody [EPR27022-47] - BSA and Azide free (AB307512)

This data was developed using ab307511, the same antibody clone in a different buffer formulation. Immunohistochemical analysis of 4% PFA-fixed, 0.2% Triton X-100 permeABilized frozen Mouse hippocampus (fresh) tissue lABeling Munc13-1 with ab307511 at 1/50 (10.72 ug/ml) dilution followed by ab150081 Goat Anti-RABbit IgG H&L (Alexa Fluor? 488) preadsorbed at 1/1000 2 ug/mL dilution (Green). Confocal image showing positive staining on mouse hippocampus. The nuclear counterstain was DAPI (Blue). The section was incubated with ab307511 for 60 mins at room temperature. The section was then mounted using Fluoromount?.The immunostaining was performed on a Leica Biosystems BOND? RX instrument. Image was taken with a confocal microscope (Leica-Microsystems, TCS SP8). is observed. The nuclear counterstain was DAPI (Blue). Secondary antibody control : Secondary antibody is ab150081 Goat Anti-RABbit IgG H&L (Alexa Fluor? 488) preadsorbedat 1/1000 2 ug/mL dilution.

Immunohistochemistry (Frozen sections) - Anti-Munc13-1 antibody [EPR27022-47] - BSA and Azide free (AB307512)
  • IHC-Fr

Supplier Data

Immunohistochemistry (Frozen sections) - Anti-Munc13-1 antibody [EPR27022-47] - BSA and Azide free (AB307512)

This data was developed using ab307511, the same antibody clone in a different buffer formulation. Immunohistochemical analysis of 4% PFA-fixed, 0.2% Triton X-100 permeABilized frozen Rat adrenal gland (fresh) tissue lABeling Munc13-1 with ab307511 at 1/50 (10.72 ug/ml) dilution followed by ab150081 Goat Anti-RABbit IgG H&L (Alexa Fluor? 488) preadsorbed at 1/1000 2 ug/mL dilution (Green). Low expression : confocal image showing no staining on rat adrenal gland (PMID : ?26575293). The nuclear counterstain was DAPI (Blue). The section was incubated with ab307511 for 60 mins at room temperature. The section was then mounted using Fluoromount?.The immunostaining was performed on a Leica Biosystems BOND? RX instrument. Image was taken with a confocal microscope (Leica-Microsystems, TCS SP8). is observed. The nuclear counterstain was DAPI (Blue). Secondary antibody control : Secondary antibody is ab150081 Goat Anti-RABbit IgG H&L (Alexa Fluor? 488) preadsorbedat 1/1000 2 ug/mL dilution.

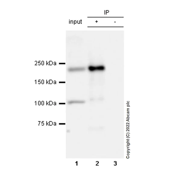
Immunoprecipitation - Anti-Munc13-1 antibody [EPR27022-47] - BSA and Azide free (AB307512)
  • IP

Supplier Data

Immunoprecipitation - Anti-Munc13-1 antibody [EPR27022-47] - BSA and Azide free (AB307512)

This data was developed using ab307511, the same antibody clone in a different buffer formulation.

Munc13-1 was immunoprecipitated from 0.35 mg Rat brain tissue lysate 10 ug with ab307511 at 1/30 dilution (2ug in 0.35mg lysates). Western blot was performed on the immunoprecipitate using ab307511 at 1/1000 dilution. VeriBlot for IP secondary antibody (HRP) (ab131366) was used at 1/5000 dilution.

Lane 1 : Rat brain tissue lysate 10 ug
Lane 2 : ab307511 IP in Rat brain tissue lysate
Lane 3 : Rabbit monoclonal IgG (ab172730) instead of ab307511 in rat brain tissue lysate

Blocking and dilution buffer and concentration : 5% NFDM/TBST.

Exposure time : 41 seconds

All lanes:

Immunoprecipitation - Anti-Munc13-1 antibody [EPR27022-47] (<a href='/en-us/products/primary-antibodies/munc13-1-antibody-epr27022-47-ab307511'>ab307511</a>) at 1/1000 dilution

Lane 1:

Rat brain tissue lysate 10 μg

Lane 2:

Rat brain tissue lysate

Secondary

All lanes:

Immunoprecipitation - VeriBlot for IP Detection Reagent (HRP) (<a href='/en-us/products/reagents/veriblot-for-ip-detection-reagent-hrp-ab131366'>ab131366</a>) at 1/5000 dilution

Observed band size: 200 kDa

false

Exposure time: 41s

Immunoprecipitation - Anti-Munc13-1 antibody [EPR27022-47] - BSA and Azide free (AB307512)
  • IP

Supplier Data

Immunoprecipitation - Anti-Munc13-1 antibody [EPR27022-47] - BSA and Azide free (AB307512)

This data was developed using ab307511, the same antibody clone in a different buffer formulation.

Munc13-1 was immunoprecipitated from 0.35 mg Mouse brain tissue lysate 10 ug with ab307511 at 1/30 dilution (2ug in 0.35mg lysates). Western blot was performed on the immunoprecipitate using ab307511 at 1/1000 dilution. VeriBlot for IP secondary antibody (HRP) (ab131366) was used at 1/5000 dilution.

Lane 1 : Mouse brain tissue lysate 10 ug
Lane 2 : ab307511 IP in Mouse brain tissue lysate
Lane 3 : Rabbit monoclonal IgG (ab172730) instead of ab307511 in mouse brain tissue lysate

Blocking and dilution buffer and concentration : 5% NFDM/TBST.

Exposure time : 10 seconds

All lanes:

Immunoprecipitation - Anti-Munc13-1 antibody [EPR27022-47] (<a href='/en-us/products/primary-antibodies/munc13-1-antibody-epr27022-47-ab307511'>ab307511</a>) at 1/1000 dilution

Lane 1:

Mouse brain tissue lysate 10 μg

Lane 2:

Mouse brain tissue lysate

Secondary

All lanes:

Immunoprecipitation - VeriBlot for IP Detection Reagent (HRP) (<a href='/en-us/products/reagents/veriblot-for-ip-detection-reagent-hrp-ab131366'>ab131366</a>) at 1/5000 dilution

Observed band size: 200 kDa

false

Exposure time: 10s

Western blot - Anti-Munc13-1 antibody [EPR27022-47] - BSA and Azide free (AB307512)
  • WB

Supplier Data

Western blot - Anti-Munc13-1 antibody [EPR27022-47] - BSA and Azide free (AB307512)

This data was developed using 307511, the same antibody clone in a different buffer formulation. Blocking and diluting buffer and concentration : Negative control : liver (PMID : 24309898 ), testis (PMID : 24309898), spleen (PMID : 24309898). Lysates were freshly made and used immediately to minimize protein degradation. The identity of the lower MW band at approximately 100 kDa is unknown. 15 seconds Exposure time :

All lanes:

Western blot - Anti-Munc13-1 antibody [EPR27022-47] (<a href='/en-us/products/primary-antibodies/munc13-1-antibody-epr27022-47-ab307511'>ab307511</a>) at 1/1000 dilution

Lane 1:

Mouse brain tissue lysate 20 μg

Lane 2:

Mouse liver tissue lysate 20 μg

Lane 3:

Mouse testis tissue lysate 20 μg

Lane 4:

Mouse spleen tissue lysate 20 μg

Secondary

All lanes:

Western blot - Goat Anti-Rabbit IgG H&L (HRP) (<a href='/en-us/products/secondary-antibodies/goat-rabbit-igg-h-l-hrp-ab97051'>ab97051</a>) at 1/100000 dilution

Observed band size: 200 kDa

false

Exposure time: 15s

Western blot - Anti-Munc13-1 antibody [EPR27022-47] - BSA and Azide free (AB307512)
  • WB

Supplier Data

Western blot - Anti-Munc13-1 antibody [EPR27022-47] - BSA and Azide free (AB307512)

This data was developed using 307511, the same antibody clone in a different buffer formulation. Blocking and diluting buffer and concentration : Negative control : adrenal gland (PMID : 26575293). In lanes 1-6, the lysates were stored at -80Ўж prior to Western Blotting. The bands beneath the target band (200 kDa) are likely to be degradation products. In lane 7, the lysate was freshly made and used for Western Blotting immediately to minimize protein degradation. The identity of the lower MW band at approximately 100 kDa is unknown. Exposure time :

All lanes:

Western blot - Anti-Munc13-1 antibody [EPR27022-47] (<a href='/en-us/products/primary-antibodies/munc13-1-antibody-epr27022-47-ab307511'>ab307511</a>) at 1/1000 dilution

Lane 1:

Mouse brain tissue lysate 20 μg

Lanes 2 and 7:

Mouse hippocampus tissue lysate 20 μg

Lane 3:

Mouse adrenal gland tissue lysate 20 μg

Lane 4:

Rat brain tissue lysate 20 μg

Lane 5:

Rat hippocampus tissue lysate 20 μg

Lane 6:

Rat adrenal gland tissue lysate 20 μg

Secondary

All lanes:

Western blot - Goat Anti-Rabbit IgG H&L (HRP) (<a href='/en-us/products/secondary-antibodies/goat-rabbit-igg-h-l-hrp-ab97051'>ab97051</a>) at 1/100000 dilution

Observed band size: 200 kDa

false

Exposure time: 26s

Western blot - Anti-Munc13-1 antibody [EPR27022-47] - BSA and Azide free (AB307512)
  • WB

Supplier Data

Western blot - Anti-Munc13-1 antibody [EPR27022-47] - BSA and Azide free (AB307512)

This data was developed using ab307511, the same antibody clone in a different buffer formulation.

Blocking and diluting buffer and concentration : 5% NFDM/TBST.

Negative control : liver (PMID : 24309898), testis (PMID : 24309898).

Lysates were freshly made and used immediately to minimize protein degradation.

The identity of the lower MW band at approximately 100 kDa is unknown.

This blot was developed using a high sensitivity ECL substrate. The high-sensitivity ECL substrate used allows for the detection of proteins in the mid-femtogram range.

All lanes:

Western blot - Anti-Munc13-1 antibody [EPR27022-47] (<a href='/en-us/products/primary-antibodies/munc13-1-antibody-epr27022-47-ab307511'>ab307511</a>) at 1/1000 dilution

Lane 1:

Rat brain tissue lysate at 20 µg

Lane 2:

Rat liver tissue lysate at 20 µg

Lane 3:

Rat testis tissue lysate at 20 µg

Secondary

All lanes:

Western blot - Goat Anti-Rabbit IgG H&L (HRP) (<a href='/en-us/products/secondary-antibodies/goat-rabbit-igg-h-l-hrp-ab97051'>ab97051</a>) at 1/100000 dilution

Observed band size: 200 kDa

true

Exposure time: 48s

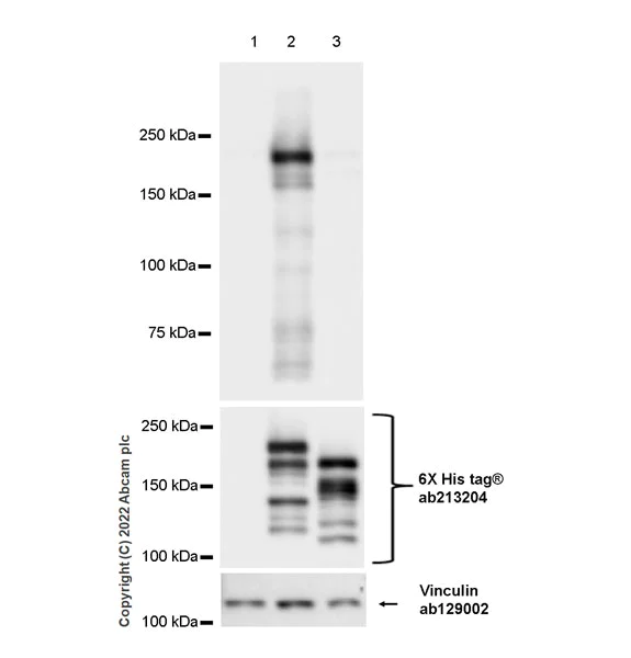
Western blot - Anti-Munc13-1 antibody [EPR27022-47] - BSA and Azide free (AB307512)
  • WB

Supplier Data

Western blot - Anti-Munc13-1 antibody [EPR27022-47] - BSA and Azide free (AB307512)

This data was developed using 307511, the same antibody clone in a different buffer formulation. Blocking and diluting buffer and concentration : This antibody does not cross-react with mouse Unc13b. Lanes 1-3 : 26 seconds, Lanes 4-6 : 59 seconds, Lane 7 : 15 seconds. Exposure time :

All lanes:

Western blot - Anti-Munc13-1 antibody [EPR27022-47] (<a href='/en-us/products/primary-antibodies/munc13-1-antibody-epr27022-47-ab307511'>ab307511</a>) at 1/1000 dilution

Lane 1:

293T cells transfected with an empty vector containi a myc-his tag whole cell lysate 20 μg

Lane 2:

293T cells transfected with a mouse Unc13a expression vector containi a his tag whole cell lysate 20 μg

Lane 3:

293T cells transfected with a mouse Unc13b expression vector containi a myc-his tag whole cell lysate 20 μg

Secondary

All lanes:

Western blot - Goat Anti-Rabbit IgG H&L (HRP) (<a href='/en-us/products/secondary-antibodies/goat-rabbit-igg-h-l-hrp-ab97051'>ab97051</a>) at 1/100000 dilution

Observed band size: 200 kDa

false

Exposure time: 3s

Key facts

Host species

Rabbit

Clonality

Monoclonal

Clone number

EPR27022-47

Isotype

IgG

Carrier free

Yes

Reacts with

Mouse, Rat

Applications

WB, IHC-Fr, IP, IHC-P, Flow Cyt (Intra)

applications

Immunogen

The exact immunogen used to generate this antibody is proprietary information.

Reactivity data

{ "title": "Reactivity Data", "filters": { "stats": ["", "Species", "Dilution Info", "Notes"], "tabs": { "all-applications": {"fullname" : "All Applications", "shortname": "All Applications"}, "IP" : {"fullname" : "Immunoprecipitation", "shortname":"IP"}, "FlowCytIntra" : {"fullname" : "Flow Cytometry (Intracellular)", "shortname":"Flow Cyt (Intra)"}, "ICCIF" : {"fullname" : "Immunocytochemistry/ Immunofluorescence", "shortname":"ICC/IF"}, "IHCFr" : {"fullname" : "Immunohistochemistry (Frozen sections)", "shortname":"IHC-Fr"}, "IHCP" : {"fullname" : "Immunohistochemistry (Formalin/PFA-fixed paraffin-embedded sections)", "shortname":"IHC-P"}, "WB" : {"fullname" : "Western blot", "shortname":"WB"} }, "product-promise": { "all": "all", "testedAndGuaranteed": "tested", "guaranteed": "expected", "predicted": "predicted", "notRecommended": "not-recommended" } }, "values": { "Human": { "IP-species-checked": "notRecommended", "IP-species-dilution-info": "", "IP-species-notes": "", "FlowCytIntra-species-checked": "notRecommended", "FlowCytIntra-species-dilution-info": "", "FlowCytIntra-species-notes": "", "ICCIF-species-checked": "notRecommended", "ICCIF-species-dilution-info": "", "ICCIF-species-notes": "", "IHCFr-species-checked": "notRecommended", "IHCFr-species-dilution-info": "", "IHCFr-species-notes": "", "IHCP-species-checked": "notRecommended", "IHCP-species-dilution-info": "", "IHCP-species-notes": "<p></p>", "WB-species-checked": "notRecommended", "WB-species-dilution-info": "", "WB-species-notes": "<p></p>" }, "Mouse": { "IP-species-checked": "testedAndGuaranteed", "IP-species-dilution-info": "", "IP-species-notes": "<p></p>", "FlowCytIntra-species-checked": "testedAndGuaranteed", "FlowCytIntra-species-dilution-info": "", "FlowCytIntra-species-notes": "<p></p>", "ICCIF-species-checked": "notRecommended", "ICCIF-species-dilution-info": "", "ICCIF-species-notes": "<p></p>", "IHCFr-species-checked": "testedAndGuaranteed", "IHCFr-species-dilution-info": "", "IHCFr-species-notes": "<p></p>", "IHCP-species-checked": "guaranteed", "IHCP-species-dilution-info": "", "IHCP-species-notes": "", "WB-species-checked": "testedAndGuaranteed", "WB-species-dilution-info": "", "WB-species-notes": "<p></p>" }, "Rat": { "IP-species-checked": "testedAndGuaranteed", "IP-species-dilution-info": "", "IP-species-notes": "<p></p>", "FlowCytIntra-species-checked": "testedAndGuaranteed", "FlowCytIntra-species-dilution-info": "", "FlowCytIntra-species-notes": "<p></p>", "ICCIF-species-checked": "notRecommended", "ICCIF-species-dilution-info": "", "ICCIF-species-notes": "<p></p>", "IHCFr-species-checked": "testedAndGuaranteed", "IHCFr-species-dilution-info": "", "IHCFr-species-notes": "<p></p>", "IHCP-species-checked": "testedAndGuaranteed", "IHCP-species-dilution-info": "", "IHCP-species-notes": "<p></p>", "WB-species-checked": "testedAndGuaranteed", "WB-species-dilution-info": "", "WB-species-notes": "<p></p>" }, "Transfected cell lysate - Mouse": { "IP-species-checked": "notRecommended", "IP-species-dilution-info": "", "IP-species-notes": "", "FlowCytIntra-species-checked": "notRecommended", "FlowCytIntra-species-dilution-info": "", "FlowCytIntra-species-notes": "", "ICCIF-species-checked": "notRecommended", "ICCIF-species-dilution-info": "", "ICCIF-species-notes": "", "IHCFr-species-checked": "notRecommended", "IHCFr-species-dilution-info": "", "IHCFr-species-notes": "", "IHCP-species-checked": "notRecommended", "IHCP-species-dilution-info": "", "IHCP-species-notes": "", "WB-species-checked": "testedAndGuaranteed", "WB-species-dilution-info": "", "WB-species-notes": "<p></p>" } } }

Product details

Patented technology
Our RabMAb® technology is a patented hybridoma-based technology for making rabbit monoclonal antibodies. For details on our patents, please refer to RabMAb® patents.

What are the advantages of a recombinant monoclonal antibody?
This product is a recombinant monoclonal antibody, which offers several advantages including:

  • - High batch-to-batch consistency and reproducibility
  • - Improved sensitivity and specificity
  • - Long-term security of supply
  • - Animal-free batch production

For more information, read more on recombinant antibodies.

Conjugation ready
Our carrier-free antibodies are typically supplied in a PBS-only formulation, purified and free of BSA, sodium azide and glycerol. This conjugation-ready format is designed for use with fluorochromes, metal isotopes, oligonucleotides, and enzymes, which makes them ideal for antibody labelling, functional and cell-based assays, flow-based assays (e.g. mass cytometry) and Multiplex Imaging applications.

Use our conjugation kits for antibody conjugates that are ready-to-use in as little as 20 minutes with 1 minute hands-on-time and 100% antibody recovery: available for fluorescent dyes, HRP, biotin and gold.

Compatibility
This product is compatible with the Maxpar® Antibody Labeling Kit from Fluidigm, without the need for antibody preparation. Maxpar® is a trademark of Fluidigm Canada Inc.

Properties and storage information

Form
Liquid
Purification technique
Affinity purification Protein A
Storage buffer
pH: 7.2 - 7.4 Constituents: PBS
Shipped at conditions
Blue Ice
Appropriate short-term storage conditions
+4°C
Appropriate long-term storage conditions
+4°C

Supplementary information

This supplementary information is collated from multiple sources and compiled automatically.

Munc13-1 also known as UNC13A plays an important role in synaptic vesicle priming facilitating neurotransmitter release at synapses. This protein weighs around 200 kDa and is found mostly in presynaptic neurons. It interacts with the SNARE complex to mediate vesicle fusion ensuring efficient signal transmission across synapses. High expression levels are noted in the brain especially in regions involved in neurotransmission processes.
Biological function summary

Munc13-1 acts as a significant component of the presynaptic active zone. It interacts with proteins like syntaxin-1 to regulate vesicle docking and release. Munc13-1 forms part of larger protein complexes including RIM and Munc18 that regulate synaptic transmission. Within the complex it directly influences the readiness of synaptic vesicles thereby setting the stage for precise signaling in the nervous system.

Pathways

The protein Munc13-1 plays a critical role in synaptic signaling pathways like the neurotransmitter release pathway. It is closely linked with other proteins such as Munc18 and syntaxin in the SNARE complex which are essential for membrane fusion and neurotransmitter release. In the pathway Munc13-1 helps transform physical stimuli into electrochemical signals integrating into networks essential for neuronal communication.

The function of Munc13-1 impacts conditions such as autism spectrum disorders and schizophrenia. Its dysfunction or altered expression can disrupt synaptic communication contributing to these neuropsychiatric conditions. Munc13-1 has connections with proteins like RIM1 and syntaxin which are also involved in synaptic vesicle regulation and have known links to these disorders thereby highlighting its importance in maintaining neurological health.

Product protocols

For this product, it's our understanding that no specific protocols are required. You can visit:

Target data

Plays a role in vesicle maturation during exocytosis as a target of the diacylglycerol second messenger pathway. Involved in neurotransmitter release by acting in synaptic vesicle priming prior to vesicle fusion and participates in the activity-dependent refilling of readily releasable vesicle pool (RRP). Essential for synaptic vesicle maturation in most excitatory/glutamatergic but not inhibitory/GABA-mediated synapses. Facilitates neuronal dense core vesicles fusion as well as controls the location and efficiency of their synaptic release (PubMed : 23229896). Also involved in secretory granule priming in insulin secretion. Plays a role in dendrite formation by melanocytes (By similarity).
See full target information Unc13a

Product promise

We are committed to supporting your work with high-quality reagents, and we're here for you every step of the way. In the unlikely event that one of our products does not perform as expected, you're protected by our Product Promise.
For full details, please see our Terms & Conditions

Please note: All products are 'FOR RESEARCH USE ONLY. NOT FOR USE IN DIAGNOSTIC OR THERAPEUTIC PROCEDURES'.

For licensing inquiries, please contact partnerships@abcam.com