JavaScript is disabled in your browser. Please enable JavaScript to view this website.
AB183094

Anti-MURF1 antibody

5

(1 Review)

|

(21 Publications)

Rabbit Polyclonal MURF1 antibody. Suitable for IHC-P, WB and reacts with Human samples. Cited in 21 publications. Immunogen corresponding to Synthetic Peptide within Human TRIM63 aa 1-50.

View Alternative Names

IRF, MURF1, RNF28, SMRZ, TRIM63, E3 ubiquitin-protein ligase TRIM63, Iris RING finger protein, Muscle-specific RING finger protein 1, RING finger protein 28, RING-type E3 ubiquitin transferase TRIM63, Striated muscle RING zinc finger protein, Tripartite motif-containing protein 63, MuRF-1, MuRF1

2 Images
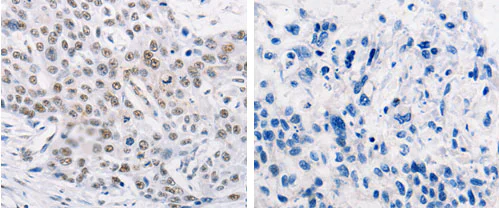
Immunohistochemistry (Formalin/PFA-fixed paraffin-embedded sections) - Anti-MURF1 antibody (AB183094)
  • IHC-P

Supplier Data

Immunohistochemistry (Formalin/PFA-fixed paraffin-embedded sections) - Anti-MURF1 antibody (AB183094)

Immunohistochemical analysis of paraffin-embedded Human esophagus cancer tissue labeling MURF1 using ab183094 at a 1/60 dilution, Image on the right is treated with the synthetic peptide (original magnification : ×200).

Western blot - Anti-MURF1 antibody (AB183094)
  • WB

Supplier Data

Western blot - Anti-MURF1 antibody (AB183094)

10% SDS-PAGE

All lanes:

Western blot - Anti-MURF1 antibody (ab183094) at 1/1050 dilution

All lanes:

lysate at 40 µg

Secondary

All lanes:

Goat anti Rabbit IgG - H&L (HRP) at 1/5000 dilution

Predicted band size: 40 kDa

true

Exposure time: 50s

Key facts

Host species

Rabbit

Clonality

Polyclonal

Isotype

IgG

Carrier free

No

Reacts with

Human

Applications

WB, IHC-P

applications

Immunogen

Synthetic Peptide within Human TRIM63 aa 1-50. The exact immunogen used to generate this antibody is proprietary information.

Q969Q1

Reactivity data

{ "title": "Reactivity Data", "filters": { "stats": ["", "Species", "Dilution Info", "Notes"], "tabs": { "all-applications": {"fullname" : "All Applications", "shortname": "All Applications"}, "IHCP" : {"fullname" : "Immunohistochemistry (Formalin/PFA-fixed paraffin-embedded sections)", "shortname":"IHC-P"}, "WB" : {"fullname" : "Western blot", "shortname":"WB"} }, "product-promise": { "all": "all", "testedAndGuaranteed": "tested", "guaranteed": "expected", "predicted": "predicted", "notRecommended": "not-recommended" } }, "values": { "Human": { "IHCP-species-checked": "testedAndGuaranteed", "IHCP-species-dilution-info": "1/25 - 1/100", "IHCP-species-notes": "<p></p> Perform heat-mediated antigen retrieval with citrate buffer pH 6 before commencing with IHC staining protocol.", "WB-species-checked": "testedAndGuaranteed", "WB-species-dilution-info": "1/1000 - 1/5000", "WB-species-notes": "<p></p>" } } }

Properties and storage information

Form
Liquid
Purification technique
Affinity purification Immunogen
Storage buffer
pH: 7.4 Preservative: 0.05% Sodium azide Constituents: PBS, 50% Glycerol (glycerin, glycerine)
Shipped at conditions
Blue Ice
Appropriate short-term storage duration
1-2 weeks
Appropriate short-term storage conditions
+4°C
Appropriate long-term storage conditions
-20°C
Aliquoting information
Upon delivery aliquot
Storage information
Avoid freeze / thaw cycle

Product protocols

For this product, it's our understanding that no specific protocols are required. You can visit:

Target data

E3 ubiquitin ligase. Mediates the ubiquitination and subsequent proteasomal degradation of CKM, GMEB1 and HIBADH. Regulates the proteasomal degradation of muscle proteins under amino acid starvation, where muscle protein is catabolized to provide other organs with amino acids. Inhibits de novo skeletal muscle protein synthesis under amino acid starvation. Regulates proteasomal degradation of cardiac troponin I/TNNI3 and probably of other sarcomeric-associated proteins. May play a role in striated muscle atrophy and hypertrophy by regulating an anti-hypertrophic PKC-mediated signaling pathway. May regulate the organization of myofibrils through TTN in muscle cells.
See full target information TRIM63

Publications (21)

Recent publications for all applications. Explore the full list and refine your search

Advanced science (Weinheim, Baden-Wurttemberg, Germany) 12:e2417715 PubMed40285575

2025

LncRNA-MEG3 Regulates Muscle Mass and Metabolic Homeostasis by Facilitating SUZ12 Liquid-Liquid Phase Separation.

Applications

Unspecified application

Species

Unspecified reactive species

Yilong Yao,Chao Yan,Haibo Huang,Shilong Wang,Jiaying Li,Yun Chen,Xiaolu Qu,Qi Bao,Lingna Xu,Yuanyuan Zhang,Danyang Fan,Xia He,Yanwen Liu,Yongsheng Zhang,Yalan Yang,Zhonglin Tang

Journal of cellular and molecular medicine 29:e70451 PubMed40032645

2025

Effect of Growth Hormone on Branched-Chain Amino Acids Catabolism in Males With Hypopituitarism.

Applications

Unspecified application

Species

Unspecified reactive species

Yuwen Zhang,Zhiqiu Ye,Enfei Xiang,Peizhan Chen,Xuqian Fang

Advanced science (Weinheim, Baden-Wurttemberg, Germany) 12:e2410439 PubMed39804962

2025

Liver-Secreted Extracellular Vesicles Promote Cirrhosis-Associated Skeletal Muscle Injury Through mtDNA-cGAS/STING Axis.

Applications

Unspecified application

Species

Unspecified reactive species

Xiaoli Fan,Yunke Peng,Bo Li,Xiaoze Wang,Yifeng Liu,Yi Shen,Guofeng Liu,Yanyi Zheng,Qiaoyu Deng,Jingping Liu,Li Yang

Frontiers in pharmacology 15:1418485 PubMed39239655

2024

Astragalus membranaceus and its monomers treat peritoneal fibrosis and related muscle atrophy through the AR/TGF-β1 pathway.

Applications

Unspecified application

Species

Unspecified reactive species

Li Sheng,Jinyi Sun,Liyan Huang,Manshu Yu,Xiaohui Meng,Yun Shan,Huibo Dai,Funing Wang,Jun Shi,Meixiao Sheng

Cardiovascular diabetology 23:112 PubMed38555463

2024

Evidence that tirzepatide protects against diabetes-related cardiac damages.

Applications

Unspecified application

Species

Unspecified reactive species

Fatemeh Taktaz,Lucia Scisciola,Rosaria Anna Fontanella,Ada Pesapane,Puja Ghosh,Martina Franzese,Giovanni Tortorella,Armando Puocci,Eduardo Sommella,Giuseppe Signoriello,Fabiola Olivieri,Michelangela Barbieri,Giuseppe Paolisso

Journal of microbiology and biotechnology 34:495-505 PubMed38247215

2024

Gromwell () Attenuates High-Fat-Induced Skeletal Muscle Wasting by Increasing Protein Synthesis and Mitochondrial Biogenesis.

Applications

Unspecified application

Species

Unspecified reactive species

Ji-Sun Kim,Hyunjung Lee,Ahyoung Yoo,Hang Yeon Jeong,Chang Hwa Jung,Jiyun Ahn,Tae-Youl Ha

Life (Basel, Switzerland) 13: PubMed36676007

2022

Mealworm Ethanol Extract Enhances Myogenic Differentiation and Alleviates Dexamethasone-Induced Muscle Atrophy in C2C12 Cells.

Applications

Unspecified application

Species

Unspecified reactive species

Ra-Yeong Choi,Bong Sun Kim,Eu-Jin Ban,Minchul Seo,Joon Ha Lee,In-Woo Kim

Cell and tissue research 391:545-560 PubMed36525128

2022

CPNE1 regulates myogenesis through the PERK-eIF2α pathway mediated by endoplasmic reticulum stress.

Applications

Unspecified application

Species

Unspecified reactive species

Lin Chen,Ling Pan,Yuexi Zeng,Xiaonan Zhu,Li You

Frontiers in neurology 13:1032738 PubMed36504647

2022

The accumulation of muscle RING finger-1 in regenerating myofibers: Implications for muscle repair in immune-mediated necrotizing myopathy.

Applications

Unspecified application

Species

Unspecified reactive species

Meng-Ge Yang,Qing Zhang,Hong Wang,Xue Ma,Suqiong Ji,Yue Li,Li Xu,Zhuajin Bi,Bitao Bu

eLife 11: PubMed36314781

2022

Sex-specific role of myostatin signaling in neonatal muscle growth, denervation atrophy, and neuromuscular contractures.

Applications

Unspecified application

Species

Unspecified reactive species

Marianne E Emmert,Parul Aggarwal,Kritton Shay-Winkler,Se-Jin Lee,Qingnian Goh,Roger Cornwall
View all publications

Product promise

We are committed to supporting your work with high-quality reagents, and we're here for you every step of the way. In the unlikely event that one of our products does not perform as expected, you're protected by our Product Promise.
For full details, please see our Terms & Conditions

Please note: All products are 'FOR RESEARCH USE ONLY. NOT FOR USE IN DIAGNOSTIC OR THERAPEUTIC PROCEDURES'.

For licensing inquiries, please contact partnerships@abcam.com