JavaScript is disabled in your browser. Please enable JavaScript to view this website.
AB305171

Anti-Musashi 1 / MSI1 antibody [EPR26106-92] - BSA and Azide free

  • BOND RX™ Validated
  • RabMAb
  • Recombinant
  • KO Validated
  • What is this?

Be the first to review this product! Submit a review

|

(0 Publication)

Rabbit Recombinant Monoclonal Musashi 1 / Msi1 antibody. Carrier free. Suitable for WB, IHC-P, Flow Cyt (Intra), IP and reacts with Human, Mouse, Rat samples.

View Alternative Names

RNA-binding protein Musashi homolog 1, Musashi-1, MSI1

12 Images
Immunohistochemistry (Formalin/PFA-fixed paraffin-embedded sections) - Anti-Musashi 1 / MSI1 antibody [EPR26106-92] - BSA and Azide free (AB305171)
  • IHC-P

Supplier Data

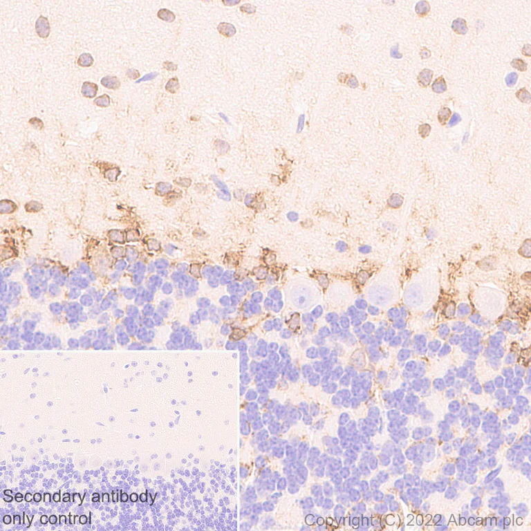
Immunohistochemistry (Formalin/PFA-fixed paraffin-embedded sections) - Anti-Musashi 1 / MSI1 antibody [EPR26106-92] - BSA and Azide free (AB305171)

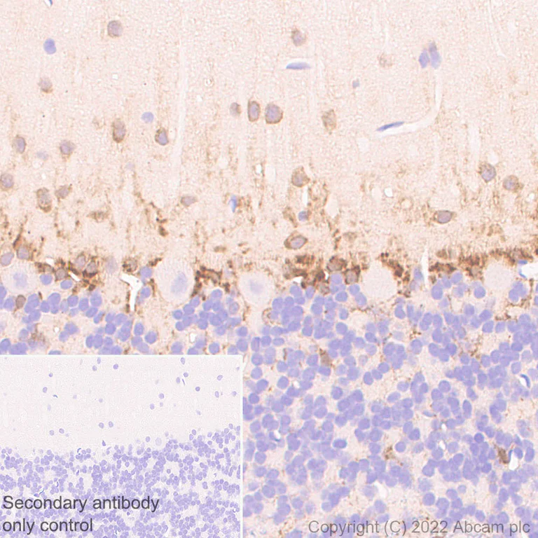
This data was developed using ab305170, the same antibody clone in a different buffer formulation. Immunohistochemical analysis of paraffin-embedded Mouse cerebellum tissue labeling Musashi 1 / Msi1 with ab305170 at 1/500 (0.918 ug/ml) followed by a ready to use LeicaDS9800 (Bond™ Polymer Refine Detection). Positive staining on mouse cerebellum (PMID : 11588182). The section was incubated with ab305170 for 30 mins at room temperature.The immunostaining was performed on a Leica Biosystems BOND® RX instrument Counterstained with Hematoxylin. Secondary antibody only control : Secondary antibody is a ready to use LeicaDS9800 (Bond™ Polymer Refine Detection) was used. Heat mediated antigen retrieval with Tris-EDTA buffer (pH 9.0, epitope retrieval solution2) for 20 mins.

Positive staining on mouse cerebellum (PMID : 11588182). The section was incubated with ab305170 for 30 mins at room temperature. The immunostaining was performed on a Leica Biosystems BOND® RX instrument.

Immunohistochemistry (Formalin/PFA-fixed paraffin-embedded sections) - Anti-Musashi 1 / MSI1 antibody [EPR26106-92] - BSA and Azide free (AB305171)
  • IHC-P

Supplier Data

Immunohistochemistry (Formalin/PFA-fixed paraffin-embedded sections) - Anti-Musashi 1 / MSI1 antibody [EPR26106-92] - BSA and Azide free (AB305171)

This data was developed using ab305170, the same antibody clone in a different buffer formulation. Immunohistochemical analysis of paraffin-embedded Rat cerebellum tissue labeling Musashi 1 / Msi1 with ab305170 at 1/500 (0.918 ug/ml) followed by a ready to use LeicaDS9800 (Bond™ Polymer Refine Detection). Positive staining on rat cerebellum (PMID : 11588182). The section was incubated with ab305170 for 30 mins at room temperature.The immunostaining was performed on a Leica Biosystems BOND® RX instrument Counterstained with Hematoxylin. Secondary antibody only control : Secondary antibody is a ready to use LeicaDS9800 (Bond™ Polymer Refine Detection) was used. Heat mediated antigen retrieval with Tris-EDTA buffer (pH 9.0, epitope retrieval solution2) for 20 mins

Immunohistochemistry (Formalin/PFA-fixed paraffin-embedded sections) - Anti-Musashi 1 / MSI1 antibody [EPR26106-92] - BSA and Azide free (AB305171)
  • IHC-P

Supplier Data

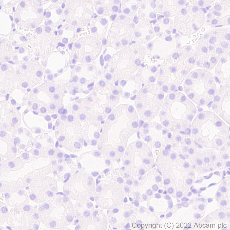
Immunohistochemistry (Formalin/PFA-fixed paraffin-embedded sections) - Anti-Musashi 1 / MSI1 antibody [EPR26106-92] - BSA and Azide free (AB305171)

This data was developed using ab305170, the same antibody clone in a different buffer formulation. Immunohistochemical analysis of paraffin-embedded Mouse kidney tissue labeling Musashi 1 / Msi1 with ab305170 at 1/500 (0.918 ug/ml) followed by a ready to use LeicaDS9800 (Bond™ Polymer Refine Detection). Negative control : No staining on mouse kidney (PMID : 25717188). The section was incubated with ab305170 for 30 mins at room temperature.The immunostaining was performed on a Leica Biosystems BOND® RX instrument Counterstained with Hematoxylin. Secondary antibody only control : Secondary antibody is a ready to use LeicaDS9800 (Bond™ Polymer Refine Detection) was used. Heat mediated antigen retrieval with Tris-EDTA buffer (pH 9.0, epitope retrieval solution2) for 20 mins

Immunohistochemistry (Formalin/PFA-fixed paraffin-embedded sections) - Anti-Musashi 1 / MSI1 antibody [EPR26106-92] - BSA and Azide free (AB305171)
  • IHC-P

Supplier Data

Immunohistochemistry (Formalin/PFA-fixed paraffin-embedded sections) - Anti-Musashi 1 / MSI1 antibody [EPR26106-92] - BSA and Azide free (AB305171)

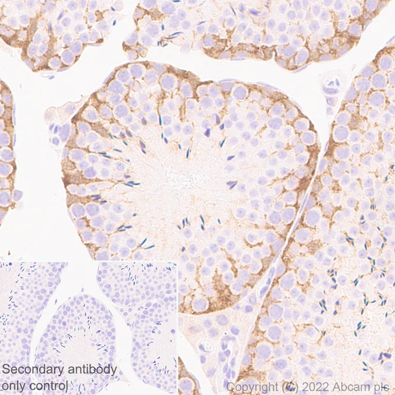
This data was developed using ab305170, the same antibody clone in a different buffer formulation. Immunohistochemical analysis of paraffin-embedded Mouse testis tissue labeling Musashi 1 / Msi1 with ab305170 at 1/500 (0.918 ug/ml) followed by a ready to use LeicaDS9800 (Bond™ Polymer Refine Detection). Positive staining on mouse testis (PMID : 11804968). The section was incubated with ab305170 for 30 mins at room temperature.The immunostaining was performed on a Leica Biosystems BOND® RX instrument Counterstained with Hematoxylin. Secondary antibody only control : Secondary antibody is a ready to use LeicaDS9800 (Bond™ Polymer Refine Detection) was used. Heat mediated antigen retrieval with Tris-EDTA buffer (pH 9.0, epitope retrieval solution2) for 20 mins

Immunohistochemistry (Formalin/PFA-fixed paraffin-embedded sections) - Anti-Musashi 1 / MSI1 antibody [EPR26106-92] - BSA and Azide free (AB305171)
  • IHC-P

Supplier Data

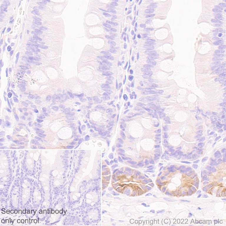
Immunohistochemistry (Formalin/PFA-fixed paraffin-embedded sections) - Anti-Musashi 1 / MSI1 antibody [EPR26106-92] - BSA and Azide free (AB305171)

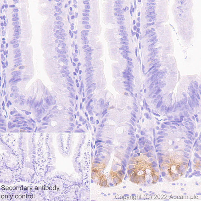
This data was developed using ab305170, the same antibody clone in a different buffer formulation. Immunohistochemical analysis of paraffin-embedded Rat small intestine tissue labeling Musashi 1 / Msi1 with ab305170 at 1/500 (0.918 ug/ml) followed by a ready to use LeicaDS9800 (Bond™ Polymer Refine Detection). Positive staining on intestinal crypts of rat (PMID : 12558601). The section was incubated with ab305170 for 30 mins at room temperature.The immunostaining was performed on a Leica Biosystems BOND® RX instrument Counterstained with Hematoxylin. Secondary antibody only control : Secondary antibody is a ready to use LeicaDS9800 (Bond™ Polymer Refine Detection) was used. Heat mediated antigen retrieval with Tris-EDTA buffer (pH 9.0, epitope retrieval solution2) for 20 mins

Immunohistochemistry (Formalin/PFA-fixed paraffin-embedded sections) - Anti-Musashi 1 / MSI1 antibody [EPR26106-92] - BSA and Azide free (AB305171)
  • IHC-P

Supplier Data

Immunohistochemistry (Formalin/PFA-fixed paraffin-embedded sections) - Anti-Musashi 1 / MSI1 antibody [EPR26106-92] - BSA and Azide free (AB305171)

This data was developed using ab305170, the same antibody clone in a different buffer formulation. Immunohistochemical analysis of paraffin-embedded Mouse small intestine tissue labeling Musashi 1 / Msi1 with ab305170 at 1/500 (0.918 ug/ml) followed by a ready to use LeicaDS9800 (Bond™ Polymer Refine Detection). Positive staining on intestinal crypts of mouse (PMID : 12558601). The section was incubated with ab305170 for 30 mins at room temperature.The immunostaining was performed on a Leica Biosystems BOND® RX instrument Counterstained with Hematoxylin. Secondary antibody only control : Secondary antibody is a ready to use LeicaDS9800 (Bond™ Polymer Refine Detection) was used. Heat mediated antigen retrieval with Tris-EDTA buffer (pH 9.0, epitope retrieval solution2) for 20 mins

Flow Cytometry (Intracellular) - Anti-Musashi 1 / MSI1 antibody [EPR26106-92] - BSA and Azide free (AB305171)
  • Flow Cyt (Intra)

Supplier Data

Flow Cytometry (Intracellular) - Anti-Musashi 1 / MSI1 antibody [EPR26106-92] - BSA and Azide free (AB305171)

This data was developed using ab305170, the same antibody clone in a different buffer formulation. Flow cytometric analysis of 4% paraformaldehyde fixed 90% methanol permeabilized NIH/3T3 (mouse embryonic fibroblast, Left) / Neuro-2a (mouse neuroblastoma neuroblast, Right) cells labelling Musashi 1 / Msi1 with ab305170 at 1/50 dilution (1ug) (Red) (Red) compared with a Rabbit monoclonal IgG (ab172730) (Black) isotype control and an unlabelled control (cells without incubation with primary antibody and secondary antibody) (Blue). A Goat Anti-Rabbit IgG (Alexa Fluor® 488, ab150081) at 1/2000 dilution was used as the secondary antibody. Negative control : NIH/3T3 (PMID : 11359897).

Immunoprecipitation - Anti-Musashi 1 / MSI1 antibody [EPR26106-92] - BSA and Azide free (AB305171)
  • IP

Supplier Data

Immunoprecipitation - Anti-Musashi 1 / MSI1 antibody [EPR26106-92] - BSA and Azide free (AB305171)

This data was developed using ab305170, the same antibody clone in a different buffer formulation. Musashi 1 / Msi1 was immunoprecipitated from 0.35 mg Mouse P0 brainstem tissue lysate 10 ug with ab305170 at 1/30 dilution (2ug in 0.35mg lysates). Western blot was performed on the immunoprecipitate using ab305170 at 1/1000 dilution. VeriBlot for IP secondary antibody(HRP)(ab131366) was used at 1/5000 dilution. Lane 1 : Mouse P0 brainstem tissue lysate 10 ug Lane 2 : ab305170 IP in Mouse P0 brainstem tissue lysate Lane 3 : Rabbit monoclonal IgG (ab172730) instead of ab305170 in mouse P0 brainstem tissue lysate Blocking and dilution buffer and concentration : 5% NFDM/TBST. Exposure time : 84 seconds

All lanes:

Immunoprecipitation - Anti-Musashi 1 / MSI1 antibody [EPR26106-92] (<a href='/en-us/products/primary-antibodies/musashi-1-msi1-antibody-epr26106-92-ab305170'>ab305170</a>) at 1/1000 dilution

Lane 1:

Mouse P0 brainstem tissue lysate 10 ug

Lane 2:

<a href='/en-us/products/primary-antibodies/musashi-1-msi1-antibody-epr26106-92-ab305170'>ab305170</a> IP in Mouse P0 brainstem tissue lysate

Secondary

All lanes:

Immunoprecipitation - VeriBlot for IP Detection Reagent (HRP) (<a href='/en-us/products/reagents/veriblot-for-ip-detection-reagent-hrp-ab131366'>ab131366</a>) at 1/5000 dilution

Predicted band size: 39 kDa

Observed band size: 39 kDa

false

Exposure time: 84s

Western blot - Anti-Musashi 1 / MSI1 antibody [EPR26106-92] - BSA and Azide free (AB305171)
  • WB

Supplier Data

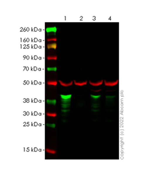
Western blot - Anti-Musashi 1 / MSI1 antibody [EPR26106-92] - BSA and Azide free (AB305171)

This data was developed using ab305170, the same antibody clone in a different buffer formulation. Blocking and diluting buffer and concentration : Intercept® (TBS) Blocking Buffer diluted with an equal volume of 0.1% TBS Lysates at 20 µg per lane. Performed under reducing conditions. False colour image of Western blot : Anti-Musashi 1 / Msi1 antibody [EPR26106-92] (ab305170) staining at 1/1000 dilution, shown in green; Mouse anti-GAPDH antibody [6C5] (ab8245) loading control staining at 1/20000 dilution, shown in red. In Western blot, ab305170 was shown to bind specifically to Musashi 1 / Msi1. A band was observed at 39 kDa in wild-type HAP1 cell lysates with no signal observed at this size in Musashi 1 / Msi1 knockout cell line (knockout cell lysate). To generate this image, wild-type and Musashi 1 / Msi1 knockout HAP1 cell lysates were analyzed. First, samples were run on an SDS-PAGE gel then transferred onto an immobilon-FL PVDF membrane. Membranes were blocked in in Intercept® (TBS) Blocking Buffer diluted with an equal volume of 0.1% TBS before incubation with primary antibodies overnight at 4 °C. Blots were washed four times in TBS-T, incubated with secondary antibodies for 1 h at room temperature, washed again four times then imaged. Secondary antibodies used were Goat anti-Rabbit IgG H&L (IRDye® 800CW) preabsorbed (ab216773) and Goat anti-Mouse IgG H&L (IRDye® 680RD) preabsorbed (ab216776) at 1/20000 dilution.

All lanes:

Western blot - Anti-Musashi 1 / MSI1 antibody [EPR26106-92] (<a href='/en-us/products/primary-antibodies/musashi-1-msi1-antibody-epr26106-92-ab305170'>ab305170</a>) at 1/1000 dilution

Lane 1:

Wild-type HAP1 whole cell lysate at 20 µg

Lane 2:

Musashi 1 / Msi1 knockout HAP1 whole cell lysate at 20 µg

Lane 3:

SH-SY5Y (human neuroblastoma epithelial cell) whole cell lysate at 20 µg

Lane 4:

PC-12 (rat adrenal gland pheochromocytoma cell) whole cell lysate at 20 µg

Secondary

Lanes 1 - 4:

Western blot - Goat anti-Rabbit IgG H&L (IRDye® 800CW) preadsorbed (<a href='/en-us/products/secondary-antibodies/goat-rabbit-igg-h-l-irdye-800cw-preadsorbed-ab216773'>ab216773</a>) at 1/10000 dilution

Lanes 1 - 4:

Western blot - Goat anti-Mouse IgG H&L (IRDye® 680RD) preadsorbed (<a href='/en-us/products/secondary-antibodies/goat-mouse-igg-h-l-irdye-680rd-preadsorbed-ab216776'>ab216776</a>) at 1/10000 dilution

Predicted band size: 39 kDa

Observed band size: 39 kDa

false

Western blot - Anti-Musashi 1 / MSI1 antibody [EPR26106-92] - BSA and Azide free (AB305171)
  • WB

Supplier Data

Western blot - Anti-Musashi 1 / MSI1 antibody [EPR26106-92] - BSA and Azide free (AB305171)

This data was developed using ab305170, the same antibody clone in a different buffer formulation. Blocking and diluting buffer and concentration : 5% NFDM/TBST Negative control : NIH/3T3 (PMID : 11359897). Exposure time : 59 seconds

All lanes:

Western blot - Anti-Musashi 1 / MSI1 antibody [EPR26106-92] (<a href='/en-us/products/primary-antibodies/musashi-1-msi1-antibody-epr26106-92-ab305170'>ab305170</a>) at 1/1000 dilution

Lane 1:

Mouse embryonic brain tissue lysate at 20 µg

Lane 2:

Rat embryonic brain tissue lysate at 20 µg

Lane 3:

Neuro-2a (mouse neuroblastoma neuroblast) whole cell lysate at 20 µg

Lane 4:

NIH/3T3 (mouse embryonic fibroblast) whole cell lysate at 20 µg

Secondary

All lanes:

Western blot - Goat Anti-Rabbit IgG H&L (HRP) (<a href='/en-us/products/secondary-antibodies/goat-rabbit-igg-h-l-hrp-ab97051'>ab97051</a>) at 1/50000 dilution

Predicted band size: 39 kDa

Observed band size: 39 kDa

false

Exposure time: 59s

Western blot - Anti-Musashi 1 / MSI1 antibody [EPR26106-92] - BSA and Azide free (AB305171)
  • WB

Supplier Data

Western blot - Anti-Musashi 1 / MSI1 antibody [EPR26106-92] - BSA and Azide free (AB305171)

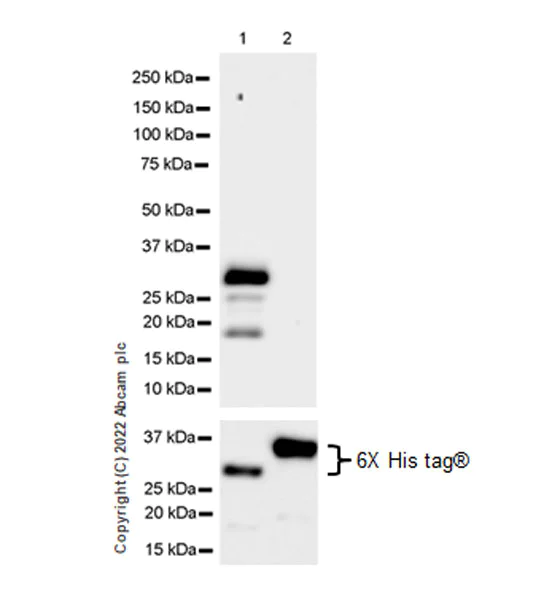
This data was developed using ab305170, the same antibody clone in a different buffer formulation. Blocking and diluting buffer and concentration : 5% NFDM/TBST Both recombinant proteins were made in-house and expressed from the E. coli expression systems. This antibody does not cross-react with mouse Musashi 2 / Msi2. Exposure time : 8 seconds

All lanes:

Western blot - Anti-Musashi 1 / MSI1 antibody [EPR26106-92] (<a href='/en-us/products/primary-antibodies/musashi-1-msi1-antibody-epr26106-92-ab305170'>ab305170</a>) at 1/1000 dilution

Lane 1:

His-tagged mouse Musashi 1 / Msi1 recombinant protein (aa52-251) at 10 ng

Lane 2:

His-tagged mouse Musashi 2 / Msi2 recombinant protein (aa1-346) at 10 ng

Secondary

All lanes:

Western blot - Goat Anti-Rabbit IgG H&L (HRP) (<a href='/en-us/products/secondary-antibodies/goat-rabbit-igg-h-l-hrp-ab97051'>ab97051</a>) at 1/100000 dilution

false

Exposure time: 8s

Western blot - Anti-Musashi 1 / MSI1 antibody [EPR26106-92] - BSA and Azide free (AB305171)
  • WB

Supplier Data

Western blot - Anti-Musashi 1 / MSI1 antibody [EPR26106-92] - BSA and Azide free (AB305171)

This data was developed using ab305170, the same antibody clone in a different buffer formulation. Blocking and diluting buffer and concentration : 5% NFDM/TBST Low expression tissues : kidney, heart (PMID : 8660864). Exposure time : 3 minutes

All lanes:

Western blot - Anti-Musashi 1 / MSI1 antibody [EPR26106-92] (<a href='/en-us/products/primary-antibodies/musashi-1-msi1-antibody-epr26106-92-ab305170'>ab305170</a>) at 1/1000 dilution

Lane 1:

Mouse P0 brainstem tissue lysate at 20 µg

Lane 2:

Mouse kidney tissue lysate at 20 µg

Lane 3:

Mouse heart tissue lysate at 20 µg

Secondary

All lanes:

Western blot - Goat Anti-Rabbit IgG H&L (HRP) (<a href='/en-us/products/secondary-antibodies/goat-rabbit-igg-h-l-hrp-ab97051'>ab97051</a>) at 1/20000 dilution

Predicted band size: 39 kDa

Observed band size: 39 kDa

false

Exposure time: 3min

Key facts

Host species

Rabbit

Clonality

Monoclonal

Clone number

EPR26106-92

Isotype

IgG

Carrier free

Yes

Reacts with

Human, Mouse, Rat

Applications

WB, Flow Cyt (Intra), IP, IHC-P

applications

Immunogen

The exact immunogen used to generate this antibody is proprietary information.

Specificity

Unsuitable for human IHC-P.

Reactivity data

{ "title": "Reactivity Data", "filters": { "stats": ["", "Species", "Dilution Info", "Notes"], "tabs": { "all-applications": {"fullname" : "All Applications", "shortname": "All Applications"}, "WB" : {"fullname" : "Western blot", "shortname":"WB"}, "IHCP" : {"fullname" : "Immunohistochemistry (Formalin/PFA-fixed paraffin-embedded sections)", "shortname":"IHC-P"}, "ICCIF" : {"fullname" : "Immunocytochemistry/ Immunofluorescence", "shortname":"ICC/IF"}, "FlowCytIntra" : {"fullname" : "Flow Cytometry (Intracellular)", "shortname":"Flow Cyt (Intra)"}, "IP" : {"fullname" : "Immunoprecipitation", "shortname":"IP"} }, "product-promise": { "all": "all", "testedAndGuaranteed": "tested", "guaranteed": "expected", "predicted": "predicted", "notRecommended": "not-recommended" } }, "values": { "Human": { "WB-species-checked": "testedAndGuaranteed", "WB-species-dilution-info": "", "WB-species-notes": "<p></p>", "IHCP-species-checked": "notRecommended", "IHCP-species-dilution-info": "", "IHCP-species-notes": "<p>This antibody is not suitable for human species in IHC-P application.</p>", "ICCIF-species-checked": "notRecommended", "ICCIF-species-dilution-info": "", "ICCIF-species-notes": "", "FlowCytIntra-species-checked": "guaranteed", "FlowCytIntra-species-dilution-info": "", "FlowCytIntra-species-notes": "", "IP-species-checked": "guaranteed", "IP-species-dilution-info": "", "IP-species-notes": "" }, "Mouse": { "WB-species-checked": "testedAndGuaranteed", "WB-species-dilution-info": "", "WB-species-notes": "<p></p>", "IHCP-species-checked": "testedAndGuaranteed", "IHCP-species-dilution-info": "", "IHCP-species-notes": "<p>This antibody is not suitable for human species in IHC-P application.</p>", "ICCIF-species-checked": "notRecommended", "ICCIF-species-dilution-info": "", "ICCIF-species-notes": "<p></p>", "FlowCytIntra-species-checked": "testedAndGuaranteed", "FlowCytIntra-species-dilution-info": "", "FlowCytIntra-species-notes": "<p></p>", "IP-species-checked": "testedAndGuaranteed", "IP-species-dilution-info": "", "IP-species-notes": "<p></p>" }, "Rat": { "WB-species-checked": "testedAndGuaranteed", "WB-species-dilution-info": "", "WB-species-notes": "<p></p>", "IHCP-species-checked": "testedAndGuaranteed", "IHCP-species-dilution-info": "", "IHCP-species-notes": "<p>This antibody is not suitable for human species in IHC-P application.</p>", "ICCIF-species-checked": "notRecommended", "ICCIF-species-dilution-info": "", "ICCIF-species-notes": "", "FlowCytIntra-species-checked": "guaranteed", "FlowCytIntra-species-dilution-info": "", "FlowCytIntra-species-notes": "", "IP-species-checked": "guaranteed", "IP-species-dilution-info": "", "IP-species-notes": "" } } }

Product details

Patented technology
Our RabMAb® technology is a patented hybridoma-based technology for making rabbit monoclonal antibodies. For details on our patents, please refer to RabMAb® patents.

What are the advantages of a recombinant monoclonal antibody?
This product is a recombinant monoclonal antibody, which offers several advantages including:

  • - High batch-to-batch consistency and reproducibility
  • - Improved sensitivity and specificity
  • - Long-term security of supply
  • - Animal-free batch production

For more information, read more on recombinant antibodies.

Conjugation ready
Our carrier-free antibodies are typically supplied in a PBS-only formulation, purified and free of BSA, sodium azide and glycerol. This conjugation-ready format is designed for use with fluorochromes, metal isotopes, oligonucleotides, and enzymes, which makes them ideal for antibody labelling, functional and cell-based assays, flow-based assays (e.g. mass cytometry) and Multiplex Imaging applications.

Use our conjugation kits for antibody conjugates that are ready-to-use in as little as 20 minutes with 1 minute hands-on-time and 100% antibody recovery: available for fluorescent dyes, HRP, biotin and gold.

Compatibility
This product is compatible with the Maxpar® Antibody Labeling Kit from Fluidigm, without the need for antibody preparation. Maxpar® is a trademark of Fluidigm Canada Inc.

Properties and storage information

Form
Liquid
Purification technique
Affinity purification Protein A
Storage buffer
pH: 7.2 - 7.4 Constituents: PBS
Shipped at conditions
Blue Ice
Appropriate short-term storage conditions
+4°C
Appropriate long-term storage conditions
+4°C

Supplementary information

This supplementary information is collated from multiple sources and compiled automatically.

Musashi 1 also known as Msi1 is an RNA-binding protein with a mass of about 39 kDa. Msi1 is present in high levels in neural tissue and certain stem cells. It works mechanically by recognizing and binding to specific RNA sequences impacting the fate of the mRNA. Musashi 1 regulates the translation and stability of its target mRNA affecting protein synthesis at the post-transcriptional level. Its expression is not limited to neural tissues but is also detected in other tissues where stem or progenitor cells are present.
Biological function summary

In neural stem cells and other tissue types Musashi 1 plays an important role in maintaining stem cell identity. Musashi 1 forms part of a complex that controls the translation of mRNAs involved in cell fate decisions. It acts by repressing or activating the translation of key regulatory proteins that guide stem cell maintenance and differentiation processes. This protein is also involved in cellular proliferation by influencing the translation of mRNAs tied to cell cycle regulation.

Pathways

The function of Musashi 1 lies within critical signaling pathways such as Notch and Wnt. It facilitates these pathways by regulating the translation of downstream effectors which are necessary for cellular communication and differentiation. Musashi 1 associates with proteins like Numb a known Notch signaling inhibitor and β-catenin from the Wnt pathway modulating their effects on cell cycle progression and stem cell fate.

Musashi 1’s abnormal expression is often linked to conditions like glioblastoma and colorectal cancer. High levels of Musashi 1 can promote tumor growth due to its role in cell proliferation and differentiation pathways. In glioblastoma its expression relates closely with other oncogenic proteins such as Numb and Notch altering normal regulatory mechanisms. In colorectal cancer Musashi 1’s interaction with β-catenin further drives tumorigenesis highlighting its potential as a target for therapeutic interventions.

Product protocols

For this product, it's our understanding that no specific protocols are required. You can visit:

Target data

RNA binding protein that regulates the expression of target mRNAs at the translation level. Regulates expression of the NOTCH1 antagonist NUMB. Binds RNA containing the sequence 5'-GUUAGUUAGUUAGUU-3' and other sequences containing the pattern 5'-[GA]U(1-3)AGU-3'. May play a role in the proliferation and maintenance of stem cells in the central nervous system (By similarity).
See full target information MSI1

Product promise

We are committed to supporting your work with high-quality reagents, and we're here for you every step of the way. In the unlikely event that one of our products does not perform as expected, you're protected by our Product Promise.
For full details, please see our Terms & Conditions

Please note: All products are 'FOR RESEARCH USE ONLY. NOT FOR USE IN DIAGNOSTIC OR THERAPEUTIC PROCEDURES'.

For licensing inquiries, please contact partnerships@abcam.com