JavaScript is disabled in your browser. Please enable JavaScript to view this website.
AB247880

Anti-muscle Actin antibody [EPR4791] - BSA and Azide free

Be the first to review this product! Submit a review

|

(1 Publication)

Rabbit Recombinant Monoclonal alpha skeletal muscle Actin antibody. Carrier free. Suitable for IHC-P, WB and reacts with Human samples. Cited in 1 publication.

View Alternative Names

ACTA, ACTA1, Alpha-actin-1

2 Images
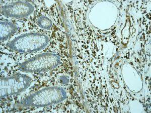
Immunohistochemistry (Formalin/PFA-fixed paraffin-embedded sections) - Anti-muscle Actin antibody [EPR4791] - BSA and Azide free (AB247880)
  • IHC-P

Unknown

Immunohistochemistry (Formalin/PFA-fixed paraffin-embedded sections) - Anti-muscle Actin antibody [EPR4791] - BSA and Azide free (AB247880)

This data was developed using ab109499, the same antibody clone in a different buffer formulation.

Immunohistochemical analysis of paraffin-embedded human colonic tissue using ab109499

Perform heat mediated antigen retrieval with citrate buffer pH 6 before commencing with IHC staining protocol.

Western blot - Anti-muscle Actin antibody [EPR4791] - BSA and Azide free (AB247880)
  • WB

Unknown

Western blot - Anti-muscle Actin antibody [EPR4791] - BSA and Azide free (AB247880)

This data was developed using ab109499, the same antibody clone in a different buffer formulation.

All lanes:

Western blot - Anti-muscle Actin antibody [EPR4791] - Loading Control (<a href='/en-us/products/primary-antibodies/muscle-actin-antibody-epr4791-loading-control-ab109499'>ab109499</a>) at 1/1000 dilution

Lane 1:

Human skeletal muscle lysate at 10 µg

Lane 2:

Human heart lysates at 10 µg

Secondary

All lanes:

Standard HRP labelled goat anti-rabbit at 1/2000 dilution

Predicted band size: 42 kDa

false

  • Unconjugated

    Anti-muscle Actin antibody [EPR4791] - Loading Control

Key facts

Host species

Rabbit

Clonality

Monoclonal

Clone number

EPR4791

Isotype

IgG

Carrier free

Yes

Reacts with

Human

Applications

IHC-P, WB

applications

Immunogen

The exact immunogen used to generate this antibody is proprietary information.

Specificity

The immunogen for this product has 100% homology with POTE ankyrin domain family member (121 kDa) and 100% homology with alpha cardiac muscle 1, aortic smooth muscle, alpha skeletal muscle and gamma-enteric smooth muscle (42 kDa). In our testing&nbsp; this antibody only detected a 42 kDa band in Western blot.

Reactivity data

{ "title": "Reactivity Data", "filters": { "stats": ["", "Species", "Dilution Info", "Notes"], "tabs": { "all-applications": {"fullname" : "All Applications", "shortname": "All Applications"}, "IHCP" : {"fullname" : "Immunohistochemistry (Formalin/PFA-fixed paraffin-embedded sections)", "shortname":"IHC-P"}, "WB" : {"fullname" : "Western blot", "shortname":"WB"}, "IP" : {"fullname" : "Immunoprecipitation", "shortname":"IP"}, "FlowCyt" : {"fullname" : "Flow Cytometry", "shortname":"Flow Cyt"} }, "product-promise": { "all": "all", "testedAndGuaranteed": "tested", "guaranteed": "expected", "predicted": "predicted", "notRecommended": "not-recommended" } }, "values": { "Human": { "IHCP-species-checked": "testedAndGuaranteed", "IHCP-species-dilution-info": "", "IHCP-species-notes": "<p>Perform antigen retrieval.</p>", "WB-species-checked": "testedAndGuaranteed", "WB-species-dilution-info": "", "WB-species-notes": "<p></p>", "IP-species-checked": "notRecommended", "IP-species-dilution-info": "", "IP-species-notes": "<p></p>", "FlowCyt-species-checked": "notRecommended", "FlowCyt-species-dilution-info": "", "FlowCyt-species-notes": "<p></p>" }, "Mouse": { "IHCP-species-checked": "predicted", "IHCP-species-dilution-info": "", "IHCP-species-notes": "", "WB-species-checked": "predicted", "WB-species-dilution-info": "", "WB-species-notes": "", "IP-species-checked": "notRecommended", "IP-species-dilution-info": "", "IP-species-notes": "", "FlowCyt-species-checked": "notRecommended", "FlowCyt-species-dilution-info": "", "FlowCyt-species-notes": "" }, "Rat": { "IHCP-species-checked": "predicted", "IHCP-species-dilution-info": "", "IHCP-species-notes": "", "WB-species-checked": "predicted", "WB-species-dilution-info": "", "WB-species-notes": "", "IP-species-checked": "notRecommended", "IP-species-dilution-info": "", "IP-species-notes": "", "FlowCyt-species-checked": "notRecommended", "FlowCyt-species-dilution-info": "", "FlowCyt-species-notes": "" } } }

Product details

ab247880 is the carrier-free version of ab109499.

Patented technology
Our RabMAb® technology is a patented hybridoma-based technology for making rabbit monoclonal antibodies. For details on our patents, please refer to RabMAb® patents.

What are the advantages of a recombinant monoclonal antibody?
This product is a recombinant monoclonal antibody, which offers several advantages including:

  • - High batch-to-batch consistency and reproducibility
  • - Improved sensitivity and specificity
  • - Long-term security of supply
  • - Animal-free batch production

For more information, read more on recombinant antibodies.

Conjugation ready
Our carrier-free antibodies are typically supplied in a PBS-only formulation, purified and free of BSA, sodium azide and glycerol. This conjugation-ready format is designed for use with fluorochromes, metal isotopes, oligonucleotides, and enzymes, which makes them ideal for antibody labelling, functional and cell-based assays, flow-based assays (e.g. mass cytometry) and Multiplex Imaging applications.

Use our conjugation kits for antibody conjugates that are ready-to-use in as little as 20 minutes with 1 minute hands-on-time and 100% antibody recovery: available for fluorescent dyes, HRP, biotin and gold.

Compatibility
This product is compatible with the Maxpar® Antibody Labeling Kit from Fluidigm, without the need for antibody preparation. Maxpar® is a trademark of Fluidigm Canada Inc.

Properties and storage information

Form
Liquid
Purification technique
Affinity purification Protein A
Storage buffer
pH: 7.2 - 7.4 Constituents: PBS
Shipped at conditions
Blue Ice
Appropriate short-term storage conditions
+4°C
Appropriate long-term storage conditions
+4°C
Storage information
Do Not Freeze

Supplementary information

This supplementary information is collated from multiple sources and compiled automatically.

Muscle Actin also known as ACTA1 is a protein that plays a significant role in muscle contraction. It has a molecular weight of approximately 42 kDa. This protein is primarily found in skeletal muscle tissues. Muscle Actin exists in two forms: G-actin a globular monomer and F-actin a filamentous polymer that forms actin filaments. These filaments provide structural support and are involved in muscle contraction through their interaction with myosin.
Biological function summary

Muscle Actin interacts with myosin to facilitate muscle contraction. It is an important component of the thin filament within the sarcomere the basic unit of muscle fiber. Muscle Actin is part of a complex and this complex includes other important proteins like tropomyosin and troponin. These proteins regulate the interaction between actin and myosin enabling the muscle contraction process. Muscle Actin's polymerization and depolymerization dynamics are important for the regulation of cellular movement and structural integrity.

Pathways

Muscle Actin is essential for the actin-myosin contractile machinery in muscle cells which is part of the sarcomere assembly pathway. This process involves other proteins such as myosin heavy chain and tropomyosin which are important for muscle contraction. Another important pathway is the Rho GTPase signaling pathway which controls actin filament assembly and is involved in a variety of cellular processes including muscle contraction and cell motility.

Muscle Actin mutations link to certain muscle-related diseases such as nemaline myopathy and congenital myopathies. Nemaline myopathy involves the presence of rod-like structures in muscle fibers and it results from anomalies in actin filaments. Muscle Actin also associates with cardiac muscle conditions when there are mutations affecting cardiac actin structure or function. This reveals the connection between Muscle Actin tropomyosin and troponin in muscle contraction efficiency and structural integrity contributing to these diseases' pathogenesis.

Product protocols

For this product, it's our understanding that no specific protocols are required. You can visit:

Target data

Actins are highly conserved proteins that are involved in various types of cell motility and are ubiquitously expressed in all eukaryotic cells.
See full target information ACTA1

Publications (1)

Recent publications for all applications. Explore the full list and refine your search

Immunity, inflammation and disease 10:e692 PubMed36301023

2022

HDAC4 depletion ameliorates IL-13-triggered inflammatory response and mucus production in nasal epithelial cells via activation of SIRT1/NF-κB signaling.

Applications

Unspecified application

Species

Unspecified reactive species

Hangyu Xu,Lingjun Wang,Huaqun Chen,Hefei Cai
View all publications

Product promise

We are committed to supporting your work with high-quality reagents, and we're here for you every step of the way. In the unlikely event that one of our products does not perform as expected, you're protected by our Product Promise.
For full details, please see our Terms & Conditions

Please note: All products are 'FOR RESEARCH USE ONLY. NOT FOR USE IN DIAGNOSTIC OR THERAPEUTIC PROCEDURES'.

For licensing inquiries, please contact partnerships@abcam.com