JavaScript is disabled in your browser. Please enable JavaScript to view this website.
AB226248

Anti-MVP antibody

Be the first to review this product! Submit a review

|

(1 Publication)

Rabbit Polyclonal MVP antibody. Suitable for IHC-P, IP, WB and reacts with Human samples. Cited in 1 publication. Immunogen corresponding to Synthetic Peptide within Human MVP aa 800 to C-terminus.

View Alternative Names

LRP, MVP, Major vault protein, Lung resistance-related protein

3 Images
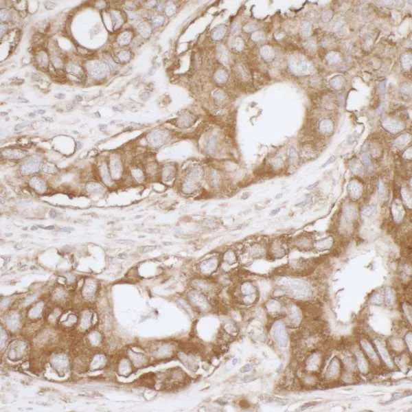
Immunohistochemistry (Formalin/PFA-fixed paraffin-embedded sections) - Anti-MVP antibody (AB226248)
  • IHC-P

Supplier Data

Immunohistochemistry (Formalin/PFA-fixed paraffin-embedded sections) - Anti-MVP antibody (AB226248)

Formalin-fixed, paraffin-embedded human colon carcinoma tissue stained for MVP using ab226248 at 1/5000 dilution in immunohistochemical analysis.

Detection : DAB staining.

Immunoprecipitation - Anti-MVP antibody (AB226248)
  • IP

Supplier Data

Immunoprecipitation - Anti-MVP antibody (AB226248)

MVP was immunoprecipitated from HeLa (human epithelial cell line from cervix adenocarcinoma) whole cell lysate (prepared using NETN lysis buffer; 1 mg for IP, 20% of IP loaded) with ab226248 at 6 μg/mg lysate. Western blot was performed from the immunoprecipitate using ab226248 at 0.4 μg/ml.

Lane 1 : ab226248 IP in HeLa whole cell lysate.

Lane 2 : Control IgG IP in HeLa whole cell lysate.

Detection : Chemiluminescence with exposure time of 1 second.

All lanes:

Immunoprecipitation - Anti-MVP antibody (ab226248)

Predicted band size: 99 kDa

false

Western blot - Anti-MVP antibody (AB226248)
  • WB

Supplier Data

Western blot - Anti-MVP antibody (AB226248)

Lysates prepared using NETN lysis buffer.

All lanes:

Western blot - Anti-MVP antibody (ab226248) at 0.1 µg/mL

Lane 1:

HeLa (human epithelial cell line from cervix adenocarcinoma) whole cell lysate at 50 µg

Lane 2:

HEK-293T (human epithelial cell line from embryonic kidney transformed with large T antigen) whole cell lysate at 50 µg

Lane 3:

Jurkat (human T cell leukemia cell line from peripheral blood) whole cell lysate at 50 µg

Predicted band size: 99 kDa

true

Exposure time: 10s

Key facts

Host species

Rabbit

Clonality

Polyclonal

Isotype

IgG

Carrier free

No

Reacts with

Human

Applications

WB, IP, IHC-P

applications

Immunogen

Synthetic Peptide within Human MVP aa 800 to C-terminus. The exact immunogen used to generate this antibody is proprietary information.

Q14764

Reactivity data

{ "title": "Reactivity Data", "filters": { "stats": ["", "Species", "Dilution Info", "Notes"], "tabs": { "all-applications": {"fullname" : "All Applications", "shortname": "All Applications"}, "IHCP" : {"fullname" : "Immunohistochemistry (Formalin/PFA-fixed paraffin-embedded sections)", "shortname":"IHC-P"}, "IP" : {"fullname" : "Immunoprecipitation", "shortname":"IP"}, "WB" : {"fullname" : "Western blot", "shortname":"WB"} }, "product-promise": { "all": "all", "testedAndGuaranteed": "tested", "guaranteed": "expected", "predicted": "predicted", "notRecommended": "not-recommended" } }, "values": { "Human": { "IHCP-species-checked": "testedAndGuaranteed", "IHCP-species-dilution-info": "1/2000 - 1/10000", "IHCP-species-notes": "<p></p> Perform heat-mediated antigen retrieval with citrate buffer pH 6 before commencing with IHC staining protocol.", "IP-species-checked": "testedAndGuaranteed", "IP-species-dilution-info": "2-10 µg/mg of lysate", "IP-species-notes": "<p></p>", "WB-species-checked": "testedAndGuaranteed", "WB-species-dilution-info": "1/2000 - 1/10000", "WB-species-notes": "<p></p>" }, "Orangutan": { "IHCP-species-checked": "predicted", "IHCP-species-dilution-info": "", "IHCP-species-notes": "", "IP-species-checked": "predicted", "IP-species-dilution-info": "", "IP-species-notes": "", "WB-species-checked": "predicted", "WB-species-dilution-info": "", "WB-species-notes": "" } } }

Properties and storage information

Form
Liquid
Purification technique
Affinity purification Immunogen
Purification notes
ab226248 was affinity purified using an epitope specific to MVP immobilized on solid support.
Storage buffer
pH: 7 - 8 Preservative: 0.09% Sodium azide Constituents: Tris citrate/phosphate
Shipped at conditions
Blue Ice
Appropriate short-term storage duration
1-2 weeks
Appropriate short-term storage conditions
+4°C
Appropriate long-term storage conditions
+4°C
Aliquoting information
Upon delivery aliquot
Storage information
Avoid freeze / thaw cycle

Product protocols

For this product, it's our understanding that no specific protocols are required. You can visit:

Target data

Required for normal vault structure. Vaults are multi-subunit structures that may act as scaffolds for proteins involved in signal transduction. Vaults may also play a role in nucleo-cytoplasmic transport. Down-regulates IFNG-mediated STAT1 signaling and subsequent activation of JAK. Down-regulates SRC activity and signaling through MAP kinases.
See full target information MVP

Publications (1)

Recent publications for all applications. Explore the full list and refine your search

Frontiers in cell and developmental biology 9:554831 PubMed34336814

2021

Transcription Factor DLX5 Promotes Hair Follicle Stem Cell Differentiation by Regulating the c-MYC/microRNA-29c-3p/NSD1 Axis.

Applications

Unspecified application

Species

Unspecified reactive species

Bojie Lin,Jiangying Zhu,Guoqian Yin,Mingde Liao,Guanyu Lin,Yuyong Yan,Dan Huang,Siding Lu
View all publications

Product promise

We are committed to supporting your work with high-quality reagents, and we're here for you every step of the way. In the unlikely event that one of our products does not perform as expected, you're protected by our Product Promise.
For full details, please see our Terms & Conditions

Please note: All products are 'FOR RESEARCH USE ONLY. NOT FOR USE IN DIAGNOSTIC OR THERAPEUTIC PROCEDURES'.

For licensing inquiries, please contact partnerships@abcam.com