JavaScript is disabled in your browser. Please enable JavaScript to view this website.
AB175239

Anti-MVP antibody [EPR13227(B)]

Be the first to review this product! Submit a review

|

(7 Publications)

Rabbit Recombinant Monoclonal MVP antibody. Suitable for IHC-P, WB, ICC/IF, Flow Cyt (Intra) and reacts with Human samples. Cited in 7 publications.

View Alternative Names

LRP, MVP, Major vault protein, Lung resistance-related protein

12 Images
Immunocytochemistry/ Immunofluorescence - Anti-MVP antibody [EPR13227(B)] (AB175239)
  • ICC/IF

Lab

Immunocytochemistry/ Immunofluorescence - Anti-MVP antibody [EPR13227(B)] (AB175239)

Immunocytochemistry/Immunofluorescence analysis of HeLa cells labelling MVP with purified ab175239 at a dilution of 1/150. Cells were fixed with 4% paraformaldehyde and permeabilized with 0.1% Triton X-100. ab150077, an Alexa Fluor® 488-conjugated goat anti-rabbit IgG (1/1000) was used as the secondary antibody. DAPI (blue) was used as the nuclear counterstain. ab7291, a mouse anti-tubulin (1/1000) and ab150120, an Alexa Fluor® 594-conjugated goat anti-mouse IgG (1/1000) were also used.

Control 1 : primary antibody (1/150) and secondary antibody, ab150120, an Alexa Fluor® 594-conjugated goat anti-mouse IgG (1/1000).

Control 2 : ab7291 (1/1000) and secondary antibody, ab150077, an Alexa Fluor® 488-conjugated goat anti-rabbit IgG (1/1000).

Immunohistochemistry (Formalin/PFA-fixed paraffin-embedded sections) - Anti-MVP antibody [EPR13227(B)] (AB175239)
  • IHC-P

Supplier Data

Immunohistochemistry (Formalin/PFA-fixed paraffin-embedded sections) - Anti-MVP antibody [EPR13227(B)] (AB175239)

Immunohistochemistry (Formalin/PFA-fixed paraffin-embedded sections) analysis of human pancreas tissue labeling MVP with unpurified ab175239 at a dilution of 1/50.

Perform heat mediated antigen retrieval before commencing with IHC staining protocol.

Immunocytochemistry/ Immunofluorescence - Anti-MVP antibody [EPR13227(B)] (AB175239)
  • ICC/IF

Supplier Data

Immunocytochemistry/ Immunofluorescence - Anti-MVP antibody [EPR13227(B)] (AB175239)

Immunocytochemistry/Immunofluorescence analysis of A549 cells labeling MVP with unpurified ab175239 at a dilution of 1/250 (red) and DAPI staining (blue).

Immunohistochemistry (Formalin/PFA-fixed paraffin-embedded sections) - Anti-MVP antibody [EPR13227(B)] (AB175239)
  • IHC-P

Supplier Data

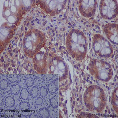
Immunohistochemistry (Formalin/PFA-fixed paraffin-embedded sections) - Anti-MVP antibody [EPR13227(B)] (AB175239)

Immunohistochemistry (Formalin/PFA-fixed paraffin-embedded sections) analysis of human colon tissue labeling MVP with unpurified ab175239 at a dilution of 1/50.

Perform heat mediated antigen retrieval before commencing with IHC staining protocol.

Flow Cytometry (Intracellular) - Anti-MVP antibody [EPR13227(B)] (AB175239)
  • Flow Cyt (Intra)

Lab

Flow Cytometry (Intracellular) - Anti-MVP antibody [EPR13227(B)] (AB175239)

Intracellular Flow Cytometry analysis of A549 cells labelling MVP with purified ab175239 at a dilution of 1/180 (red). Cells were fixed with 4% paraformaldehyde. A FITC-conjugated goat anti-rabbit IgG (1/500) was used as the secondary antibody. Black - Isotype control, rabbit monoclonal IgG. Blue - Unlabelled control, cells without incubation with primary and secondary antibodies.

Flow Cytometry (Intracellular) - Anti-MVP antibody [EPR13227(B)] (AB175239)
  • Flow Cyt (Intra)

Supplier Data

Flow Cytometry (Intracellular) - Anti-MVP antibody [EPR13227(B)] (AB175239)

Intracellular flow cytometrical analysis of permeabilized A549 cells labeling MVP with unpurified ab175239 antibody at a dilution of 1/100 (red) compared to a negative control (Rabbit IgG, green).

Immunohistochemistry (Formalin/PFA-fixed paraffin-embedded sections) - Anti-MVP antibody [EPR13227(B)] (AB175239)
  • IHC-P

Lab

Immunohistochemistry (Formalin/PFA-fixed paraffin-embedded sections) - Anti-MVP antibody [EPR13227(B)] (AB175239)

Immunohistochemistry (Formalin/PFA-fixed paraffin-embedded sections) analysis of human colon tissue labelling MVP with purified ab175239 at a dilution of 1/350. Heat mediated antigen retrieval was performed using EDTA buffer pH 9. ab97051, a HRP-conjugated goat anti-rabbit IgG (H+L) was used as the secondary antibody (1/500). Negative control using PBS instead of primary antibody. Counterstained with hematoxylin.

Western blot - Anti-MVP antibody [EPR13227(B)] (AB175239)
  • WB

Supplier Data

Western blot - Anti-MVP antibody [EPR13227(B)] (AB175239)

All lanes:

Western blot - Anti-MVP antibody [EPR13227(B)] (ab175239) at 1/10000 dilution

Lane 1:

A549 cell lysate at 10 µg

Lane 2:

Calu-3 cell lysate at 10 µg

Lane 3:

HeLa cell lysate at 10 µg

Predicted band size: 99 kDa

Observed band size: 110 kDa

false

Western blot - Anti-MVP antibody [EPR13227(B)] (AB175239)
  • WB

Lab

Western blot - Anti-MVP antibody [EPR13227(B)] (AB175239)

ab175239 Anti-MVP antibody [EPR13227(B)] was shown to specifically react with MVP in HeLa wild-type cells ( ab255448). Loss of signal was observed when knockout cell line ab264817 (knockout cell lysate ab257544) was used. Wild-type and MVP knockout samples were subjected to SDS-PAGE. ab175239 and Anti-GAPDH antibody [6C5] - Loading Control (ab8245) were incubated overnight at 4°C at 1 in 2000 dilution and 1 in 20000 dilution respectively. Blots were developed with Goat anti-Rabbit IgG H&L (IRDye® 800CW) preadsorbed (ab216773) and Goat anti-Mouse IgG H&L (IRDye® 680RD) preadsorbed (ab216776) secondary antibodies at 1 in 20000 dilution for 1 hour at room temperature before imaging.

All lanes:

Western blot - Anti-MVP antibody [EPR13227(B)] (ab175239) at 1/2000 dilution

Lane 1:

Wild-type HeLa lysate at 20 µg

Lane 2:

MVP knockout HeLa lysate at 20 µg

Lane 2:

Western blot - Human MVP knockout HeLa cell line (<a href='/en-us/products/cell-lines/human-mvp-knockout-hela-cell-line-ab264817'>ab264817</a>)

Lane 3:

A549 lysate at 20 µg

Lane 4:

MOLT-4 lysate at 20 µg

Predicted band size: 99 kDa

Observed band size: 110 kDa

false

Western blot - Anti-MVP antibody [EPR13227(B)] (AB175239)
  • WB

Lab

Western blot - Anti-MVP antibody [EPR13227(B)] (AB175239)

Blocking and dilution buffer : 5% NFDM/TBST

All lanes:

Western blot - Anti-MVP antibody [EPR13227(B)] (ab175239) at 1/10000 dilution

Lane 1:

Calu-3 whole cell lysate at 20 µg

Lane 2:

A549 whole cell lysate at 20 µg

Secondary

All lanes:

Western blot - Goat Anti-Rabbit IgG H&L (HRP) (<a href='/en-us/products/secondary-antibodies/goat-rabbit-igg-h-l-hrp-ab97051'>ab97051</a>) at 1/20000 dilution

Predicted band size: 53 kDa,55 kDa,73 kDa,97 kDa,99 kDa

Observed band size: 110 kDa

false

Western blot - Anti-MVP antibody [EPR13227(B)] (AB175239)
  • WB

Lab

Western blot - Anti-MVP antibody [EPR13227(B)] (AB175239)

Blocking and dilution buffer : 5% NFDM/TBST

All lanes:

Western blot - Anti-MVP antibody [EPR13227(B)] (ab175239) at 1/2000 dilution

All lanes:

Caco-2 whole cell lysate at 20 µg

Secondary

All lanes:

Western blot - Goat Anti-Rabbit IgG H&L (HRP) (<a href='/en-us/products/secondary-antibodies/goat-rabbit-igg-h-l-hrp-ab97051'>ab97051</a>) at 1/20000 dilution

Predicted band size: 99 kDa

Observed band size: 110 kDa

false

Western blot - Anti-MVP antibody [EPR13227(B)] (AB175239)
  • WB

CiteAb

Western blot - Anti-MVP antibody [EPR13227(B)] (AB175239)

MVP western blot using anti-MVP antibody [EPR13227(B)] ab175239. Publication image and figure legend from Shen, W., Qiu, Y., et al., 2019, Cancer Med, PubMed 31044552.

ab175239 was used in this publication in western blot. This may not be the same as the application(s) guaranteed by Abcam. For a full list of applications guaranteed by Abcam for ab175239 please see the product overview.

IL-25 regulates the NF-κB signaling pathway activity. A, The change of NF-κB signaling pathway in IL-25 overexpressed A549 cells and IL-25 silenced A549/CDDP cells. B, The effect of exogenous IL-25 on the activity of NF-κB signaling pathway in A549 cells. C, QNZ blocks the effect of exogenous IL-25 on the expression of major vault protein (MVP) and the activity of NF-κB signaling pathway in A549 cells. *p < 0.01 vs indicated controls, all figures represent the average of three sets of independent experiments

false

  • 519 Alexa Fluor® 488

    Alexa Fluor® 488 Anti-MVP antibody [EPR13227(B)]

  • 665 Alexa Fluor® 647

    Alexa Fluor® 647 Anti-MVP antibody [EPR13227(B)]

  • 578 PE

    PE Anti-MVP antibody [EPR13227(B)]

  • HRP

    HRP Anti-MVP antibody [EPR13227(B)]

  • 617 Alexa Fluor® 594

    Alexa Fluor® 594 Anti-MVP antibody [EPR13227(B)]

  • 603 Alexa Fluor® 568

    Alexa Fluor® 568 Anti-MVP antibody [EPR13227(B)]

  • 565 Alexa Fluor® 555

    Alexa Fluor® 555 Anti-MVP antibody [EPR13227(B)]

  • 660 APC

    APC Anti-MVP antibody [EPR13227(B)]

  • 775 Alexa Fluor® 750

    Alexa Fluor® 750 Anti-MVP antibody [EPR13227(B)]

Key facts

Host species

Rabbit

Clonality

Monoclonal

Clone number

EPR13227(B)

Isotype

IgG

Carrier free

No

Reacts with

Human

Applications

Flow Cyt (Intra), WB, IHC-P, ICC/IF

applications

Immunogen

The exact immunogen used to generate this antibody is proprietary information.

Reactivity data

{ "title": "Reactivity Data", "filters": { "stats": ["", "Species", "Dilution Info", "Notes"], "tabs": { "all-applications": {"fullname" : "All Applications", "shortname": "All Applications"}, "IHCP" : {"fullname" : "Immunohistochemistry (Formalin/PFA-fixed paraffin-embedded sections)", "shortname":"IHC-P"}, "WB" : {"fullname" : "Western blot", "shortname":"WB"}, "ICCIF" : {"fullname" : "Immunocytochemistry/ Immunofluorescence", "shortname":"ICC/IF"}, "FlowCytIntra" : {"fullname" : "Flow Cytometry (Intracellular)", "shortname":"Flow Cyt (Intra)"} }, "product-promise": { "all": "all", "testedAndGuaranteed": "tested", "guaranteed": "expected", "predicted": "predicted", "notRecommended": "not-recommended" } }, "values": { "Human": { "IHCP-species-checked": "testedAndGuaranteed", "IHCP-species-dilution-info": "1/50 - 1/350", "IHCP-species-notes": "<p></p>", "WB-species-checked": "testedAndGuaranteed", "WB-species-dilution-info": "1/2000", "WB-species-notes": "<p><strong>For unpurified use at 1/10000 - 1/50000.</strong></p>", "ICCIF-species-checked": "testedAndGuaranteed", "ICCIF-species-dilution-info": "1/150 - 1/500", "ICCIF-species-notes": "<p></p>", "FlowCytIntra-species-checked": "testedAndGuaranteed", "FlowCytIntra-species-dilution-info": "1/100 - 1/500", "FlowCytIntra-species-notes": "<p><a href='/en-us/products/primary-antibodies/rabbit-igg-monoclonal-epr25a-isotype-control-ab172730'>ab172730</a> - Rabbit monoclonal IgG, is suitable for use as an isotype control with this antibody.</p>" } } }

Product details

Species reactivity
Mouse, Rat: We have preliminary internal testing data to indicate this antibody may not react with these species.
Please contact us for more information.

Patented technology
Our RabMAb® technology is a patented hybridoma-based technology for making rabbit monoclonal antibodies. For details on our patents, please refer to RabMAb® patents.

What are the advantages of a recombinant monoclonal antibody?
This product is a recombinant monoclonal antibody, which offers several advantages including:

  • - High batch-to-batch consistency and reproducibility
  • - Improved sensitivity and specificity
  • - Long-term security of supply
  • - Animal-free batch production

For more information, read more on recombinant antibodies.

Properties and storage information

Form
Liquid
Purification technique
Affinity purification Protein A
Storage buffer
Preservative: 0.01% Sodium azide Constituents: PBS, 40% Glycerol (glycerin, glycerine), 0.05% BSA
Shipped at conditions
Blue Ice
Appropriate short-term storage duration
1-2 weeks
Appropriate short-term storage conditions
+4°C
Appropriate long-term storage conditions
-20°C
Aliquoting information
Upon delivery aliquot
Storage information
Avoid freeze / thaw cycle

Product protocols

For this product, it's our understanding that no specific protocols are required. You can visit:

Target data

Required for normal vault structure. Vaults are multi-subunit structures that may act as scaffolds for proteins involved in signal transduction. Vaults may also play a role in nucleo-cytoplasmic transport. Down-regulates IFNG-mediated STAT1 signaling and subsequent activation of JAK. Down-regulates SRC activity and signaling through MAP kinases.
See full target information MVP

Publications (7)

Recent publications for all applications. Explore the full list and refine your search

Nature cell biology 23:1240-1254 PubMed34887515

2021

Supermeres are functional extracellular nanoparticles replete with disease biomarkers and therapeutic targets.

Applications

Unspecified application

Species

Unspecified reactive species

Qin Zhang,Dennis K Jeppesen,James N Higginbotham,Ramona Graves-Deal,Vincent Q Trinh,Marisol A Ramirez,Yoojin Sohn,Abigail C Neininger,Nilay Taneja,Eliot T McKinley,Hiroaki Niitsu,Zheng Cao,Rachel Evans,Sarah E Glass,Kevin C Ray,William H Fissell,Salisha Hill,Kristie Lindsey Rose,Won Jae Huh,Mary Kay Washington,Gregory Daniel Ayers,Dylan T Burnette,Shivani Sharma,Leonard H Rome,Jeffrey L Franklin,Youngmin A Lee,Qi Liu,Robert J Coffey

Developmental cell 56:1989-2006.e6 PubMed34118203

2021

Oncogene-regulated release of extracellular vesicles.

Applications

Unspecified application

Species

Unspecified reactive species

Seda Kilinc,Rebekka Paisner,Roman Camarda,Suprit Gupta,Olga Momcilovic,Rebecca A Kohnz,Baris Avsaroglu,Noelle D L'Etoile,Rushika M Perera,Daniel K Nomura,Andrei Goga

The Journal of investigative dermatology 140:1335-1345.e10 PubMed31877317

2019

Inactivation of the Cytoprotective Major Vault Protein by Caspase-1 and -9 in Epithelial Cells during Apoptosis.

Applications

Unspecified application

Species

Unspecified reactive species

Serena Grossi,Gabriele Fenini,Tobias Kockmann,Paulina Hennig,Michela Di Filippo,Hans-Dietmar Beer

Cancer medicine 8:3491-3501 PubMed31044552

2019

IL-25 promotes cisplatin resistance of lung cancer cells by activating NF-κB signaling pathway to increase of major vault protein.

Applications

Unspecified application

Species

Unspecified reactive species

Weiming Shen,Yang Qiu,Jingyao Li,Chao Wu,Zhihui Liu,Xiaorong Zhang,Xiaohong Hu,Yi Liao,Haidong Wang

Biochimica et biophysica acta. General subjects 1862:2254-2260 PubMed30036602

2018

A fast and straightforward procedure for vault nanoparticle purification and the characterization of its endocytic uptake.

Applications

Unspecified application

Species

Unspecified reactive species

Elisabetta Galbiati,Svetlana Avvakumova,Alessandra La Rocca,Maria Pozzi,Silvia Messali,Paola Magnaghi,Miriam Colombo,Davide Prosperi,Paolo Tortora

Molecular medicine reports 15:1179-1187 PubMed28098863

2017

Effect and mechanism of resveratrol on drug resistance in human bladder cancer cells.

Applications

Unspecified application

Species

Unspecified reactive species

Shanshan Wang,Qian Meng,Qing Xie,Man Zhang

Cancer research 76:3057-66 PubMed27013200

2016

Human Helicase RECQL4 Drives Cisplatin Resistance in Gastric Cancer by Activating an AKT-YB1-MDR1 Signaling Pathway.

Applications

Unspecified application

Species

Unspecified reactive species

Dongliang Mo,Hongbo Fang,Kaifeng Niu,Jing Liu,Meng Wu,Shiyou Li,Tienian Zhu,Mohammed A Aleskandarany,Arvind Arora,Dileep N Lobo,Srinivasan Madhusudan,Adayabalam S Balajee,Zhenfen Chi,Yongliang Zhao
View all publications

Product promise

We are committed to supporting your work with high-quality reagents, and we're here for you every step of the way. In the unlikely event that one of our products does not perform as expected, you're protected by our Product Promise.
For full details, please see our Terms & Conditions

Please note: All products are 'FOR RESEARCH USE ONLY. NOT FOR USE IN DIAGNOSTIC OR THERAPEUTIC PROCEDURES'.

For licensing inquiries, please contact partnerships@abcam.com