JavaScript is disabled in your browser. Please enable JavaScript to view this website.
AB273097

Anti-MVP antibody [EPR23594-106] - BSA and Azide free

Be the first to review this product! Submit a review

|

(0 Publication)

Rabbit Recombinant Monoclonal MVP antibody. Carrier free. Suitable for WB, ICC/IF, Flow Cyt (Intra), IHC-P and reacts with Human, Mouse, Rat samples.

View Alternative Names

LRP, MVP, Major vault protein, Lung resistance-related protein

7 Images
Flow Cytometry (Intracellular) - Anti-MVP antibody [EPR23594-106] - BSA and Azide free (AB273097)
  • Flow Cyt (Intra)

Unknown

Flow Cytometry (Intracellular) - Anti-MVP antibody [EPR23594-106] - BSA and Azide free (AB273097)

Intracellular flow cytometric analysis of 4% paraformaldehyde fixed 90% methanol permeabilized A549 (Human lung carcinoma epithelial cell) cells labelling MVP with ab273093 at 1/50 dilution (1μg) (Red) compared with a Rabbit monoclonal IgG (ab172730) (Black) isotype control and an unlabelled control (cells without incubation with primary antibody and secondary antibody) (Blue). Goat anti rabbit IgG (Alexa Fluor®488, ab150077) at 1/2000 dilution was used as the secondary antibody.

This data was developed using the same antibody clone in a different buffer formulation containing PBS, BSA, glycerol, and sodium azide (ab273093).

Immunocytochemistry/ Immunofluorescence - Anti-MVP antibody [EPR23594-106] - BSA and Azide free (AB273097)
  • ICC/IF

Unknown

Immunocytochemistry/ Immunofluorescence - Anti-MVP antibody [EPR23594-106] - BSA and Azide free (AB273097)

Immunofluorescent analysis of 100% methanol-fixed, 0.1% Triton X-100 permeabilized A549 cells labelling MVP with ab273093 at 1/50 dilution, followed by ab150077 Goat Anti-Rabbit IgG H&L (Alexa Fluor® 488) antibody at 1/1000 2 μg/ml dilution (Green). Confocal image showing cytoplasmic staining in A549 cell line. ab195889 Anti-alpha Tubulin mouse monoclonal antibody - Microtubule Marker (Alexa Fluor® 594) was used to counterstain tubulin at 1/200 2.5 μg/ml dilution (Red). The nuclear counterstain was DAPI (Blue).

Secondary antibody only control : Secondary antibody is ab150077 Goat Anti-Rabbit IgG H&L (Alexa Fluor® 488) at 1/1000 2 μg/ml dilution.

This data was developed using the same antibody clone in a different buffer formulation containing PBS, BSA, glycerol, and sodium azide (ab273093).

Immunohistochemistry (Formalin/PFA-fixed paraffin-embedded sections) - Anti-MVP antibody [EPR23594-106] - BSA and Azide free (AB273097)
  • IHC-P

Unknown

Immunohistochemistry (Formalin/PFA-fixed paraffin-embedded sections) - Anti-MVP antibody [EPR23594-106] - BSA and Azide free (AB273097)

Immunohistochemical analysis of paraffin-embedded human ovary cancer tissue labeling MVP with ab273093 at 1/4000 dilution followed by a ready to use Goat Anti-Rabbit IgG H&L (HRP). Positive staining in human ovary cancer (PMID : 23739867). Counterstained with Hematoxylin.

Secondary antibody only control : Secondary antibody is a ready to use Goat Anti-Rabbit IgG H&L (HRP).

Heat mediated antigen retrieval using ab93684 (Tris/EDTA buffer, pH 9.0).

This data was developed using the same antibody clone in a different buffer formulation containing PBS, BSA, glycerol, and sodium azide (ab273093).

Immunohistochemistry (Formalin/PFA-fixed paraffin-embedded sections) - Anti-MVP antibody [EPR23594-106] - BSA and Azide free (AB273097)
  • IHC-P

Unknown

Immunohistochemistry (Formalin/PFA-fixed paraffin-embedded sections) - Anti-MVP antibody [EPR23594-106] - BSA and Azide free (AB273097)

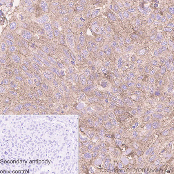
Immunohistochemical analysis of paraffin-embedded human cerebrum tissue labeling MVP with ab273093 at 1/4000 dilution followed by a ready to use Goat Anti-Rabbit IgG H&L (HRP). Positive staining in endothelium of human cerebrum (PMID : 14636345). Counterstained with Hematoxylin.

Secondary antibody only control : Secondary antibody is a ready to use Goat Anti-Rabbit IgG H&L (HRP).

Heat mediated antigen retrieval using ab93684 (Tris/EDTA buffer, pH 9.0).

This data was developed using the same antibody clone in a different buffer formulation containing PBS, BSA, glycerol, and sodium azide (ab273093).

Immunohistochemistry (Formalin/PFA-fixed paraffin-embedded sections) - Anti-MVP antibody [EPR23594-106] - BSA and Azide free (AB273097)
  • IHC-P

Unknown

Immunohistochemistry (Formalin/PFA-fixed paraffin-embedded sections) - Anti-MVP antibody [EPR23594-106] - BSA and Azide free (AB273097)

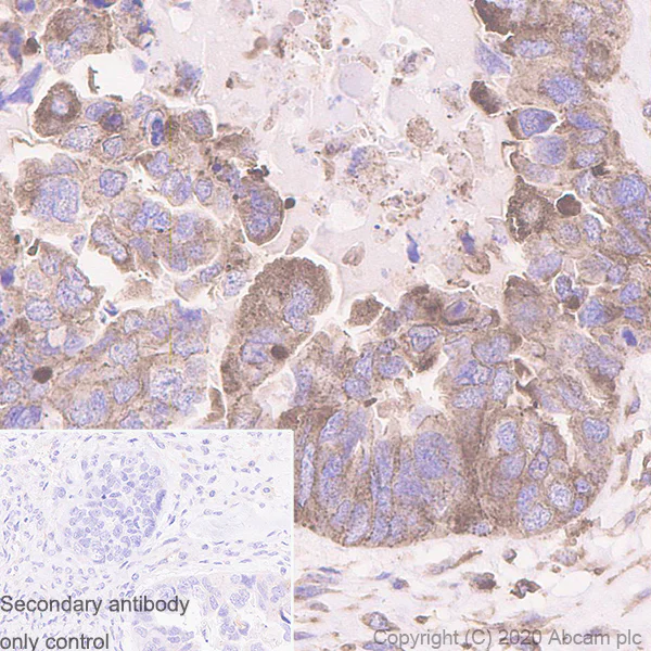
Immunohistochemical analysis of paraffin-embedded human lung cancer tissue labeling MVP with ab273093 at 1/4000 dilution followed by a ready to use Goat Anti-Rabbit IgG H&L (HRP). Positive staining in human lung cancer (PMID : 22117969). Counterstained with Hematoxylin.

Secondary antibody only control : Secondary antibody is a ready to use Goat Anti-Rabbit IgG H&L (HRP).

Heat mediated antigen retrieval using ab93684 (Tris/EDTA buffer, pH 9.0).

This data was developed using the same antibody clone in a different buffer formulation containing PBS, BSA, glycerol, and sodium azide (ab273093).

Immunocytochemistry/ Immunofluorescence - Anti-MVP antibody [EPR23594-106] - BSA and Azide free (AB273097)
  • ICC/IF

Unknown

Immunocytochemistry/ Immunofluorescence - Anti-MVP antibody [EPR23594-106] - BSA and Azide free (AB273097)

Immunofluorescent analysis of 100% methanol-fixed, 0.1% Triton X-100 permeabilized NIH/3T3 cells labelling MVP with ab273093 at 1/50 dilution, followed by ab150077 Goat Anti-Rabbit IgG H&L (Alexa Fluor® 488) antibody at 1/1000 2 μg/ml dilution (Green). Confocal image showing cytoplasmic staining in NIH/3T3 cell line. ab195889 Anti-alpha Tubulin mouse monoclonal antibody - Microtubule Marker (Alexa Fluor® 594) was used to counterstain tubulin at 1/200 2.5 μg/ml dilution (Red). The nuclear counterstain was DAPI (Blue).

Secondary antibody only control : Secondary antibody is ab150077 Goat Anti-Rabbit IgG H&L (Alexa Fluor® 488) at 1/1000 2 μg/ml dilution.

This data was developed using the same antibody clone in a different buffer formulation containing PBS, BSA, glycerol, and sodium azide (ab273093).

Western blot - Anti-MVP antibody [EPR23594-106] - BSA and Azide free (AB273097)
  • WB

Lab

Western blot - Anti-MVP antibody [EPR23594-106] - BSA and Azide free (AB273097)

This data was developed using the same antibody clone in a different buffer formulation (ab273093).

Lanes 1-3 : Merged signal (red and green). Green - ab273093 observed at 110 kDa. Red - loading control ab8245 (Mouse monoclonal [6C5] to GAPDH) observed at 36 kDa.

ab273093 Anti-MVP antibody [EPR23594-106] was shown to specifically react with MVP in wild-type HeLa cells in Western blot. Significant decrease (8.7 % of intensity compared to the WT band) of signal was observed when MVP knockout cell line ab264817 (knockout cell lysate ab257544) was used.

ab273093 and Anti-GAPDH antibody [6C5] - Loading Control (ab8245) were incubated at 4℃ overnight at 1 in 1000 dilution and 1 in 20000 dilution respectively. Blots were developed with Goat anti-Rabbit IgG H&L (IRDye® 800CW) preadsorbed (ab216773) and Goat anti-Mouse IgG H&L (IRDye® 680RD) preadsorbed (ab216776) secondary antibodies at 1 in 10000 dilution for 1 hour at room temperature before imaging.

All lanes:

Western blot - Anti-MVP antibody [EPR23594-106] (<a href='/en-us/products/primary-antibodies/mvp-antibody-epr23594-106-ab273093'>ab273093</a>) at 1/1000 dilution

Lane 1:

Wild-type HeLa (human cervix adenocarcinoma epithelial cell) whole cell lysate at 20 µg

Lane 2:

MVP knockout HeLa (human cervix adenocarcinoma epithelial cell) whole cell lysate at 20 µg

Lane 2:

Western blot - Human MVP knockout HeLa cell line (<a href='/en-us/products/cell-lines/human-mvp-knockout-hela-cell-line-ab264817'>ab264817</a>)

Lane 3:

Caco-2 (human colorectal adenocarcinoma epithelial cell) whole cell lysate at 20 µg

Secondary

All lanes:

Western blot - Goat anti-Rabbit IgG H&L (IRDye® 800CW) preadsorbed (<a href='/en-us/products/secondary-antibodies/goat-rabbit-igg-h-l-irdye-800cw-preadsorbed-ab216773'>ab216773</a>) at 1/10000 dilution

Predicted band size: 99 kDa

Observed band size: 110 kDa

false

Key facts

Host species

Rabbit

Clonality

Monoclonal

Clone number

EPR23594-106

Isotype

IgG

Carrier free

Yes

Reacts with

Mouse, Rat, Human

Applications

IHC-P, Flow Cyt (Intra), WB, ICC/IF

applications

Immunogen

The exact immunogen used to generate this antibody is proprietary information.

Reactivity data

{ "title": "Reactivity Data", "filters": { "stats": ["", "Species", "Dilution Info", "Notes"], "tabs": { "all-applications": {"fullname" : "All Applications", "shortname": "All Applications"}, "IP" : {"fullname" : "Immunoprecipitation", "shortname":"IP"}, "WB" : {"fullname" : "Western blot", "shortname":"WB"}, "ICCIF" : {"fullname" : "Immunocytochemistry/ Immunofluorescence", "shortname":"ICC/IF"}, "FlowCytIntra" : {"fullname" : "Flow Cytometry (Intracellular)", "shortname":"Flow Cyt (Intra)"}, "IHCP" : {"fullname" : "Immunohistochemistry (Formalin/PFA-fixed paraffin-embedded sections)", "shortname":"IHC-P"} }, "product-promise": { "all": "all", "testedAndGuaranteed": "tested", "guaranteed": "expected", "predicted": "predicted", "notRecommended": "not-recommended" } }, "values": { "Human": { "IP-species-checked": "notRecommended", "IP-species-dilution-info": "", "IP-species-notes": "<p></p>", "WB-species-checked": "testedAndGuaranteed", "WB-species-dilution-info": "", "WB-species-notes": "<p></p>", "ICCIF-species-checked": "testedAndGuaranteed", "ICCIF-species-dilution-info": "", "ICCIF-species-notes": "<p></p>", "FlowCytIntra-species-checked": "testedAndGuaranteed", "FlowCytIntra-species-dilution-info": "", "FlowCytIntra-species-notes": "<p></p>", "IHCP-species-checked": "testedAndGuaranteed", "IHCP-species-dilution-info": "", "IHCP-species-notes": "<p></p>" }, "Mouse": { "IP-species-checked": "notRecommended", "IP-species-dilution-info": "", "IP-species-notes": "<p></p>", "WB-species-checked": "testedAndGuaranteed", "WB-species-dilution-info": "", "WB-species-notes": "<p></p>", "ICCIF-species-checked": "testedAndGuaranteed", "ICCIF-species-dilution-info": "", "ICCIF-species-notes": "<p></p>", "FlowCytIntra-species-checked": "guaranteed", "FlowCytIntra-species-dilution-info": "", "FlowCytIntra-species-notes": "", "IHCP-species-checked": "notRecommended", "IHCP-species-dilution-info": "", "IHCP-species-notes": "<p></p>" }, "Rat": { "IP-species-checked": "notRecommended", "IP-species-dilution-info": "", "IP-species-notes": "<p></p>", "WB-species-checked": "testedAndGuaranteed", "WB-species-dilution-info": "", "WB-species-notes": "<p></p>", "ICCIF-species-checked": "guaranteed", "ICCIF-species-dilution-info": "", "ICCIF-species-notes": "", "FlowCytIntra-species-checked": "guaranteed", "FlowCytIntra-species-dilution-info": "", "FlowCytIntra-species-notes": "", "IHCP-species-checked": "notRecommended", "IHCP-species-dilution-info": "", "IHCP-species-notes": "<p></p>" } } }

Product details

ab273097 is the carrier-free version of ab273093.

Patented technology
Our RabMAb® technology is a patented hybridoma-based technology for making rabbit monoclonal antibodies. For details on our patents, please refer to RabMAb® patents.

What are the advantages of a recombinant monoclonal antibody?
This product is a recombinant monoclonal antibody, which offers several advantages including:

  • - High batch-to-batch consistency and reproducibility
  • - Improved sensitivity and specificity
  • - Long-term security of supply
  • - Animal-free batch production

For more information, read more on recombinant antibodies.

Conjugation ready
Our carrier-free antibodies are typically supplied in a PBS-only formulation, purified and free of BSA, sodium azide and glycerol. This conjugation-ready format is designed for use with fluorochromes, metal isotopes, oligonucleotides, and enzymes, which makes them ideal for antibody labelling, functional and cell-based assays, flow-based assays (e.g. mass cytometry) and Multiplex Imaging applications.

Use our conjugation kits for antibody conjugates that are ready-to-use in as little as 20 minutes with 1 minute hands-on-time and 100% antibody recovery: available for fluorescent dyes, HRP, biotin and gold.

Compatibility
This product is compatible with the Maxpar® Antibody Labeling Kit from Fluidigm, without the need for antibody preparation. Maxpar® is a trademark of Fluidigm Canada Inc.

Properties and storage information

Form
Liquid
Purification technique
Affinity purification Protein A
Storage buffer
pH: 7.2 - 7.4 Constituents: PBS
Shipped at conditions
Blue Ice
Appropriate short-term storage conditions
+4°C
Appropriate long-term storage conditions
+4°C
Storage information
Do Not Freeze

Product protocols

For this product, it's our understanding that no specific protocols are required. You can visit:

Target data

Required for normal vault structure. Vaults are multi-subunit structures that may act as scaffolds for proteins involved in signal transduction. Vaults may also play a role in nucleo-cytoplasmic transport. Down-regulates IFNG-mediated STAT1 signaling and subsequent activation of JAK. Down-regulates SRC activity and signaling through MAP kinases.
See full target information MVP

Product promise

We are committed to supporting your work with high-quality reagents, and we're here for you every step of the way. In the unlikely event that one of our products does not perform as expected, you're protected by our Product Promise.
For full details, please see our Terms & Conditions

Please note: All products are 'FOR RESEARCH USE ONLY. NOT FOR USE IN DIAGNOSTIC OR THERAPEUTIC PROCEDURES'.

For licensing inquiries, please contact partnerships@abcam.com