JavaScript is disabled in your browser. Please enable JavaScript to view this website.
AB222856

Anti-MX1 antibody

Be the first to review this product! Submit a review

|

(5 Publications)

Rabbit Polyclonal MX1 antibody. Suitable for IP, WB, IHC-P, ICC/IF and reacts with Human, Mouse samples. Cited in 5 publications. Immunogen corresponding to Recombinant Fragment Protein within Human MX1 aa 1-200.

View Alternative Names

Interferon-induced GTP-binding protein Mx1, Interferon-induced protein p78, Interferon-regulated resistance GTP-binding protein MxA, Myxoma resistance protein 1, Myxovirus resistance protein 1, IFI-78K, MX1

4 Images
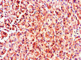
Immunohistochemistry (Formalin/PFA-fixed paraffin-embedded sections) - Anti-MX1 antibody (AB222856)
  • IHC-P

Supplier Data

Immunohistochemistry (Formalin/PFA-fixed paraffin-embedded sections) - Anti-MX1 antibody (AB222856)

Paraffin-embedded human pancreatic tissue stained for MX1 using ab222856 at 1/100 dilution in immunohistochemical analysis.

Immunocytochemistry/ Immunofluorescence - Anti-MX1 antibody (AB222856)
  • ICC/IF

Supplier Data

Immunocytochemistry/ Immunofluorescence - Anti-MX1 antibody (AB222856)

PC-3 (human prostate adenocarcinoma cell line) cells stained for MX1 (green) using ab222856 at 1/100 dilution in ICC/IF, followed by Alexa Fluor 488-conjugated Goat Anti-Rabbit IgG (H+L).

Immunoprecipitation - Anti-MX1 antibody (AB222856)
  • IP

Supplier Data

Immunoprecipitation - Anti-MX1 antibody (AB222856)

MX1 was immunoprecipitated from 500 μg HeLa (human epithelial cell line from cervix adenocarcinomaline) whole cell lysate with 4 μg ab222856. Western blot was performed from the immunoprecipitate using ab222856.

Lane 1 : Control IgG IP in HeLa whole cell lysate.

Lane 2 : ab222856 IP in HeLa whole cell lysate.

Lane 3 : HeLa whole cell lysate (20 μg).

For western blotting, an HRP-conjugated light chain specific antibody was used as the secondary antibody at 1/50000 dilution.

All lanes:

Immunoprecipitation - Anti-MX1 antibody (ab222856)

Predicted band size: 76 kDa

false

Western blot - Anti-MX1 antibody (AB222856)
  • WB

Supplier Data

Western blot - Anti-MX1 antibody (AB222856)

All lanes:

Western blot - Anti-MX1 antibody (ab222856) at 1/1000 dilution

Lane 1:

A549 (human lung carcinoma cell line) whole cell lysate

Lane 2:

NIH/3T3 (mouse embyro fibroblast cell line) whole cell lysate

Lane 3:

HeLa (human epithelial cell line from cervix adenocarcinoma) whole cell lysate

Predicted band size: 76 kDa

Observed band size: 76 kDa

false

Key facts

Host species

Rabbit

Clonality

Polyclonal

Isotype

IgG

Carrier free

No

Reacts with

Mouse, Human

Applications

IHC-P, IP, WB, ICC/IF

applications

Immunogen

Recombinant Fragment Protein within Human MX1 aa 1-200. The exact immunogen used to generate this antibody is proprietary information.

P20591

Reactivity data

{ "title": "Reactivity Data", "filters": { "stats": ["", "Species", "Dilution Info", "Notes"], "tabs": { "all-applications": {"fullname" : "All Applications", "shortname": "All Applications"}, "IP" : {"fullname" : "Immunoprecipitation", "shortname":"IP"}, "WB" : {"fullname" : "Western blot", "shortname":"WB"}, "IHCP" : {"fullname" : "Immunohistochemistry (Formalin/PFA-fixed paraffin-embedded sections)", "shortname":"IHC-P"}, "ICCIF" : {"fullname" : "Immunocytochemistry/ Immunofluorescence", "shortname":"ICC/IF"} }, "product-promise": { "all": "all", "testedAndGuaranteed": "tested", "guaranteed": "expected", "predicted": "predicted", "notRecommended": "not-recommended" } }, "values": { "Human": { "IP-species-checked": "testedAndGuaranteed", "IP-species-dilution-info": "1/200 - 1/2000", "IP-species-notes": "<p></p>", "WB-species-checked": "testedAndGuaranteed", "WB-species-dilution-info": "1/1000 - 1/5000", "WB-species-notes": "<p></p>", "IHCP-species-checked": "testedAndGuaranteed", "IHCP-species-dilution-info": "1/20 - 1/200", "IHCP-species-notes": "<p></p>", "ICCIF-species-checked": "testedAndGuaranteed", "ICCIF-species-dilution-info": "1/50 - 1/200", "ICCIF-species-notes": "<p></p>" }, "Mouse": { "IP-species-checked": "guaranteed", "IP-species-dilution-info": "", "IP-species-notes": "", "WB-species-checked": "testedAndGuaranteed", "WB-species-dilution-info": "1/1000 - 1/5000", "WB-species-notes": "<p></p>", "IHCP-species-checked": "guaranteed", "IHCP-species-dilution-info": "", "IHCP-species-notes": "", "ICCIF-species-checked": "guaranteed", "ICCIF-species-dilution-info": "", "ICCIF-species-notes": "" }, "Orangutan": { "IP-species-checked": "predicted", "IP-species-dilution-info": "", "IP-species-notes": "", "WB-species-checked": "predicted", "WB-species-dilution-info": "", "WB-species-notes": "", "IHCP-species-checked": "predicted", "IHCP-species-dilution-info": "", "IHCP-species-notes": "", "ICCIF-species-checked": "predicted", "ICCIF-species-dilution-info": "", "ICCIF-species-notes": "" }, "Rhesus monkey": { "IP-species-checked": "predicted", "IP-species-dilution-info": "", "IP-species-notes": "", "WB-species-checked": "predicted", "WB-species-dilution-info": "", "WB-species-notes": "", "IHCP-species-checked": "predicted", "IHCP-species-dilution-info": "", "IHCP-species-notes": "", "ICCIF-species-checked": "predicted", "ICCIF-species-dilution-info": "", "ICCIF-species-notes": "" } } }

Properties and storage information

Form
Liquid
Purification technique
Affinity purification Protein G
Purification notes
Purity >95%.
Storage buffer
pH: 7.4 Preservative: 0.03% Proclin 300 Constituents: PBS, 50% Glycerol (glycerin, glycerine)
Shipped at conditions
Blue Ice
Appropriate short-term storage duration
1-2 weeks
Appropriate short-term storage conditions
+4°C
Appropriate long-term storage conditions
-20°C
Aliquoting information
Upon delivery aliquot
Storage information
Avoid freeze / thaw cycle

Product protocols

For this product, it's our understanding that no specific protocols are required. You can visit:

Target data

Interferon-induced dynamin-like GTPase with antiviral activity against a wide range of RNA viruses and some DNA viruses. Its target viruses include negative-stranded RNA viruses and HBV through binding and inactivation of their ribonucleocapsid. May also antagonize reoviridae and asfarviridae replication. Inhibits thogoto virus (THOV) replication by preventing the nuclear import of viral nucleocapsids. Inhibits La Crosse virus (LACV) replication by sequestering viral nucleoprotein in perinuclear complexes, preventing genome amplification, budding, and egress. Inhibits influenza A virus (IAV) replication by decreasing or delaying NP synthesis and by blocking endocytic traffic of incoming virus particles. Enhances ER stress-mediated cell death after influenza virus infection. May regulate the calcium channel activity of TRPCs.
See full target information MX1

Publications (5)

Recent publications for all applications. Explore the full list and refine your search

Acta neuropathologica 149:23 PubMed40042641

2025

Human brain tissue with MOGHE carrying somatic SLC35A2 variants reveal aberrant protein expression and protein loss in the white matter.

Applications

Unspecified application

Species

Unspecified reactive species

Erica Cecchini,Simon Geffers,Roland Coras,Dorothea Schultheis,Christian Holtzhausen,Kristina Karandasheva,Harald Herrmann,Friedrich Paulsen,Christine Stadelmann,Katja Kobow,Till Hartlieb,Christian G Bien,Dennis Lal,Ingmar Blumcke,Lucas Hoffmann

Journal of inflammation research 17:11469-11483 PubMed39735896

2024

Macrophage Infiltration Correlated with IFI16, EGR1 and MX1 Expression in Renal Tubular Epithelial Cells Within Lupus Nephritis-Associated Tubulointerstitial Injury via Bioinformatics Analysis.

Applications

Unspecified application

Species

Unspecified reactive species

Ming Tian,Min Tang,Caiming Chen,Yufang Lin,Hong Chen,Yanfang Xu

Arthritis & rheumatology (Hoboken, N.J.) 76:1109-1119 PubMed38472139

2024

Amplified Type I Interferon Response in Sjögren's Disease via Ectopic Toll-Like Receptor 7 Expression in Salivary Gland Epithelial Cells Induced by Lysosome-Associated Membrane Protein 3.

Applications

Unspecified application

Species

Unspecified reactive species

Hiroyuki Nakamura,Tsutomu Tanaka,Changyu Zheng,Sandra A Afione,Tatsuya Atsumi,Masayuki Noguchi,Fabiola Reis Oliveira,Ana Carolina F Motta,Fernando Chahud,Eduardo M Rocha,Blake M Warner,John A Chiorini

Frontiers in immunology 15:1323866 PubMed38322259

2024

Protective effects and mechanisms of ellagic acid on intestinal injury in piglets infected with porcine epidemic diarrhea virus.

Applications

Unspecified application

Species

Unspecified reactive species

Zhuan Song,Cuifang Deng,Qinyin Chen,Shengnan Zhao,Peng Li,Tao Wu,Yongqing Hou,Dan Yi

The Journal of investigative dermatology 142:155-165.e3 PubMed34364883

2021

IFN-κ Is a Rheostat for Development of Psoriasiform Inflammation.

Applications

Unspecified application

Species

Unspecified reactive species

Mehrnaz Gharaee-Kermani,Shannon N Estadt,Lam C Tsoi,Sonya J Wolf-Fortune,Jianhua Liu,Xianying Xing,Jonathon Theros,Tamra J Reed,Lori Lowe,Dennis Gruszka,Nicole L Ward,Johann E Gudjonsson,J Michelle Kahlenberg
View all publications

Product promise

We are committed to supporting your work with high-quality reagents, and we're here for you every step of the way. In the unlikely event that one of our products does not perform as expected, you're protected by our Product Promise.
For full details, please see our Terms & Conditions

Please note: All products are 'FOR RESEARCH USE ONLY. NOT FOR USE IN DIAGNOSTIC OR THERAPEUTIC PROCEDURES'.

For licensing inquiries, please contact partnerships@abcam.com