JavaScript is disabled in your browser. Please enable JavaScript to view this website.
AB97921

Anti-MX1 antibody

Be the first to review this product! Submit a review

|

(3 Publications)

Rabbit Polyclonal MX1 antibody. Suitable for ICC/IF, WB, IHC-P and reacts with Human samples. Cited in 3 publications. Immunogen corresponding to Recombinant Fragment Protein within Human MX1 aa 150-450.

View Alternative Names

Interferon-induced GTP-binding protein Mx1, Interferon-induced protein p78, Interferon-regulated resistance GTP-binding protein MxA, Myxoma resistance protein 1, Myxovirus resistance protein 1, IFI-78K, MX1

4 Images
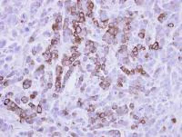
Immunohistochemistry (Formalin/PFA-fixed paraffin-embedded sections) - Anti-MX1 antibody (AB97921)
  • IHC-P

Unknown

Immunohistochemistry (Formalin/PFA-fixed paraffin-embedded sections) - Anti-MX1 antibody (AB97921)

Immunohistochemical analysis of paraffin-embedded MDA-MB-468 xenograft, using ab97921at 1/500 dilution.

Immunocytochemistry/ Immunofluorescence - Anti-MX1 antibody (AB97921)
  • ICC/IF

Supplier Data

Immunocytochemistry/ Immunofluorescence - Anti-MX1 antibody (AB97921)

Immunofluorescence analysis of HeLa cells fixed in 4% paraformaldehyde at RT for 15 min labelling MX1 protein at cytoplasm using ab97921 at a 1/200 dilution (Green). Alpha Tubulin, Cytoskeleton Marker was counterstained in red. Hoechst 33342 was used for nuclear staining.

Western blot - Anti-MX1 antibody (AB97921)
  • WB

Supplier Data

Western blot - Anti-MX1 antibody (AB97921)

Samples were separated by 7.5% SDS-PAGE. Corresponding RNA expression data for the same cell lines are based on Human Protein Atlas program.

All lanes:

Western blot - Anti-MX1 antibody (ab97921) at 1/10000 dilution

Lane 1:

293T whole cell lysate extract at 30 µg

Lane 2:

Transfected 293T whole cell lysate extract at 30 µg

Secondary

All lanes:

HRP-conjugated anti-rabbit IgG

Observed band size: 80 kDa

false

Western blot - Anti-MX1 antibody (AB97921)
  • WB

Supplier Data

Western blot - Anti-MX1 antibody (AB97921)

Samples were separated by 7.5% SDS-PAGE.

All lanes:

Western blot - Anti-MX1 antibody (ab97921) at 1/1000 dilution

All lanes:

NCI-H929 Whole cell extract at 30 µg

Secondary

All lanes:

HRP-conjugated anti-rabbit IgG

Observed band size: 80 kDa

false

Key facts

Host species

Rabbit

Clonality

Polyclonal

Isotype

IgG

Carrier free

No

Reacts with

Human

Applications

ICC/IF, WB, IHC-P

applications

Immunogen

Recombinant Fragment Protein within Human MX1 aa 150-450. The exact immunogen used to generate this antibody is proprietary information.

P20591

Reactivity data

{ "title": "Reactivity Data", "filters": { "stats": ["", "Species", "Dilution Info", "Notes"], "tabs": { "all-applications": {"fullname" : "All Applications", "shortname": "All Applications"}, "ICCIF" : {"fullname" : "Immunocytochemistry/ Immunofluorescence", "shortname":"ICC/IF"}, "WB" : {"fullname" : "Western blot", "shortname":"WB"}, "IHCP" : {"fullname" : "Immunohistochemistry (Formalin/PFA-fixed paraffin-embedded sections)", "shortname":"IHC-P"} }, "product-promise": { "all": "all", "testedAndGuaranteed": "tested", "guaranteed": "expected", "predicted": "predicted", "notRecommended": "not-recommended" } }, "values": { "Human": { "ICCIF-species-checked": "testedAndGuaranteed", "ICCIF-species-dilution-info": "1/100 - 1/1000", "ICCIF-species-notes": "<p></p>", "WB-species-checked": "testedAndGuaranteed", "WB-species-dilution-info": "1/500 - 1/3000", "WB-species-notes": "<p></p>", "IHCP-species-checked": "testedAndGuaranteed", "IHCP-species-dilution-info": "1/100 - 1/1000", "IHCP-species-notes": "<p></p>" }, "Monkey": { "ICCIF-species-checked": "predicted", "ICCIF-species-dilution-info": "", "ICCIF-species-notes": "", "WB-species-checked": "predicted", "WB-species-dilution-info": "", "WB-species-notes": "", "IHCP-species-checked": "predicted", "IHCP-species-dilution-info": "", "IHCP-species-notes": "" } } }

Properties and storage information

Form
Liquid
Purification technique
Affinity purification Immunogen
Storage buffer
pH: 7 Preservative: 0.025% Proclin 300 Constituents: PBS, 20% Glycerol (glycerin, glycerine)
Shipped at conditions
Blue Ice
Appropriate short-term storage conditions
+4°C
Appropriate long-term storage conditions
-20°C
Aliquoting information
Upon delivery aliquot
Storage information
Avoid freeze / thaw cycle

Product protocols

For this product, it's our understanding that no specific protocols are required. You can visit:

Target data

Interferon-induced dynamin-like GTPase with antiviral activity against a wide range of RNA viruses and some DNA viruses. Its target viruses include negative-stranded RNA viruses and HBV through binding and inactivation of their ribonucleocapsid. May also antagonize reoviridae and asfarviridae replication. Inhibits thogoto virus (THOV) replication by preventing the nuclear import of viral nucleocapsids. Inhibits La Crosse virus (LACV) replication by sequestering viral nucleoprotein in perinuclear complexes, preventing genome amplification, budding, and egress. Inhibits influenza A virus (IAV) replication by decreasing or delaying NP synthesis and by blocking endocytic traffic of incoming virus particles. Enhances ER stress-mediated cell death after influenza virus infection. May regulate the calcium channel activity of TRPCs.
See full target information MX1

Publications (3)

Recent publications for all applications. Explore the full list and refine your search

Arthritis & rheumatology (Hoboken, N.J.) 73:1062-1072 PubMed33305541

2021

Comparison of Lesional Juvenile Myositis and Lupus Skin Reveals Overlapping Yet Unique Disease Pathophysiology.

Applications

Unspecified application

Species

Unspecified reactive species

Jessica L Turnier,Lauren M Pachman,Lori Lowe,Lam C Tsoi,Sultan Elhaj,Rajasree Menon,Maria C Amoruso,Gabrielle A Morgan,Johann E Gudjonsson,Celine C Berthier,J Michelle Kahlenberg

eLife 9: PubMed32057296

2020

Functional heterogeneity of lymphocytic patterns in primary melanoma dissected through single-cell multiplexing.

Applications

Unspecified application

Species

Unspecified reactive species

Francesca Maria Bosisio,Asier Antoranz,Yannick van Herck,Maddalena Maria Bolognesi,Lukas Marcelis,Clizia Chinello,Jasper Wouters,Fulvio Magni,Leonidas Alexopoulos,Marguerite Stas,Veerle Boecxstaens,Oliver Bechter,Giorgio Cattoretti,Joost van den Oord

Cancer management and research 10:3057-3067 PubMed30214300

2018

Silencing the expression of copine-III enhances the sensitivity of hepatocellular carcinoma cells to the molecular targeted agent sorafenib.

Applications

Unspecified application

Species

Unspecified reactive species

Zhuo Chen,Zhengkui Jiang,Wenzhou Zhang,Baoxia He
View all publications

Product promise

We are committed to supporting your work with high-quality reagents, and we're here for you every step of the way. In the unlikely event that one of our products does not perform as expected, you're protected by our Product Promise.
For full details, please see our Terms & Conditions

Please note: All products are 'FOR RESEARCH USE ONLY. NOT FOR USE IN DIAGNOSTIC OR THERAPEUTIC PROCEDURES'.

For licensing inquiries, please contact partnerships@abcam.com