JavaScript is disabled in your browser. Please enable JavaScript to view this website.
AB284603

Anti-MX1 antibody [EPR24485-19]

  • BOND RX™ Validated
  • 20ul selling size
  • RabMAb
  • Recombinant
  • What is this?

3

(1 Review)

|

(2 Publications)

Rabbit Recombinant Monoclonal MX1 antibody. Suitable for ICC/IF, Flow Cyt, WB, IHC-P and reacts with Human, Recombinant fragment - Human samples. Cited in 2 publications.

View Alternative Names

Interferon-induced GTP-binding protein Mx1, Interferon-induced protein p78, Interferon-regulated resistance GTP-binding protein MxA, Myxoma resistance protein 1, Myxovirus resistance protein 1, IFI-78K, MX1

9 Images
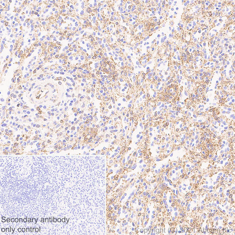
Immunohistochemistry (Formalin/PFA-fixed paraffin-embedded sections) - Anti-MX1 antibody [EPR24485-19] (AB284603)
  • IHC-P

Lab

Immunohistochemistry (Formalin/PFA-fixed paraffin-embedded sections) - Anti-MX1 antibody [EPR24485-19] (AB284603)

Immunohistochemical analysis of paraffin-embedded Human colon cancer tissue labelling MX1 with ab284603 at 1/500 (1.09 ug/ml) dilution followed by a ready to use LeicaDS9800 (Bond™ Polymer Refine Detection) was used. Positive staining on human colon cancer (PMID : 24771638). The section was incubated with ab284603 for 30 mins at room temperature. The immunostaining was performed on a Leica Biosystems BOND® RX instrument Counterstained with Hematoxylin.

Secondary antibody only control : Secondary antibody is a ready to use LeicaDS9800 (Bond™ Polymer Refine Detection) was used.

Heat mediated antigen retrieval with Tris-EDTA buffer (pH 9.0, epitope retrieval solution2) for 20 mins

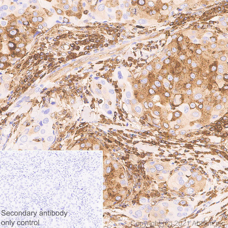
Immunohistochemistry (Formalin/PFA-fixed paraffin-embedded sections) - Anti-MX1 antibody [EPR24485-19] (AB284603)
  • IHC-P

Lab

Immunohistochemistry (Formalin/PFA-fixed paraffin-embedded sections) - Anti-MX1 antibody [EPR24485-19] (AB284603)

Immunohistochemical analysis of paraffin-embedded Human breast cancer tissue labelling MX1 with ab284603 at 1/500 (1.09 ug/ml) dilution followed by a ready to use LeicaDS9800 (Bond™ Polymer Refine Detection) was used. Positive staining on human breast cancer (PMID : 25838395). The section was incubated with ab284603 for 30 mins at room temperature. The immunostaining was performed on a Leica Biosystems BOND® RX instrument Counterstained with Hematoxylin.

Secondary antibody only control : Secondary antibody is a ready to use LeicaDS9800 (Bond™ Polymer Refine Detection) was used.

Heat mediated antigen retrieval with Tris-EDTA buffer (pH 9.0, epitope retrieval solution2) for 20 mins

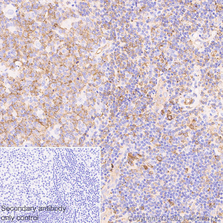
Immunohistochemistry (Formalin/PFA-fixed paraffin-embedded sections) - Anti-MX1 antibody [EPR24485-19] (AB284603)
  • IHC-P

Lab

Immunohistochemistry (Formalin/PFA-fixed paraffin-embedded sections) - Anti-MX1 antibody [EPR24485-19] (AB284603)

Immunohistochemical analysis of paraffin-embedded Human tonsil tissue labelling MX1 with ab284603 at 1/500 (1.09 ug/ml) dilution followed by a ready to use LeicaDS9800 (Bond™ Polymer Refine Detection) was used. Positive staining on human tonsil. The section was incubated with ab284603 for 30 mins at room temperature. The immunostaining was performed on a Leica Biosystems BOND® RX instrument Counterstained with Hematoxylin.

Secondary antibody only control : Secondary antibody is a ready to use LeicaDS9800 (Bond™ Polymer Refine Detection) was used.

Heat mediated antigen retrieval with Tris-EDTA buffer (pH 9.0, epitope retrieval solution2) for 20 mins

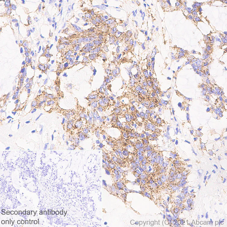
Immunohistochemistry (Formalin/PFA-fixed paraffin-embedded sections) - Anti-MX1 antibody [EPR24485-19] (AB284603)
  • IHC-P

Supplier Data

Immunohistochemistry (Formalin/PFA-fixed paraffin-embedded sections) - Anti-MX1 antibody [EPR24485-19] (AB284603)

Immunohistochemical analysis of paraffin-embedded Human spleen tissue labelling MX1 with ab284603 at 1/500 (1.09 ug/ml) dilution followed by a ready to use LeicaDS9800 (Bond™ Polymer Refine Detection) was used. Positive staining on human spleen. The section was incubated with ab284603 for 30 mins at room temperature. The immunostaining was performed on a Leica Biosystems BOND® RX instrument Counterstained with Hematoxylin.

Secondary antibody only control : Secondary antibody is a ready to use LeicaDS9800 (Bond™ Polymer Refine Detection) was used.

Heat mediated antigen retrieval with Tris-EDTA buffer (pH 9.0, epitope retrieval solution2) for 20 mins

Immunocytochemistry/ Immunofluorescence - Anti-MX1 antibody [EPR24485-19] (AB284603)
  • ICC/IF

Lab

Immunocytochemistry/ Immunofluorescence - Anti-MX1 antibody [EPR24485-19] (AB284603)

Immunofluorescent analysis of 4% Paraformaldehyde-fixed, 0.1% TritonX-100 permeabilized Daudi cells labelling MX1 with ab284603 at 1/250 (2.18 ug/ml) dilution, followed by ab150081 Goat Anti-Rabbit IgG H&L (Alexa Fluor® 488) preadsorbed antibody at 1/1000 (2 ug/ml) dilution (Green). Confocal image showing cytoplasmic staining in Daudi cell line, the signal increased after treatment with interferon alpha 1 (20 U/ml ) for 24 h. is observed. ab195889 Anti-alpha Tubulin mouse monoclonal antibody - Microtubule Marker (Alexa Fluor® 594) was used to counterstain tubulin at 1/200 2.5ug/ml dilution (Red). The Nuclear counterstain was DAPI (Blue).

Secondary antibody only control : Secondary antibody is ab150081 Goat Anti-Rabbit IgG H&L (Alexa Fluor® 488) preadsorbed at 1/1000 2 ug/ml dilution.

Flow Cytometry - Anti-MX1 antibody [EPR24485-19] (AB284603)
  • Flow Cyt

Lab

Flow Cytometry - Anti-MX1 antibody [EPR24485-19] (AB284603)

Flow cytometric analysis of 4% paraformaldehyde fixed 90% methanol permeabilized Daudi (Human Burkitt's lymphoma lymphoblast) cells treated with 20 U/ml IFN alpha 1 for 24 hours (Red) or untreated (Green) labelling MX1 with ab284603 at 1/500 dilution (0.1ug) compared with a Rabbit monoclonal IgG (ab172730) (Black) isotype control and an unlabelled control (cells without incubation with primary antibody and secondary antibody) (Blue). A Goat Anti-Rabbit IgG (Alexa Fluor® 488, ab150081) at 1/2000 dilution was used as the secondary antibody.

Western blot - Anti-MX1 antibody [EPR24485-19] (AB284603)
  • WB

Lab

Western blot - Anti-MX1 antibody [EPR24485-19] (AB284603)

Blocking and diluting buffer and concentration : 5% NFDM/TBST

Exposure time : 15 seconds

All lanes:

Western blot - Anti-MX1 antibody [EPR24485-19] (ab284603) at 1/1000 dilution

Lane 1:

Untreated Daudi (human Burkitts lymphoma lymphoblast), whole cell lysate at 20 µg

Lane 2:

Daudi treated with 20U/ml IFN alpha for 24 hours at 20 µg

Secondary

All lanes:

Goat Anti-Rabbit IgG, (H+L), Peroxidase conjugated (<a href='/en-us/products/secondary-antibodies/goat-rabbit-igg-h-l-hrp-ab97051'>ab97051</a>) at 1/100000 dilution

Predicted band size: 76 kDa

false

Western blot - Anti-MX1 antibody [EPR24485-19] (AB284603)
  • WB

Lab

Western blot - Anti-MX1 antibody [EPR24485-19] (AB284603)

Blocking and diluting buffer and concentration : 5% NFDM/TBST

Exposure time : 15 seconds

All lanes:

Western blot - Anti-MX1 antibody [EPR24485-19] (ab284603) at 1/1000 dilution

Lane 1:

His-tagged human Interferon-induced GTP-binding protein Mx1 recombinant protein (aa37-366) at 0.01 µg

Lane 2:

His-tagged human Interferon-induced GTP-binding protein Mx2 recombinant protein (aa86-412) at 0.01 µg

Secondary

All lanes:

Goat Anti-Rabbit IgG, (H+L), Peroxidase conjugated (<a href='/en-us/products/secondary-antibodies/goat-rabbit-igg-h-l-hrp-ab97051'>ab97051</a>) at 1/100000 dilution

Predicted band size: 76 kDa

false

Western blot - Anti-MX1 antibody [EPR24485-19] (AB284603)
  • WB

Lab

Western blot - Anti-MX1 antibody [EPR24485-19] (AB284603)

Blocking and diluting buffer and concentration : 5% NFDM/TBST

Exposure time : 81 seconds

All lanes:

Western blot - Anti-MX1 antibody [EPR24485-19] (ab284603) at 1/1000 dilution

All lanes:

Human tonsil at 20 µg

Secondary

All lanes:

Goat Anti-Rabbit IgG, (H+L), Peroxidase conjugated (<a href='/en-us/products/secondary-antibodies/goat-rabbit-igg-h-l-hrp-ab97051'>ab97051</a>) at 1/100000 dilution

Predicted band size: 76 kDa

false

Key facts

Host species

Rabbit

Clonality

Monoclonal

Clone number

EPR24485-19

Isotype

IgG

Carrier free

No

Reacts with

Human

Applications

IHC-P, Flow Cyt, WB, ICC/IF

applications

Immunogen

The exact immunogen used to generate this antibody is proprietary information.

Reactivity data

{ "title": "Reactivity Data", "filters": { "stats": ["", "Species", "Dilution Info", "Notes"], "tabs": { "all-applications": {"fullname" : "All Applications", "shortname": "All Applications"}, "IP" : {"fullname" : "Immunoprecipitation", "shortname":"IP"}, "ICCIF" : {"fullname" : "Immunocytochemistry/ Immunofluorescence", "shortname":"ICC/IF"}, "FlowCyt" : {"fullname" : "Flow Cytometry", "shortname":"Flow Cyt"}, "WB" : {"fullname" : "Western blot", "shortname":"WB"}, "IHCP" : {"fullname" : "Immunohistochemistry (Formalin/PFA-fixed paraffin-embedded sections)", "shortname":"IHC-P"} }, "product-promise": { "all": "all", "testedAndGuaranteed": "tested", "guaranteed": "expected", "predicted": "predicted", "notRecommended": "not-recommended" } }, "values": { "Human": { "IP-species-checked": "notRecommended", "IP-species-dilution-info": "", "IP-species-notes": "<p></p>", "ICCIF-species-checked": "testedAndGuaranteed", "ICCIF-species-dilution-info": "1/250", "ICCIF-species-notes": "<p></p>", "FlowCyt-species-checked": "testedAndGuaranteed", "FlowCyt-species-dilution-info": "1/500", "FlowCyt-species-notes": "<p></p>", "WB-species-checked": "testedAndGuaranteed", "WB-species-dilution-info": "1/1000", "WB-species-notes": "<p></p>", "IHCP-species-checked": "testedAndGuaranteed", "IHCP-species-dilution-info": "1/500", "IHCP-species-notes": "<p></p>" }, "Mouse": { "IP-species-checked": "notRecommended", "IP-species-dilution-info": "", "IP-species-notes": "", "ICCIF-species-checked": "notRecommended", "ICCIF-species-dilution-info": "", "ICCIF-species-notes": "", "FlowCyt-species-checked": "notRecommended", "FlowCyt-species-dilution-info": "", "FlowCyt-species-notes": "", "WB-species-checked": "notRecommended", "WB-species-dilution-info": "1/1000", "WB-species-notes": "<p></p>", "IHCP-species-checked": "notRecommended", "IHCP-species-dilution-info": "1/500", "IHCP-species-notes": "<p></p>" }, "Rat": { "IP-species-checked": "notRecommended", "IP-species-dilution-info": "", "IP-species-notes": "", "ICCIF-species-checked": "notRecommended", "ICCIF-species-dilution-info": "", "ICCIF-species-notes": "", "FlowCyt-species-checked": "notRecommended", "FlowCyt-species-dilution-info": "", "FlowCyt-species-notes": "", "WB-species-checked": "notRecommended", "WB-species-dilution-info": "1/1000", "WB-species-notes": "<p></p>", "IHCP-species-checked": "notRecommended", "IHCP-species-dilution-info": "1/500", "IHCP-species-notes": "<p></p>" }, "Recombinant fragment - Human": { "IP-species-checked": "notRecommended", "IP-species-dilution-info": "", "IP-species-notes": "", "ICCIF-species-checked": "notRecommended", "ICCIF-species-dilution-info": "", "ICCIF-species-notes": "", "FlowCyt-species-checked": "notRecommended", "FlowCyt-species-dilution-info": "", "FlowCyt-species-notes": "", "WB-species-checked": "testedAndGuaranteed", "WB-species-dilution-info": "1/1000", "WB-species-notes": "<p></p>", "IHCP-species-checked": "notRecommended", "IHCP-species-dilution-info": "", "IHCP-species-notes": "" } } }

Product details

Patented technology
Our RabMAb® technology is a patented hybridoma-based technology for making rabbit monoclonal antibodies. For details on our patents, please refer to RabMAb® patents.

What are the advantages of a recombinant monoclonal antibody?
This product is a recombinant monoclonal antibody, which offers several advantages including:

  • - High batch-to-batch consistency and reproducibility
  • - Improved sensitivity and specificity
  • - Long-term security of supply
  • - Animal-free batch production

For more information, read more on recombinant antibodies.

Properties and storage information

Form
Liquid
Purification technique
Affinity purification Protein A
Storage buffer
pH: 7.2 - 7.4 Preservative: 0.01% Sodium azide Constituents: PBS, 40% Glycerol (glycerin, glycerine), 0.05% BSA
Shipped at conditions
Blue Ice
Appropriate short-term storage duration
1-2 weeks
Appropriate short-term storage conditions
+4°C
Appropriate long-term storage conditions
-20°C
Aliquoting information
Upon delivery aliquot
Storage information
Avoid freeze / thaw cycle

Product protocols

For this product, it's our understanding that no specific protocols are required. You can visit:

Target data

Interferon-induced dynamin-like GTPase with antiviral activity against a wide range of RNA viruses and some DNA viruses. Its target viruses include negative-stranded RNA viruses and HBV through binding and inactivation of their ribonucleocapsid. May also antagonize reoviridae and asfarviridae replication. Inhibits thogoto virus (THOV) replication by preventing the nuclear import of viral nucleocapsids. Inhibits La Crosse virus (LACV) replication by sequestering viral nucleoprotein in perinuclear complexes, preventing genome amplification, budding, and egress. Inhibits influenza A virus (IAV) replication by decreasing or delaying NP synthesis and by blocking endocytic traffic of incoming virus particles. Enhances ER stress-mediated cell death after influenza virus infection. May regulate the calcium channel activity of TRPCs.
See full target information MX1

Publications (2)

Recent publications for all applications. Explore the full list and refine your search

International journal of biological sciences 21:5097-5115 PubMed40860189

2025

Ferroptosis-Resistant Adipocytes Drive Keloid Pathogenesis via GPX4-Mediated Adipocyte-Mesenchymal Transition and Iron-Cystine Metabolic Communication.

Applications

Unspecified application

Species

Unspecified reactive species

Xiangguang Shi,Xueyi Xia,Yang Xiao,Huizhen Shu,Zhuoya Xu,Mengguo Liu,Chenyi Shi,Ying Zhang,Yining Wei,Yiyi Gong,Wei Wang,Yahui Chen,Jianlan Liu,Jia Huang,Mengkun Shi,Jiucun Wang,Wenyu Wu

Frontiers in immunology 15:1343805 PubMed39403387

2024

Unlocking the secrets of NPSLE: the role of dendritic cell-secreted CCL2 in blood-brain barrier disruption.

Applications

Unspecified application

Species

Unspecified reactive species

Lei Wang,Guimin Zheng,Peiwen Wang,Xiuchuan Jia
View all publications

Product promise

We are committed to supporting your work with high-quality reagents, and we're here for you every step of the way. In the unlikely event that one of our products does not perform as expected, you're protected by our Product Promise.
For full details, please see our Terms & Conditions

Please note: All products are 'FOR RESEARCH USE ONLY. NOT FOR USE IN DIAGNOSTIC OR THERAPEUTIC PROCEDURES'.

For licensing inquiries, please contact partnerships@abcam.com