JavaScript is disabled in your browser. Please enable JavaScript to view this website.
AB211302

Anti-MXRA5 antibody

Be the first to review this product! Submit a review

|

(1 Publication)

Goat Polyclonal MXRA5 antibody. Suitable for IHC-P and reacts with Human samples. Cited in 1 publication. Immunogen corresponding to Synthetic Peptide within Human MXRA5 aa 1450-1500.

View Alternative Names

Matrix-remodeling-associated protein 5, Adhesion protein with leucine-rich repeats and immunoglobulin domains related to perlecan, Adlican, MXRA5

1 Images
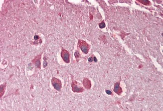
Immunohistochemistry (Formalin/PFA-fixed paraffin-embedded sections) - Anti-MXRA5 antibody (AB211302)
  • IHC-P

Supplier Data

Immunohistochemistry (Formalin/PFA-fixed paraffin-embedded sections) - Anti-MXRA5 antibody (AB211302)

Immunohistochemical analysis of formalin fixed, paraffin embedded Human brain, cortex tissue labeling MXRA5 using ab211302 at 5 μg/ml.

Key facts

Host species

Goat

Clonality

Polyclonal

Isotype

IgG

Carrier free

No

Reacts with

Human

Applications

IHC-P

applications

Immunogen

Synthetic Peptide within Human MXRA5 aa 1450-1500. The exact immunogen used to generate this antibody is proprietary information.

Q9NR99

Reactivity data

{ "title": "Reactivity Data", "filters": { "stats": ["", "Species", "Dilution Info", "Notes"], "tabs": { "all-applications": {"fullname" : "All Applications", "shortname": "All Applications"}, "IHCP" : {"fullname" : "Immunohistochemistry (Formalin/PFA-fixed paraffin-embedded sections)", "shortname":"IHC-P"} }, "product-promise": { "all": "all", "testedAndGuaranteed": "tested", "guaranteed": "expected", "predicted": "predicted", "notRecommended": "not-recommended" } }, "values": { "Human": { "IHCP-species-checked": "testedAndGuaranteed", "IHCP-species-dilution-info": "5 µg/mL", "IHCP-species-notes": "<p></p> Perform heat-mediated antigen retrieval before commencing with IHC staining protocol." }, "Gorilla": { "IHCP-species-checked": "predicted", "IHCP-species-dilution-info": "", "IHCP-species-notes": "" }, "Monkey": { "IHCP-species-checked": "predicted", "IHCP-species-dilution-info": "", "IHCP-species-notes": "" } } }

Properties and storage information

Form
Liquid
Purification technique
Affinity purification Immunogen
Storage buffer
pH: 7.3 Preservative: 0.02% Sodium azide Constituents: 99% Tris buffered saline, 0.5% BSA
Shipped at conditions
Blue Ice
Appropriate short-term storage duration
1-2 weeks
Appropriate short-term storage conditions
+4°C
Appropriate long-term storage conditions
-20°C
Aliquoting information
Upon delivery aliquot
Storage information
Avoid freeze / thaw cycle

Product protocols

For this product, it's our understanding that no specific protocols are required. You can visit:

Target data

In kidney, has anti-inflammatory and anti-fibrotic properties by limiting the induction of chemokines, fibronectin and collagen expression in response to TGB1 and pro-inflammatory stimuli.
See full target information MXRA5

Publications (1)

Recent publications for all applications. Explore the full list and refine your search

Gastroenterology report 9:166-175 PubMed34026224

2021

Upregulated insulin receptor tyrosine kinase substrate promotes the proliferation of colorectal cancer cells via the bFGF/AKT signaling pathway.

Applications

Unspecified application

Species

Unspecified reactive species

Song Wang,Zheng Liu,Yi-Ming Ma,Xu Guan,Zheng Jiang,Peng Sun,En-Rui Liu,Yu-Kun Zhang,Hong-Ying Wang,Xi-Shan Wang
View all publications

Product promise

We are committed to supporting your work with high-quality reagents, and we're here for you every step of the way. In the unlikely event that one of our products does not perform as expected, you're protected by our Product Promise.
For full details, please see our Terms & Conditions

Please note: All products are 'FOR RESEARCH USE ONLY. NOT FOR USE IN DIAGNOSTIC OR THERAPEUTIC PROCEDURES'.

For licensing inquiries, please contact partnerships@abcam.com