JavaScript is disabled in your browser. Please enable JavaScript to view this website.
AB32

Anti-Myc tag antibody [9E10]

5

(29 Reviews)

|

(519 Publications)

Anti-Myc tag antibody [9E10] (ab32) is a mouse monoclonal antibody detecting Myc tag in Western Blot, Flow Cytometry, IP, IHC-Fr, ICC/IF, ELISA.

- Over 430 publications
- Trusted since 1998

View Alternative Names

BHLHE39, MYC, Myc proto-oncogene protein, Class E basic helix-loop-helix protein 39, Proto-oncogene c-Myc, Transcription factor p64, bHLHe39

13 Images
Western blot - Anti-Myc tag antibody [9E10] (AB32)
  • WB

Lab

Western blot - Anti-Myc tag antibody [9E10] (AB32)

False colour image of Western blot : Anti-Myc tag antibody [9E10] staining at 1/200 dilution, shown in green; Rabbit Anti-GAPDH antibody [EPR16891] (ab181602) loading control staining at 1/20000 dilution, shown in red. In Western blot, ab32 was shown to bind specifically to Myc tag. A band was observed at 57 kDa in wild-type HEK-293T cell lysates with no signal observed at this size in MYC knockout cell line ab256500 (knockout cell lysate ab263850). The band observed in the knockout lysate lane below 57 kDa is likely to represent a truncated form of Myc tag. This has not been investigated further and the functional properties of the gene product have not been determined. To generate this image, wild-type and MYC knockout HEK-293T cell lysates were analysed.First, samples were run on an SDS-PAGE gel then transferred onto a nitrocellulose membrane. Membranes were blocked in 3 % milk in TBS-0.1 % Tween® 20 (TBS-T) before incubation with primary antibodies overnight at 4 °C. Blots were washed four times in TBS-T, incubated with secondary antibodies for 1 h at room temperature, washed again four times then imaged. Secondary antibodies used were Goat anti-Mouse IgG H&L (IRDye® 800CW) preabsorbed (ab216772) and Goat anti-Rabbit IgG H&L (IRDye® 680RD) preabsorbed (ab216777) at 1/20000 dilution.

All lanes:

Western blot - Anti-Myc tag antibody [9E10] (ab32) at 1/200 dilution

Lane 2:

MYC knockout HEK-293T cell lysate at 20 µg

Lane 3:

Jurkat cell lysate at 20 µg

Lane 4:

SH-SY5Y cell lysate at 20 µg

Predicted band size: 48 kDa

false

Immunocytochemistry/ Immunofluorescence - Anti-Myc tag antibody [9E10] (AB32)
  • ICC/IF

AbReview61185****

Immunocytochemistry/ Immunofluorescence - Anti-Myc tag antibody [9E10] (AB32)

ab32 staining a Myc tagged protein in HeLa cells by ICC/IF (Immunocytochemistry/Immunofluorescence). Endogenous c-myc was not detected under these conditions. Cells were fixed with paraformaldehyde, permeabilized with 0.5% Triton and blocked with 5% Serum for 30 minutes at 25°C. Samples were incubated with primary antibody (1/1000 in 5% Serum) for 1 hour at 25°C. An Alexa Fluor® 488 conjugated Goat anti-Mouse was used as a secondary antibody.

This image is courtesy of an anonymous Abreview

Immunocytochemistry/ Immunofluorescence - Anti-Myc tag antibody [9E10] (AB32)
  • ICC/IF

PubMed

Immunocytochemistry/ Immunofluorescence - Anti-Myc tag antibody [9E10] (AB32)

RPE1 cells grown on coverslips were transfected with βarr2-myc, grown in low serum and then fixed and stained for Kif3A (red) and ab32 (green). Insets show higher magnifications of a representative PC. Kif3A was found in the cytoplasm and at the tip of the axoneme where it was colocalized with βarr2.

Cells were incubated with primary antibodies in permeabilization buffer (PBS with 1 mg/mL bovine serum albumin (PBS-BSA) and 0.1% triton-X-100) for 45 minutes at room temperature. After two washes with PBS-BSA, cells were incubated for 30 minutes at room temperature in PBS-BSA containing secondary antibodies. After one wash with PBS-BSA and two washes in PBS, cells were laid down on microscope slides in a PBS–glycerol mix (50/50) with DAPI.

Image from Molla-Herman A et al., PLoS One. 2008;3(11):e3728. Fig 8(B).; doi: 10.1371/journal.pone.0003728. Reproduced under the Creative Commons license http://creativecommons.org/licenses/by/4.0/

Western blot - Anti-Myc tag antibody [9E10] (AB32)
  • WB

Lab

Western blot - Anti-Myc tag antibody [9E10] (AB32)

False colour image of Western blot : Anti-Myc tag antibody [9E10] staining at 1/200 dilution, shown in green; Rabbit Anti-GAPDH antibody [EPR16891] (ab181602) loading control staining at 1/20000 dilution, shown in red. In Western blot, ab32 was shown to bind specifically to Myc tag. A band was observed at 57 kDa in wild-type HEK-293T cell lysates with no signal observed at this size in MYC CRISPR-Cas9 edited cell line ab256500 (CRISPR-Cas9 edited cell lysate ab263850). The band observed in the CRISPR-Cas9 edited lysate lane below 57 kDa is likely to represent a truncated form of Myc tag. This has not been investigated further and the functional properties of the gene product have not been determined. To generate this image, wild-type and MYC CRISPR-Cas9 edited HEK-293T cell lysates were analysed. First, samples were run on an SDS-PAGE gel then transferred onto a nitrocellulose membrane. Membranes were blocked in 3 % milk in TBS-0.1 % Tween® 20 (TBS-T) before incubation with primary antibodies overnight at 4 °C. Blots were washed four times in TBS-T, incubated with secondary antibodies for 1 h at room temperature, washed again four times then imaged. Secondary antibodies used were Goat anti-Mouse IgG H&L (IRDye® 800CW) preabsorbed (ab216772) and Goat anti-Rabbit IgG H&L (IRDye® 680RD) preabsorbed (ab216777) at 1/20000 dilution.

Lanes 1 - 4:

Western blot - Anti-Myc tag antibody [9E10] (ab32) at 1/200 dilution

Lanes 1 - 4:

Western blot - Anti-Myc tag antibody [9E10] (<a href='/en-us/products/primary-antibodies/myc-tag-antibody-9e10-ab206486'>ab206486</a>) at 1/200 dilution

Lane 1:

Wild-type HEK-293T cell lysate at 20 µg

Lane 2:

MYC CRISPR-Cas9 edited HEK-293T cell lysate at 20 µg

Lane 2:

Western blot - Human MYC (c-Myc) knockout HEK-293T cell line (<a href='/en-us/products/cell-lines/human-myc-c-myc-knockout-hek-293t-cell-line-ab256500'>ab256500</a>)

Lane 3:

Jurkat cell lysate at 20 µg

Lane 4:

SH-SY5Y cell lysate at 20 µg

Predicted band size: 48 kDa,49 kDa

false

Western blot - Anti-Myc tag antibody [9E10] (AB32)
  • WB

Lab

Western blot - Anti-Myc tag antibody [9E10] (AB32)

Blocking and diluting buffer and concentration : 5% NFDM/TBST.

In Western blot, Anti-GAPDH antibody [EPR16891] - Loading Control (ab181602) staining at 1/1000000 dilution.

In Western blot, Anti-Myc tag antibody [9E10] - Loading Control (ab32) staining at 1/10000 dilution.

In Western blot, Anti-6X His tag® antibody [EPR20547] - Loading Control (ab213204) staining at 1/10000 dilution.

This antibody does not cross react with DR5 and DcR2.

All lanes:

Western blot - Anti-DR4 antibody [EPR28152-57] (<a href='/en-us/products/primary-antibodies/dr4-antibody-epr28152-57-ab312848'>ab312848</a>) at 1/1000 dilution

Lane 1:

293T (Human embryonic kidney epithelial cell) transfected with an empty vector (vector control), containing a myc-His- tag® whole cell lysate at 20 µg

Lane 2:

293T transfected with human DR4 expression vector containing a myc- His-tag®, whole cell lysate at 20 µg

Lane 3:

293T transfected with human DcR2 expression vector containing a myc- His-tag®, whole cell lysate at 48 µg

Lane 4:

Recombinant human DR5 fragment protein containing a His-tag®, whole cell lysate at 10 ng

Secondary

All lanes:

Western blot - Goat Anti-Rabbit IgG H&L (HRP) (<a href='/en-us/products/secondary-antibodies/goat-rabbit-igg-h-l-hrp-ab97051'>ab97051</a>) at 1/100000 dilution

Observed band size: 48 kDa

false

Exposure time: 3s

Western blot - Anti-Myc tag antibody [9E10] (AB32)
  • WB

Lab

Western blot - Anti-Myc tag antibody [9E10] (AB32)

Blocking and diluting buffer and concentration : 5% NFDM/TBST.

This antibody does not cross-react with Mouse GRIA2, GRIA3 and GRIA4.

All lanes:

Western blot - Anti-Glutamate Receptor 1 (AMPA subtype) antibody [EPR19522] (<a href='/en-us/products/primary-antibodies/glutamate-receptor-1-ampa-subtype-antibody-epr19522-ab183797'>ab183797</a>) at 1/1000 dilution

Lane 1:

293T transfected with an empty vector (vector control), containing a myc-His-tag®, whole cell lysate at 20 µg

Lane 2:

293T transfected with Mouse full length GRIA1 expression vector containing a c-term myc-His-tag®, whole cell lysate at 20 µg

Lane 3:

293T transfected with Mouse full length GRIA2 expression vector containing a c-term myc-His-tag®, whole cell lysate at 20 µg

Lane 4:

293T transfected with Mouse full length GRIA3 expression vector containing a c-term myc-His-tag®, whole cell lysate at 20 µg

Lane 5:

293T transfected with Mouse full length GRIA4 expression vector containing a c-term myc-His-tag®, whole cell lysate at 20 µg

Secondary

Lanes 1 - 5:

Western blot - Goat Anti-Rabbit IgG H&L (HRP) (<a href='/en-us/products/secondary-antibodies/goat-rabbit-igg-h-l-hrp-ab97051'>ab97051</a>) at 1/100000 dilution

Lanes 1 - 5:

Goat anti-mouse IgG (H+L), Peroxidase conjugated at 1/10000 dilution

Observed band size: 101 kDa

false

Exposure time: 20s

Immunocytochemistry/ Immunofluorescence - Anti-Myc tag antibody [9E10] (AB32)
  • ICC/IF

PubMed

Immunocytochemistry/ Immunofluorescence - Anti-Myc tag antibody [9E10] (AB32)

(A-D) Representative examples of body forming AtMORC7-MYC, AtMORC4-MYC, At-MORC1-MYC, and AtMORC6-MYC nuclei, respectively. (E) Untransformed wt nucleus subjected to the same antibody staining and imaging procedure. Left panels = anti-MYC channel; middle panels = DAPI channel (gray scaled). DAPI stains DNA, defining the position of dense chromocenters as high intensity white foci; right panels = merged channels (DAPI in blue, MYC in green). White triangles indicate examples of chromocenter adjacent AtMORC localization. Scale bars = 5 μM.

Leaves from three-week old plants were fixed in 4% paraformaldehyde in TRIS buffer (10 mM TRIS pH 7.5, 10 mM EDTA, and 100 mM NaCl) for 20 minutes and washed twice in TRIS buffer. Leaves were chopped in 200–400 microliters lysis buffer (15 mM TRIS pH 7.5, 2 mM EDTA, 0.5 mM spermine, 80 mM KCl, 20 mM NaCl, and 0.1% Triton X-100) and filtered through a 3 μM cell strainer. 5 μL of nuclei suspension was added to 12 μL of sorting buffer (100mM TRIS pH 7.5, 50mM KCl, 2mM MgCl2, 0.05% Tween-20, and 20.5% sucrose) and air dried on chloroform dipped microscope slides for two hours and then post-fixed in 4% paraformaldehyde in PBS for 20 minutes. Slides were washed three times in PBS and incubated in blocking buffer (3% BSA, and 10% horse serum in PBS) for 30 minutes at 37°C. Nuclei were incubated at 4°C overnight in mouse monoclonal antibody against c-Myc (9E10, ab32; 1/200). Slides were washed in PBS and incubated with goat anti-mouse FITC antibody (ab7064; 1/200) for 90 minutes at room temperature. Following PBS washes, nuclei were counterstained and mounted in Vectashield mounting media with DAPI. Nuclei were analyzed with a Zeiss LSM 710 Confocal microscope at 63X or 100X magnification using Zen software.

Image from Harris CJ et al., PLoS Genet. 2016;12(5):e1005998. Fig 5.; doi: 10.1371/journal.pgen.1005998. Reproduced under the Creative Commons license http://creativecommons.org/licenses/by/4.0/

Western blot - Anti-Myc tag antibody [9E10] (AB32)
  • WB

Project

Western blot - Anti-Myc tag antibody [9E10] (AB32)

This image was produced using the same antibody clone but different formulation, ab32.

Lysate from E. coli recombinantly expressing 11 commonly used tags including myc tag.

All lanes:

Western blot - Anti-Myc tag antibody [9E10] (ab32) at 1 µg/mL

All lanes:

Western blot - E. coli Positive Control (Escherichia coli ) Whole Cell Lysate (<a href='/en-us/products/cell-lysates/e-coli-positive-control-escherichia-coli-whole-cell-lysate-ab5395'>ab5395</a>) at 10 µg

Secondary

All lanes:

Goat polyclonal to Mouse IgG - H&L - Pre-Adsorbed (HRP) at 1/3000 dilution

Predicted band size: 48 kDa,49 kDa

Observed band size: 45 kDa

true

Exposure time: 1min

Western blot - Anti-Myc tag antibody [9E10] (AB32)
  • WB

Lab

Western blot - Anti-Myc tag antibody [9E10] (AB32)

Blocking and diluting buffer and concentration : 5% NFDM/TBST

In Western blot, Anti-Myc tag antibody [9E10] - Loading Control (ab32) staining at 1/10000 dilution.

This antibody does weak cross-react with Human GRIA1 and not cross-react with Human GRIA2 and GRIA3.

Exposure time : ab280199 : 40s, ab32 : 80s.

All lanes:

Western blot - Anti-Glutamate receptor 4 antibody [EPR24283-69] (<a href='/en-us/products/primary-antibodies/glutamate-receptor-4-antibody-epr24283-69-ab280199'>ab280199</a>) at 1/5000 dilution

Lane 1:

293T transfected with an empty vector (vector control), containing a myc-His-tag®, whole cell lysate at 20 µg

Lane 2:

293T transfected with Human fragment GRIA2 expression vector containing a c-term myc-His-tag®, whole cell lysate at 20 µg

Lane 3:

293T transfected with Human full length GRIA3 expression vector containing a n-term myc-His-tag®, whole cell lysate at 20 µg

Lane 4:

293T transfected with human full length GRIA4 expression vector containing a c-term myc-His-tag®, whole cell lysate at 20 µg

Lane 5:

Recombinant Human full length GRIA1 Protein containing a C-Myc/DDK tag at 100 ng

Secondary

Lanes 1 - 5:

Western blot - Goat Anti-Rabbit IgG H&L (HRP) (<a href='/en-us/products/secondary-antibodies/goat-rabbit-igg-h-l-hrp-ab97051'>ab97051</a>) at 1/100000 dilution

Lanes 1 - 5:

Goat anti-mouse IgG (H+L), Peroxidase conjugated at 1/10000 dilution

Observed band size: 100 kDa

false

Western blot - Anti-Myc tag antibody [9E10] (AB32)
  • WB

Lab

Western blot - Anti-Myc tag antibody [9E10] (AB32)

Blocking and diluting buffer and concentration : 5% NFDM /TBST.

All lanes:

Western blot - Anti-Ionotropic glutamate receptor 2 antibody [EP929Y] (<a href='/en-us/products/primary-antibodies/ionotropic-glutamate-receptor-2-3-antibody-ep929y-ab52896'>ab52896</a>) at 1/5000 dilution

Lane 1:

293T transfected with an empty vector (vector control), containing a myc-His-tag®, whole cell lysate at 20 µg

Lane 2:

293T transfected with Human fragment GRIA2 expression vector containing a c-term myc-His-tag®, whole cell lysate at 20 µg

Lane 3:

293T transfected with Human full length GRIA3 expression vector containing a n-term myc-His-tag®, whole cell lysate at 20 µg

Lane 4:

293T transfected with human full length GRIA4 expression vector containing a c-term myc-His-tag®, whole cell lysate at 20 µg

Lane 5:

Recombinant Human full length GRIA1 Protein containing a C-Myc/DDK tag at 100 ng

Secondary

Lanes 1 - 5:

Western blot - Goat Anti-Rabbit IgG H&L (HRP) (<a href='/en-us/products/secondary-antibodies/goat-rabbit-igg-h-l-hrp-ab97051'>ab97051</a>) at 1/10000 dilution

Lanes 1 - 5:

Goat anti-mouse IgG (H+L), Peroxidase conjugated at 1/10000 dilution

Observed band size: 100 kDa

false

Exposure time: 20s

Western blot - Anti-Myc tag antibody [9E10] (AB32)
  • WB

Lab

Western blot - Anti-Myc tag antibody [9E10] (AB32)

Anti-SARS-Cov-2 ORF7a antibody [EPR24850-55] (ab283962) staining at 1/1000 dilution, shown in green; Mouse anti-Myc tag [9E10] (ab32) loading control staining at 1/1000 dilution, shown in magenta.

In Western blot, ab283962 was shown to bind specifically to SARS-Cov-2 ORF7a. First, samples were run on an SDS-PAGE gel then transferred onto a nitrocellulose membrane. Membranes were blocked in fluorescent western blot (TBS-based) blocking solution before incubation with primary antibodies overnight at 4 °C. Blots were washed four times in TBS-T, incubated with secondary antibodies for 1 h at room temperature, washed again four times then imaged.

Secondary antibodies used were Goat anti-Rabbit IgG H&L 800CW and Goat anti-Mouse IgG H&L 680RD at 1/20000 dilution.

All lanes:

Western blot - Anti-SARS-CoV-2 orf7a antibody [EPR24850-55] (<a href='/en-us/products/primary-antibodies/sars-cov-2-orf7a-antibody-epr24850-55-ab283962'>ab283962</a>) at 1/1000 dilution

Lane 1:

HEK-293T overexpressing Orf7a cell lysate at 40 µg

Lane 3:

HEK-293T overexpressing Orf8 cell lysate at 20 µg

Observed band size: 13 kDa

false

Western blot - Anti-Myc tag antibody [9E10] (AB32)
  • WB

Lab

Western blot - Anti-Myc tag antibody [9E10] (AB32)

Blocking and diluting buffer and concentration : 5% NFDM/TBST

In Western blot, Anti-Myc tag antibody [9E10] - Loading Control (ab32) staining at 1/10000 dilution.

This antibody does not cross-react with Human GRIA1, GRIA3 and GRIA4.

Exposure time : ab133477 : 20s, ab32 : 80s.

All lanes:

Western blot - Anti-Ionotropic Glutamate receptor 2 antibody [EPR5032] (<a href='/en-us/products/primary-antibodies/ionotropic-glutamate-receptor-2-antibody-epr5032-ab133477'>ab133477</a>) at 1/5000 dilution

Lane 1:

293T transfected with an empty vector (vector control), containing a myc-His-tag®, whole cell lysate at 20 µg

Lane 2:

293T transfected with Human fragment GRIA2 expression vector containing a c-term myc-His-tag®, whole cell lysate at 20 µg

Lane 3:

293T transfected with Human full length GRIA3 expression vector containing a n-term myc-His-tag®, whole cell lysate at 20 µg

Lane 4:

293T transfected with human full length GRIA4 expression vector containing a c-term myc-His-tag®, whole cell lysate at 20 µg

Lane 5:

Recombinant Human full length GRIA1 Protein containing a C-Myc/DDK tag at 100 ng

Secondary

Lanes 1 - 5:

Western blot - Goat Anti-Rabbit IgG H&L (HRP) (<a href='/en-us/products/secondary-antibodies/goat-rabbit-igg-h-l-hrp-ab97051'>ab97051</a>) at 1/100000 dilution

Lanes 1 - 5:

Goat anti-mouse IgG (H+L), Peroxidase conjugated at 1/10000 dilution

Observed band size: 100 kDa

false

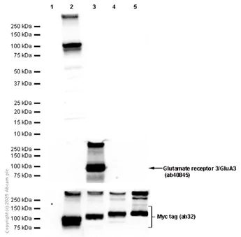
Western blot - Anti-Myc tag antibody [9E10] (AB32)
  • WB

Lab

Western blot - Anti-Myc tag antibody [9E10] (AB32)

Blocking and diluting buffer and concentration : 5% NFDM/TBST

In Western blot, Anti-Myc tag antibody [9E10] - Loading Control (ab32) staining at 1/10000 dilution.

This antibody does not cross-react with Human GRIA1,GRIA2 and GRIA4.

Exposure time : ab40845 : 40s, ab32 : 80s.

All lanes:

Western blot - Anti-Glutamate receptor 3/GluA3 antibody [EP813Y] (<a href='/en-us/products/primary-antibodies/glutamate-receptor-3-glua3-antibody-ep813y-ab40845'>ab40845</a>) at 1/1000 dilution

Lane 1:

293T transfected with an empty vector (vector control), containing a myc-His-tag®, whole cell lysate at 20 µg

Lane 2:

293T transfected with Human fragment GRIA2 expression vector containing a c-term myc-His-tag®, whole cell lysate at 20 µg

Lane 3:

293T transfected with Human full length GRIA3 expression vector containing a n-term myc-His-tag®, whole cell lysate at 20 µg

Lane 4:

293T transfected with human full length GRIA4 expression vector containing a c-term myc-His-tag®, whole cell lysate at 20 µg

Lane 5:

Recombinant Human full length GRIA1 Protein containing a C-Myc/DDK tag at 100 ng

Secondary

Lanes 1 - 5:

Western blot - Goat Anti-Rabbit IgG H&L (HRP) (<a href='/en-us/products/secondary-antibodies/goat-rabbit-igg-h-l-hrp-ab97051'>ab97051</a>) at 1/100000 dilution

Lanes 1 - 5:

Goat anti-mouse IgG (H+L), Peroxidase conjugated at 1/10000 dilution

Observed band size: 100 kDa

false

  • Biotin

    Biotin Anti-Myc tag antibody [9E10] - C-terminal

  • 657 SureLight® APC

    SureLight® APC Anti-Myc tag antibody [9E10]

  • 576 DyLight® 550

    DyLight® 550 Anti-Myc tag antibody [9E10]

  • 673 DyLight® 650

    DyLight® 650 Anti-Myc tag antibody [9E10]

  • 518 DyLight® 488

    DyLight® 488 Anti-Myc tag antibody [9E10]

  • 617 Alexa Fluor® 594

    Alexa Fluor® 594 Anti-Myc tag antibody [9E10]

  • 665 Alexa Fluor® 647

    Alexa Fluor® 647 Anti-Myc tag antibody [9E10]

  • HRP

    HRP Anti-Myc tag antibody [9E10]

  • 578 PE

    PE Anti-Myc tag antibody [9E10]

  • 519 Alexa Fluor® 488

    Alexa Fluor® 488 Anti-Myc tag antibody [9E10]

  • 519 FITC

    FITC Anti-Myc tag antibody [9E10]

  • 660 APC

    APC Anti-Myc tag antibody [9E10]

  • Biotin

    Biotin Anti-Myc tag antibody [9E10]

  • Carrier free

    Anti-Myc tag antibody [9E10] - BSA and Azide free

Key facts

Host species

Mouse

Clonality

Monoclonal

Clone number

9E10

Isotype

IgG1

Light chain type

kappa

Carrier free

No

Applications

IHC-Fr, ELISA, IP, WB, ICC/IF, Purification, Flow Cyt

applications

Immunogen

The exact immunogen used to generate this antibody is proprietary information.

Reactivity data

{ "title": "Reactivity Data", "filters": { "stats": ["", "Species", "Dilution Info", "Notes"], "tabs": { "all-applications": {"fullname" : "All Applications", "shortname": "All Applications"}, "IP" : {"fullname" : "Immunoprecipitation", "shortname":"IP"}, "FlowCyt" : {"fullname" : "Flow Cytometry", "shortname":"Flow Cyt"}, "ELISA" : {"fullname" : "ELISA", "shortname":"ELISA"}, "WB" : {"fullname" : "Western blot", "shortname":"WB"}, "Purification" : {"fullname" : "Purification", "shortname":"Purification"}, "ICCIF" : {"fullname" : "Immunocytochemistry/ Immunofluorescence", "shortname":"ICC/IF"}, "IHCFr" : {"fullname" : "Immunohistochemistry (Frozen sections)", "shortname":"IHC-Fr"} }, "product-promise": { "all": "all", "testedAndGuaranteed": "tested", "guaranteed": "expected", "predicted": "predicted", "notRecommended": "not-recommended" } }, "values": { "Tag": { "IP-species-checked": "guaranteed", "IP-species-dilution-info": "6 µg/mg of lysate", "IP-species-notes": "<p></p>", "FlowCyt-species-checked": "guaranteed", "FlowCyt-species-dilution-info": "1 µg for 10^6 Cells", "FlowCyt-species-notes": "<p><a href='/en-us/products/primary-antibodies/mouse-igg1-kappa-monoclonal-15-6e10a7-isotype-control-ab170190'>ab170190</a> - Mouse monoclonal IgG1, is suitable for use as an isotype control with this antibody.</p>", "ELISA-species-checked": "guaranteed", "ELISA-species-dilution-info": "", "ELISA-species-notes": "<p></p>", "WB-species-checked": "testedAndGuaranteed", "WB-species-dilution-info": "1/500 - 1/1000", "WB-species-notes": "<p></p>", "Purification-species-checked": "guaranteed", "Purification-species-dilution-info": "", "Purification-species-notes": "<p></p>", "ICCIF-species-checked": "testedAndGuaranteed", "ICCIF-species-dilution-info": "5 µg/mL", "ICCIF-species-notes": "<p></p>", "IHCFr-species-checked": "guaranteed", "IHCFr-species-dilution-info": "", "IHCFr-species-notes": "<p>See Abreviews.</p>" } } }

Product details

Anti-Myc tag antibody [9E10] (ab32) is a House Mouse Monoclonal antibody and is validated for use in ELISA, Flow Cyt, ICC/IF, IHC-Fr, IP, Purification, WB in guinea pig, human, mouse, rat samples.

Anti-Myc tag antibody [9E10] (ab32) has been cited over 432 times in peer reviewed journals and is trusted by the scientific community.

Abcams high quality validation processes ensure Anti-Myc tag antibody [9E10] (ab32) has high sensitivity and specificity.

Anti-Myc tag antibody [9E10] (ab32) has 29 independent reviews from customers.

Myc tag antibodies are used to visualize proteins labelled with this tag in a variety of applications (for example imaging and Flow cytometry). To enable specific detection of your tagged protein, Anti-Myc tag antibody [9E10] (ab32) has been validated in ELISA, Flow Cyt, ICC/IF, IHC-Fr, IP, Purification, WB

Anti-Myc tag antibody [9E10] (ab32) specifically detects Myc tag (UniProt ID: P01106; Molecular weight: 51kDa) and is sold in 100 ug and 1 mg selling sizes.

Conjugation-ready, carrier free format available for antibody clone 9E10 - ab26463.

The Myc tag is a small peptide tag derived from the c-Myc protein, commonly used in molecular biology and biochemistry. It consists of 10 amino acids with the sequence EQKLISEEDL. This tag is often fused to proteins of interest to facilitate their detection and purification. Myc-tagged proteins can be identified using specific antibodies in various assays, including western blotting (WB), immunoprecipitation (IP), immunofluorescence (ICC, IF), ELISA, and flow cytometry (FC). The Myc tag is a valuable tool for studying protein expression, localization, and interactions in diverse biological research applications.

If you require this antibody in a particular buffer formulation or a particular conjugate for your experiments, please contact orders@abcam.com or you can find further information here.

Properties and storage information

Form
Liquid
Purification technique
Affinity purification
Storage buffer
pH: 7.4 Preservative: 0.02% Sodium azide Constituents: PBS, 6.97% L-Arginine
Shipped at conditions
Blue Ice
Appropriate short-term storage duration
1-2 weeks
Appropriate short-term storage conditions
+4°C
Appropriate long-term storage conditions
-20°C
Aliquoting information
Upon delivery aliquot
Storage information
Avoid freeze / thaw cycle

Product protocols

For this product, it's our understanding that no specific protocols are required. You can visit:

Target data

Transcription factor that binds DNA in a non-specific manner, yet also specifically recognizes the core sequence 5'-CAC[GA]TG-3' (PubMed : 24940000, PubMed : 25956029). Activates the transcription of growth-related genes (PubMed : 24940000, PubMed : 25956029). Binds to the VEGFA promoter, promoting VEGFA production and subsequent sprouting angiogenesis (PubMed : 24940000, PubMed : 25956029). Regulator of somatic reprogramming, controls self-renewal of embryonic stem cells (By similarity). Functions with TAF6L to activate target gene expression through RNA polymerase II pause release (By similarity). Positively regulates transcription of HNRNPA1, HNRNPA2 and PTBP1 which in turn regulate splicing of pyruvate kinase PKM by binding repressively to sequences flanking PKM exon 9, inhibiting exon 9 inclusion and resulting in exon 10 inclusion and production of the PKM M2 isoform (PubMed : 20010808).
See full target information MYC

Publications (519)

Recent publications for all applications. Explore the full list and refine your search

Communications biology 8:1364 PubMed41023123

2025

Rapalink-1 reveals TOR-dependent genes and an agmatinergic axis-based metabolic feedback regulating TOR activity and lifespan in fission yeast.

Applications

Unspecified application

Species

Unspecified reactive species

Juhi Kumar,Kristal Ng,Charalampos Rallis

Biomolecules 15: PubMed40867552

2025

ENO1 from Disrupts Host Glycolysis and Inflammation by Binding ACTB.

Applications

Unspecified application

Species

Unspecified reactive species

Rui-Rui Li,Xiao-Jiao Yu,Jia-Yin Liang,Jin-Liang Sheng,Hui Zhang,Chuang-Fu Chen,Zhong-Chen Ma,Yong Wang

Nature chemical biology 21:1719-1730 PubMed40846994

2025

Conversion of natural cytokine receptors into orthogonal synthetic biosensors.

Applications

Unspecified application

Species

Unspecified reactive species

Hailey I Edelstein,Amparo Cosio,Max L Ezekiel,William K Corcoran,Aaron H Morris,Joshua N Leonard

Nature communications 16:7858 PubMed40846698

2025

Early lineage segregation of primary myotubes from secondary myotubes and adult muscle stem cells.

Applications

Unspecified application

Species

Unspecified reactive species

Gauthier Toulouse,William Jarassier,Sabrina Jagot,Valérie Morin,Fabien Le Grand,Christophe Marcelle

iScience 28:113235 PubMed40837225

2025

Dna2 nuclease resolves RNA:DNA hybrids at double-strand breaks.

Applications

Unspecified application

Species

Unspecified reactive species

Aditya Mojumdar,Courtney Granger,Martine Lunke,Ellis Evans,Jennifer A Cobb

Cell communication and signaling : CCS 23:325 PubMed40619404

2025

The scaffold protein DLG4 facilitates RNF63-mediated ubiquitination and degradation of STAT3 in non-small cell lung cancer.

Applications

Unspecified application

Species

Unspecified reactive species

Shisong Chen,Hongjie Xu,Ning Li,Yang Yang,Ruxi Pang,Shuwei Zhang,Junjie Qiao,Hao Chen

Cell death & disease 16:471 PubMed40593466

2025

Impact of N-acetyltransferase 10 on macrophage activation and inflammation-induced cardiac dysfunction.

Applications

Unspecified application

Species

Unspecified reactive species

Zilong Xiao,Xiang Wei,Peng Li,Ruizhen Chen,Ziqing Yu,Yixiu Liang,Yangang Su,Junbo Ge

Nature communications 16:5889 PubMed40593687

2025

The N-degron pathway governs autophagy to promote thermotolerance in Arabidopsis.

Applications

Unspecified application

Species

Unspecified reactive species

Seu Ha Kim,Jun Seok Park,Myoung-Hoon Lee,Joongyu Seo,Jaekwan Kim,Woo Seok Yang,Jihye Park,Kwangmin Yoo,Jungmin Choi,Jong-Bok Seo,Hyun Kyu Song,Ohkmae K Park

Nature cancer 6:1263-1282 PubMed40588523

2025

Self-amplifying NRF2-EZH2 epigenetic loop converts KRAS-initiated progenitors to invasive pancreatic cancer.

Applications

Unspecified application

Species

Unspecified reactive species

Laura Antonucci,Na Li,Angeles Duran,Isidoro Cobo,Chiara Nicoletti,Kosuke Watari,Shuvro Prokash Nandi,Feng Zhu,Yongmei Zhao,Irene Riahi,Motoyuki Tsuda,Vidhi M Shah,Terry Morgan,Trent Waugh,Luca Caputo,Yuan Liu,Alexandra Rundberg Nilsson,Hongxu Xian,Jelena Todoric,Li Gu,Elsa Sanchez-Lopez,Guido Eibl,Emily A Vucic,Michal Krawczyk,Qianlan Xu,Andrew M Lowy,Georgia Hatzivassiliou,Merone Roose-Girma,Dorota Skowronska-Krawczyk,David A Scott,Dafna Bar-Sagi,Pablo Tamayo,Ying Wu,Rosalie C Sears,Christopher K Glass,Ludmil B Alexandrov,Pier Lorenzo Puri,David W Dawson,Yinling Hu,Maria T Diaz-Meco,Jorge Moscat,Michael Karin

Frontiers in cell and developmental biology 13:1588308 PubMed40519268

2025

Rab21 recruits EEA1 and competes with Rab5 for Rabex-5 activation.

Applications

Unspecified application

Species

Unspecified reactive species

Francisco Yanguas,Cinzia Progida
View all publications

Product promise

We are committed to supporting your work with high-quality reagents, and we're here for you every step of the way. In the unlikely event that one of our products does not perform as expected, you're protected by our Product Promise.
For full details, please see our Terms & Conditions

Please note: All products are 'FOR RESEARCH USE ONLY. NOT FOR USE IN DIAGNOSTIC OR THERAPEUTIC PROCEDURES'.

For licensing inquiries, please contact partnerships@abcam.com