JavaScript is disabled in your browser. Please enable JavaScript to view this website.
AB290006

Anti-Myc tag antibody [Hyper-myc] - BSA and Azide free

Be the first to review this product! Submit a review

|

(0 Publication)

Human Recombinant Monoclonal C-Myc/MYC antibody. Carrier free. Suitable for I-ELISA, ICC/IF, IP, WB and reacts with Tag samples.

View Alternative Names

BHLHE39, MYC, Myc proto-oncogene protein, Class E basic helix-loop-helix protein 39, Proto-oncogene c-Myc, Transcription factor p64, bHLHe39

4 Images
Immunocytochemistry/ Immunofluorescence - Anti-Myc tag antibody [Hyper-myc] - BSA and Azide free (AB290006)
  • ICC/IF

Supplier Data

Immunocytochemistry/ Immunofluorescence - Anti-Myc tag antibody [Hyper-myc] - BSA and Azide free (AB290006)

This data was developed using ab289981, the same antibody clone in a different buffer formulation.

Immunofluorescent analysis of 4% paraformaldehyde-fixed, 0.1% Triton X-100 permeabilized HEK-293T (human embryonic kidney) whole cell lysate labelingMyc tag with ab289981 at 1/8000 dilution, followed by Goat anti-Human IgG (H+L) Cross-Adsorbed Secondary Antibody (Alexa Fluor® 488) secondary antibody at 1/500 dilution (green). Confocal image showing positive staining in HEK-293T cells transfected with CRISPR-Cas9 (S. Aureas) expression vector containing a myc tag. The nuclear counter stain is DAPI (blue).

Anti-CRISPR-Cas9 rabbit monoclonal antibody (ab203933) at 1/500 dilution was used as counterstain followed by Goat Anti-Rabbit IgG H&L (Alexa Fluor® 594) preadsorbed (ab150088) (red).
The negative controls are as follows :
-ve control 1 : ab289981 at 1/8000 dilution, followed by Goat Anti-Rabbit IgG H&L (Alexa Fluor® 594) preadsorbed (ab150088) secondary antibody at 1/200 dilution.
-ve control 2 : ab203933 at 1/500 dilution, followed by Goat anti-Human IgG (H+L) Cross-Adsorbed Secondary Antibody (Alexa Fluor® 488) at 1/500 dilution.

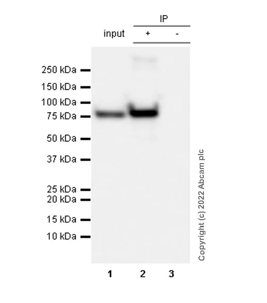
Immunoprecipitation - Anti-Myc tag antibody [Hyper-myc] - BSA and Azide free (AB290006)
  • IP

Supplier Data

Immunoprecipitation - Anti-Myc tag antibody [Hyper-myc] - BSA and Azide free (AB290006)

This data was developed using ab289981, the same antibody clone in a different buffer formulation.

Myc tag was immunoprecipitated from HEK-293T transfected with human NF2 S518A expression vector containing a myc-His-tag® whole cell lysate with ab289981 at 1/30 dilution. VeriBlot for IP secondary antibody(HRP)(ab131366) was used at 1/5000 dilution.

Lane 1 (Input) : HEK-293T transfected with human NF2 S518A expression vector containing a myc-His-tag® whole cell lysate 2 μg

Lane 2 (+) : HEK-293T transfected with human NF2 S518A expression vector containing a myc-His-tag® whole cell lysate

Lane 3 (-) : Human IgG instead of ab289981 in HEK-293T transfected with human NF2 S518A expression vector containing a myc-His-tag® whole cell lysate.

Lane 1:

Immunoprecipitation - Anti-Myc tag antibody [Hyper-myc] - Mouse IgG2a (Chimeric) (<a href='/en-us/products/primary-antibodies/myc-tag-antibody-hyper-myc-mouse-igg2a-chimeric-ab289980'>ab289980</a>)

Lane 1:

Immunoprecipitation - Anti-Myc tag antibody [Hyper-myc] (<a href='/en-us/products/primary-antibodies/myc-tag-antibody-hyper-myc-ab289981'>ab289981</a>)

Predicted band size: 49 kDa

Observed band size: 70 kDa

false

Exposure time: 6s

Indirect ELISA - Anti-Myc tag antibody [Hyper-myc] - BSA and Azide free (AB290006)
  • I-ELISA

Supplier Data

Indirect ELISA - Anti-Myc tag antibody [Hyper-myc] - BSA and Azide free (AB290006)

This data was developed using ab289981, the same antibody clone in a different buffer formulation.

Indirect ELISA antibody dose-response curve using ab289981 with antigen at 1000 ng/ml.

Western blot - Anti-Myc tag antibody [Hyper-myc] - BSA and Azide free (AB290006)
  • WB

Supplier Data

Western blot - Anti-Myc tag antibody [Hyper-myc] - BSA and Azide free (AB290006)

This data was developed using ab289981, the same antibody clone in a different buffer formulation.

Blocking and diluting buffer and concnetration are 5% NFDM/TBST.

ab289981 detects a ranged of myc tagged proteins in WB.

All lanes:

Western blot - Anti-Myc tag antibody [Hyper-myc] (<a href='/en-us/products/primary-antibodies/myc-tag-antibody-hyper-myc-ab289981'>ab289981</a>) at 1/5000 dilution

Lane 1:

HEK-293T (human embryonic kidney) transfected with an empty vector (vector control), containing a myc-His-tag®, whole cell lysate at 1 µg

Lane 2:

HEK-293T transfected with cas9 ( S. Aureas) expression vector containing a myc-His-tag®, whole cell lysate at 1 µg

Lane 3:

HEK-293T transfected with human SNCA140 expression vector containing a myc-His-tag®, whole cell lysate at 1 µg

Lane 4:

HEK-293T transfected with human IDS expression vector containing a myc-His-tag®, whole cell lysate at 1 µg

Lane 5:

HEK-293T transfected with human NF2 S518A expression vector containing a myc-His-tag®, whole cell lysate at 1 µg

Lane 6:

HEK-293T transfected with human Alpha-synuclein expression vector containing a myc-His-tag®, whole cell lysate at 1 µg

Secondary

All lanes:

Western blot - Goat Anti-Human IgG Fc (HRP) preadsorbed (<a href='/en-us/products/secondary-antibodies/goat-human-igg-fc-hrp-preadsorbed-ab98624'>ab98624</a>) at 1/10000 dilution

Predicted band size: 49 kDa

false

Exposure time: 1s

Key facts

Host species

Human

Clonality

Monoclonal

Clone number

Hyper-myc

Isotype

IgG1

Carrier free

Yes

Applications

WB, I-ELISA, ICC/IF, IP

applications

Immunogen

The exact immunogen used to generate this antibody is proprietary information.

Reactivity data

{ "title": "Reactivity Data", "filters": { "stats": ["", "Species", "Dilution Info", "Notes"], "tabs": { "all-applications": {"fullname" : "All Applications", "shortname": "All Applications"}, "IELISA" : {"fullname" : "Indirect ELISA", "shortname":"I-ELISA"}, "ICCIF" : {"fullname" : "Immunocytochemistry/ Immunofluorescence", "shortname":"ICC/IF"}, "IP" : {"fullname" : "Immunoprecipitation", "shortname":"IP"}, "WB" : {"fullname" : "Western blot", "shortname":"WB"}, "FlowCytIntra" : {"fullname" : "Flow Cytometry (Intracellular)", "shortname":"Flow Cyt (Intra)"} }, "product-promise": { "all": "all", "testedAndGuaranteed": "tested", "guaranteed": "expected", "predicted": "predicted", "notRecommended": "not-recommended" } }, "values": { "Tag": { "IELISA-species-checked": "testedAndGuaranteed", "IELISA-species-dilution-info": "", "IELISA-species-notes": "<p></p>", "ICCIF-species-checked": "testedAndGuaranteed", "ICCIF-species-dilution-info": "", "ICCIF-species-notes": "<p></p>", "IP-species-checked": "testedAndGuaranteed", "IP-species-dilution-info": "", "IP-species-notes": "<p></p>", "WB-species-checked": "testedAndGuaranteed", "WB-species-dilution-info": "", "WB-species-notes": "<p></p>", "FlowCytIntra-species-checked": "notRecommended", "FlowCytIntra-species-dilution-info": "", "FlowCytIntra-species-notes": "<p></p>" } } }

Product details

ab290006 is a carrier free version of ab289981.

Patented technology
Our RabMAb® technology is a patented hybridoma-based technology for making rabbit monoclonal antibodies. For details on our patents, please refer to RabMAb® patents.

What are the advantages of a recombinant monoclonal antibody?
This product is a recombinant monoclonal antibody, which offers several advantages including:

  • - High batch-to-batch consistency and reproducibility
  • - Improved sensitivity and specificity
  • - Long-term security of supply
  • - Animal-free batch production

For more information, read more on recombinant antibodies.

Conjugation ready
Our carrier-free antibodies are typically supplied in a PBS-only formulation, purified and free of BSA, sodium azide and glycerol. This conjugation-ready format is designed for use with fluorochromes, metal isotopes, oligonucleotides, and enzymes, which makes them ideal for antibody labelling, functional and cell-based assays, flow-based assays (e.g. mass cytometry) and Multiplex Imaging applications.

Use our conjugation kits for antibody conjugates that are ready-to-use in as little as 20 minutes with 1 minute hands-on-time and 100% antibody recovery: available for fluorescent dyes, HRP, biotin and gold.

Compatibility
This product is compatible with the Maxpar® Antibody Labeling Kit from Fluidigm, without the need for antibody preparation. Maxpar® is a trademark of Fluidigm Canada Inc.

Properties and storage information

Form
Liquid
Purification technique
Affinity purification Protein A
Storage buffer
pH: 7.2 - 7.4 Constituents: PBS
Shipped at conditions
Blue Ice
Appropriate short-term storage conditions
+4°C
Appropriate long-term storage conditions
+4°C
Storage information
Do Not Freeze

Product protocols

For this product, it's our understanding that no specific protocols are required. You can visit:

Target data

Transcription factor that binds DNA in a non-specific manner, yet also specifically recognizes the core sequence 5'-CAC[GA]TG-3' (PubMed : 24940000, PubMed : 25956029). Activates the transcription of growth-related genes (PubMed : 24940000, PubMed : 25956029). Binds to the VEGFA promoter, promoting VEGFA production and subsequent sprouting angiogenesis (PubMed : 24940000, PubMed : 25956029). Regulator of somatic reprogramming, controls self-renewal of embryonic stem cells (By similarity). Functions with TAF6L to activate target gene expression through RNA polymerase II pause release (By similarity). Positively regulates transcription of HNRNPA1, HNRNPA2 and PTBP1 which in turn regulate splicing of pyruvate kinase PKM by binding repressively to sequences flanking PKM exon 9, inhibiting exon 9 inclusion and resulting in exon 10 inclusion and production of the PKM M2 isoform (PubMed : 20010808).
See full target information MYC

Product promise

We are committed to supporting your work with high-quality reagents, and we're here for you every step of the way. In the unlikely event that one of our products does not perform as expected, you're protected by our Product Promise.
For full details, please see our Terms & Conditions

Please note: All products are 'FOR RESEARCH USE ONLY. NOT FOR USE IN DIAGNOSTIC OR THERAPEUTIC PROCEDURES'.

For licensing inquiries, please contact partnerships@abcam.com