JavaScript is disabled in your browser. Please enable JavaScript to view this website.
AB290005

Anti-Myc tag antibody [Hyper-myc] - Mouse IgG2a (Chimeric) - BSA and Azide free

Be the first to review this product! Submit a review

|

(0 Publication)

Mouse Recombinant Monoclonal C-Myc/MYC antibody. Carrier free. Suitable for ICC/IF, IP, I-ELISA, WB, Flow Cyt (Intra) and reacts with Tag samples.

View Alternative Names

BHLHE39, MYC, Myc proto-oncogene protein, Class E basic helix-loop-helix protein 39, Proto-oncogene c-Myc, Transcription factor p64, bHLHe39

5 Images
Flow Cytometry (Intracellular) - Anti-Myc tag antibody [Hyper-myc] - Mouse IgG2a (Chimeric) - BSA and Azide free (AB290005)
  • Flow Cyt (Intra)

Supplier Data

Flow Cytometry (Intracellular) - Anti-Myc tag antibody [Hyper-myc] - Mouse IgG2a (Chimeric) - BSA and Azide free (AB290005)

This data was developed using ab289980, the same antibody clone in a different buffer formulation.

Intracellular flow cytometric analysis of 293T (human embryonic kidney) transfected with TMEM-119 expression vector containing a myc-His-tag®, fixed with 2% paraformaldehyde and permeabelized 0.1% Tween-20. Cells were surface stained with TMEM-119 conjugated with Alexa Fluor® 647 (ab225494). Then fixed with 2% PFA for 10min followed by intracellularly stained with mouse IgG or ab289980. ab289980 was used at 1 : 1000 dilution (0.1μg)(Right) compared with Mouse monoclonal IgG (Left). Secondary antibody used was Goat anti-Mouse IgG (Alexa Fluor® 488, ab150113) at 1/2000 dilution.

Immunocytochemistry - Anti-Myc tag antibody [Hyper-myc] - Mouse IgG2a (Chimeric) - BSA and Azide free (AB290005)
  • ICC

Supplier Data

Immunocytochemistry - Anti-Myc tag antibody [Hyper-myc] - Mouse IgG2a (Chimeric) - BSA and Azide free (AB290005)

Immunofluorescent analysis of 4% paraformaldehyde-fixed, 0.1% Triton X-100 permeabilized HEK-293T cells transfected with CRISPR-Cas9 (S. Aureas) expression vector containing a myc tag, labeling myc-tag with ab289980 at 1/500 (2.202 μg/ml) dilution, followed by Goat Anti-Mouse IgG H&L (Alexa Fluor® 488) (ab150117) preadsorbed secondary antibody at 1/1000 dilution (Green). Confocal image showing positive staining in HEK-293T cells transfected with CRISPR-Cas9 (S. Aureas) expression vector containing a myc tag.

Nulcear counterstain is DAPI. Cells were also counterstained with ab203933 Anti-CRISPR-Cas9 rabbit monoclonal antibody at 1/500 (2 μg/ml) dilution, followed by secondary antibody ab203933 Anti-CRISPR-Cas9 rabbit monoclonal antibody at 1/200 (2.5 μg/ml) dilution.

-ve control 1 : ab289980 at 1/500 (2.202 μg/ml) dilution, followed by ab15088 1/200 (2.5 μg/ml)

-ve control 2 : ab15088 1/200 (2 μg/ml), followed by ab150117 1/1000 (2 μg/ml)

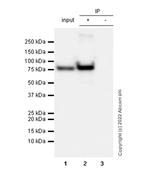
Immunoprecipitation - Anti-Myc tag antibody [Hyper-myc] - Mouse IgG2a (Chimeric) - BSA and Azide free (AB290005)
  • IP

Supplier Data

Immunoprecipitation - Anti-Myc tag antibody [Hyper-myc] - Mouse IgG2a (Chimeric) - BSA and Azide free (AB290005)

This data was developed using ab289980, the same antibody clone in a different buffer formulation.

Myc-tag was immunoprecipitated from HEK-293T transfected with human NF2 S518A expression vector containing a myc-His-tag® whole cell lysate (2μg). Western blot was performed using immunopreciptate, ab289980 was used at 1/30 dilution (2μg in 0.35mg lysates). Secondary antibody used was Veriblot for IP secondary antibody (HRP) (ab131366) at 1/5000 dilution.

Lane 1 (Input) : HEK-293T transfected with human NF2 S518A expression vector containing a myc-His-tag® whole cell lysate, 2μg.

Lane 2 (+) : HEK-293T transfected with human NF2 S518A expression vector containing a myc-His-tag® whole cell lysate

Lane 3 (-) : Human IgG instead of ab289980 in HEK-293T transfected with human NF2 S518A expression vector containing a myc-His-tag® whole cell lysate

Blocking and dilution buffer : 5% NFDM/TBST.

ab289980 detects a ranged of myc tagged proteins in WB.

Lane 1:

Immunoprecipitation - Anti-Myc tag antibody [Hyper-myc] - Mouse IgG2a (Chimeric) (<a href='/en-us/products/primary-antibodies/myc-tag-antibody-hyper-myc-mouse-igg2a-chimeric-ab289980'>ab289980</a>)

Lane 1:

Immunoprecipitation - Anti-Myc tag antibody [Hyper-myc] (<a href='/en-us/products/primary-antibodies/myc-tag-antibody-hyper-myc-ab289981'>ab289981</a>)

Predicted band size: 49 kDa

Observed band size: 70 kDa

false

Exposure time: 6s

ELISA - Anti-Myc tag antibody [Hyper-myc] - Mouse IgG2a (Chimeric) - BSA and Azide free (AB290005)
  • ELISA

Supplier Data

ELISA - Anti-Myc tag antibody [Hyper-myc] - Mouse IgG2a (Chimeric) - BSA and Azide free (AB290005)

This data was developed using ab289980, the same antibody clone in a different buffer formulation.

Indirect ELISA antibody dose-response curve of ab289980 for Human myc-tag antigen, at a concentration of 1000ng/ml. Secondary antibody used was Alkaline Phosphatase-conjugated AffiniPure Goat Anti-Mouse IgG (H+L) at 1/1000 dilution.

Western blot - Anti-Myc tag antibody [Hyper-myc] - Mouse IgG2a (Chimeric) - BSA and Azide free (AB290005)
  • WB

Supplier Data

Western blot - Anti-Myc tag antibody [Hyper-myc] - Mouse IgG2a (Chimeric) - BSA and Azide free (AB290005)

This data was developed using ab289980, the same antibody clone in a different buffer formulation.

Blocking and dilution buffer : 5% NFDM/TBST

ab289980 detects a ranged of myc tagged proteins in WB.

All lanes:

Western blot - Anti-Myc tag antibody [Hyper-myc] - Mouse IgG2a (Chimeric) (<a href='/en-us/products/primary-antibodies/myc-tag-antibody-hyper-myc-mouse-igg2a-chimeric-ab289980'>ab289980</a>) at 1/5000 dilution

Lane 1:

HEK-293T (human embryonic kidney) transfected with an empty vector (vector control), containing a myc-His-tag®, whole cell lysate at 1 µg

Lane 2:

HEK-293T transfected with cas9 ( S. Aureas) expression vector containing a myc-His-tag®, whole cell lysate at 1 µg

Lane 3:

HEK-293T transfected with human SNCA140 expression vector containing a myc-His-tag®, whole cell lysate at 1 µg

Lane 4:

HEK-293T transfected with human IDS expression vector containing a myc-His-tag®, whole cell lysate at 1 µg

Lane 5:

HEK-293T transfected with human NF2 S518A expression vector containing a myc-His-tag®, whole cell lysate at 1 µg

Lane 6:

HEK-293T transfected with human Alphasynuclein expression vector containing a myc-His-tag®, whole cell lysate at 1 µg

Secondary

All lanes:

Western blot - Goat Anti-Mouse IgG Fc (HRP) preadsorbed (<a href='/en-us/products/secondary-antibodies/goat-mouse-igg-fc-hrp-preadsorbed-ab98717'>ab98717</a>) at 1/10000 dilution

Predicted band size: 49 kDa

false

Exposure time: 3s

  • Unconjugated

    Anti-Myc tag antibody [Hyper-myc] - Mouse IgG2a (Chimeric)

Key facts

Host species

Mouse

Clonality

Monoclonal

Clone number

Hyper-myc

Isotype

IgG2a

Carrier free

Yes

Applications

Flow Cyt (Intra), WB, I-ELISA, ICC/IF, IP

applications

Immunogen

The exact immunogen used to generate this antibody is proprietary information.

Reactivity data

{ "title": "Reactivity Data", "filters": { "stats": ["", "Species", "Dilution Info", "Notes"], "tabs": { "all-applications": {"fullname" : "All Applications", "shortname": "All Applications"}, "ICCIF" : {"fullname" : "Immunocytochemistry/ Immunofluorescence", "shortname":"ICC/IF"}, "IP" : {"fullname" : "Immunoprecipitation", "shortname":"IP"}, "IELISA" : {"fullname" : "Indirect ELISA", "shortname":"I-ELISA"}, "WB" : {"fullname" : "Western blot", "shortname":"WB"}, "FlowCytIntra" : {"fullname" : "Flow Cytometry (Intracellular)", "shortname":"Flow Cyt (Intra)"} }, "product-promise": { "all": "all", "testedAndGuaranteed": "tested", "guaranteed": "expected", "predicted": "predicted", "notRecommended": "not-recommended" } }, "values": { "Tag": { "ICCIF-species-checked": "testedAndGuaranteed", "ICCIF-species-dilution-info": "", "ICCIF-species-notes": "<p></p>", "IP-species-checked": "testedAndGuaranteed", "IP-species-dilution-info": "", "IP-species-notes": "<p></p>", "IELISA-species-checked": "testedAndGuaranteed", "IELISA-species-dilution-info": "", "IELISA-species-notes": "<p></p>", "WB-species-checked": "testedAndGuaranteed", "WB-species-dilution-info": "", "WB-species-notes": "<p></p>", "FlowCytIntra-species-checked": "testedAndGuaranteed", "FlowCytIntra-species-dilution-info": "", "FlowCytIntra-species-notes": "<p></p>" } } }

Product details

This mouse monoclonal chimeric antibody (ab290005) is the carrier-free version of ab289980.

What are the advantages of a recombinant monoclonal antibody?
This product is a recombinant monoclonal antibody, which offers several advantages including:

  • - High batch-to-batch consistency and reproducibility
  • - Improved sensitivity and specificity
  • - Long-term security of supply
  • - Animal-free batch production

For more information, read more on recombinant antibodies.

Conjugation ready
Our carrier-free antibodies are typically supplied in a PBS-only formulation, purified and free of BSA, sodium azide and glycerol. This conjugation-ready format is designed for use with fluorochromes, metal isotopes, oligonucleotides, and enzymes, which makes them ideal for antibody labelling, functional and cell-based assays, flow-based assays (e.g. mass cytometry) and Multiplex Imaging applications.

Use our conjugation kits for antibody conjugates that are ready-to-use in as little as 20 minutes with 1 minute hands-on-time and 100% antibody recovery: available for fluorescent dyes, HRP, biotin and gold.

Properties and storage information

Form
Liquid
Purification technique
Affinity purification Protein A
Storage buffer
pH: 7.2 - 7.4 Constituents: PBS
Shipped at conditions
Blue Ice
Appropriate short-term storage conditions
+4°C
Appropriate long-term storage conditions
+4°C
Storage information
Do Not Freeze

Product protocols

For this product, it's our understanding that no specific protocols are required. You can visit:

Target data

Transcription factor that binds DNA in a non-specific manner, yet also specifically recognizes the core sequence 5'-CAC[GA]TG-3' (PubMed : 24940000, PubMed : 25956029). Activates the transcription of growth-related genes (PubMed : 24940000, PubMed : 25956029). Binds to the VEGFA promoter, promoting VEGFA production and subsequent sprouting angiogenesis (PubMed : 24940000, PubMed : 25956029). Regulator of somatic reprogramming, controls self-renewal of embryonic stem cells (By similarity). Functions with TAF6L to activate target gene expression through RNA polymerase II pause release (By similarity). Positively regulates transcription of HNRNPA1, HNRNPA2 and PTBP1 which in turn regulate splicing of pyruvate kinase PKM by binding repressively to sequences flanking PKM exon 9, inhibiting exon 9 inclusion and resulting in exon 10 inclusion and production of the PKM M2 isoform (PubMed : 20010808).
See full target information MYC

Product promise

We are committed to supporting your work with high-quality reagents, and we're here for you every step of the way. In the unlikely event that one of our products does not perform as expected, you're protected by our Product Promise.
For full details, please see our Terms & Conditions

Please note: All products are 'FOR RESEARCH USE ONLY. NOT FOR USE IN DIAGNOSTIC OR THERAPEUTIC PROCEDURES'.

For licensing inquiries, please contact partnerships@abcam.com