JavaScript is disabled in your browser. Please enable JavaScript to view this website.
AB312329

Anti-Mycobacterium tuberculosis Ag85B antibody [EPR28401-54] - BSA and Azide free

Be the first to review this product! Submit a review

|

(0 Publication)

Rabbit Recombinant Monoclonal A85B antibody. Carrier free. Suitable for WB, IHC-P, ICC/IF, Flow Cyt (Intra), IP, I-ELISA and reacts with Transfected cell lysate - Human, Transfected cell line, Recombinant fragment samples.

View Alternative Names

Rv1886c, MTCY180.32, fbpB, Diacylglycerol acyltransferase/mycolyltransferase Ag85B, DGAT, 30 kDa extracellular protein, Acyl-CoA:diacylglycerol acyltransferase, Antigen 85 complex B, Extracellular alpha-antigen, Fibronectin-binding protein B, 85B, Ag85B, Fbps B

11 Images
Flow Cytometry (Intracellular) - Anti-Mycobacterium tuberculosis Ag85B antibody [EPR28401-54] - BSA and Azide free (AB312329)
  • Flow Cyt (Intra)

Supplier Data

Flow Cytometry (Intracellular) - Anti-Mycobacterium tuberculosis Ag85B antibody [EPR28401-54] - BSA and Azide free (AB312329)

This data was developed using ab312328, the same antibody clone in a different buffer formulation. Flow cytometric analysis of 4% paraformaldehyde fixed 90% methanol permeabilized 293T cells (human embryonic kidney epithelial cell) transfected with a fbpA expression vector containing a myc tag cells labelling Mycobacterium tuberculosis Ag85B with ab312328 at 1/500 dilution (0.1 ug)/Right (Red) compared with a Rabbit monoclonal IgG (ab172730) / Left isotype control and an unlabelled control (cells without incubation with primary antibody and secondary antibody) (Blue). A Goat Anti-Rabbit IgG (Alexa Fluor® 488, ab150081) at 1/5000 dilution was used as the secondary antibody.

Immunocytochemistry/ Immunofluorescence - Anti-Mycobacterium tuberculosis Ag85B antibody [EPR28401-54] - BSA and Azide free (AB312329)
  • ICC/IF

Supplier Data

Immunocytochemistry/ Immunofluorescence - Anti-Mycobacterium tuberculosis Ag85B antibody [EPR28401-54] - BSA and Azide free (AB312329)

This data was developed using ab312328, the same antibody clone in a different buffer formulation. Immunofluorescent analysis of 4% Paraformaldehyde-fixed, 0.1% TritonX-100 permeabilized 293T (human embryonic kidney epithelial cell) cells labelling Mycobacterium tuberculosis Ag85B with ab312328 at 1/100 (10.01 ug/ml) dilution, followed by ab150081 Goat Anti-Rabbit IgG H&L (Alexa Fluor® 488) preadsorbed antibody at 1/1000 (2 ug/ml) dilution (Green). Confocal image showing positive staining in 293T cells transfected with a fbpB expression vector containing a myc tag, and no staining in 293T cells transfected with a fbpA or fbpC expression vector containing a myc tag. Image was taken with a confocal microscope(Leica-Microsystems, TCS SP8). ab223895 Anti-Myc tag Mouse monoclonal antibody (Alexa Fluor® 647) was used to counterstain tubulin at 1/200 (2.5 ug/ml) dilution (Red). The Nuclear counterstain was DAPI (Blue). Secondary antibody only control : Secondary antibody is ab150081 Goat Anti-Rabbit IgG H&L (Alexa Fluor® 488) preadsorbed at 1/1000 (2 ug/ml) dilution.

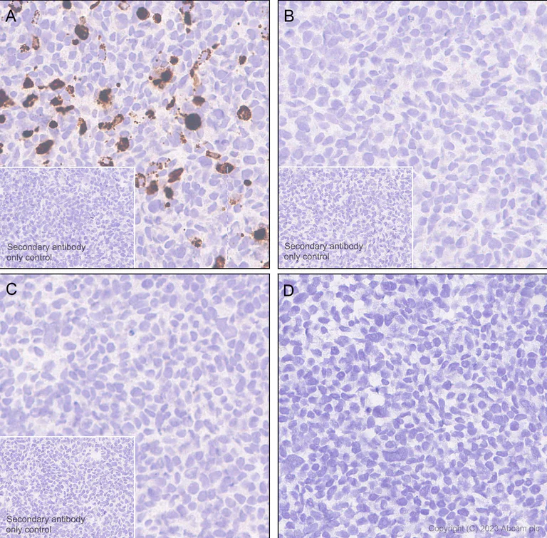
Immunohistochemistry (Formalin/PFA-fixed paraffin-embedded sections) - Anti-Mycobacterium tuberculosis Ag85B antibody [EPR28401-54] - BSA and Azide free (AB312329)
  • IHC-P

Supplier Data

Immunohistochemistry (Formalin/PFA-fixed paraffin-embedded sections) - Anti-Mycobacterium tuberculosis Ag85B antibody [EPR28401-54] - BSA and Azide free (AB312329)

This data was developed using ab312328, the same antibody clone in a different buffer formulation. Immunohistochemical analysis of paraffin-embedded (A) HEK-293T (human tissue labeling Mycobacterium tuberculosis Ag85B with ab312328 at 1/100 (5.01 ug/ml) followed by a ready to use LeicaDS9800 (Bond™ Polymer Refine Detection). Positive staining on (A) HEK-293T cells transfected with a fbpB expression vector containing a his tag. No staining on (B) HEK-293T cells transfected with a fbpA expression vector containing a his tag, (C) HEK-293T cells transfected with a fbpC expression vector containing a his tag and (D) HEK-293T cells transfected with empty vector containing a his tag. The section was incubated with ab312328 for 30 mins at room temperature. The immunostaining was performed on a Leica Biosystems BOND® RX instrument. Counterstained with Hematoxylin. Secondary antibody only control : Secondary antibody is a ready to use LeicaDS9800 (Bond™ Polymer Refine Detection). Heat mediated antigen retrieval was performed with Tris-EDTA buffer (pH 9.0, Epitope Retrieval Solution2) for 20 mins.

Flow Cytometry (Intracellular) - Anti-Mycobacterium tuberculosis Ag85B antibody [EPR28401-54] - BSA and Azide free (AB312329)
  • Flow Cyt (Intra)

Supplier Data

Flow Cytometry (Intracellular) - Anti-Mycobacterium tuberculosis Ag85B antibody [EPR28401-54] - BSA and Azide free (AB312329)

This data was developed using ab312328, the same antibody clone in a different buffer formulation. Flow cytometric analysis of 4% paraformaldehyde fixed 90% methanol permeabilized 293T cells (human embryonic kidney epithelial cell) transfected with a fbpC expression vector containing a myc tag cells labelling Mycobacterium tuberculosis Ag85B with ab312328 at 1/500 dilution (0.1 ug)/Right (Red) compared with a Rabbit monoclonal IgG (ab172730) / Left isotype control and an unlabelled control (cells without incubation with primary antibody and secondary antibody) (Blue). A Goat Anti-Rabbit IgG (Alexa Fluor® 488, ab150081) at 1/5000 dilution was used as the secondary antibody.

Flow Cytometry (Intracellular) - Anti-Mycobacterium tuberculosis Ag85B antibody [EPR28401-54] - BSA and Azide free (AB312329)
  • Flow Cyt (Intra)

Supplier Data

Flow Cytometry (Intracellular) - Anti-Mycobacterium tuberculosis Ag85B antibody [EPR28401-54] - BSA and Azide free (AB312329)

This data was developed using ab312328, the same antibody clone in a different buffer formulation. Flow cytometric analysis of 4% paraformaldehyde fixed 90% methanol permeabilized Isotype (Left) / 293T cells (human embryonic kidney epithelial cell) transfected with a fbpB expression vector containing a myc tag (Middle) / 293T cells transfected with an empty expression vector containing a myc tag (Right) cells labelling Mycobacterium tuberculosis Ag85B with ab312328 at 1/500 dilution (0.1 ug)/Right (Red) compared with a Rabbit monoclonal IgG (ab172730) / Left isotype control and an unlabelled control (cells without incubation with primary antibody and secondary antibody) (Blue). A Goat Anti-Rabbit IgG (Alexa Fluor® 488, ab150081) at 1/5000 dilution was used as the secondary antibody.

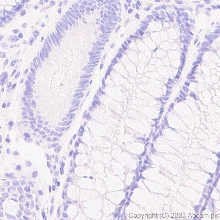
Immunohistochemistry (Formalin/PFA-fixed paraffin-embedded sections) - Anti-Mycobacterium tuberculosis Ag85B antibody [EPR28401-54] - BSA and Azide free (AB312329)
  • IHC-P

Supplier Data

Immunohistochemistry (Formalin/PFA-fixed paraffin-embedded sections) - Anti-Mycobacterium tuberculosis Ag85B antibody [EPR28401-54] - BSA and Azide free (AB312329)

This data was developed using ab312328, the same antibody clone in a different buffer formulation. Immunohistochemical analysis of paraffin-embedded Human colon tissue labeling Mycobacterium tuberculosis Ag85B with ab312328 at 1/100 (5.01 ug/ml) followed by a ready to use LeicaDS9800 (Bond™ Polymer Refine Detection). Negative control : No staining on human colon. The section was incubated with ab312328 for 30 mins at room temperature. The immunostaining was performed on a Leica Biosystems BOND® RX instrument. Counterstained with Hematoxylin. Secondary antibody only control : Secondary antibody is a ready to use LeicaDS9800 (Bond™ Polymer Refine Detection). Heat mediated antigen retrieval was performed with Tris-EDTA buffer (pH 9.0, Epitope Retrieval Solution2) for 20 mins.

Immunoprecipitation - Anti-Mycobacterium tuberculosis Ag85B antibody [EPR28401-54] - BSA and Azide free (AB312329)
  • IP

Supplier Data

Immunoprecipitation - Anti-Mycobacterium tuberculosis Ag85B antibody [EPR28401-54] - BSA and Azide free (AB312329)

This data was developed using ab312328, the same antibody clone in a different buffer formulation.

Mycobacterium tuberculosis Ag85B was immunoprecipitated from 0.35 mg HEK-293T cells (human embryonic kidney epithelial cell) transfected with Human fbpB expression vector containing a his tag whole cell lysate with ab312328 at 1/30 dilution (2ug in 0.35mg lysates). Western blot was performed on the immunoprecipitate using ab312328 at 1/1000 dilution. VeriBlot for IP secondary antibody (HRP) (ab131366) was used at 1/5000 dilution.

Lane 1 : HEK-293T cells (human embryonic kidney epithelial cell) transfected with Human fbpB expression vector containing a his tag whole cell lysate
Lane 2 : HEK-293T cells (human embryonic kidney epithelial cell) transfected with Human fbpB expression vector containing a his tag whole cell lysate
Lane 3 : Rabbit monoclonal IgG (ab172730) instead of ab312328 in HEK-293T cells transfected with Human fbpB expression vector containing a his tag whole cell lysate

Blocking and dilution buffer and concentration : 5% NFDM/TBST.

Exposure time : 180 seconds

All lanes:

Immunoprecipitation - Anti-Mycobacterium tuberculosis Ag85B antibody [EPR28401-54] (<a href='/en-us/products/primary-antibodies/mycobacterium-tuberculosis-ag85b-antibody-epr28401-54-ab312328'>ab312328</a>) at 1/1000 dilution

All lanes:

HEK-293T cells (human embryonic kidney epithelial cell) transfected with Human fbpB expression vector containing a his tag whole cell lysate at 10 µg

Secondary

All lanes:

Immunoprecipitation - VeriBlot for IP Detection Reagent (HRP) (<a href='/en-us/products/reagents/veriblot-for-ip-detection-reagent-hrp-ab131366'>ab131366</a>) at 1/5000 dilution

false

Exposure time: 180s

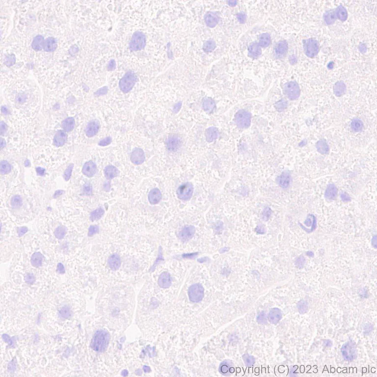
Immunohistochemistry (Formalin/PFA-fixed paraffin-embedded sections) - Anti-Mycobacterium tuberculosis Ag85B antibody [EPR28401-54] - BSA and Azide free (AB312329)
  • IHC-P

Supplier Data

Immunohistochemistry (Formalin/PFA-fixed paraffin-embedded sections) - Anti-Mycobacterium tuberculosis Ag85B antibody [EPR28401-54] - BSA and Azide free (AB312329)

This data was developed using ab312328, the same antibody clone in a different buffer formulation. Immunohistochemical analysis of paraffin-embedded Rat liver tissue labeling Mycobacterium tuberculosis Ag85B with ab312328 at 1/100 (5.01 ug/ml) followed by a ready to use LeicaDS9800 (Bond™ Polymer Refine Detection). Negative control : No staining on rat liver. The section was incubated with ab312328 for 30 mins at room temperature. The immunostaining was performed on a Leica Biosystems BOND® RX instrument. Counterstained with Hematoxylin. Secondary antibody only control : Secondary antibody is a ready to use LeicaDS9800 (Bond™ Polymer Refine Detection). Heat mediated antigen retrieval was performed with Tris-EDTA buffer (pH 9.0, Epitope Retrieval Solution2) for 20 mins.

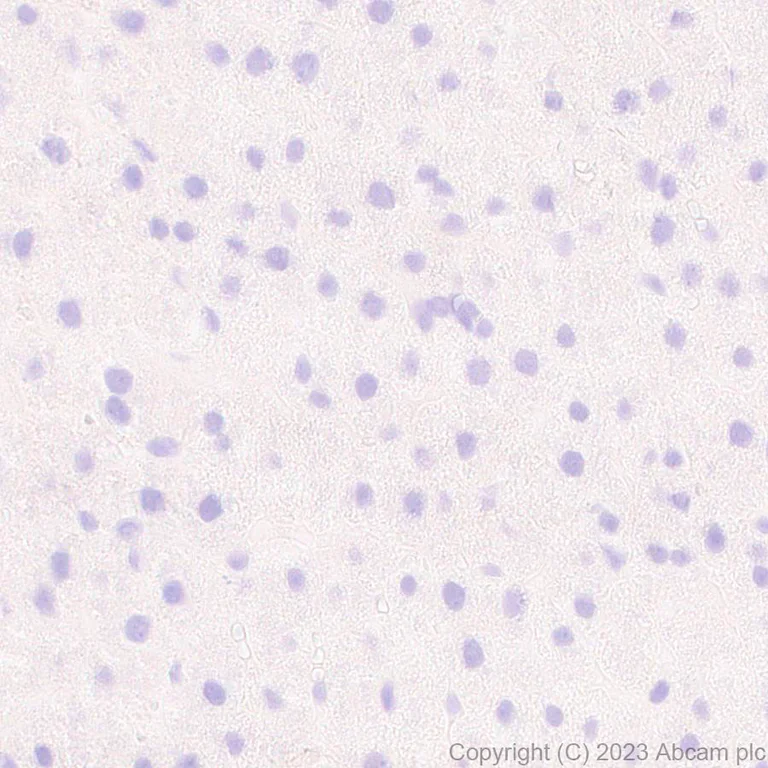
Immunohistochemistry (Formalin/PFA-fixed paraffin-embedded sections) - Anti-Mycobacterium tuberculosis Ag85B antibody [EPR28401-54] - BSA and Azide free (AB312329)
  • IHC-P

Supplier Data

Immunohistochemistry (Formalin/PFA-fixed paraffin-embedded sections) - Anti-Mycobacterium tuberculosis Ag85B antibody [EPR28401-54] - BSA and Azide free (AB312329)

This data was developed using ab312328, the same antibody clone in a different buffer formulation. Immunohistochemical analysis of paraffin-embedded Mouse liver tissue labeling Mycobacterium tuberculosis Ag85B with ab312328 at 1/100 (5.01 ug/ml) followed by a ready to use LeicaDS9800 (Bond™ Polymer Refine Detection). Negative control : No staining on mouse liver. The section was incubated with ab312328 for 30 mins at room temperature. The immunostaining was performed on a Leica Biosystems BOND® RX instrument. Counterstained with Hematoxylin. Secondary antibody only control : Secondary antibody is a ready to use LeicaDS9800 (Bond™ Polymer Refine Detection). Heat mediated antigen retrieval was performed with Tris-EDTA buffer (pH 9.0, Epitope Retrieval Solution2) for 20 mins.

Indirect ELISA - Anti-Mycobacterium tuberculosis Ag85B antibody [EPR28401-54] - BSA and Azide free (AB312329)
  • I-ELISA

Supplier Data

Indirect ELISA - Anti-Mycobacterium tuberculosis Ag85B antibody [EPR28401-54] - BSA and Azide free (AB312329)

This data was developed using ab312328, the same antibody clone in a different buffer formulation.

Indirect ELISA analysis of ab312328 at 1000-0 ng/ml. The Secondary antibody used was Alkaline Phosphatase-conjugated AffiniPure Goat Anti-Rabbit IgG (H+L) at 1 : 2500 dilution.

Antigen : Mycobacterium tuberculosis Ag85B.

Antigen concentration : 1000 ng/ml

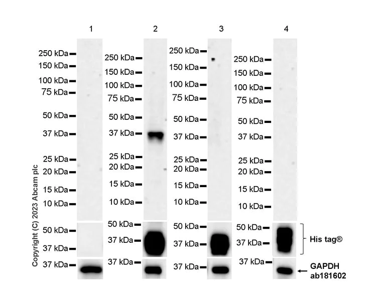
Western blot - Anti-Mycobacterium tuberculosis Ag85B antibody [EPR28401-54] - BSA and Azide free (AB312329)
  • WB

Supplier Data

Western blot - Anti-Mycobacterium tuberculosis Ag85B antibody [EPR28401-54] - BSA and Azide free (AB312329)

This data was developed using ab312328, the same antibody clone in a different buffer formulation.

Blocking and diluting buffer and concentration : 5% NFDM/TBST.

This antibody does not cross-react with human fbpA and fbpC.

This blot was developed using a high sensitivity ECL substrate. The high-sensitivity ECL substrate used allows for the detection of proteins in the mid-femtogram range.

All lanes:

Western blot - Anti-Mycobacterium tuberculosis Ag85B antibody [EPR28401-54] (<a href='/en-us/products/primary-antibodies/mycobacterium-tuberculosis-ag85b-antibody-epr28401-54-ab312328'>ab312328</a>) at 1/1000 dilution

Lane 1:

293T cells transfected with an empty vector containi a His-tag whole cell lysate at 20 µg

Lane 2:

293T cells transfected with a human fbpB expression vector containi a His-tag whole cell lysate at 20 µg

Lane 3:

293T cells transfected with a human fbpA expression vector containi a His-tag whole cell lysate at 20 µg

Lane 4:

293T cells transfected with a human fbpC expression vector containi a His-tag whole cell lysate at 20 µg

Secondary

All lanes:

Western blot - Goat Anti-Rabbit IgG H&L (HRP) (<a href='/en-us/products/secondary-antibodies/goat-rabbit-igg-h-l-hrp-ab97051'>ab97051</a>) at 1/100000 dilution

Observed band size: 37 kDa

true

Exposure time: 180s

  • Unconjugated

    Anti-Mycobacterium tuberculosis Ag85B antibody [EPR28401-54]

Key facts

Host species

Rabbit

Clonality

Monoclonal

Clone number

EPR28401-54

Isotype

IgG

Carrier free

Yes

Reacts with

Mycobacterium tuberculosis

Applications

IP, WB, Flow Cyt (Intra), I-ELISA, ICC/IF, IHC-P

applications

Immunogen

The exact immunogen used to generate this antibody is proprietary information.

Reactivity data

{ "title": "Reactivity Data", "filters": { "stats": ["", "Species", "Dilution Info", "Notes"], "tabs": { "all-applications": {"fullname" : "All Applications", "shortname": "All Applications"}, "WB" : {"fullname" : "Western blot", "shortname":"WB"}, "IHCP" : {"fullname" : "Immunohistochemistry (Formalin/PFA-fixed paraffin-embedded sections)", "shortname":"IHC-P"}, "ICCIF" : {"fullname" : "Immunocytochemistry/ Immunofluorescence", "shortname":"ICC/IF"}, "FlowCytIntra" : {"fullname" : "Flow Cytometry (Intracellular)", "shortname":"Flow Cyt (Intra)"}, "IP" : {"fullname" : "Immunoprecipitation", "shortname":"IP"}, "IELISA" : {"fullname" : "Indirect ELISA", "shortname":"I-ELISA"} }, "product-promise": { "all": "all", "testedAndGuaranteed": "tested", "guaranteed": "expected", "predicted": "predicted", "notRecommended": "not-recommended" } }, "values": { "Mycobacterium tuberculosis": { "WB-species-checked": "predicted", "WB-species-dilution-info": "", "WB-species-notes": "", "IHCP-species-checked": "predicted", "IHCP-species-dilution-info": "", "IHCP-species-notes": "", "ICCIF-species-checked": "predicted", "ICCIF-species-dilution-info": "", "ICCIF-species-notes": "", "FlowCytIntra-species-checked": "predicted", "FlowCytIntra-species-dilution-info": "", "FlowCytIntra-species-notes": "", "IP-species-checked": "predicted", "IP-species-dilution-info": "", "IP-species-notes": "", "IELISA-species-checked": "predicted", "IELISA-species-dilution-info": "", "IELISA-species-notes": "" }, "Recombinant fragment": { "WB-species-checked": "notRecommended", "WB-species-dilution-info": "", "WB-species-notes": "", "IHCP-species-checked": "notRecommended", "IHCP-species-dilution-info": "", "IHCP-species-notes": "", "ICCIF-species-checked": "notRecommended", "ICCIF-species-dilution-info": "", "ICCIF-species-notes": "", "FlowCytIntra-species-checked": "notRecommended", "FlowCytIntra-species-dilution-info": "", "FlowCytIntra-species-notes": "", "IP-species-checked": "notRecommended", "IP-species-dilution-info": "", "IP-species-notes": "", "IELISA-species-checked": "testedAndGuaranteed", "IELISA-species-dilution-info": "", "IELISA-species-notes": "<p></p>" }, "Transfected cell line": { "WB-species-checked": "notRecommended", "WB-species-dilution-info": "", "WB-species-notes": "", "IHCP-species-checked": "testedAndGuaranteed", "IHCP-species-dilution-info": "", "IHCP-species-notes": "<p></p> Perform heat-mediated antigen retrieval with Tris/EDTA buffer pH 9.0 before commencing with IHC staining protocol.", "ICCIF-species-checked": "testedAndGuaranteed", "ICCIF-species-dilution-info": "", "ICCIF-species-notes": "<p></p>", "FlowCytIntra-species-checked": "testedAndGuaranteed", "FlowCytIntra-species-dilution-info": "", "FlowCytIntra-species-notes": "<p></p>", "IP-species-checked": "notRecommended", "IP-species-dilution-info": "", "IP-species-notes": "", "IELISA-species-checked": "notRecommended", "IELISA-species-dilution-info": "", "IELISA-species-notes": "" }, "Transfected cell lysate - Human": { "WB-species-checked": "testedAndGuaranteed", "WB-species-dilution-info": "", "WB-species-notes": "<p></p>", "IHCP-species-checked": "notRecommended", "IHCP-species-dilution-info": "", "IHCP-species-notes": "", "ICCIF-species-checked": "notRecommended", "ICCIF-species-dilution-info": "", "ICCIF-species-notes": "", "FlowCytIntra-species-checked": "notRecommended", "FlowCytIntra-species-dilution-info": "", "FlowCytIntra-species-notes": "", "IP-species-checked": "testedAndGuaranteed", "IP-species-dilution-info": "", "IP-species-notes": "<p></p>", "IELISA-species-checked": "notRecommended", "IELISA-species-dilution-info": "", "IELISA-species-notes": "" } } }

Product details

Patented technology
Our RabMAb® technology is a patented hybridoma-based technology for making rabbit monoclonal antibodies. For details on our patents, please refer to RabMAb® patents.

What are the advantages of a recombinant monoclonal antibody?
This product is a recombinant monoclonal antibody, which offers several advantages including:

  • - High batch-to-batch consistency and reproducibility
  • - Improved sensitivity and specificity
  • - Long-term security of supply
  • - Animal-free batch production

For more information, read more on recombinant antibodies.

Conjugation ready
Our carrier-free antibodies are typically supplied in a PBS-only formulation, purified and free of BSA, sodium azide and glycerol. This conjugation-ready format is designed for use with fluorochromes, metal isotopes, oligonucleotides, and enzymes, which makes them ideal for antibody labelling, functional and cell-based assays, flow-based assays (e.g. mass cytometry) and Multiplex Imaging applications.

Use our conjugation kits for antibody conjugates that are ready-to-use in as little as 20 minutes with 1 minute hands-on-time and 100% antibody recovery: available for fluorescent dyes, HRP, biotin and gold.

Compatibility
This product is compatible with the Maxpar® Antibody Labeling Kit from Fluidigm, without the need for antibody preparation. Maxpar® is a trademark of Fluidigm Canada Inc.

Properties and storage information

Form
Liquid
Purification technique
Affinity purification Protein A
Storage buffer
pH: 7.2 - 7.4 Constituents: PBS
Shipped at conditions
Blue Ice
Appropriate short-term storage conditions
+4°C
Appropriate long-term storage conditions
+4°C

Supplementary information

This supplementary information is collated from multiple sources and compiled automatically.

The Mycobacterium tuberculosis Ag85B protein also known as Antigen 85B or FBPA is a component of the Ag85 complex. This protein has a molecular mass of approximately 31 kDa. The Ag85B protein plays an important mechanical role by catalyzing the formation of the cord factor a major glycolipid in the cell wall of Mycobacterium tuberculosis. It is expressed in the mycobacterium's cell wall contributing to the virulence of this pathogen by promoting the invasion and survival within the host.
Biological function summary

The Ag85B protein serves in the assembly and maintenance of the mycobacterial cell wall by synthesizing mycolate. It is a part of the Ag85 complex which includes Ag85A Ag85B and Ag85C ensuring accurate synthesis and export of essential components of the cell wall. Through its actions Ag85B is involved in interacting with the host immune system and is a target for vaccine development due to its immunogenic properties. Its presence is detected during histological examinations of infected tissues where it shows the interaction with host cells.

Pathways

The Ag85B protein functions within the mycolic acid biosynthesis pathway essential for maintaining the structure of the mycobacterial cell envelope. This protein interacts with Ag85A and Ag85C to orchestrate complex lipid synthesis required for Mycobacterium tuberculosis' survival. Ag85B's role in lipid metabolism makes it important in the pathogen's adaptation to the host environment by altering the cell wall to evade immune detection.

Ag85B is highly relevant to respiratory diseases like tuberculosis. This protein plays a role in the pathogen's ability to resist destruction by the host's immune system contributing to the chronic nature of tuberculosis. Additionally Ag85B has been investigated in the context of its potential utility in vaccines and diagnostic tests for Mycobacterium tuberculosis infections. Its interactions with other proteins in the Ag85 complex make it a focus of research for developing therapeutics to treat and manage tuberculosis.

Product protocols

For this product, it's our understanding that no specific protocols are required. You can visit:

Target data

The antigen 85 proteins (FbpA, FbpB, FbpC) are responsible for the high affinity of mycobacteria for fibronectin, a large adhesive glycoprotein, which facilitates the attachment of M.tuberculosis to murine alveolar macrophages (AMs). They also help to maintain the integrity of the cell wall by catalyzing the transfer of mycolic acids to cell wall arabinogalactan and through the synthesis of alpha,alpha-trehalose dimycolate (TDM, cord factor). They catalyze the transfer of a mycoloyl residue from one molecule of alpha,alpha-trehalose monomycolate (TMM) to another TMM, leading to the formation of TDM.
See full target information fbpB

Product promise

We are committed to supporting your work with high-quality reagents, and we're here for you every step of the way. In the unlikely event that one of our products does not perform as expected, you're protected by our Product Promise.
For full details, please see our Terms & Conditions

Please note: All products are 'FOR RESEARCH USE ONLY. NOT FOR USE IN DIAGNOSTIC OR THERAPEUTIC PROCEDURES'.

For licensing inquiries, please contact partnerships@abcam.com