JavaScript is disabled in your browser. Please enable JavaScript to view this website.
AB277483

Anti-Myelin Basic Protein antibody [12] - BSA and Azide free

Be the first to review this product! Submit a review

|

(0 Publication)

Rat Recombinant Monoclonal Myelin Basic Protein antibody. Carrier free. Suitable for WB, IHC-P, ICC/IF and reacts with Mouse, Rat, Human samples.

View Alternative Names

Myelin basic protein, MBP, Myelin A1 protein, Myelin membrane encephalitogenic protein

5 Images
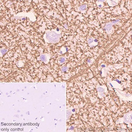
Immunohistochemistry (Formalin/PFA-fixed paraffin-embedded sections) - Anti-Myelin Basic Protein antibody [12] - BSA and Azide free (AB277483)
  • IHC-P

Supplier Data

Immunohistochemistry (Formalin/PFA-fixed paraffin-embedded sections) - Anti-Myelin Basic Protein antibody [12] - BSA and Azide free (AB277483)

Immunohistochemical analysis of paraffin-embedded Human cerebrum labeling Myelin Basic Protein with ab7349 at 1/4000 dilution (0.259 μg/ml) followed by a ready to use Goat Anti-Rat IgG H&L (HRP polymer; ab214882). The section was incubated with ab7349 for 30 mins at room temperature. The immunostaining was performed on a Leica Biosystems BOND® RX instrument. Counterstained with Hematoxylin.

Heat mediated antigen retrieval with Citrate buffer (pH 6.0, epitope retrieval solution 1) for 20 mins.

Immunohistochemistry (Formalin/PFA-fixed paraffin-embedded sections) - Anti-Myelin Basic Protein antibody [12] - BSA and Azide free (AB277483)
  • IHC-P

Supplier Data

Immunohistochemistry (Formalin/PFA-fixed paraffin-embedded sections) - Anti-Myelin Basic Protein antibody [12] - BSA and Azide free (AB277483)

Immunohistochemical analysis of paraffin-embedded Human cerebrum labeling Myelin Basic Protein with ab7349 at 1/4000 dilution (0.259 μg/ml) followed by a ready to use Goat Anti-Rat IgG H&L (HRP polymer; ab214882). The section was incubated with ab7349 for 30 mins at room temperature. The immunostaining was performed on a Leica Biosystems BOND® RX instrument. Counterstained with DAPI.

Heat mediated antigen retrieval with Citrate buffer (pH 6.0, epitope retrieval solution 1) for 20 mins.

Immunocytochemistry/ Immunofluorescence - Anti-Myelin Basic Protein antibody [12] - BSA and Azide free (AB277483)
  • ICC/IF

Supplier Data

Immunocytochemistry/ Immunofluorescence - Anti-Myelin Basic Protein antibody [12] - BSA and Azide free (AB277483)

Immunofluorescent analysis of 4% paraformaldehyde-fixed, 0.1% Triton X-100 permeabilized mouse primary neural/glia cells labelling Myelin Basic Protein with ab7349 at a 1/200 dilution, followed by Goat anti-Rat (Alexa Fluor® 488) (ab150157) secondary antibody at a 1/1000 dilution. Confocal image showing positive staining in mouse primary oligodendroglia cells (shown in green). Nuclear DNA was labeled with DAPI (shown in blue).

Counterstained with Anti-MAP2 antibody (ab183830) at a 1/1000 dilution, followed by Goat Anti-Rabbit secondary (Alexa Fluor® 594) (ab150080) at a 1/1000 dilution (shown in magenta).

Confocal scanning Z step was set as 0.3 μm followed by image processing with maximum Z projection. Image was taken with a confocal microscope (Leica-Microsystems, TCS SP8).

The negative controls are as follows :

-ve control 1 : Myelin Basic Protein (ab7349) at a 1/200 dilution, followed by Goat anti-Rabbit (Alexa Fluor® 594) (ab150080) at a 1/1000 dilution.

-ve control 2 : Anti-MAP2 (ab183830) at a 1/1000 dilution, followed by Goat anti-Rat (Alexa Fluor® 488) (ab150157) at a 1/1000 dilution.

This data was developed using the same antibody clone in a different buffer formulation containing PBS, BSA, glycerol, and sodium azide (ab7349).

Western blot - Anti-Myelin Basic Protein antibody [12] - BSA and Azide free (AB277483)
  • WB

Supplier Data

Western blot - Anti-Myelin Basic Protein antibody [12] - BSA and Azide free (AB277483)

This data was developed using ab7349, the same antibody clone in a different buffer formulation.

The molecular weight observed was in consistency with the literature (PMID : 9299539).

Blocking buffer : 5% NFDM/TBST.

All lanes:

Western blot - Anti-Myelin Basic Protein antibody [12] - BSA and Azide free (ab277483) at 1/5000 dilution

All lanes:

Human cerebellum tissue lysate at 10 µg

Secondary

All lanes:

Western blot - Goat Anti-Rat IgG H&L (HRP) (<a href='/en-us/products/secondary-antibodies/goat-rat-igg-h-l-hrp-ab205720'>ab205720</a>) at 1/10000 dilution

Predicted band size: 33 kDa

Observed band size: 18.5 kDa

true

Exposure time: 1s

Western blot - Anti-Myelin Basic Protein antibody [12] - BSA and Azide free (AB277483)
  • WB

Supplier Data

Western blot - Anti-Myelin Basic Protein antibody [12] - BSA and Azide free (AB277483)

This data was developed using the ab7349, the same antibody clone in a different buffer formulation.

The molecular weight observed was in consistency with the literature (PMID : 9299539).

Blocking buffer : 5% NFDM/TBST.

Exposure time : Lane 1 : 3 seconds; Lane 2 : 1 second.

All lanes:

Western blot - Anti-Myelin Basic Protein antibody [12] - BSA and Azide free (ab277483) at 1/5000 dilution

Lane 1:

Mouse brain tissue lysate at 10 µg

Lane 2:

Rat brain tissue lysate at 10 µg

Secondary

All lanes:

Western blot - Goat Anti-Rat IgG H&L (HRP) (<a href='/en-us/products/secondary-antibodies/goat-rat-igg-h-l-hrp-ab205720'>ab205720</a>) at 1/10000 dilution

Predicted band size: 33 kDa

Observed band size: 14-21.5 kDa

false

  • Unconjugated

    Anti-Myelin Basic Protein antibody [12] - Oligodendrocyte Marker

Key facts

Host species

Rat

Clonality

Monoclonal

Clone number

12

Isotype

IgG2a

Carrier free

Yes

Reacts with

Mouse, Rat, Human

Applications

IHC-P, ICC/IF, WB

applications

Immunogen

The exact immunogen used to generate this antibody is proprietary information.

Epitope

Amino acids 82-87 (DENPVV).

Reactivity data

{ "title": "Reactivity Data", "filters": { "stats": ["", "Species", "Dilution Info", "Notes"], "tabs": { "all-applications": {"fullname" : "All Applications", "shortname": "All Applications"}, "WB" : {"fullname" : "Western blot", "shortname":"WB"}, "IHCP" : {"fullname" : "Immunohistochemistry (Formalin/PFA-fixed paraffin-embedded sections)", "shortname":"IHC-P"}, "ICCIF" : {"fullname" : "Immunocytochemistry/ Immunofluorescence", "shortname":"ICC/IF"} }, "product-promise": { "all": "all", "testedAndGuaranteed": "tested", "guaranteed": "expected", "predicted": "predicted", "notRecommended": "not-recommended" } }, "values": { "Human": { "WB-species-checked": "testedAndGuaranteed", "WB-species-dilution-info": "", "WB-species-notes": "<p></p>", "IHCP-species-checked": "testedAndGuaranteed", "IHCP-species-dilution-info": "", "IHCP-species-notes": "<p></p>", "ICCIF-species-checked": "guaranteed", "ICCIF-species-dilution-info": "", "ICCIF-species-notes": "" }, "Mouse": { "WB-species-checked": "testedAndGuaranteed", "WB-species-dilution-info": "", "WB-species-notes": "<p></p>", "IHCP-species-checked": "notRecommended", "IHCP-species-dilution-info": "", "IHCP-species-notes": "<p></p>", "ICCIF-species-checked": "testedAndGuaranteed", "ICCIF-species-dilution-info": "", "ICCIF-species-notes": "<p></p>" }, "Rat": { "WB-species-checked": "testedAndGuaranteed", "WB-species-dilution-info": "", "WB-species-notes": "<p></p>", "IHCP-species-checked": "notRecommended", "IHCP-species-dilution-info": "", "IHCP-species-notes": "<p></p>", "ICCIF-species-checked": "guaranteed", "ICCIF-species-dilution-info": "", "ICCIF-species-notes": "" } } }

Product details

ab277483 is the carrier-free version of ab7349.

What are the advantages of a recombinant monoclonal antibody?
This product is a recombinant monoclonal antibody, which offers several advantages including:

  • - High batch-to-batch consistency and reproducibility
  • - Improved sensitivity and specificity
  • - Long-term security of supply
  • - Animal-free batch production

For more information, read more on recombinant antibodies.

Conjugation ready
Our carrier-free antibodies are typically supplied in a PBS-only formulation, purified and free of BSA, sodium azide and glycerol. This conjugation-ready format is designed for use with fluorochromes, metal isotopes, oligonucleotides, and enzymes, which makes them ideal for antibody labelling, functional and cell-based assays, flow-based assays (e.g. mass cytometry) and Multiplex Imaging applications.

Use our conjugation kits for antibody conjugates that are ready-to-use in as little as 20 minutes with 1 minute hands-on-time and 100% antibody recovery: available for fluorescent dyes, HRP, biotin and gold.

Compatibility
This product is compatible with the Maxpar® Antibody Labeling Kit from Fluidigm, without the need for antibody preparation. Maxpar® is a trademark of Fluidigm Canada Inc.

Properties and storage information

Form
Liquid
Purification technique
Ion exchange chromatography
Storage buffer
pH: 7.2 - 7.4 Constituents: PBS
Shipped at conditions
Blue Ice
Appropriate short-term storage conditions
+4°C
Appropriate long-term storage conditions
+4°C
Storage information
Do Not Freeze

Supplementary information

This supplementary information is collated from multiple sources and compiled automatically.

The myelin basic protein also referred to as MBP or MBP protein plays an important mechanical role in the central nervous system. It is a major component in the formation and stability of the myelin sheath which wraps around nerve fibers to ensure efficient neural signaling. The molecular weight of MBP can vary due to alternative splicing; one common form has a mass of about 18.5 kDa. MBP is expressed predominantly in oligodendrocytes within the brain and spinal cord where it helps form the myelin sheath. MBP2 is another variant that may be mentioned in some contexts.
Biological function summary

MBP is not just a passive structural element; it binds and interacts with lipids and other proteins to maintain the compact structure of the myelin sheath. MBP forms part of a complex that includes various other proteins and lipids ensuring the stability and function of myelin. Misfolding or altered expression of MBP can compromise myelin integrity affecting the insulation of neural pathways and signal transmission.

Pathways

MBP is an essential component in the pathways of myelination and neural plasticity. It plays a role in the signaling pathways that stimulate the development and maintenance of the myelin sheath. The protein interacts with other elements of the myelin sheath such as proteolipid protein (PLP) and myelin-associated glycoprotein (MAG) to coordinate its formation and repair processes.

MBP is linked closely to multiple sclerosis (MS) and other demyelinating conditions. Damage to or autoimmunity against MBP leads to the degradation of the myelin sheath contributing to the neurological symptoms in MS. The protein interacts with elements of the immune system with autoantibodies targeting MBP often found in MS patients. Another disorder associated with MBP dysfunction is Charcot-Marie-Tooth disease where abnormal MBP expression and structure can impact nerve function.

Product protocols

For this product, it's our understanding that no specific protocols are required. You can visit:

Target data

The classic group of MBP isoforms (isoform 4-isoform 14) are with PLP the most abundant protein components of the myelin membrane in the CNS. They have a role in both its formation and stabilization. The smaller isoforms might have an important role in remyelination of denuded axons in multiple sclerosis. The non-classic group of MBP isoforms (isoform 1-isoform 3/Golli-MBPs) may preferentially have a role in the early developing brain long before myelination, maybe as components of transcriptional complexes, and may also be involved in signaling pathways in T-cells and neural cells. Differential splicing events combined with optional post-translational modifications give a wide spectrum of isomers, with each of them potentially having a specialized function. Induces T-cell proliferation.
See full target information MBP

Product promise

We are committed to supporting your work with high-quality reagents, and we're here for you every step of the way. In the unlikely event that one of our products does not perform as expected, you're protected by our Product Promise.
For full details, please see our Terms & Conditions

Please note: All products are 'FOR RESEARCH USE ONLY. NOT FOR USE IN DIAGNOSTIC OR THERAPEUTIC PROCEDURES'.

For licensing inquiries, please contact partnerships@abcam.com