JavaScript is disabled in your browser. Please enable JavaScript to view this website.
AB7349

Anti-Myelin Basic Protein antibody [12] - Oligodendrocyte Marker

4

(22 Reviews)

|

(430 Publications)

Anti-Myelin Basic Protein antibody [12] (ab7349) is a rat monoclonal antibody detecting Myelin Basic Protein in Western Blot, IHC-P, ICC/IF. Suitable for Human, Mouse, Rat.

- Clone 12 is the most cited clone to Myelin Basic Protein
- Biophysical QC for unrivalled batch-batch consistency
- Over 310 publications
- Trusted since 2001

View Alternative Names

Myelin basic protein, MBP, Myelin A1 protein, Myelin membrane encephalitogenic protein

5 Images
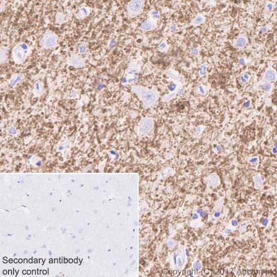
Immunohistochemistry (Formalin/PFA-fixed paraffin-embedded sections) - Anti-Myelin Basic Protein antibody [12] - Oligodendrocyte Marker (AB7349)
  • IHC-P

Supplier Data

Immunohistochemistry (Formalin/PFA-fixed paraffin-embedded sections) - Anti-Myelin Basic Protein antibody [12] - Oligodendrocyte Marker (AB7349)

Immunohistochemical analysis of paraffin-embedded Human cerebrum labeling Myelin Basic Protein with ab7349 at 1/4000 dilution (0.259 μg/ml) followed by a ready to use Goat Anti-Rat IgG H&L (HRP polymer; ab214882). The section was incubated with ab7349 for 30 mins at room temperature. The immunostaining was performed on a Leica Biosystems BOND® RX instrument. Counterstained with Hematoxylin.

Heat mediated antigen retrieval with Citrate buffer (pH 6.0, epitope retrieval solution 1) for 20 mins.

Immunocytochemistry/ Immunofluorescence - Anti-Myelin Basic Protein antibody [12] - Oligodendrocyte Marker (AB7349)
  • ICC/IF

Supplier Data

Immunocytochemistry/ Immunofluorescence - Anti-Myelin Basic Protein antibody [12] - Oligodendrocyte Marker (AB7349)

Immunofluorescent analysis of 4% paraformaldehyde-fixed, 0.1% Triton X-100 permeabilized mouse primary neural/glia cells labelling Myelin Basic Protein with ab7349 at a 1/200 dilution, followed by Goat anti-Rat (Alexa Fluor® 488) (ab150157) secondary antibody at a 1/1000 dilution. Confocal image showing positive staining in mouse primary oligodendroglia cells (shown in green). Nuclear DNA was labeled with DAPI (shown in blue).

Counterstained with Anti-MAP2 antibody (ab183830) at a 1/1000 dilution, followed by Goat Anti-Rabbit secondary (Alexa Fluor® 594) (ab150080) at a 1/1000 dilution (shown in magenta).

Confocal scanning Z step was set as 0.3 μm followed by image processing with maximum Z projection. Image was taken with a confocal microscope (Leica-Microsystems, TCS SP8).

The negative controls are as follows :

-ve control 1 : Myelin Basic Protein (ab7349) at a 1/200 dilution, followed by Goat anti-Rabbit (Alexa Fluor® 594) (ab150080) at a 1/1000 dilution.

-ve control 2 : Anti-MAP2 (ab183830) at a 1/1000 dilution, followed by Goat anti-Rat (Alexa Fluor® 488) (ab150157) at a 1/1000 dilution.

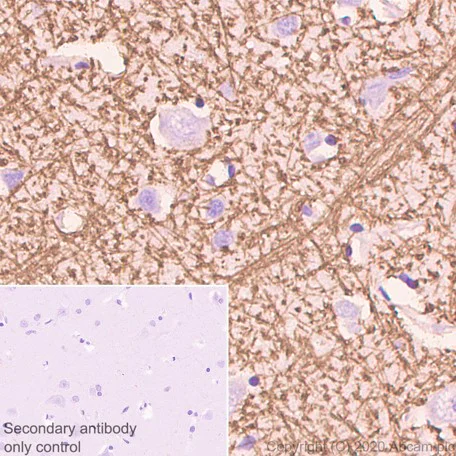
Immunohistochemistry (Formalin/PFA-fixed paraffin-embedded sections) - Anti-Myelin Basic Protein antibody [12] - Oligodendrocyte Marker (AB7349)
  • IHC-P

Supplier Data

Immunohistochemistry (Formalin/PFA-fixed paraffin-embedded sections) - Anti-Myelin Basic Protein antibody [12] - Oligodendrocyte Marker (AB7349)

Immunohistochemical analysis of paraffin-embedded Human cerebrum labeling Myelin Basic Protein with ab7349 at 1/4000 dilution (0.259 μg/ml) followed by a ready to use Goat Anti-Rat IgG H&L (HRP polymer; ab214882). The section was incubated with ab7349 for 30 mins at room temperature. The immunostaining was performed on a Leica Biosystems BOND® RX instrument. Counterstained with DAPI.

Heat mediated antigen retrieval with Citrate buffer (pH 6.0, epitope retrieval solution 1) for 20 mins.

Western blot - Anti-Myelin Basic Protein antibody [12] - Oligodendrocyte Marker (AB7349)
  • WB

Supplier Data

Western blot - Anti-Myelin Basic Protein antibody [12] - Oligodendrocyte Marker (AB7349)

The molecular weight observed was in consistency with the literature (PMID : 9299539).

Blocking buffer : 5% NFDM/TBST.

All lanes:

Western blot - Anti-Myelin Basic Protein antibody [12] - Oligodendrocyte Marker (ab7349) at 1/5000 dilution

All lanes:

Human cerebellum tissue lysate at 10 µg

Secondary

All lanes:

Western blot - Goat Anti-Rat IgG H&L (HRP) (<a href='/en-us/products/secondary-antibodies/goat-rat-igg-h-l-hrp-ab205720'>ab205720</a>) at 1/10000 dilution

Predicted band size: 33 kDa

Observed band size: 18.5 kDa

true

Exposure time: 1s

Western blot - Anti-Myelin Basic Protein antibody [12] - Oligodendrocyte Marker (AB7349)
  • WB

Supplier Data

Western blot - Anti-Myelin Basic Protein antibody [12] - Oligodendrocyte Marker (AB7349)

The molecular weight observed was in consistency with the literature (PMID : 9299539).

Blocking buffer : 5% NFDM/TBST.

Exposure time : Lane 1 : 3 seconds; Lane 2 : 1 second.

All lanes:

Western blot - Anti-Myelin Basic Protein antibody [12] - Oligodendrocyte Marker (ab7349) at 1/5000 dilution

Lane 1:

Mouse brain tissue lysate at 10 µg

Lane 2:

Rat brain tissue lysate at 10 µg

Secondary

All lanes:

Western blot - Goat Anti-Rat IgG H&L (HRP) (<a href='/en-us/products/secondary-antibodies/goat-rat-igg-h-l-hrp-ab205720'>ab205720</a>) at 1/10000 dilution

Predicted band size: 33 kDa

Observed band size: 14-21.5 kDa

false

  • Carrier free

    Anti-Myelin Basic Protein antibody [12] - BSA and Azide free

Key facts

Host species

Rat

Clonality

Monoclonal

Clone number

12

Isotype

IgG2a

Carrier free

No

Reacts with

Mouse, Rat, Human

Applications

IHC-P, WB, ICC/IF

applications

Immunogen

The exact immunogen used to generate this antibody is proprietary information.

Epitope

Amino acids 82-87 (DENPVV).

Reactivity data

{ "title": "Reactivity Data", "filters": { "stats": ["", "Species", "Dilution Info", "Notes"], "tabs": { "all-applications": {"fullname" : "All Applications", "shortname": "All Applications"}, "IHCP" : {"fullname" : "Immunohistochemistry (Formalin/PFA-fixed paraffin-embedded sections)", "shortname":"IHC-P"}, "WB" : {"fullname" : "Western blot", "shortname":"WB"}, "ICCIF" : {"fullname" : "Immunocytochemistry/ Immunofluorescence", "shortname":"ICC/IF"} }, "product-promise": { "all": "all", "testedAndGuaranteed": "tested", "guaranteed": "expected", "predicted": "predicted", "notRecommended": "not-recommended" } }, "values": { "Human": { "IHCP-species-checked": "testedAndGuaranteed", "IHCP-species-dilution-info": "1/4000", "IHCP-species-notes": "<p></p> Perform heat-mediated antigen retrieval with citrate buffer pH 6 before commencing with IHC staining protocol.", "WB-species-checked": "testedAndGuaranteed", "WB-species-dilution-info": "1/1000", "WB-species-notes": "<p></p>", "ICCIF-species-checked": "guaranteed", "ICCIF-species-dilution-info": "", "ICCIF-species-notes": "" }, "Mouse": { "IHCP-species-checked": "notRecommended", "IHCP-species-dilution-info": "1/4000", "IHCP-species-notes": "<p></p> Perform heat-mediated antigen retrieval with citrate buffer pH 6 before commencing with IHC staining protocol.", "WB-species-checked": "testedAndGuaranteed", "WB-species-dilution-info": "1/1000", "WB-species-notes": "<p></p>", "ICCIF-species-checked": "testedAndGuaranteed", "ICCIF-species-dilution-info": "1/200", "ICCIF-species-notes": "<p></p>" }, "Rat": { "IHCP-species-checked": "notRecommended", "IHCP-species-dilution-info": "1/4000", "IHCP-species-notes": "<p></p> Perform heat-mediated antigen retrieval with citrate buffer pH 6 before commencing with IHC staining protocol.", "WB-species-checked": "testedAndGuaranteed", "WB-species-dilution-info": "1/1000", "WB-species-notes": "<p></p>", "ICCIF-species-checked": "guaranteed", "ICCIF-species-dilution-info": "", "ICCIF-species-notes": "" } } }

Product details

Anti-Myelin Basic Protein antibody [12] (ab7349) is a rat recombinant monoclonal antibody and is validated for use in ICC/IF, IHC-P and WB.

Anti-Myelin Basic Protein antibody [12] (ab7349) was first used in a scientific publication in 1987 and has been cited over 310 times in peer reviewed journals. It's performance in Western blot, immunofluorescence and IHC in mouse samples is trusted by the scientific community.

Abcam's high quality manufacturing and validation processes ensure Anti-Myelin Basic Protein antibody [12] (ab7349) has high sensitivity and specificity alongside high lot-to-lot consistency and reproducibility.

Anti-Myelin Basic Protein antibody [12] (ab7349) has 22 independent reviews from customers.

Anti-Myelin Basic Protein antibody [12] (ab7349) specifically detects Myelin Basic Protein (UniProt ID: P02686; Molecular weight: 34kDa) and is sold in 100 ug and 1 mg selling sizes.

Conjugation-ready, carrier free format available for antibody clone 12 - ab277483.

Myelin Basic Protein (MBP) is a critical protein in neuro research, particularly for its role in the formation and maintenance of the myelin sheath. This sheath insulates nerve fibers, significantly increasing the speed of electrical signal transmission. Researchers use MBP to study myelination processes and demyelinating diseases such as multiple sclerosis, making it essential for understanding nerve function and pathology in various neurological conditions. Its expression helps in assessing the integrity and repair of myelin in the central nervous system.

What are the advantages of a recombinant monoclonal antibody?
This product is a recombinant monoclonal antibody, which offers several advantages including:

  • - High batch-to-batch consistency and reproducibility
  • - Improved sensitivity and specificity
  • - Long-term security of supply
  • - Animal-free batch production

For more information, read more on recombinant antibodies.

Shipping conditions update: ambient shipping

This product will be delivered at ambient temperature instead of chilled – this is by design. Extensive stability testing confirmed that our products are suitable for shipment under ambient conditions and maintain expected quality.

Why the change?

It’s part of our commitment to more sustainable packaging solutions, with ambient deliveries using eco-friendly materials such as recyclable cardboard instead of polystyrene.

What you need to know

  • Ambient shipments come with a flyer explaining the below.
  • No ice will be included in ambient shipments, but mixed orders (ambient and cold-chain items) will still arrive with ice packs to protect temperature-sensitive products.
  • Warranty coverage remains fully valid, aligned with our validated shipping method.
  • Please store the product as per the datasheet instructions upon receipt.

Find out more - https://www.abcam.com/en-us/support/shipping-storage-support/ambient-shipping

Properties and storage information

Form
Liquid
Purification technique
Ion exchange chromatography
Storage buffer
Preservative: 0.01% Sodium azide Constituents: 59% PBS, 40% Glycerol (glycerin, glycerine), 0.05% BSA
Shipped at conditions
Conditional Ambient
Appropriate short-term storage duration
1-2 weeks
Appropriate short-term storage conditions
+4°C
Appropriate long-term storage conditions
-20°C
Aliquoting information
Upon delivery aliquot
Storage information
Avoid freeze / thaw cycle

Supplementary information

This supplementary information is collated from multiple sources and compiled automatically.

The myelin basic protein also referred to as MBP or MBP protein plays an important mechanical role in the central nervous system. It is a major component in the formation and stability of the myelin sheath which wraps around nerve fibers to ensure efficient neural signaling. The molecular weight of MBP can vary due to alternative splicing; one common form has a mass of about 18.5 kDa. MBP is expressed predominantly in oligodendrocytes within the brain and spinal cord where it helps form the myelin sheath. MBP2 is another variant that may be mentioned in some contexts.
Biological function summary

MBP is not just a passive structural element; it binds and interacts with lipids and other proteins to maintain the compact structure of the myelin sheath. MBP forms part of a complex that includes various other proteins and lipids ensuring the stability and function of myelin. Misfolding or altered expression of MBP can compromise myelin integrity affecting the insulation of neural pathways and signal transmission.

Pathways

MBP is an essential component in the pathways of myelination and neural plasticity. It plays a role in the signaling pathways that stimulate the development and maintenance of the myelin sheath. The protein interacts with other elements of the myelin sheath such as proteolipid protein (PLP) and myelin-associated glycoprotein (MAG) to coordinate its formation and repair processes.

MBP is linked closely to multiple sclerosis (MS) and other demyelinating conditions. Damage to or autoimmunity against MBP leads to the degradation of the myelin sheath contributing to the neurological symptoms in MS. The protein interacts with elements of the immune system with autoantibodies targeting MBP often found in MS patients. Another disorder associated with MBP dysfunction is Charcot-Marie-Tooth disease where abnormal MBP expression and structure can impact nerve function.

Product protocols

For this product, it's our understanding that no specific protocols are required. You can visit:

Target data

The classic group of MBP isoforms (isoform 4-isoform 14) are with PLP the most abundant protein components of the myelin membrane in the CNS. They have a role in both its formation and stabilization. The smaller isoforms might have an important role in remyelination of denuded axons in multiple sclerosis. The non-classic group of MBP isoforms (isoform 1-isoform 3/Golli-MBPs) may preferentially have a role in the early developing brain long before myelination, maybe as components of transcriptional complexes, and may also be involved in signaling pathways in T-cells and neural cells. Differential splicing events combined with optional post-translational modifications give a wide spectrum of isomers, with each of them potentially having a specialized function. Induces T-cell proliferation.
See full target information MBP

Publications (430)

Recent publications for all applications. Explore the full list and refine your search

Cell death & disease 16:691 PubMed41053007

2025

Repeated ablations of mature Tmem10 oligodendrocytes recapitulates key pathological features of multiple sclerosis with prolonged demyelination.

Applications

Unspecified application

Species

Unspecified reactive species

Feiyan Zhu,Haijiao Huang,Yuting Shu,Guoru Ren,Bo Jing,Honglin Tan,Wanxiang Jiang,Yiyuan Cui,Paul F Worley,Bo Xiao,Mina Chen

Acta neuropathologica communications 13:205 PubMed41024271

2025

Blocking axon-glial mechanotransduction to prevent concussive brain injury.

Applications

Unspecified application

Species

Unspecified reactive species

Chao Sun,Di Ma,Jacob Hansen,Jeffrey R Tonniges,Hongzhen Hu,Liwen Zhang,Chen Gu

Nature metabolism 7:2099-2116 PubMed40987840

2025

Cholesterol metabolic reprogramming mediates microglia-induced chronic neuroinflammation and hinders neurorestoration following stroke.

Applications

Unspecified application

Species

Unspecified reactive species

Qiang Zhao,Jiajian Li,Jingjing Feng,Xin Wang,Yueting Liu,Fei Wang,Liang Liu,Bingxue Jin,Ming Lin,Ya-Chao Wang,Xiuhua Guo,Jieli Chen,Junwei Hao

CNS neuroscience & therapeutics 31:e70565 PubMed40931631

2025

Repopulating Microglia Suppress Peripheral Immune Cell Infiltration to Promote Poststroke Recovery.

Applications

Unspecified application

Species

Unspecified reactive species

Ligen Shi,Lingxiao Lu,Jun Hu,Jiarui Chen,Qia Zhang,Ziyang Jin,Zhen Wang,Zhe Zheng,Jianmin Zhang

Nature 646:1232-1242 PubMed40931074

2025

Neuronal activity-dependent mechanisms of small cell lung cancer pathogenesis.

Applications

Unspecified application

Species

Unspecified reactive species

Solomiia Savchuk,Kaylee M Gentry,Wengang Wang,Elana Carleton,Carlos A O Biagi-Junior,Karan Luthria,Belgin Yalçın,Lijun Ni,Hannah C Farnsworth,Rachel A Davis,Richard Drexler,Johannes C Melms,Yin Liu,Lehi Acosta-Alvarez,Griffin G Hartmann,Elisa C Pavarino,Jenna LaBelle,Pamelyn J Woo,Angus M Toland,Fangfei Qu,Yoon Seok Kim,Mariella G Filbin,Mark A Krasnow,Keith L Ligon,Benjamin Izar,Julien Sage,Bernardo L Sabatini,Michelle Monje,Humsa S Venkatesh

The Journal of clinical investigation 135: PubMed40875460

2025

Peripherally administered androgen receptor-targeted antisense oligonucleotide rescues spinal pathology in a murine SBMA model.

Applications

Unspecified application

Species

Unspecified reactive species

Changwoo Lee,Zhigang Yu,Curtis J Kuo,Leon Tejwani,Rosalie M Grijalva,Eunwoo Bae,Hien T Zhao,Janghoo Lim,Andrew P Lieberman

Nature neuroscience 28:1868-1882 PubMed40796665

2025

Impaired capillary-venous drainage contributes to gliosis and demyelination in mouse white matter during aging.

Applications

Unspecified application

Species

Unspecified reactive species

Stefan Stamenkovic,Franca Schmid,Gokce Gurler,Farzaneh Abolmaali,Nicolas A Weitermann,Kevin T Takasaki,Stephanie K Bonney,Maria J Sosa,Hannah C Bennett,Yongsoo Kim,Jack Waters,Andy Y Shih

Acta neuropathologica communications 13:171 PubMed40796891

2025

Cerebrovascular p16 expression induces cerebral small vessel disease-related phenotypes.

Applications

Unspecified application

Species

Unspecified reactive species

Keiji Kawatani,Tomonori Aikawa,Zeynab Tabrizi,Yining Pan,Yingxue Ren,Ni Wang,Aishe Kurti,Toshihiko Nambara,Clark C Ikezu,Francis Shue,Michael Bamkole,Yasuteru Inoue,Tammee M Parsons,Guojun Bu,Qianqian Song,Oliver Bracko,Takahisa Kanekiyo

Scientific reports 15:29053 PubMed40781105

2025

Amyloid fibrils of the myelin basic protein are an integral component of myelin in the vertebrate brain.

Applications

Unspecified application

Species

Unspecified reactive species

Evgeniy I Sysoev,Aleksandr A Shenfeld,Tatyana A Belashova,Anna A Valina,Sergey P Zadorsky,Alexey P Galkin

Frontiers in cellular neuroscience 19:1622874 PubMed40766184

2025

NF-κB RelA regulates temporal oligodendrocyte differentiation in the postnatal brains.

Applications

Unspecified application

Species

Unspecified reactive species

Kamonrapat Sompub,Norihisa Bizen,Albert S Baldwin,Hirohide Takebayashi
View all publications

Product promise

We are committed to supporting your work with high-quality reagents, and we're here for you every step of the way. In the unlikely event that one of our products does not perform as expected, you're protected by our Product Promise.
For full details, please see our Terms & Conditions

Please note: All products are 'FOR RESEARCH USE ONLY. NOT FOR USE IN DIAGNOSTIC OR THERAPEUTIC PROCEDURES'.

For licensing inquiries, please contact partnerships@abcam.com