JavaScript is disabled in your browser. Please enable JavaScript to view this website.
AB218011

Anti-Myelin Basic Protein antibody [EPR21188] - Oligodendrocyte Marker

  • RabMAb
  • Recombinant
  • Lab Essentials
  • 20ul selling size
  • What is this?

5

(5 Reviews)

|

(71 Publications)

Anti-Myelin Basic Protein antibody [EPR21188] (ab218011) is a rabbit monoclonal antibody detecting Myelin Basic Protein in Western Blot, IHC-P, IHC-Fr. Suitable for Human, Mouse, Rat.

- Biophysical QC for unrivalled batch-batch consistency
- Over 20 publications

View Alternative Names

Shi, Mbp, Myelin basic protein, MBP, Myelin A1 protein

7 Images
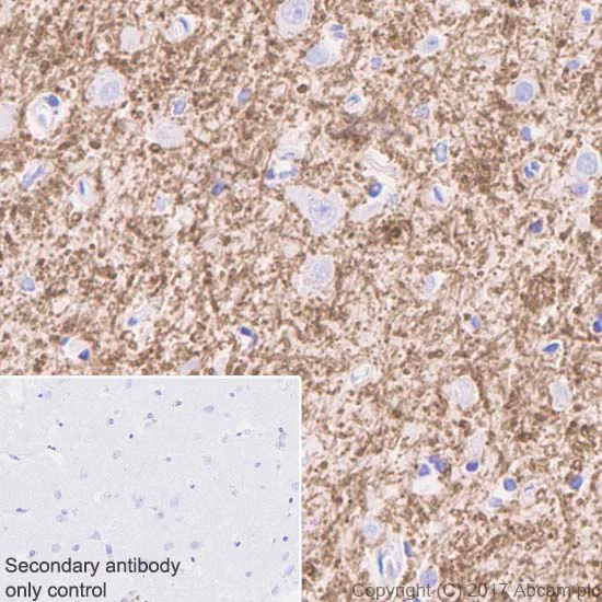
Immunohistochemistry (Formalin/PFA-fixed paraffin-embedded sections) - Anti-Myelin Basic Protein antibody [EPR21188] - Oligodendrocyte Marker (AB218011)
  • IHC-P

Supplier Data

Immunohistochemistry (Formalin/PFA-fixed paraffin-embedded sections) - Anti-Myelin Basic Protein antibody [EPR21188] - Oligodendrocyte Marker (AB218011)

Immunohistochemical analysis of paraffin-embedded rat brain tissue labeling Myelin Basic Protein with ab218011 at 1/5000 dilution, followed by Goat Anti-Rabbit IgG H&L (HRP) Ready to use. Positive staining on rat brain (PMID : 23144976) is observed. Counter stained with Hematoxylin.

Secondary antibody only control : Used PBS instead of primary antibody, secondary antibody is Goat Anti-Rabbit IgG H&L (HRP) Ready to use.

Perform heat mediated antigen retrieval using ab93684 (Tris/EDTA buffer, pH 9.0).

Immunohistochemistry (Formalin/PFA-fixed paraffin-embedded sections) - Anti-Myelin Basic Protein antibody [EPR21188] - Oligodendrocyte Marker (AB218011)
  • IHC-P

Supplier Data

Immunohistochemistry (Formalin/PFA-fixed paraffin-embedded sections) - Anti-Myelin Basic Protein antibody [EPR21188] - Oligodendrocyte Marker (AB218011)

Immunohistochemical analysis of paraffin-embedded human cerebrum tissue labeling Myelin Basic Protein with ab218011 at 1/5000 dilution, followed by Goat Anti-Rabbit IgG H&L (HRP) Ready to use. Cytoplasmic staining in human cerebrum (PMID : 22496821) is observed. Counter stained with Hematoxylin.

Secondary antibody only control : Used PBS instead of primary antibody, secondary antibody is Goat Anti-Rabbit IgG H&L (HRP) Ready to use.

Perform heat mediated antigen retrieval using ab93684 (Tris/EDTA buffer, pH 9.0).

Immunohistochemistry (Formalin/PFA-fixed paraffin-embedded sections) - Anti-Myelin Basic Protein antibody [EPR21188] - Oligodendrocyte Marker (AB218011)
  • IHC-P

Lab

Immunohistochemistry (Formalin/PFA-fixed paraffin-embedded sections) - Anti-Myelin Basic Protein antibody [EPR21188] - Oligodendrocyte Marker (AB218011)

Immunohistochemical analysis of formalin fixed paraffin embedded human cerebrum labelling Myelin Basic Protein with ab218011 at a concentration of 0.02μg/ml.

The immunostaining was performed on a Ventana DISCOVERY ULTRA (Roche Tissue Diagnostics) instrument with a OptiView DAB IHC Detection Kit. Heat mediated antigen retrieval was performed with DISCOVERY cell conditioning solution (CC1) 100°C pH8.5 for 32mins.

ab218011 anti-Myelin Basic Protein antibody [EPR21188] was incubated for 16mins at 37°C. Sections were counterstained with Hematoxylin II. Image inset shows absence of staining in secondary antibody only control.

Customers are encouraged to optimise antigen retrieval conditions antibody concentration incubation times and temperature for best results in their own IHC assay workflow (automated and manual).

Immunohistochemistry (Formalin/PFA-fixed paraffin-embedded sections) - Anti-Myelin Basic Protein antibody [EPR21188] - Oligodendrocyte Marker (AB218011)
  • IHC-P

Supplier Data

Immunohistochemistry (Formalin/PFA-fixed paraffin-embedded sections) - Anti-Myelin Basic Protein antibody [EPR21188] - Oligodendrocyte Marker (AB218011)

Immunohistochemical analysis of paraffin-embedded mouse brain tissue labeling Myelin Basic Protein with ab218011 at 1/5000 dilution, followed by Goat Anti-Rabbit IgG H&L (HRP) Ready to use. Positive staining on mouse brain (PMID : 23144976) is observed. Counter stained with Hematoxylin.

Secondary antibody only control : Used PBS instead of primary antibody, secondary antibody is Goat Anti-Rabbit IgG H&L (HRP) Ready to use.

Perform heat mediated antigen retrieval using ab93684 (Tris/EDTA buffer, pH 9.0).

Immunohistochemistry (Frozen sections) - Anti-Myelin Basic Protein antibody [EPR21188] - Oligodendrocyte Marker (AB218011)
  • IHC-Fr

Supplier Data

Immunohistochemistry (Frozen sections) - Anti-Myelin Basic Protein antibody [EPR21188] - Oligodendrocyte Marker (AB218011)

Immunohistochemical analysis of 4% paraformaldehyde-fixed, 0.2% Triton X-100 permeabilized frozen mouse brain (cerebrum) tissue labeling Myelin Basic Protein with ab218011 at 1/5000 dilution, followed by Goat Anti-Rabbit IgG H&L (Alexa Fluor® 488) (ab150077) at 1/1000 dilution (green). Positive staining in the axonal fiber tracts on rat cerebrum tissue section (PMID : 23144976) is observed. The nuclear counterstain is DAPI (blue).

Secondary antibody only control : Used PBS instead of primary antibody, secondary antibody is Goat Anti-Rabbit IgG H&L (Alexa Fluor® 488) (ab150077) at 1/1000 dilution.

Perform heat-mediated antigen retrieval by using ab94681 (Tris-EDTA buffer, pH 9.0).

Immunohistochemistry (Frozen sections) - Anti-Myelin Basic Protein antibody [EPR21188] - Oligodendrocyte Marker (AB218011)
  • IHC-Fr

Supplier Data

Immunohistochemistry (Frozen sections) - Anti-Myelin Basic Protein antibody [EPR21188] - Oligodendrocyte Marker (AB218011)

Immunohistochemical analysis of 4% paraformaldehyde-fixed, 0.2% Triton X-100 permeabilized frozen rat brain (cerebrum) tissue labeling Myelin Basic Protein with ab218011 at 1/5000 dilution, followed by Goat Anti-Rabbit IgG H&L (Alexa Fluor® 488) (ab150077) at 1/1000 dilution (green). Positive staining in the axonal fiber tracts on rat cerebrum tissue section (PMID : 23144976) is observed. The nuclear counterstain is DAPI (blue).

Secondary antibody only control : Used PBS instead of primary antibody, secondary antibody is Goat Anti-Rabbit IgG H&L (Alexa Fluor® 488) (ab150077) at 1/1000 dilution.

Perform heat-mediated antigen retrieval by using ab94681 (Tris-EDTA buffer, pH 9.0)

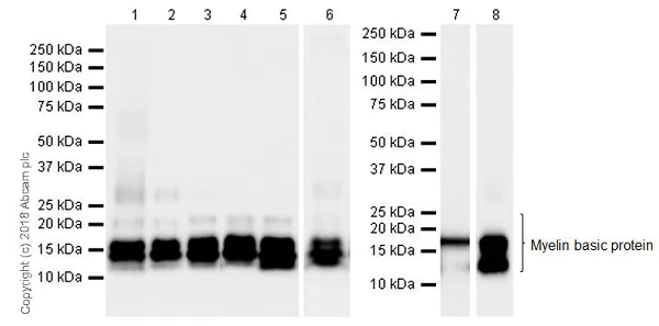
Western blot - Anti-Myelin Basic Protein antibody [EPR21188] - Oligodendrocyte Marker (AB218011)
  • WB

Supplier Data

Western blot - Anti-Myelin Basic Protein antibody [EPR21188] - Oligodendrocyte Marker (AB218011)

Blocking and dilution buffer : 5% NFDM/TBST.

Exposure times.

Lanes 1-5 & 8 : 15 seconds.

Lane 6 : 7 seconds.

Lane 7 : 32 seconds.

Lanes 1 - 6:

Western blot - Anti-Myelin Basic Protein antibody [EPR21188] - Oligodendrocyte Marker (ab218011) at 1/5000 dilution

Lanes 7 - 8:

Western blot - Anti-Myelin Basic Protein antibody [EPR21188] - Oligodendrocyte Marker (ab218011) at 1/1000 dilution

Lane 1:

Mouse brain tissue lysate at 20 µg

Lane 2:

Mouse cerebral cortex tissue lysate at 20 µg

Lane 3:

Mouse midbrain tissue lysate at 20 µg

Lane 4:

Rat cerebral cortex tissue lysate at 20 µg

Lane 5:

Rat cerebellum tissue lysate at 20 µg

Lane 6:

Rat brain tissue lysate at 20 µg

Lane 7:

Human cerebellum tissue lysate at 20 µg

Lane 8:

Human brain cortex tissue lysate at 20 µg

Secondary

Lanes 1 - 6:

Western blot - Goat Anti-Rabbit IgG H&L (HRP) (<a href='/en-us/products/secondary-antibodies/goat-rabbit-igg-h-l-hrp-ab97051'>ab97051</a>) at 1/100000 dilution

Lanes 7 - 8:

Western blot - VeriBlot for IP Detection Reagent (HRP) (<a href='/en-us/products/reagents/veriblot-for-ip-detection-reagent-hrp-ab131366'>ab131366</a>) at 1/1000 dilution

Predicted band size: 33 kDa

Observed band size: 14-21.5 kDa

true

  • Carrier free

    Anti-Myelin Basic Protein antibody [EPR21188] - BSA and Azide free

  • 603 Alexa Fluor® 568

    Alexa Fluor® 568 Anti-Myelin Basic Protein antibody [EPR21188]

  • 617 Alexa Fluor® 594

    Alexa Fluor® 594 Anti-Myelin Basic Protein antibody [EPR21188]

  • 565 Alexa Fluor® 555

    Alexa Fluor® 555 Anti-Myelin Basic Protein antibody [EPR21188]

  • 519 Alexa Fluor® 488

    Alexa Fluor® 488 Anti-Myelin Basic Protein antibody [EPR21188]

Key facts

Host species

Rabbit

Clonality

Monoclonal

Clone number

EPR21188

Isotype

IgG

Carrier free

No

Reacts with

Mouse, Rat, Human

Applications

IHC-Fr, IHC-P, WB

applications

Immunogen

The exact immunogen used to generate this antibody is proprietary information.

Reactivity data

{ "title": "Reactivity Data", "filters": { "stats": ["", "Species", "Dilution Info", "Notes"], "tabs": { "all-applications": {"fullname" : "All Applications", "shortname": "All Applications"}, "WB" : {"fullname" : "Western blot", "shortname":"WB"}, "IHCFr" : {"fullname" : "Immunohistochemistry (Frozen sections)", "shortname":"IHC-Fr"}, "IHCP" : {"fullname" : "Immunohistochemistry (Formalin/PFA-fixed paraffin-embedded sections)", "shortname":"IHC-P"}, "ICCIF" : {"fullname" : "Immunocytochemistry/ Immunofluorescence", "shortname":"ICC/IF"} }, "product-promise": { "all": "all", "testedAndGuaranteed": "tested", "guaranteed": "expected", "predicted": "predicted", "notRecommended": "not-recommended" } }, "values": { "Human": { "WB-species-checked": "testedAndGuaranteed", "WB-species-dilution-info": "1/1000", "WB-species-notes": "<p></p>", "IHCFr-species-checked": "guaranteed", "IHCFr-species-dilution-info": "", "IHCFr-species-notes": "", "IHCP-species-checked": "testedAndGuaranteed", "IHCP-species-dilution-info": "1/5000", "IHCP-species-notes": "<p></p> Perform heat-mediated antigen retrieval with Tris/EDTA buffer pH 9.0 before commencing with IHC staining protocol.", "ICCIF-species-checked": "notRecommended", "ICCIF-species-dilution-info": "", "ICCIF-species-notes": "" }, "Mouse": { "WB-species-checked": "testedAndGuaranteed", "WB-species-dilution-info": "1/1000", "WB-species-notes": "<p></p>", "IHCFr-species-checked": "testedAndGuaranteed", "IHCFr-species-dilution-info": "1/5000", "IHCFr-species-notes": "<p>Perform heat-mediated antigen retrieval by using <a href='/en-us/products/unavailable/antigen-retrieval-buffer-100x-tris-edta-buffer-ph-90-ab94681'>ab94681</a> (Tris-EDTA buffer, pH 9.0)</p>", "IHCP-species-checked": "testedAndGuaranteed", "IHCP-species-dilution-info": "1/5000", "IHCP-species-notes": "<p></p> Perform heat-mediated antigen retrieval with Tris/EDTA buffer pH 9.0 before commencing with IHC staining protocol.", "ICCIF-species-checked": "notRecommended", "ICCIF-species-dilution-info": "", "ICCIF-species-notes": "<p></p>" }, "Rat": { "WB-species-checked": "testedAndGuaranteed", "WB-species-dilution-info": "1/1000", "WB-species-notes": "<p></p>", "IHCFr-species-checked": "testedAndGuaranteed", "IHCFr-species-dilution-info": "1/5000", "IHCFr-species-notes": "<p>Perform heat-mediated antigen retrieval by using <a href='/en-us/products/unavailable/antigen-retrieval-buffer-100x-tris-edta-buffer-ph-90-ab94681'>ab94681</a> (Tris-EDTA buffer, pH 9.0)</p>", "IHCP-species-checked": "testedAndGuaranteed", "IHCP-species-dilution-info": "1/5000", "IHCP-species-notes": "<p></p> Perform heat-mediated antigen retrieval with Tris/EDTA buffer pH 9.0 before commencing with IHC staining protocol.", "ICCIF-species-checked": "notRecommended", "ICCIF-species-dilution-info": "", "ICCIF-species-notes": "" } } }

Product details

Anti-Myelin Basic Protein antibody [EPR21188] (ab218011) was developed by Abcam using patented rabbit monoclonal antibody technology and is validated for use in IHC-Fr, IHC-P, WB in human, mouse, rat samples.

Anti-Myelin Basic Protein antibody [EPR21188] (ab218011) has been cited over 28 times in peer reviewed journals and is trusted by the scientific community.

Abcams high quality manufacturing and validation processes ensure Anti-Myelin Basic Protein antibody [EPR21188] (ab218011) has high sensitivity and specificity alongside high lot-to-lot consistency and reproducibility.

Anti-Myelin Basic Protein antibody [EPR21188] (ab218011) has 4 independent reviews from customers.

Anti-Myelin Basic Protein antibody [EPR21188] (ab218011) specifically detects Myelin Basic Protein (UniProt ID: P04370; Molecular weight: 27kDa) and is sold in 100 uL and 1 mL selling sizes.

Conjugation-ready, carrier free format available for antibody clone EPR21188 - ab23378.

Antibody clone EPR21188 is also available pre-conjugated to a variety of labels for your convenience - Alexa Fluor® 594, Alexa Fluor® 568, Alexa Fluor® 488, Alexa Fluor® 555 (ab31179, ab31371, ab314162, ab315358).

Myelin Basic Protein (MBP) is a key component of the myelin sheath and is extensively studied in neuroscience. It is crucial for maintaining myelin integrity and ensuring effective nerve signal transmission. Changes in MBP expression can signal myelin damage, which is significant in various neurodegenerative conditions, such as multiple sclerosis (MS) and Alzheimer's disease (AD). Research on MBP helps in understanding myelin-related pathology and neuronal dysfunction, highlighting its importance in the broader study of neurodegenerative diseases.

Patented technology
Our RabMAb® technology is a patented hybridoma-based technology for making rabbit monoclonal antibodies. For details on our patents, please refer to RabMAb® patents.

What are the advantages of a recombinant monoclonal antibody?
This product is a recombinant monoclonal antibody, which offers several advantages including:

  • - High batch-to-batch consistency and reproducibility
  • - Improved sensitivity and specificity
  • - Long-term security of supply
  • - Animal-free batch production

For more information, read more on recombinant antibodies.

Properties and storage information

Form
Liquid
Purification technique
Affinity purification Protein A
Storage buffer
pH: 7.2 - 7.4 Preservative: 0.01% Sodium azide Constituents: PBS, 40% Glycerol (glycerin, glycerine), 0.05% BSA
Shipped at conditions
Blue Ice
Appropriate short-term storage duration
1-2 weeks
Appropriate short-term storage conditions
+4°C
Appropriate long-term storage conditions
-20°C
Aliquoting information
Upon delivery aliquot
Storage information
Avoid freeze / thaw cycle

Supplementary information

This supplementary information is collated from multiple sources and compiled automatically.

The myelin basic protein also referred to as MBP or MBP protein plays an important mechanical role in the central nervous system. It is a major component in the formation and stability of the myelin sheath which wraps around nerve fibers to ensure efficient neural signaling. The molecular weight of MBP can vary due to alternative splicing; one common form has a mass of about 18.5 kDa. MBP is expressed predominantly in oligodendrocytes within the brain and spinal cord where it helps form the myelin sheath. MBP2 is another variant that may be mentioned in some contexts.
Biological function summary

MBP is not just a passive structural element; it binds and interacts with lipids and other proteins to maintain the compact structure of the myelin sheath. MBP forms part of a complex that includes various other proteins and lipids ensuring the stability and function of myelin. Misfolding or altered expression of MBP can compromise myelin integrity affecting the insulation of neural pathways and signal transmission.

Pathways

MBP is an essential component in the pathways of myelination and neural plasticity. It plays a role in the signaling pathways that stimulate the development and maintenance of the myelin sheath. The protein interacts with other elements of the myelin sheath such as proteolipid protein (PLP) and myelin-associated glycoprotein (MAG) to coordinate its formation and repair processes.

MBP is linked closely to multiple sclerosis (MS) and other demyelinating conditions. Damage to or autoimmunity against MBP leads to the degradation of the myelin sheath contributing to the neurological symptoms in MS. The protein interacts with elements of the immune system with autoantibodies targeting MBP often found in MS patients. Another disorder associated with MBP dysfunction is Charcot-Marie-Tooth disease where abnormal MBP expression and structure can impact nerve function.

Product protocols

For this product, it's our understanding that no specific protocols are required. You can visit:

Target data

The classic group of MBP isoforms (isoform 4-isoform 13) are with PLP the most abundant protein components of the myelin membrane in the CNS. They have a role in both its formation and stabilization. The non-classic group of MBP isoforms (isoform 1-isoform 3/Golli-MBPs) may preferentially have a role in the early developing brain long before myelination, maybe as components of transcriptional complexes, and may also be involved in signaling pathways in T-cells and neural cells. Differential splicing events combined to optional post-translational modifications give a wide spectrum of isomers, with each of them potentially having a specialized function.
See full target information Mbp

Publications (71)

Recent publications for all applications. Explore the full list and refine your search

iScience 28:113334 PubMed40917877

2025

Human cerebral organoids model tumor initiation and infiltration in an autologous astrocyte-supported setting.

Applications

Unspecified application

Species

Unspecified reactive species

Esther Schickel,Tamara Bender,Leon Kaysan,Simone Hufgard,Margot Mayer,David R Grosshans,Christiane Thielemann,Insa S Schroeder

Brain and behavior 15:e70778 PubMed40862598

2025

Sleep Disturbances Associated With Hidden Hearing Loss: Insights From Human Data and a Mouse Model of Sleep Fragmentation.

Applications

Unspecified application

Species

Unspecified reactive species

Xiaodi Wang,Bo Su,Jiaxin Zhang,Yingqiang Li,Liangqiang Zhou,Zhihui Du,Hanqi Chu,Huifang Liang,Dan Bing

Biomolecules 15: PubMed40563509

2025

Positive Effects of (+)-Epicatechin on Traumatic Spinal Cord Injury Recovery.

Applications

Unspecified application

Species

Unspecified reactive species

Cristian Gonzalez-Ruiz,Rodrigo Mondragón-Lozano,Hermelinda Salgado-Ceballos,Francisco Villarreal,Yuridia Martínez-Meza,Eduardo Meaney,Nayelli Nájera,Guillermo Ceballos

NPJ Parkinson's disease 11:143 PubMed40447642

2025

Central biogenic amine deficiency with concomitant exploratory behavioral deficits in Dnajc12 knock-out mice.

Applications

Unspecified application

Species

Unspecified reactive species

Isaac Bul Deng,Jordan Follett,Jesse D Fox,Shannon Wall,Matthew J Farrer

Nature 642:474-483 PubMed40335701

2025

PLA2G15 is a BMP hydrolase and its targeting ameliorates lysosomal disease.

Applications

Unspecified application

Species

Unspecified reactive species

Kwamina Nyame,Jian Xiong,Hisham N Alsohybe,Arthur P H de Jong,Isabelle V Peña,Ricardo de Miguel,Thijn R Brummelkamp,Guido Hartmann,Sebastian M B Nijman,Matthijs Raaben,Judith A Simcox,Vincent A Blomen,Monther Abu-Remaileh

Research (Washington, D.C.) 8:0676 PubMed40290135

2025

Low-Intensity Pulsed Ultrasound Promotes Oligodendrocyte Maturation and Remyelination by Down-regulating the Interleukin-17A/Notch1 Signaling Pathway in Mice with Ischemic Stroke.

Applications

Unspecified application

Species

Unspecified reactive species

Jingjing Wang,Yuxiao Gao,Bin Wang,Cong Zhang,Yi Yuan,Renhao Xu,Hui Ji,Xiangjian Zhang

IBRO neuroscience reports 18:432-442 PubMed40144798

2025

Electroacupuncture mitigates cognitive impairments in chronic hypoxia-induced mice by modulating neuroinflammation.

Applications

Unspecified application

Species

Unspecified reactive species

Fang Wan,Kun Zhuang,Ziyu Li,Xiaoqing Wang,Wenyan Li,Yunlong Hou,Wanhui You,Yibing Jiang,Mingye Wang,Pengyu Zhu

Biophysics reports 11:18-33 PubMed40070663

2025

TRIM66-HP1γ remodels the chromatin through phase separation.

Applications

Unspecified application

Species

Unspecified reactive species

Siyuan Shen,Feng Chen,Yifan Zhang,Fudong Li,Xuebiao Yao,Dan Liu,Yunyu Shi,Liang Zhang

The Journal of biological chemistry 301:108312 PubMed39955059

2025

G protein-coupled estrogen receptor deficiency exacerbates demyelination through microglial ferroptosis.

Applications

Unspecified application

Species

Unspecified reactive species

Xiaojuan Mi,Junjie Li,Ziqi Feng,Yanbo Liu,Chun Zhang,Yu Shao,Ting Wang,Zhilun Yang,Haowen Lv,Juan Liu

Neuro-oncology 27:1888-1898 PubMed39946091

2025

Glioma-white matter tract interactions: A diffusion magnetic resonance imaging-based 3-tier classification and its clinical relevance.

Applications

Unspecified application

Species

Unspecified reactive species

Jie Hu,Hongbo Bao,Xing Liu,Shengyu Fang,Zeya Yan,Zihan Wang,Renwu Zhang,Ruiyang Wang,Tingting Pu,Chao Li,Zaixu Cui,Tao Jiang,Yinyan Wang
View all publications

Product promise

We are committed to supporting your work with high-quality reagents, and we're here for you every step of the way. In the unlikely event that one of our products does not perform as expected, you're protected by our Product Promise.
For full details, please see our Terms & Conditions

Please note: All products are 'FOR RESEARCH USE ONLY. NOT FOR USE IN DIAGNOSTIC OR THERAPEUTIC PROCEDURES'.

For licensing inquiries, please contact partnerships@abcam.com