JavaScript is disabled in your browser. Please enable JavaScript to view this website.
AB313827

Anti-Myelin basic protein antibody [HL1033] - BSA and Azide free

Be the first to review this product! Submit a review

|

(1 Publication)

Rabbit Recombinant Monoclonal Myelin Basic Protein antibody. Carrier free. Suitable for WB, IHC-P, IHC-Fr and reacts with Human, Mouse, Rat samples. Cited in 1 publication. Immunogen corresponding to Synthetic Peptide within Mouse Mbp conjugated to Keyhole Limpet Haemocyanin.

View Alternative Names

Shi, Mbp, Myelin basic protein, MBP, Myelin A1 protein

4 Images
Immunohistochemistry (Formalin/PFA-fixed paraffin-embedded sections) - Anti-Myelin basic protein antibody [HL1033] - BSA and Azide free (AB313827)
  • IHC-P

Supplier Data

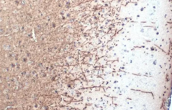
Immunohistochemistry (Formalin/PFA-fixed paraffin-embedded sections) - Anti-Myelin basic protein antibody [HL1033] - BSA and Azide free (AB313827)

Immunohistochemical analysis of paraffin-embedded mouse brain tissue labeleing Myelin basic protein using ab313827 at a 1/200 dilution.  Antigen Retrieval : Citrate buffer, pH 6.0, 15 mins.

Immunohistochemistry (Frozen sections) - Anti-Myelin basic protein antibody [HL1033] - BSA and Azide free (AB313827)
  • IHC-Fr

Supplier Data

Immunohistochemistry (Frozen sections) - Anti-Myelin basic protein antibody [HL1033] - BSA and Azide free (AB313827)

Immunohistochemical analysis of Frozen-sectioned mouse cerebellum staining Myelin basic protein with ab313827 at a dilution of 1/100 (Green). The nuclear counterstaining was Hoechst 33342 (Blue).

Western blot - Anti-Myelin basic protein antibody [HL1033] - BSA and Azide free (AB313827)
  • WB

Supplier Data

Western blot - Anti-Myelin basic protein antibody [HL1033] - BSA and Azide free (AB313827)

Samples were separated by 12% SDS-PAGE.

All lanes:

Western blot - Anti-Myelin basic protein antibody [HL1033] - BSA and Azide free (ab313827) at 1/10000 dilution

All lanes:

Human brain tissue extract at 30 µg

Secondary

All lanes:

HRP-conjugated anti-rabbit IgG antibody

Predicted band size: 27 kDa

false

Western blot - Anti-Myelin basic protein antibody [HL1033] - BSA and Azide free (AB313827)
  • WB

Supplier Data

Western blot - Anti-Myelin basic protein antibody [HL1033] - BSA and Azide free (AB313827)

Samples were separated by 12% SDS-PAGE.

All lanes:

Western blot - Anti-Myelin basic protein antibody [HL1033] - BSA and Azide free (ab313827) at 1/500000 dilution

Lane 1:

Mouse brain tissue at 50 µg

Lane 2:

Rat brain tissue at 50 µg

Secondary

All lanes:

HRP-conjugated anti-rabbit IgG antibody

Predicted band size: 27 kDa

false

Key facts

Host species

Rabbit

Clonality

Monoclonal

Clone number

HL1033

Isotype

IgG

Carrier free

Yes

Reacts with

Human, Mouse, Rat

Applications

IHC-Fr, WB, IHC-P

applications

Immunogen

Synthetic Peptide within Mouse Mbp conjugated to Keyhole Limpet Haemocyanin.

P04370

Reactivity data

{ "title": "Reactivity Data", "filters": { "stats": ["", "Species", "Dilution Info", "Notes"], "tabs": { "all-applications": {"fullname" : "All Applications", "shortname": "All Applications"}, "WB" : {"fullname" : "Western blot", "shortname":"WB"}, "IHCP" : {"fullname" : "Immunohistochemistry (Formalin/PFA-fixed paraffin-embedded sections)", "shortname":"IHC-P"}, "IHCFr" : {"fullname" : "Immunohistochemistry (Frozen sections)", "shortname":"IHC-Fr"} }, "product-promise": { "all": "all", "testedAndGuaranteed": "tested", "guaranteed": "expected", "predicted": "predicted", "notRecommended": "not-recommended" } }, "values": { "Human": { "WB-species-checked": "testedAndGuaranteed", "WB-species-dilution-info": "1/5000 - 1/500000", "WB-species-notes": "<p></p>", "IHCP-species-checked": "guaranteed", "IHCP-species-dilution-info": "", "IHCP-species-notes": "", "IHCFr-species-checked": "guaranteed", "IHCFr-species-dilution-info": "", "IHCFr-species-notes": "" }, "Mouse": { "WB-species-checked": "testedAndGuaranteed", "WB-species-dilution-info": "1/5000 - 1/500000", "WB-species-notes": "<p></p>", "IHCP-species-checked": "testedAndGuaranteed", "IHCP-species-dilution-info": "1/200", "IHCP-species-notes": "<p></p> Perform heat-mediated antigen retrieval with citrate buffer pH 6 before commencing with IHC staining protocol.", "IHCFr-species-checked": "testedAndGuaranteed", "IHCFr-species-dilution-info": "", "IHCFr-species-notes": "<p></p>" }, "Rat": { "WB-species-checked": "testedAndGuaranteed", "WB-species-dilution-info": "1/5000 - 1/500000", "WB-species-notes": "<p></p>", "IHCP-species-checked": "guaranteed", "IHCP-species-dilution-info": "", "IHCP-species-notes": "", "IHCFr-species-checked": "guaranteed", "IHCFr-species-dilution-info": "", "IHCFr-species-notes": "" } } }

Product details

What are the advantages of a recombinant monoclonal antibody?
This product is a recombinant monoclonal antibody, which offers several advantages including:

  • - High batch-to-batch consistency and reproducibility
  • - Improved sensitivity and specificity
  • - Long-term security of supply
  • - Animal-free batch production

For more information, read more on recombinant antibodies.

Conjugation ready
Our carrier-free antibodies are typically supplied in a PBS-only formulation, purified and free of BSA, sodium azide and glycerol. This conjugation-ready format is designed for use with fluorochromes, metal isotopes, oligonucleotides, and enzymes, which makes them ideal for antibody labelling, functional and cell-based assays, flow-based assays (e.g. mass cytometry) and Multiplex Imaging applications.

Use our conjugation kits for antibody conjugates that are ready-to-use in as little as 20 minutes with 1 minute hands-on-time and 100% antibody recovery: available for fluorescent dyes, HRP, biotin and gold.

Properties and storage information

Form
Liquid
Purification technique
Affinity purification Protein A
Storage buffer
pH: 7.4 Constituents: PBS
Shipped at conditions
Blue Ice
Appropriate short-term storage conditions
+4°C
Appropriate long-term storage conditions
+4°C
Aliquoting information
Upon delivery aliquot

Supplementary information

This supplementary information is collated from multiple sources and compiled automatically.

The myelin basic protein also referred to as MBP or MBP protein plays an important mechanical role in the central nervous system. It is a major component in the formation and stability of the myelin sheath which wraps around nerve fibers to ensure efficient neural signaling. The molecular weight of MBP can vary due to alternative splicing; one common form has a mass of about 18.5 kDa. MBP is expressed predominantly in oligodendrocytes within the brain and spinal cord where it helps form the myelin sheath. MBP2 is another variant that may be mentioned in some contexts.
Biological function summary

MBP is not just a passive structural element; it binds and interacts with lipids and other proteins to maintain the compact structure of the myelin sheath. MBP forms part of a complex that includes various other proteins and lipids ensuring the stability and function of myelin. Misfolding or altered expression of MBP can compromise myelin integrity affecting the insulation of neural pathways and signal transmission.

Pathways

MBP is an essential component in the pathways of myelination and neural plasticity. It plays a role in the signaling pathways that stimulate the development and maintenance of the myelin sheath. The protein interacts with other elements of the myelin sheath such as proteolipid protein (PLP) and myelin-associated glycoprotein (MAG) to coordinate its formation and repair processes.

MBP is linked closely to multiple sclerosis (MS) and other demyelinating conditions. Damage to or autoimmunity against MBP leads to the degradation of the myelin sheath contributing to the neurological symptoms in MS. The protein interacts with elements of the immune system with autoantibodies targeting MBP often found in MS patients. Another disorder associated with MBP dysfunction is Charcot-Marie-Tooth disease where abnormal MBP expression and structure can impact nerve function.

Product protocols

For this product, it's our understanding that no specific protocols are required. You can visit:

Target data

The classic group of MBP isoforms (isoform 4-isoform 13) are with PLP the most abundant protein components of the myelin membrane in the CNS. They have a role in both its formation and stabilization. The non-classic group of MBP isoforms (isoform 1-isoform 3/Golli-MBPs) may preferentially have a role in the early developing brain long before myelination, maybe as components of transcriptional complexes, and may also be involved in signaling pathways in T-cells and neural cells. Differential splicing events combined to optional post-translational modifications give a wide spectrum of isomers, with each of them potentially having a specialized function.
See full target information Mbp

Additional targets

Mbp,MBP

Publications (1)

Recent publications for all applications. Explore the full list and refine your search

Cellular & molecular biology letters 29:75 PubMed38755530

2024

Blockade of the ADAM8-Fra-1 complex attenuates neuroinflammation by suppressing the Map3k4/MAPKs axis after spinal cord injury.

Applications

Unspecified application

Species

Unspecified reactive species

Zhanyang Qian,Rulin Li,Tianyu Zhao,Kunxin Xie,PengFei Li,Guangshen Li,Na Shen,Jiamin Gong,Xin Hong,Lei Yang,Haijun Li
View all publications

Product promise

We are committed to supporting your work with high-quality reagents, and we're here for you every step of the way. In the unlikely event that one of our products does not perform as expected, you're protected by our Product Promise.
For full details, please see our Terms & Conditions

Please note: All products are 'FOR RESEARCH USE ONLY. NOT FOR USE IN DIAGNOSTIC OR THERAPEUTIC PROCEDURES'.

For licensing inquiries, please contact partnerships@abcam.com