JavaScript is disabled in your browser. Please enable JavaScript to view this website.
AB277126

Anti-Myelin Basic Protein antibody [MBP2] - BSA and Azide free

Be the first to review this product! Submit a review

|

(0 Publication)

Mouse Recombinant Monoclonal Myelin Basic Protein antibody. Carrier free. Suitable for WB, IHC-Fr, IHC-P and reacts with Human, Mouse, Rat samples.

View Alternative Names

Myelin basic protein, MBP, Myelin A1 protein, Myelin membrane encephalitogenic protein

3 Images
Immunohistochemistry (Frozen sections) - Anti-Myelin Basic Protein antibody [MBP2] - BSA and Azide free (AB277126)
  • IHC-Fr

Unknown

Immunohistochemistry (Frozen sections) - Anti-Myelin Basic Protein antibody [MBP2] - BSA and Azide free (AB277126)

This data was developed using ab11159 the same antibody clone in a different buffer formulation.

Immunohistochemical analysis of 4% PFA-fixed 0.2% Triton X-100 permeabilized frozen mouse cerebrum tissue labeling Myelin Basic Protein with ab11159 at 1/10 (112.5 ug/ml) dilution followed by ab150113 Goat Anti-mouse IgG H&L (Alexa Fluor® 488) at 1/1000 dilution (Green). Positive staining on mouse cerebrum is observed. The nuclear counterstain was DAPI (Blue).

Secondary antibody control : Secondary antibody is ab150113 Goat Anti-mouse IgG H&L (Alexa Fluor® 488).

Heat mediated antigen retrieval using sodium citrate buffer (10mM citrate pH 6.0 + 0.05% Tween-20).

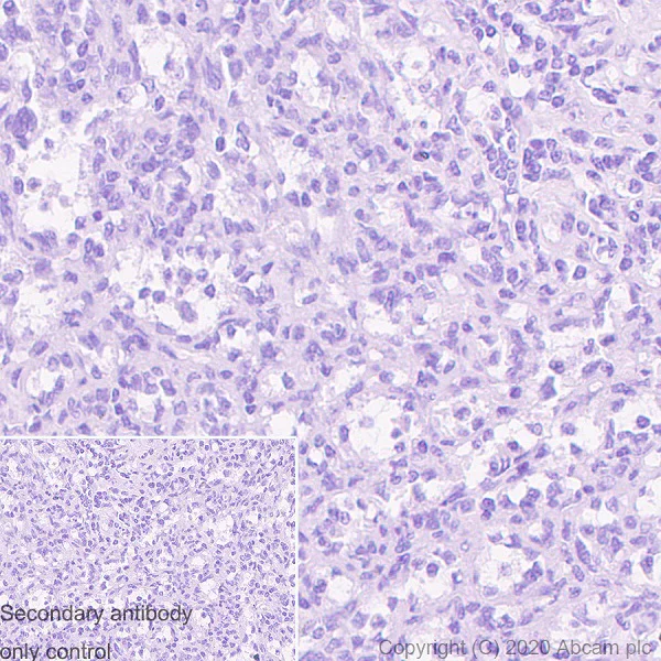
Immunohistochemistry (Formalin/PFA-fixed paraffin-embedded sections) - Anti-Myelin Basic Protein antibody [MBP2] - BSA and Azide free (AB277126)
  • IHC-P

Supplier Data

Immunohistochemistry (Formalin/PFA-fixed paraffin-embedded sections) - Anti-Myelin Basic Protein antibody [MBP2] - BSA and Azide free (AB277126)

This data was developed using ab11159 the same antibody clone in a different buffer formulation.

Immunohistochemical analysis of paraffin-embedded human spleen tissue labeling Myelin Basic Protein with ab11159 at 1 : 1000 (1.125 μg/ml) dilution followed by a ready to use Goat Anti-Mouse IgG H&L (HRP polymer) (ab214879). Negative control : No staining on human spleen (PMID : 9518636). The section was incubated with ab11159 for 30 mins at room temperature. The immunostaining was performed on a Leica Biosystems BOND® RX instrument. Counterstained with Hematoxylin.

Secondary antibody only control : Secondary antibody is a ready to use Goat Anti-Mouse IgG H&L (HRP polymer).

Heat mediated antigen retrieval with Citrate buffer (pH 6.0, epitope retrieval solution 1) for 20 mins.

Western blot - Anti-Myelin Basic Protein antibody [MBP2] - BSA and Azide free (AB277126)
  • WB

Supplier Data

Western blot - Anti-Myelin Basic Protein antibody [MBP2] - BSA and Azide free (AB277126)

This data was developed using ab11159 the same antibody clone in a different buffer formulation.

Blocking/Dilution buffer : 5% NFDM/TBST.

All lanes:

Western blot - Anti-Myelin Basic Protein antibody [MBP2] - Oligodendrocyte Marker (<a href='/en-us/products/primary-antibodies/myelin-basic-protein-antibody-mbp2-oligodendrocyte-marker-ab11159'>ab11159</a>) at 1/1000 dilution

All lanes:

human brain tissue lysate at 20 µg

Secondary

All lanes:

Western blot - Anti-mouse IgG for IP (HRP) (<a href='/en-us/products/secondary-antibodies/mouse-igg-for-ip-hrp-ab131368'>ab131368</a>) at 1/50000 dilution

Predicted band size: 33 kDa

false

Exposure time: 26s

  • Unconjugated

    Anti-Myelin Basic Protein antibody [MBP2] - Oligodendrocyte Marker

Key facts

Host species

Mouse

Clonality

Monoclonal

Clone number

MBP2

Isotype

IgG1

Carrier free

Yes

Reacts with

Mouse, Rat, Human

Applications

IHC-Fr, WB, IHC-P

applications

Immunogen

The exact immunogen used to generate this antibody is proprietary information.

Reactivity data

{ "title": "Reactivity Data", "filters": { "stats": ["", "Species", "Dilution Info", "Notes"], "tabs": { "all-applications": {"fullname" : "All Applications", "shortname": "All Applications"}, "WB" : {"fullname" : "Western blot", "shortname":"WB"}, "IHCFr" : {"fullname" : "Immunohistochemistry (Frozen sections)", "shortname":"IHC-Fr"}, "IHCP" : {"fullname" : "Immunohistochemistry (Formalin/PFA-fixed paraffin-embedded sections)", "shortname":"IHC-P"} }, "product-promise": { "all": "all", "testedAndGuaranteed": "tested", "guaranteed": "expected", "predicted": "predicted", "notRecommended": "not-recommended" } }, "values": { "Human": { "WB-species-checked": "testedAndGuaranteed", "WB-species-dilution-info": "", "WB-species-notes": "<p></p>", "IHCFr-species-checked": "guaranteed", "IHCFr-species-dilution-info": "", "IHCFr-species-notes": "", "IHCP-species-checked": "testedAndGuaranteed", "IHCP-species-dilution-info": "", "IHCP-species-notes": "<p></p>" }, "Mouse": { "WB-species-checked": "guaranteed", "WB-species-dilution-info": "", "WB-species-notes": "", "IHCFr-species-checked": "testedAndGuaranteed", "IHCFr-species-dilution-info": "", "IHCFr-species-notes": "<p>Perform heat mediated antigen retrieval with citrate buffer pH 6 before commencing with IHC staining protocol.</p>", "IHCP-species-checked": "testedAndGuaranteed", "IHCP-species-dilution-info": "", "IHCP-species-notes": "<p></p>" }, "Rat": { "WB-species-checked": "guaranteed", "WB-species-dilution-info": "", "WB-species-notes": "", "IHCFr-species-checked": "notRecommended", "IHCFr-species-dilution-info": "", "IHCFr-species-notes": "<p>Perform heat mediated antigen retrieval with citrate buffer pH 6 before commencing with IHC staining protocol.</p>", "IHCP-species-checked": "testedAndGuaranteed", "IHCP-species-dilution-info": "", "IHCP-species-notes": "<p></p>" } } }

Product details

ab277126 is the carrier-free version of ab11159.

What are the advantages of a recombinant monoclonal antibody?
This product is a recombinant monoclonal antibody, which offers several advantages including:

  • - High batch-to-batch consistency and reproducibility
  • - Improved sensitivity and specificity
  • - Long-term security of supply
  • - Animal-free batch production

For more information, read more on recombinant antibodies.

Want a custom formulation?
This antibody clone is manufactured by Abcam. If you require a custom buffer formulation or conjugation for your experiments, please contact orders@abcam.com

Conjugation ready
Our carrier-free antibodies are typically supplied in a PBS-only formulation, purified and free of BSA, sodium azide and glycerol. This conjugation-ready format is designed for use with fluorochromes, metal isotopes, oligonucleotides, and enzymes, which makes them ideal for antibody labelling, functional and cell-based assays, flow-based assays (e.g. mass cytometry) and Multiplex Imaging applications.

Use our conjugation kits for antibody conjugates that are ready-to-use in as little as 20 minutes with 1 minute hands-on-time and 100% antibody recovery: available for fluorescent dyes, HRP, biotin and gold.

Properties and storage information

Form
Liquid
Purification technique
Affinity purification Protein A
Storage buffer
Constituents: 100% PBS
Shipped at conditions
Blue Ice
Appropriate short-term storage conditions
+4°C
Appropriate long-term storage conditions
+4°C
Storage information
Do Not Freeze

Supplementary information

This supplementary information is collated from multiple sources and compiled automatically.

The myelin basic protein also referred to as MBP or MBP protein plays an important mechanical role in the central nervous system. It is a major component in the formation and stability of the myelin sheath which wraps around nerve fibers to ensure efficient neural signaling. The molecular weight of MBP can vary due to alternative splicing; one common form has a mass of about 18.5 kDa. MBP is expressed predominantly in oligodendrocytes within the brain and spinal cord where it helps form the myelin sheath. MBP2 is another variant that may be mentioned in some contexts.
Biological function summary

MBP is not just a passive structural element; it binds and interacts with lipids and other proteins to maintain the compact structure of the myelin sheath. MBP forms part of a complex that includes various other proteins and lipids ensuring the stability and function of myelin. Misfolding or altered expression of MBP can compromise myelin integrity affecting the insulation of neural pathways and signal transmission.

Pathways

MBP is an essential component in the pathways of myelination and neural plasticity. It plays a role in the signaling pathways that stimulate the development and maintenance of the myelin sheath. The protein interacts with other elements of the myelin sheath such as proteolipid protein (PLP) and myelin-associated glycoprotein (MAG) to coordinate its formation and repair processes.

MBP is linked closely to multiple sclerosis (MS) and other demyelinating conditions. Damage to or autoimmunity against MBP leads to the degradation of the myelin sheath contributing to the neurological symptoms in MS. The protein interacts with elements of the immune system with autoantibodies targeting MBP often found in MS patients. Another disorder associated with MBP dysfunction is Charcot-Marie-Tooth disease where abnormal MBP expression and structure can impact nerve function.

Product protocols

For this product, it's our understanding that no specific protocols are required. You can visit:

Target data

The classic group of MBP isoforms (isoform 4-isoform 14) are with PLP the most abundant protein components of the myelin membrane in the CNS. They have a role in both its formation and stabilization. The smaller isoforms might have an important role in remyelination of denuded axons in multiple sclerosis. The non-classic group of MBP isoforms (isoform 1-isoform 3/Golli-MBPs) may preferentially have a role in the early developing brain long before myelination, maybe as components of transcriptional complexes, and may also be involved in signaling pathways in T-cells and neural cells. Differential splicing events combined with optional post-translational modifications give a wide spectrum of isomers, with each of them potentially having a specialized function. Induces T-cell proliferation.
See full target information MBP

Product promise

We are committed to supporting your work with high-quality reagents, and we're here for you every step of the way. In the unlikely event that one of our products does not perform as expected, you're protected by our Product Promise.
For full details, please see our Terms & Conditions

Please note: All products are 'FOR RESEARCH USE ONLY. NOT FOR USE IN DIAGNOSTIC OR THERAPEUTIC PROCEDURES'.

For licensing inquiries, please contact partnerships@abcam.com