JavaScript is disabled in your browser. Please enable JavaScript to view this website.
AB233549

Anti-Myelin oligodendrocyte glycoprotein antibody [EPR22629-310] - Oligodendrocyte Marker

5

(3 Reviews)

|

(6 Publications)

Anti-Myelin oligodendrocyte glycoprotein antibody [EPR22629-310] (ab233549) is a rabbit monoclonal antibody detecting Myelin oligodendrocyte glycoprotein in Western Blot, IP, IHC-P, IHC-Fr. Suitable for Human, Mouse, Rat.

- Biophysical QC for unrivalled batch-batch consistency

View Alternative Names

Myelin-oligodendrocyte glycoprotein, MOG

9 Images
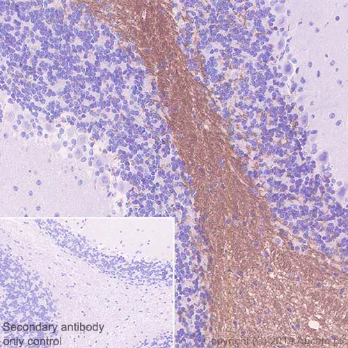
Immunohistochemistry (Formalin/PFA-fixed paraffin-embedded sections) - Anti-Myelin oligodendrocyte glycoprotein antibody [EPR22629-310] - Oligodendrocyte Marker (AB233549)
  • IHC-P

Unknown

Immunohistochemistry (Formalin/PFA-fixed paraffin-embedded sections) - Anti-Myelin oligodendrocyte glycoprotein antibody [EPR22629-310] - Oligodendrocyte Marker (AB233549)

Immunohistochemical analysis of paraffin-embedded human cerebellum tissue labeling Myelin oligodendrocyte glycoprotein with ab233549 at 1/500 dilution, followed by Rabbit specific IHC polymer detection kit HRP/DAB (ab209101). Positive staining on white matter of human cerebellum (PMID : 25421634) is observed. Counter stained with hematoxylin.

Secondary antibody only control : Used PBS instead of primary antibody, secondary antibody is Rabbit specific IHC polymer detection kit HRP/DAB (ab209101).

The section was incubated with ab233549 for 30 mins at room temperature.

The immunostaining was performed on a Leica Biosystems BOND® RX instrument.

Heat mediated antigen retrieval with Tris-EDTA buffer (pH 9.0, epitope retrieval solution 2) for 20mins.

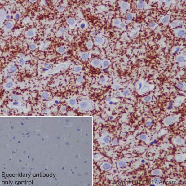
Immunohistochemistry (Formalin/PFA-fixed paraffin-embedded sections) - Anti-Myelin oligodendrocyte glycoprotein antibody [EPR22629-310] - Oligodendrocyte Marker (AB233549)
  • IHC-P

Unknown

Immunohistochemistry (Formalin/PFA-fixed paraffin-embedded sections) - Anti-Myelin oligodendrocyte glycoprotein antibody [EPR22629-310] - Oligodendrocyte Marker (AB233549)

Immunohistochemical analysis of paraffin-embedded mouse cerebellum tissue labeling Myelin oligodendrocyte glycoprotein with ab233549 at 1/500 dilution, followed by Rabbit specific IHC polymer detection kit HRP/DAB (ab209101). Positive staining on white matter of mouse cerebellum (PMID : 25421634) is observed. Counter stained with hematoxylin.

Secondary antibody only control : Used PBS instead of primary antibody, secondary antibody is Rabbit specific IHC polymer detection kit HRP/DAB (ab209101).

The section was incubated with ab233549 for 30 mins at room temperature.

The immunostaining was performed on a Leica Biosystems BOND® RX instrument.

Heat mediated antigen retrieval with Tris-EDTA buffer (pH 9.0, epitope retrieval solution 2) for 20mins.

Immunohistochemistry (Frozen sections) - Anti-Myelin oligodendrocyte glycoprotein antibody [EPR22629-310] - Oligodendrocyte Marker (AB233549)
  • IHC-Fr

Unknown

Immunohistochemistry (Frozen sections) - Anti-Myelin oligodendrocyte glycoprotein antibody [EPR22629-310] - Oligodendrocyte Marker (AB233549)

Frozen section of 4% PFA-fixed, 0.2% Triton X-100 permeabilized rat cerebellum tissue labeling Myelin oligodendrocyte glycoprotein with ab233549 at 1/500 dilution, followed by Goat Anti-Rabbit IgG H&L (Alexa Fluor® 488) (ab150077), at 1/1000 dilution (green). Positive staining on nerve fiber tracts in rat cerebellum (PMID : 26347141) is observed. The nuclear counter stain is DAPI (blue).

Secondary antibody only control : Used PBS instead of primary antibody, secondary antibody is Goat Anti-Rabbit IgG H&L (Alexa Fluor® 488) (ab150077), at 1/1000 dilution.

Heat mediated antigen retrieval using sodium citrate buffer (10mM citrate pH 6.0 + 0.05% Tween-20).

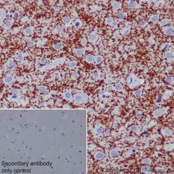
Immunohistochemistry (Formalin/PFA-fixed paraffin-embedded sections) - Anti-Myelin oligodendrocyte glycoprotein antibody [EPR22629-310] - Oligodendrocyte Marker (AB233549)
  • IHC-P

Unknown

Immunohistochemistry (Formalin/PFA-fixed paraffin-embedded sections) - Anti-Myelin oligodendrocyte glycoprotein antibody [EPR22629-310] - Oligodendrocyte Marker (AB233549)

Immunohistochemical analysis of paraffin-embedded rat cerebellum tissue labeling Myelin oligodendrocyte glycoprotein with ab233549 at 1/500 dilution, followed by Rabbit specific IHC polymer detection kit HRP/DAB (ab209101). Positive staining on white matter of rat cerebellum (PMID : 25421634) is observed. Counter stained with hematoxylin.

Secondary antibody only control : Used PBS instead of primary antibody, secondary antibody is Rabbit specific IHC polymer detection kit HRP/DAB (ab209101).

The section was incubated with ab233549 for 30 mins at room temperature.

The immunostaining was performed on a Leica Biosystems BOND® RX instrument.

Heat mediated antigen retrieval with Tris-EDTA buffer (pH 9.0, epitope retrieval solution 2) for 20mins.

Immunohistochemistry (Frozen sections) - Anti-Myelin oligodendrocyte glycoprotein antibody [EPR22629-310] - Oligodendrocyte Marker (AB233549)
  • IHC-Fr

Unknown

Immunohistochemistry (Frozen sections) - Anti-Myelin oligodendrocyte glycoprotein antibody [EPR22629-310] - Oligodendrocyte Marker (AB233549)

Frozen section of 4% PFA-fixed, 0.2% Triton X-100 permeabilized mouse cerebellum tissue labeling Myelin oligodendrocyte glycoprotein with ab233549 at 1/500 dilution, followed by Goat Anti-Rabbit IgG H&L (Alexa Fluor® 488) (ab150077), at 1/1000 dilution (green). Positive staining on nerve fiber tracts in mouse cerebellum (PMID : 26347141) is observed. The nuclear counter stain is DAPI (blue).

Secondary antibody only control : Used PBS instead of primary antibody, secondary antibody is Goat Anti-Rabbit IgG H&L (Alexa Fluor® 488) (ab150077), at 1/1000 dilution.

Heat mediated antigen retrieval using sodium citrate buffer (10mM citrate pH 6.0 + 0.05% Tween-20).

Immunoprecipitation - Anti-Myelin oligodendrocyte glycoprotein antibody [EPR22629-310] - Oligodendrocyte Marker (AB233549)
  • IP

Unknown

Immunoprecipitation - Anti-Myelin oligodendrocyte glycoprotein antibody [EPR22629-310] - Oligodendrocyte Marker (AB233549)

Myelin oligodendrocyte glycoprotein was immunoprecipitated from 0.35 mg of mouse brain tissue lysate whole cell lysate with ab233549 at 1/30 dilution. Western blot was performed from the immunoprecipitate using ab233549 at 1/1000 dilution. VeriBlot for IP Detection Reagent (HRP) (ab131366), was used as secondary antibody at 1/5000 dilution.

Lane 1 : Mouse brain tissue lysate 10 μg (Input).
Lane 2 : ab233549 IP in mouse brain tissue lysate.
Lane 3 : Rabbit monoclonal IgG (ab172730) instead of ab233549 in mouse brain tissue lysate.

Blocking and dilution buffer and concentration : 5% NFDM/TBST.

Exposure time : 30 seconds.

All lanes:

Immunoprecipitation - Anti-Myelin oligodendrocyte glycoprotein antibody [EPR22629-310] - Oligodendrocyte Marker (ab233549)

Predicted band size: 28 kDa

Observed band size: 28 kDa

false

Western blot - Anti-Myelin oligodendrocyte glycoprotein antibody [EPR22629-310] - Oligodendrocyte Marker (AB233549)
  • WB

Unknown

Western blot - Anti-Myelin oligodendrocyte glycoprotein antibody [EPR22629-310] - Oligodendrocyte Marker (AB233549)

Blocking and dilution buffer : 5% NFDM/TBST.

All lanes:

Western blot - Anti-Myelin oligodendrocyte glycoprotein antibody [EPR22629-310] - Oligodendrocyte Marker (ab233549) at 1/1000 dilution

All lanes:

Human brain tissue lysate at 20 µg

Secondary

All lanes:

Western blot - VeriBlot for IP Detection Reagent (HRP) (<a href='/en-us/products/reagents/veriblot-for-ip-detection-reagent-hrp-ab131366'>ab131366</a>) at 1/1000 dilution

Predicted band size: 28 kDa

Observed band size: 28 kDa

false

Exposure time: 3min

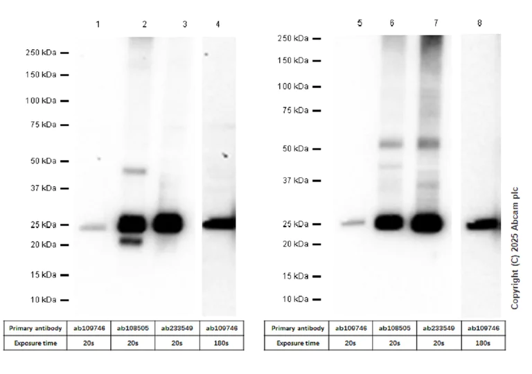
Western blot - Anti-Myelin oligodendrocyte glycoprotein antibody [EPR22629-310] - Oligodendrocyte Marker (AB233549)
  • WB

Lab

Western blot - Anti-Myelin oligodendrocyte glycoprotein antibody [EPR22629-310] - Oligodendrocyte Marker (AB233549)

Exposure time : Lane 1-3&5-7 : 20 seconds; Lane 4&8 : 180 seconds

In Western blot analysis, ab109746 exhibited lower sensitivity compared to ab108505 and ab233549, for which reason we recommend the latter two as superior alternatives

Protocol optimizations including increased protein loading (30-50 μg/lane), reduced primary antibody dilution (1 : 500), and fg-grade ECL substrates are suggested if ab109746 must be used.

Lanes 1, 4, 5 and 8:

Western blot - Anti-Myelin oligodendrocyte glycoprotein antibody [EP4281] - Oligodendrocyte Marker (<a href='/en-us/products/primary-antibodies/myelin-oligodendrocyte-glycoprotein-antibody-ep4281-oligodendrocyte-marker-ab109746'>ab109746</a>) at 1/1000 dilution

Lanes 2 and 6:

Western blot - Anti-Myelin oligodendrocyte glycoprotein antibody [EPR4282] - Oligodendrocyte Marker (<a href='/en-us/products/primary-antibodies/myelin-oligodendrocyte-glycoprotein-antibody-epr4282-oligodendrocyte-marker-ab108505'>ab108505</a>) at 1/1000 dilution

Lanes 3 and 7:

Western blot - Anti-Myelin oligodendrocyte glycoprotein antibody [EPR22629-310] - Oligodendrocyte Marker (ab233549) at 1/1000 dilution

Lanes 1 - 4:

Mouse brain tissue lysate at 20 µg

Lanes 5 - 8:

Rat brain tissue lysate at 20 µg

Secondary

All lanes:

Western blot - Goat Anti-Rabbit IgG H&L (HRP) (<a href='/en-us/products/secondary-antibodies/goat-rabbit-igg-h-l-hrp-ab97051'>ab97051</a>) at 1/20000 dilution

Observed band size: 25 kDa

false

Western blot - Anti-Myelin oligodendrocyte glycoprotein antibody [EPR22629-310] - Oligodendrocyte Marker (AB233549)
  • WB

Unknown

Western blot - Anti-Myelin oligodendrocyte glycoprotein antibody [EPR22629-310] - Oligodendrocyte Marker (AB233549)

Blocking and dilution buffer : 5% NFDM/TBST.

Exposure times.

Lane 1 : 26 seconds; Lane 2 : 10 seconds.

All lanes:

Western blot - Anti-Myelin oligodendrocyte glycoprotein antibody [EPR22629-310] - Oligodendrocyte Marker (ab233549) at 1/1000 dilution

Lane 1:

Mouse brain tissue lysate at 20 µg

Lane 2:

Rat brain tissue lysate at 20 µg

Secondary

All lanes:

Western blot - Goat Anti-Rabbit IgG H&L (HRP) (<a href='/en-us/products/secondary-antibodies/goat-rabbit-igg-h-l-hrp-ab97051'>ab97051</a>) at 1/100000 dilution

Predicted band size: 28 kDa

Observed band size: 28 kDa

false

  • Carrier free

    Anti-Myelin oligodendrocyte glycoprotein antibody [EPR22629-310] - BSA and Azide free

  • 617 Alexa Fluor® 594

    Alexa Fluor® 594 Anti-Myelin oligodendrocyte glycoprotein antibody [EPR22629-310] - Oligodendrocyte Marker

  • 603 Alexa Fluor® 568

    Alexa Fluor® 568 Anti-Myelin oligodendrocyte glycoprotein antibody [EPR22629-310] - Oligodendrocyte Marker

  • 565 Alexa Fluor® 555

    Alexa Fluor® 555 Anti-Myelin oligodendrocyte glycoprotein antibody [EPR22629-310] - Oligodendrocyte Marker

  • 665 Alexa Fluor® 647

    Alexa Fluor® 647 Anti-Myelin oligodendrocyte glycoprotein antibody [EPR22629-310] - Oligodendrocyte Marker

  • 519 Alexa Fluor® 488

    Alexa Fluor® 488 Anti-Myelin oligodendrocyte glycoprotein antibody [EPR22629-310] - Oligodendrocyte Marker

Key facts

Host species

Rabbit

Clonality

Monoclonal

Clone number

EPR22629-310

Isotype

IgG

Carrier free

No

Reacts with

Mouse, Rat, Human

Applications

WB, IP, IHC-Fr, IHC-P

applications

Immunogen

The exact immunogen used to generate this antibody is proprietary information.

Reactivity data

{ "title": "Reactivity Data", "filters": { "stats": ["", "Species", "Dilution Info", "Notes"], "tabs": { "all-applications": {"fullname" : "All Applications", "shortname": "All Applications"}, "WB" : {"fullname" : "Western blot", "shortname":"WB"}, "IP" : {"fullname" : "Immunoprecipitation", "shortname":"IP"}, "IHCFr" : {"fullname" : "Immunohistochemistry (Frozen sections)", "shortname":"IHC-Fr"}, "IHCP" : {"fullname" : "Immunohistochemistry (Formalin/PFA-fixed paraffin-embedded sections)", "shortname":"IHC-P"} }, "product-promise": { "all": "all", "testedAndGuaranteed": "tested", "guaranteed": "expected", "predicted": "predicted", "notRecommended": "not-recommended" } }, "values": { "Human": { "WB-species-checked": "testedAndGuaranteed", "WB-species-dilution-info": "1/1000", "WB-species-notes": "<p></p>", "IP-species-checked": "guaranteed", "IP-species-dilution-info": "", "IP-species-notes": "", "IHCFr-species-checked": "guaranteed", "IHCFr-species-dilution-info": "", "IHCFr-species-notes": "", "IHCP-species-checked": "testedAndGuaranteed", "IHCP-species-dilution-info": "1/500", "IHCP-species-notes": "<p></p>" }, "Mouse": { "WB-species-checked": "testedAndGuaranteed", "WB-species-dilution-info": "1/1000", "WB-species-notes": "<p>In Western blot analysis, <a href='/en-us/products/primary-antibodies/myelin-oligodendrocyte-glycoprotein-antibody-ep4281-oligodendrocyte-marker-ab109746'>ab109746</a> exhibited lower sensitivity compared to <a href='/en-us/products/primary-antibodies/myelin-oligodendrocyte-glycoprotein-antibody-epr4282-oligodendrocyte-marker-ab108505'>ab108505</a> and ab233549, for which reason we recommend the latter two as superior alternatives.</p><p>Protocol optimizations including increased protein loading (30-50 μg/lane), reduced primary antibody dilution (1:500), and fg-grade ECL substrates are suggested if <a href='/en-us/products/primary-antibodies/myelin-oligodendrocyte-glycoprotein-antibody-ep4281-oligodendrocyte-marker-ab109746'>ab109746</a> must be used.</p>", "IP-species-checked": "testedAndGuaranteed", "IP-species-dilution-info": "1/30", "IP-species-notes": "<p></p>", "IHCFr-species-checked": "testedAndGuaranteed", "IHCFr-species-dilution-info": "1/500", "IHCFr-species-notes": "<p>Heat mediated antigen retrieval using sodium citrate buffer (10mM citrate pH 6.0 + 0.05% Tween-20).</p>", "IHCP-species-checked": "testedAndGuaranteed", "IHCP-species-dilution-info": "1/500", "IHCP-species-notes": "<p></p>" }, "Rat": { "WB-species-checked": "testedAndGuaranteed", "WB-species-dilution-info": "1/1000", "WB-species-notes": "<p>In Western blot analysis, <a href='/en-us/products/primary-antibodies/myelin-oligodendrocyte-glycoprotein-antibody-ep4281-oligodendrocyte-marker-ab109746'>ab109746</a> exhibited lower sensitivity compared to <a href='/en-us/products/primary-antibodies/myelin-oligodendrocyte-glycoprotein-antibody-epr4282-oligodendrocyte-marker-ab108505'>ab108505</a> and ab233549, for which reason we recommend the latter two as superior alternatives.</p><p>Protocol optimizations including increased protein loading (30-50 μg/lane), reduced primary antibody dilution (1:500), and fg-grade ECL substrates are suggested if <a href='/en-us/products/primary-antibodies/myelin-oligodendrocyte-glycoprotein-antibody-ep4281-oligodendrocyte-marker-ab109746'>ab109746</a> must be used.</p>", "IP-species-checked": "guaranteed", "IP-species-dilution-info": "", "IP-species-notes": "", "IHCFr-species-checked": "testedAndGuaranteed", "IHCFr-species-dilution-info": "1/500", "IHCFr-species-notes": "<p>Heat mediated antigen retrieval using sodium citrate buffer (10mM citrate pH 6.0 + 0.05% Tween-20).</p>", "IHCP-species-checked": "testedAndGuaranteed", "IHCP-species-dilution-info": "1/500", "IHCP-species-notes": "<p></p>" } } }

Product details

What is this antibody validated in?
Anti-Myelin oligodendrocyte glycoprotein antibody [EPR22629-310] (ab233549) is a rabbit recombinant monoclonal antibody and is validated for use in Western Blot (WB), Immunoprecipitation (IP), Immunohistochemistry (IHC-P), Immunohistochemistry (IHC-Fr) in Human, Mouse, Rat samples.

What is the molecular weight of Myelin oligodendrocyte glycoprotein?
Anti-Myelin oligodendrocyte glycoprotein [EPR22629-310] (ab233549) specifically detects a band for Myelin oligodendrocyte glycoprotein (UniProt: Q61885) at a molecular weight of 28kDa.

Trial sizes available!
Test your antibody or perform pre-screening before committing to a larger quantity. Sold in 10µl. Discover our selection of trial-size antibodies.

Other related products
We have a range of other formats of antibody clone [EPR22629-310] also available for your convenience: ab233549, Carrier free - ab255266, Alexa Fluor® 594 - ab305372, Alexa Fluor® 647 - ab306598, Alexa Fluor® 488 - ab306602, Alexa Fluor® 555 - ab307127

Patented technology
Our RabMAb® technology is a patented hybridoma-based technology for making rabbit monoclonal antibodies. For details on our patents, please refer to RabMAb® patents.

What are the advantages of a recombinant monoclonal antibody?
This product is a recombinant monoclonal antibody, which offers several advantages including:

  • - High batch-to-batch consistency and reproducibility
  • - Improved sensitivity and specificity
  • - Long-term security of supply
  • - Animal-free batch production

For more information, read more on recombinant antibodies.

Properties and storage information

Form
Liquid
Purification technique
Affinity purification Protein A
Storage buffer
pH: 7.2 - 7.4 Preservative: 0.01% Sodium azide Constituents: PBS, 40% Glycerol (glycerin, glycerine), 0.05% BSA
Shipped at conditions
Blue Ice
Appropriate short-term storage duration
1-2 weeks
Appropriate short-term storage conditions
+4°C
Appropriate long-term storage conditions
-20°C
Aliquoting information
Upon delivery aliquot
Storage information
Avoid freeze / thaw cycle

Supplementary information

This supplementary information is collated from multiple sources and compiled automatically.

Myelin oligodendrocyte glycoprotein (MOG) also known as MOG protein or MOG glycoprotein is a lesser-known but important component of the central nervous system myelin. The MOG protein has a molecular mass of approximately 26 to 28 kDa. You will find it expressed on the surface of myelin sheaths and oligodendrocytes. This protein plays a role in the myelination process acting as a potential adhesive molecule or signaling molecule contributing to the stability and integrity of the myelin structure. Oligodendrocyte staining techniques can help visualize the distribution and expression patterns of MOG making it important for research purposes.
Biological function summary

MOG influences the immune response and possibly adhesion between myelin membranes. Although it does not form part of a larger well-defined complex it may interact with other myelin-associated proteins to contribute to myelin construction and maintenance. MOG's involvement in these processes supports myelin sheath formation and function aiding electrical conduction in nerve cells. The protein's exposure on the myelin membrane makes it a possible target for immune attacks hinting at its role in autoimmunity.

Pathways

MOG is involved in immune responses and central nervous system pathways. One significant pathway is the autoimmune pathway where MOG can engage with or be targeted by autoimmune antibodies. It interacts with other proteins like myelin basic protein (MBP) in maintaining myelin structures and influencing immunological functions. This interaction implies that disturbances in these pathways might contribute to numerous neurological disorders.

MOG plays a critical role in conditions such as multiple sclerosis and neuromyelitis optica. In multiple sclerosis MOG is a target of autoantibodies leading to demyelination and loss of neural function. In neuromyelitis optica MOG antibodies may contribute to severe inflammation and damage in optic nerves and spinal cord. The connection between MOG and these diseases highlights associations with other proteins like aquaporin-4 which are similarly targeted in associated autoimmune responses. Understanding these relationships is key for developing diagnostics or therapies involving MOG ELISA methods to detect MOG-specific antibodies in patient samples.

Product protocols

For this product, it's our understanding that no specific protocols are required. You can visit:

Target data

Mediates homophilic cell-cell adhesion (By similarity). Minor component of the myelin sheath. May be involved in completion and/or maintenance of the myelin sheath and in cell-cell communication.. (Microbial infection) Acts as a receptor for rubella virus.
See full target information MOG

Publications (6)

Recent publications for all applications. Explore the full list and refine your search

Molecular psychiatry : PubMed40993340

2025

Increased expression of ATase1/NAT8B or ATase2/NAT8 in the mouse results in an autistic-like phenotype with altered dendritic branching and spine formation.

Applications

Unspecified application

Species

Unspecified reactive species

Balagangadharan Kalimuthu,Haiyan Lu,Angelique Steenhagen,Qiping Dong,Mitchell Gray,Michael J Rigby,Andreas Endresen,Qiang Chang,Lingjun Li,Luigi Puglielli

Nature methods 22:1911-1922 PubMed40954300

2025

Scaling up spatial transcriptomics for large-sized tissues: uncovering cellular-level tissue architecture beyond conventional platforms with iSCALE.

Applications

Unspecified application

Species

Unspecified reactive species

Amelia Schroeder,Melanie L Loth,Chunyu Luo,Sicong Yao,Hanying Yan,Daiwei Zhang,Sarbottam Piya,Edward Plowey,Wenxing Hu,Jean R Clemenceau,Inyeop Jang,Minji Kim,Isabel Barnfather,Su Jing Chan,Taylor L Reynolds,Thomas Carlile,Patrick Cullen,Ji-Youn Sung,Hui-Hsin Tsai,Jeong Hwan Park,Tae Hyun Hwang,Baohong Zhang,Mingyao Li

Frontiers in pharmacology 16:1590624 PubMed40843375

2025

DMH1-loaded peptide nanomicelles restore myelin and attenuate neuroinflammation in trigeminal neuralgia via CCL5 suppression.

Applications

Unspecified application

Species

Unspecified reactive species

Shuangyin Xia,Xiunan Qin,Yaping Wang

Signal transduction and targeted therapy 10:167 PubMed40425583

2025

Arginase 1 drives mitochondrial cristae remodeling and PANoptosis in ischemia/hypoxia-induced vascular dysfunction.

Applications

Unspecified application

Species

Unspecified reactive species

Han She,Jie Zheng,Guozhi Zhao,Yunxia Du,Lei Tan,Zhe-Sheng Chen,Yinyu Wu,Yong Li,Yiyan Liu,Yue Sun,Yi Hu,Deyu Zuo,Qingxiang Mao,Liangming Liu,Tao Li

Glia 73:1452-1466 PubMed40105030

2025

The X-Linked Intellectual Disability Gene, ZDHHC9 , Is Important for Oligodendrocyte Subtype Determination and Myelination.

Applications

Unspecified application

Species

Unspecified reactive species

Rocio B White,Angela R Wild,Timothy P O'Leary,Andrew J Thompson,Stephane Flibotte,Angie Peng,Jason C Rogalski,Mila Mair,Neeki Derhami,Shernaz X Bamji

Oxidative medicine and cellular longevity 2022:3800004 PubMed36092158

2022

Bu Shen Yi Sui Capsule Promotes Myelin Repair by Modulating the Transformation of A1/A2 Reactive Astrocytes and .

Applications

Unspecified application

Species

Unspecified reactive species

Zheng Zha,Yi-Jiang Liu,Si-Si Liu,Nan Zhang,Jun-Ling Li,Fang Qi,Liang-Yun Jin,Bing Xue,Tao Yang,Yong-Ping Fan,Hui Zhao,Lei Wang
View all publications

Product promise

We are committed to supporting your work with high-quality reagents, and we're here for you every step of the way. In the unlikely event that one of our products does not perform as expected, you're protected by our Product Promise.
For full details, please see our Terms & Conditions

Please note: All products are 'FOR RESEARCH USE ONLY. NOT FOR USE IN DIAGNOSTIC OR THERAPEUTIC PROCEDURES'.

For licensing inquiries, please contact partnerships@abcam.com