JavaScript is disabled in your browser. Please enable JavaScript to view this website.
AB247674

Anti-Myelin oligodendrocyte glycoprotein antibody [EPR4282] - BSA and Azide free

Be the first to review this product! Submit a review

|

(1 Publication)

Rabbit Recombinant Monoclonal Myelin oligodendrocyte glycoprotein antibody. Carrier free. Suitable for WB and reacts with Human, Rat, Mouse samples. Cited in 1 publication.

View Alternative Names

Myelin-oligodendrocyte glycoprotein, MOG

2 Images
Western blot - Anti-Myelin oligodendrocyte glycoprotein antibody [EPR4282] - BSA and Azide free (AB247674)
  • WB

Unknown

Western blot - Anti-Myelin oligodendrocyte glycoprotein antibody [EPR4282] - BSA and Azide free (AB247674)

This data was developed using ab108505, the same antibody clone in a different buffer formulation.

All lanes:

Western blot - Anti-Myelin oligodendrocyte glycoprotein antibody [EPR4282] - Oligodendrocyte Marker (<a href='/en-us/products/primary-antibodies/myelin-oligodendrocyte-glycoprotein-antibody-epr4282-oligodendrocyte-marker-ab108505'>ab108505</a>) at 1/1000 dilution

Lane 1:

Human brain lysate at 10 µg

Lane 2:

Mouse brain lysate at 10 µg

Lane 3:

Rat brain lysate at 10 µg

Predicted band size: 28 kDa

Observed band size: 28 kDa

false

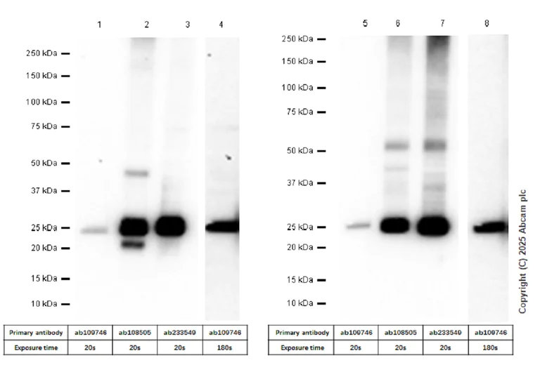
Western blot - Anti-Myelin oligodendrocyte glycoprotein antibody [EPR4282] - BSA and Azide free (AB247674)
  • WB

Lab

Western blot - Anti-Myelin oligodendrocyte glycoprotein antibody [EPR4282] - BSA and Azide free (AB247674)

This data was developed using ab108505, the same antibody clone in a different buffer formulation.

Exposure time : Lane 1-3&5-7 : 20 seconds; Lane 4&8 : 180 seconds

In Western blot analysis, ab109746 exhibited lower sensitivity compared to ab108505 and ab233549, for which reason we recommend the latter two as superior alternatives

Protocol optimizations including increased protein loading (30-50 μg/lane), reduced primary antibody dilution (1 : 500), and fg-grade ECL substrates are suggested if ab109746 must be used.

Lanes 1, 4, 5 and 8:

Western blot - Anti-Myelin oligodendrocyte glycoprotein antibody [EP4281] - Oligodendrocyte Marker (<a href='/en-us/products/primary-antibodies/myelin-oligodendrocyte-glycoprotein-antibody-ep4281-oligodendrocyte-marker-ab109746'>ab109746</a>) at 1/1000 dilution

Lanes 2 and 6:

Western blot - Anti-Myelin oligodendrocyte glycoprotein antibody [EPR4282] - Oligodendrocyte Marker (<a href='/en-us/products/primary-antibodies/myelin-oligodendrocyte-glycoprotein-antibody-epr4282-oligodendrocyte-marker-ab108505'>ab108505</a>) at 1/1000 dilution

Lanes 3 and 7:

Western blot - Anti-Myelin oligodendrocyte glycoprotein antibody [EPR22629-310] - Oligodendrocyte Marker (<a href='/en-us/products/primary-antibodies/myelin-oligodendrocyte-glycoprotein-antibody-epr22629-310-oligodendrocyte-marker-ab233549'>ab233549</a>) at 1/1000 dilution

Lanes 1 - 4:

Mouse brain tissue lysate at 20 µg

Lanes 5 - 8:

Rat brain tissue lysate at 20 µg

Secondary

All lanes:

Western blot - Goat Anti-Rabbit IgG H&L (HRP) (<a href='/en-us/products/secondary-antibodies/goat-rabbit-igg-h-l-hrp-ab97051'>ab97051</a>) at 1/20000 dilution

Observed band size: 25 kDa

false

  • Unconjugated

    Anti-Myelin oligodendrocyte glycoprotein antibody [EPR4282] - Oligodendrocyte Marker

Key facts

Host species

Rabbit

Clonality

Monoclonal

Clone number

EPR4282

Isotype

IgG

Carrier free

Yes

Reacts with

Mouse, Rat, Human

Applications

WB

applications

Immunogen

The exact immunogen used to generate this antibody is proprietary information.

Reactivity data

{ "title": "Reactivity Data", "filters": { "stats": ["", "Species", "Dilution Info", "Notes"], "tabs": { "all-applications": {"fullname" : "All Applications", "shortname": "All Applications"}, "WB" : {"fullname" : "Western blot", "shortname":"WB"}, "IP" : {"fullname" : "Immunoprecipitation", "shortname":"IP"}, "ICCIF" : {"fullname" : "Immunocytochemistry/ Immunofluorescence", "shortname":"ICC/IF"}, "FlowCyt" : {"fullname" : "Flow Cytometry", "shortname":"Flow Cyt"}, "IHCP" : {"fullname" : "Immunohistochemistry (Formalin/PFA-fixed paraffin-embedded sections)", "shortname":"IHC-P"} }, "product-promise": { "all": "all", "testedAndGuaranteed": "tested", "guaranteed": "expected", "predicted": "predicted", "notRecommended": "not-recommended" } }, "values": { "Human": { "WB-species-checked": "testedAndGuaranteed", "WB-species-dilution-info": "", "WB-species-notes": "<p></p>", "IP-species-checked": "notRecommended", "IP-species-dilution-info": "", "IP-species-notes": "<p></p>", "ICCIF-species-checked": "notRecommended", "ICCIF-species-dilution-info": "", "ICCIF-species-notes": "<p></p>", "FlowCyt-species-checked": "notRecommended", "FlowCyt-species-dilution-info": "", "FlowCyt-species-notes": "<p></p>", "IHCP-species-checked": "notRecommended", "IHCP-species-dilution-info": "", "IHCP-species-notes": "<p></p>" }, "Mouse": { "WB-species-checked": "testedAndGuaranteed", "WB-species-dilution-info": "", "WB-species-notes": "<p>In Western blot analysis, <a href='/en-us/products/primary-antibodies/myelin-oligodendrocyte-glycoprotein-antibody-ep4281-oligodendrocyte-marker-ab109746'>ab109746</a> exhibited lower sensitivity compared to <a href='/en-us/products/primary-antibodies/myelin-oligodendrocyte-glycoprotein-antibody-epr4282-oligodendrocyte-marker-ab108505'>ab108505</a> and <a href='/en-us/products/primary-antibodies/myelin-oligodendrocyte-glycoprotein-antibody-epr22629-310-oligodendrocyte-marker-ab233549'>ab233549</a>, for which reason we recommend the latter two as superior alternatives.</p><p>Protocol optimizations including increased protein loading (30-50 μg/lane), reduced primary antibody dilution (1:500), and fg-grade ECL substrates are suggested if <a href='/en-us/products/primary-antibodies/myelin-oligodendrocyte-glycoprotein-antibody-ep4281-oligodendrocyte-marker-ab109746'>ab109746</a> must be used.</p>", "IP-species-checked": "notRecommended", "IP-species-dilution-info": "", "IP-species-notes": "<p></p>", "ICCIF-species-checked": "notRecommended", "ICCIF-species-dilution-info": "", "ICCIF-species-notes": "<p></p>", "FlowCyt-species-checked": "notRecommended", "FlowCyt-species-dilution-info": "", "FlowCyt-species-notes": "<p></p>", "IHCP-species-checked": "notRecommended", "IHCP-species-dilution-info": "", "IHCP-species-notes": "<p></p>" }, "Rat": { "WB-species-checked": "testedAndGuaranteed", "WB-species-dilution-info": "", "WB-species-notes": "<p>In Western blot analysis, <a href='/en-us/products/primary-antibodies/myelin-oligodendrocyte-glycoprotein-antibody-ep4281-oligodendrocyte-marker-ab109746'>ab109746</a> exhibited lower sensitivity compared to <a href='/en-us/products/primary-antibodies/myelin-oligodendrocyte-glycoprotein-antibody-epr4282-oligodendrocyte-marker-ab108505'>ab108505</a> and <a href='/en-us/products/primary-antibodies/myelin-oligodendrocyte-glycoprotein-antibody-epr22629-310-oligodendrocyte-marker-ab233549'>ab233549</a>, for which reason we recommend the latter two as superior alternatives.</p><p>Protocol optimizations including increased protein loading (30-50 μg/lane), reduced primary antibody dilution (1:500), and fg-grade ECL substrates are suggested if <a href='/en-us/products/primary-antibodies/myelin-oligodendrocyte-glycoprotein-antibody-ep4281-oligodendrocyte-marker-ab109746'>ab109746</a> must be used.</p>", "IP-species-checked": "notRecommended", "IP-species-dilution-info": "", "IP-species-notes": "<p></p>", "ICCIF-species-checked": "notRecommended", "ICCIF-species-dilution-info": "", "ICCIF-species-notes": "<p></p>", "FlowCyt-species-checked": "notRecommended", "FlowCyt-species-dilution-info": "", "FlowCyt-species-notes": "<p></p>", "IHCP-species-checked": "notRecommended", "IHCP-species-dilution-info": "", "IHCP-species-notes": "<p></p>" } } }

Product details

ab247674 is the carrier-free version of ab108505.

Patented technology
Our RabMAb® technology is a patented hybridoma-based technology for making rabbit monoclonal antibodies. For details on our patents, please refer to RabMAb® patents.

What are the advantages of a recombinant monoclonal antibody?
This product is a recombinant monoclonal antibody, which offers several advantages including:

  • - High batch-to-batch consistency and reproducibility
  • - Improved sensitivity and specificity
  • - Long-term security of supply
  • - Animal-free batch production

For more information, read more on recombinant antibodies.

Conjugation ready
Our carrier-free antibodies are typically supplied in a PBS-only formulation, purified and free of BSA, sodium azide and glycerol. This conjugation-ready format is designed for use with fluorochromes, metal isotopes, oligonucleotides, and enzymes, which makes them ideal for antibody labelling, functional and cell-based assays, flow-based assays (e.g. mass cytometry) and Multiplex Imaging applications.

Use our conjugation kits for antibody conjugates that are ready-to-use in as little as 20 minutes with 1 minute hands-on-time and 100% antibody recovery: available for fluorescent dyes, HRP, biotin and gold.

Compatibility
This product is compatible with the Maxpar® Antibody Labeling Kit from Fluidigm, without the need for antibody preparation. Maxpar® is a trademark of Fluidigm Canada Inc.

Properties and storage information

Form
Liquid
Purification technique
Affinity purification
Storage buffer
pH: 7.2 - 7.4 Constituents: PBS
Shipped at conditions
Blue Ice
Appropriate short-term storage conditions
+4°C
Appropriate long-term storage conditions
+4°C
Storage information
Do Not Freeze

Supplementary information

This supplementary information is collated from multiple sources and compiled automatically.

Myelin oligodendrocyte glycoprotein (MOG) also known as MOG protein or MOG glycoprotein is a lesser-known but important component of the central nervous system myelin. The MOG protein has a molecular mass of approximately 26 to 28 kDa. You will find it expressed on the surface of myelin sheaths and oligodendrocytes. This protein plays a role in the myelination process acting as a potential adhesive molecule or signaling molecule contributing to the stability and integrity of the myelin structure. Oligodendrocyte staining techniques can help visualize the distribution and expression patterns of MOG making it important for research purposes.
Biological function summary

MOG influences the immune response and possibly adhesion between myelin membranes. Although it does not form part of a larger well-defined complex it may interact with other myelin-associated proteins to contribute to myelin construction and maintenance. MOG's involvement in these processes supports myelin sheath formation and function aiding electrical conduction in nerve cells. The protein's exposure on the myelin membrane makes it a possible target for immune attacks hinting at its role in autoimmunity.

Pathways

MOG is involved in immune responses and central nervous system pathways. One significant pathway is the autoimmune pathway where MOG can engage with or be targeted by autoimmune antibodies. It interacts with other proteins like myelin basic protein (MBP) in maintaining myelin structures and influencing immunological functions. This interaction implies that disturbances in these pathways might contribute to numerous neurological disorders.

MOG plays a critical role in conditions such as multiple sclerosis and neuromyelitis optica. In multiple sclerosis MOG is a target of autoantibodies leading to demyelination and loss of neural function. In neuromyelitis optica MOG antibodies may contribute to severe inflammation and damage in optic nerves and spinal cord. The connection between MOG and these diseases highlights associations with other proteins like aquaporin-4 which are similarly targeted in associated autoimmune responses. Understanding these relationships is key for developing diagnostics or therapies involving MOG ELISA methods to detect MOG-specific antibodies in patient samples.

Product protocols

For this product, it's our understanding that no specific protocols are required. You can visit:

Target data

Mediates homophilic cell-cell adhesion (By similarity). Minor component of the myelin sheath. May be involved in completion and/or maintenance of the myelin sheath and in cell-cell communication.. (Microbial infection) Acts as a receptor for rubella virus.
See full target information MOG

Publications (1)

Recent publications for all applications. Explore the full list and refine your search

NPJ precision oncology 7:95 PubMed37723227

2023

Targeted single-cell proteomic analysis identifies new liquid biopsy biomarkers associated with multiple myeloma.

Applications

Unspecified application

Species

Unspecified reactive species

Sonia M Setayesh,Libere J Ndacayisaba,Kate E Rappard,Valerie Hennes,Luz Yurany Moreno Rueda,Guilin Tang,Pei Lin,Robert Z Orlowski,David E Symer,Elisabet E Manasanch,Stephanie N Shishido,Peter Kuhn
View all publications

Product promise

We are committed to supporting your work with high-quality reagents, and we're here for you every step of the way. In the unlikely event that one of our products does not perform as expected, you're protected by our Product Promise.
For full details, please see our Terms & Conditions

Please note: All products are 'FOR RESEARCH USE ONLY. NOT FOR USE IN DIAGNOSTIC OR THERAPEUTIC PROCEDURES'.

For licensing inquiries, please contact partnerships@abcam.com