JavaScript is disabled in your browser. Please enable JavaScript to view this website.
AB275751

Anti-Myelin PLP antibody [EPR23504-106] - BSA and Azide free

  • BOND RX™ Validated
  • RabMAb
  • Advanced Validation
  • Recombinant
  • What is this?

5

(1 Review)

|

(1 Publication)

Rabbit Recombinant Monoclonal Myelin PLP antibody. Carrier free. Suitable for ICC/IF, IP, WB, mIHC, IHC-Fr, IHC-P and reacts with Mouse, Rat, Human samples. Cited in 1 publication.

View Alternative Names

PLP, PLP1, Myelin proteolipid protein, Lipophilin

16 Images
Multiplex immunohistochemistry - Anti-Myelin PLP antibody [EPR23504-106] - BSA and Azide free (AB275751)
  • mIHC

Lab

Multiplex immunohistochemistry - Anti-Myelin PLP antibody [EPR23504-106] - BSA and Azide free (AB275751)

Fluorescence multiplex immunohistochemical analysis of the human cerebrum (Formalin/PFA-fixed paraffin-embedded sections). Panel A : merged staining of anti-GFAP (ab68428, gray; Opal™690), anti-Myelin PLP (ab254363, green; Opal™520) and anti-P2Y12 (ab254347, red; Opal™570) on human cerebrum. Panel B : anti-P2Y12 stained on microglial cells. Panel C : anti-Myelin PLP stained on myelin sheaths of oligodendrocytes. Panel D : anti-GFAP stained on astrocytes. Opal Polymer HRP Ms + Rb was used as a secondary antibody. The immunostaining was performed on a Leica Biosystems BOND® RX instrument with an Opal™ 4-color kit. The section was incubated in three rounds of staining : in the order of ab68428 (1/50 dilution), ab254363 (1/2000 dilution), and ab254347 (1/1000 dilution) for 30 mins at room temperature. Each round was followed by a separate fluorescent tyramide signal amplification system. Heat mediated antigen retrieval with Tris-EDTA buffer (pH 9.0, epitope retrieval solution2) for 20 mins. DAPI (blue) was used as a nuclear counter stain. Image acquisition was performed with Leica SP8 confocal microscope.

This data was developed using ab254363, the same antibody clone in a different buffer formulation.

Multiplex immunohistochemistry - Anti-Myelin PLP antibody [EPR23504-106] - BSA and Azide free (AB275751)
  • mIHC

Lab

Multiplex immunohistochemistry - Anti-Myelin PLP antibody [EPR23504-106] - BSA and Azide free (AB275751)

Fluorescence multiplex immunohistochemical analysis of the human cerebellum (Formalin/PFA-fixed paraffin-embedded sections). Panel A : merged staining of anti-GFAP (ab68428, gray; Opal™690), anti-Myelin PLP (ab254363, green; Opal™520) and anti-P2Y12 (ab254347 red; Opal™570) on human cerebellum. Panel B : anti-P2Y12 stained on microglial cells. Panel C : anti-Myelin PLP stained on myelin sheaths of oligodendrocytes. Panel D : anti-GFAP stained on astrocytes. Opal Polymer HRP Ms + Rb was used as a secondary antibody. The immunostaining was performed on a Leica Biosystems BOND® RX instrument with an Opal™ 4-color kit. The section was incubated in three rounds of staining : in the order of ab68428 (1/50 dilution), ab254363 (1/2000 dilution), and ab254347 (1/1000 dilution) for 30 mins at room temperature. Each round was followed by a separate fluorescent tyramide signal amplification system. Heat mediated antigen retrieval with Tris-EDTA buffer (pH 9.0, epitope retrieval solution2) for 20 mins. DAPI (blue) was used as a nuclear counter stain. Image acquisition was performed with Leica SP8 confocal microscope.

This data was developed using ab254363, the same antibody clone in a different buffer formulation.

Immunohistochemistry (Formalin/PFA-fixed paraffin-embedded sections) - Anti-Myelin PLP antibody [EPR23504-106] - BSA and Azide free (AB275751)
  • IHC-P

Unknown

Immunohistochemistry (Formalin/PFA-fixed paraffin-embedded sections) - Anti-Myelin PLP antibody [EPR23504-106] - BSA and Azide free (AB275751)

This data was developed using ab254363, the same antibody clone in a different buffer formulation.

Immunohistochemical analysis of paraffin-embedded Human cerebrum tissue labeling Myelin PLP with ab254363 at 1/2000 (0.261 ug/ml) dilution followed by a ready to use Rabbit specific IHC polymer detection kit HRP/DAB (ab209101). Positive staining on human cerebrum (PMID : 29081415). Counterstained with Hematoxylin.

Secondary antibody only control : Secondary antibody is a ready to use Rabbit specific IHC polymer detection kit HRP/DAB (ab209101).

Heat mediated antigen retrieval with Tris-EDTA buffer (pH 9.0, epitope retrieval solution2) for 20 mins.

Multiplex immunohistochemistry - Anti-Myelin PLP antibody [EPR23504-106] - BSA and Azide free (AB275751)
  • mIHC

Lab

Multiplex immunohistochemistry - Anti-Myelin PLP antibody [EPR23504-106] - BSA and Azide free (AB275751)

Fluorescence multiplex immunohistochemical analysis of human cerebrum tissue (formalin/PFA-fixed paraffin-embedded section). Panel A : merged staining of anti-GFAP (ab68428, gray; Opal™690), anti-Myelin PLP (ab254363, green; Opal™520) and anti-MAP2 (ab254263, red; Opal™570) on human cerebrum tissue. Panel B : anti-MAP2 stained cell body and dendrites of neurons. Panel C : anti-Myelin PLP stained on myelin sheaths of oligodendrocytes. Panel D : anti-GFAP stained on astrocytes. Opal Polymer HRP Ms + Rb was used as a secondary antibody. The immunostaining was performed on a Leica Biosystems BOND®RX instrument with an Opal™ 4-color kit. The section was incubated in three rounds of staining : in the order of ab68428 (1/50 dilution), ab254363 (1/2000 dilution), and ab254263 (1/4000 dilution) for 30 mins at room temperature. Each round was followed by a separate fluorescent tyramide signal amplification system. Heat mediated antigen retrieval with Tris-EDTA buffer (pH 9.0, epitope retrieval solution 2) was used for 20 mins. DAPI (blue) was used as a nuclear counter stain. Image acquisition was performed with Leica SP8 confocal microscope.

The data was developed using ab254363, the same antibody clone in a different buffer formulation.

Multiplex immunohistochemistry - Anti-Myelin PLP antibody [EPR23504-106] - BSA and Azide free (AB275751)
  • mIHC

Lab

Multiplex immunohistochemistry - Anti-Myelin PLP antibody [EPR23504-106] - BSA and Azide free (AB275751)

Fluorescence multiplex immunohistochemical analysis of human cerebellum tissue (formalin/PFA-fixed paraffin-embedded section). Panel A : merged staining of anti-GFAP (ab68428, gray; Opal™690), anti-Myelin PLP (ab254363, green; Opal™520) and anti-MAP2 (ab254263, red; Opal™570) on human cerebellum tissue. Panel B : anti-MAP2 stained cell body and dendrites of neurons. Panel C : anti-Myelin PLP stained on myelin sheaths of oligodendrocytes. Panel D : anti-GFAP stained on astrocytes. Opal Polymer HRP Ms + Rb was used as a secondary antibody. The immunostaining was performed on a Leica Biosystems BOND®RX instrument with an Opal™ 4-color kit. The section was incubated in three rounds of staining : in the order of ab68428 (1/50 dilution), ab254363 (1/2000 dilution), and ab254263 (1/4000 dilution) for 30 mins at room temperature. Each round was followed by a separate fluorescent tyramide signal amplification system. Heat mediated antigen retrieval with Tris-EDTA buffer (pH 9.0, epitope retrieval solution 2) was used for 20 mins. DAPI (blue) was used as a nuclear counter stain. Image acquisition was performed with Leica SP8 confocal microscope.

This data was developed using ab254363, the same antibody clone in a different buffer formulation.

Immunohistochemistry (Frozen sections) - Anti-Myelin PLP antibody [EPR23504-106] - BSA and Azide free (AB275751)
  • IHC-Fr

Unknown

Immunohistochemistry (Frozen sections) - Anti-Myelin PLP antibody [EPR23504-106] - BSA and Azide free (AB275751)

This data was developed using ab254363, the same antibody clone in a different buffer formulation.

Immunohistochemical analysis of 4% PFA-fixed, 0.2% Triton X-100 permeabilized frozen Mouse cerebellum tissue labeling Myelin PLP with ab254363 at 1/500 (1.042 ug/ml) dilution followed by ab150077 Goat Anti-Rabbit IgG H&L (Alexa Fluor® 488) at 1/1000 dilution (Green). Positive staining on mouse cerebellum. The nuclear counterstain was DAPI (Blue).

Secondary antibody control : Secondary antibody is ab150077 Goat Anti-Rabbit IgG H&L (Alexa Fluor® 488)at 1/1000 dilution.

Heat mediated antigen retrieval using sodium citrate buffer (10mM citrate pH 6.0 + 0.05% Tween-20).

Immunohistochemistry (Formalin/PFA-fixed paraffin-embedded sections) - Anti-Myelin PLP antibody [EPR23504-106] - BSA and Azide free (AB275751)
  • IHC-P

Unknown

Immunohistochemistry (Formalin/PFA-fixed paraffin-embedded sections) - Anti-Myelin PLP antibody [EPR23504-106] - BSA and Azide free (AB275751)

This data was developed using ab254363, the same antibody clone in a different buffer formulation.

Immunohistochemical analysis of paraffin-embedded Rat cerebrum tissue labeling Myelin PLP with ab254363 at 1/2000 (0.261 ug/ml) dilution followed by a ready to use Rabbit specific IHC polymer detection kit HRP/DAB (ab209101). Positive staining on rat cerebrum. Counterstained with Hematoxylin.

Secondary antibody only control : Secondary antibody is a ready to use Rabbit specific IHC polymer detection kit HRP/DAB (ab209101).

Heat mediated antigen retrieval with Tris-EDTA buffer (pH 9.0, epitope retrieval solution2) for 20 mins.

Immunohistochemistry (Frozen sections) - Anti-Myelin PLP antibody [EPR23504-106] - BSA and Azide free (AB275751)
  • IHC-Fr

Unknown

Immunohistochemistry (Frozen sections) - Anti-Myelin PLP antibody [EPR23504-106] - BSA and Azide free (AB275751)

This data was developed using ab254363, the same antibody clone in a different buffer formulation.

Immunohistochemical analysis of 4% PFA-fixed, 0.2% Triton X-100 permeabilized frozen Rat cerebrum tissue labeling Myelin PLP with ab254363 at 1/500 (1.042 ug/ml) dilution followed by ab150077 Goat Anti-Rabbit IgG H&L (Alexa Fluor® 488) at 1/1000 dilution (Green). Positive staining on rat cerebrum. is observed. The nuclear counterstain was DAPI (Blue).

Secondary antibody control : Secondary antibody is ab150077 Goat Anti-Rabbit IgG H&L (Alexa Fluor® 488) at 1/1000 dilution.

Heat mediated antigen retrieval using sodium citrate buffer (10mM citrate pH 6.0 + 0.05% Tween-20).

Immunohistochemistry (Frozen sections) - Anti-Myelin PLP antibody [EPR23504-106] - BSA and Azide free (AB275751)
  • IHC-Fr

Unknown

Immunohistochemistry (Frozen sections) - Anti-Myelin PLP antibody [EPR23504-106] - BSA and Azide free (AB275751)

This data was developed using ab254363, the same antibody clone in a different buffer formulation.

Immunohistochemical analysis of 4% PFA-fixed, 0.2% Triton X-100 permeabilized frozen Mouse cerebrum tissue labeling Myelin PLP with ab254363 at 1/500 (1.042 ug/ml) dilution followed by ab150077 Goat Anti-Rabbit IgG H&L (Alexa Fluor® 488) at 1/1000 dilution (Green). Positive staining on mouse cerebrum. The nuclear counterstain was DAPI (Blue).

Secondary antibody control : Secondary antibody is ab150077 Goat Anti-Rabbit IgG H&L (Alexa Fluor® 488) at 1/1000 dilution.

Heat mediated antigen retrieval using sodium citrate buffer (10mM citrate pH 6.0 + 0.05% Tween-20).

Immunohistochemistry (Formalin/PFA-fixed paraffin-embedded sections) - Anti-Myelin PLP antibody [EPR23504-106] - BSA and Azide free (AB275751)
  • IHC-P

Unknown

Immunohistochemistry (Formalin/PFA-fixed paraffin-embedded sections) - Anti-Myelin PLP antibody [EPR23504-106] - BSA and Azide free (AB275751)

This data was developed using ab254363, the same antibody clone in a different buffer formulation.

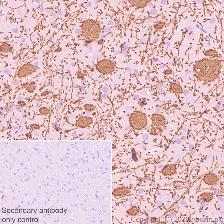
Immunohistochemical analysis of paraffin-embedded Mouse cerebrum tissue labeling Myelin PLP with ab254363 at 1/2000 (0.261 ug/ml) dilution followed by a ready to use Rabbit specific IHC polymer detection kit HRP/DAB (ab209101). Positive staining on mouse cerebrum (PMID : 28066178). Counterstained with Hematoxylin.

Secondary antibody only control : Secondary antibody is a ready to use Rabbit specific IHC polymer detection kit HRP/DAB (ab209101).

Heat mediated antigen retrieval with Tris-EDTA buffer (pH 9.0, epitope retrieval solution2) for 20 mins.

Immunocytochemistry/ Immunofluorescence - Anti-Myelin PLP antibody [EPR23504-106] - BSA and Azide free (AB275751)
  • ICC/IF

Unknown

Immunocytochemistry/ Immunofluorescence - Anti-Myelin PLP antibody [EPR23504-106] - BSA and Azide free (AB275751)

Immunocytochemistry analysis of mouse primary neural/glia cells labelling Myelin PLP with ab254363 at 1/50 dilution. Cells were fixed with 4% paraformaldehyde. Goat Anti-Rabbit IgG H&L (Alexa Fluor® 488) (ab150077) at 1/1000 was used as the secondary antibody (green). Cells were counterstained with Anti-MAP2 mouse monoclonal antibody (ab11267) at 1/200 dilution and Goat Anti-Mouse IgG H&L (Alexa Fluor® 594) (ab150120) at 1/1000 dilution (red). Nuclear DNA was labelled with DAPI (blue).

Confocal image showing cytoplasmic staining in mouse primary glia cells.
Confocal scanning Z step was set as 0.3 μm followed by image processing with maximum Z projection.

Immunocytochemistry/ Immunofluorescence - Anti-Myelin PLP antibody [EPR23504-106] - BSA and Azide free (AB275751)
  • ICC/IF

Unknown

Immunocytochemistry/ Immunofluorescence - Anti-Myelin PLP antibody [EPR23504-106] - BSA and Azide free (AB275751)

Immunocytochemistry analysis of rat primary neural/glia cells labelling Myelin PLP with ab254363 at 1/50 dilution. Cells were fixed with 4% paraformaldehyde. Goat Anti-Rabbit IgG H&L (Alexa Fluor® 488) (ab150077) at 1/1000 was used as the secondary antibody (green). Cells were counterstained with Anti-Myelin Basic Protein rat monoclonal antibody at 1/100 dilution and Goat Anti-Mouse IgG H&L (Alexa Fluor® 594) (ab150120) at 1/1000 dilution (red). Nuclear DNA was labelled with DAPI (blue).

Confocal image showing cytoplasmic staining in rat primary glia cells.
Confocal scanning Z step was set as 0.3 μm followed by image processing with maximum Z projection.

Immunohistochemistry (Frozen sections) - Anti-Myelin PLP antibody [EPR23504-106] - BSA and Azide free (AB275751)
  • IHC-Fr

Unknown

Immunohistochemistry (Frozen sections) - Anti-Myelin PLP antibody [EPR23504-106] - BSA and Azide free (AB275751)

This data was developed using ab254363, the same antibody clone in a different buffer formulation.

Immunohistochemical analysis of 4% PFA-fixed, 0.2% Triton X-100 permeabilized frozen Rat cerebellum tissue labeling Myelin PLP with ab254363 at 1/500 (1.042 ug/ml) dilution followed by ab150077 Goat Anti-Rabbit IgG H&L (Alexa Fluor® 488) at 1/1000 dilution (Green). Positive staining on rat cerebellum. The nuclear counterstain was DAPI (Blue).

Secondary antibody control : Secondary antibody is ab150077 Goat Anti-Rabbit IgG H&L (Alexa Fluor® 488)at 1/1000 dilution.

Heat mediated antigen retrieval using sodium citrate buffer (10mM citrate pH 6.0 + 0.05% Tween-20).

Immunoprecipitation - Anti-Myelin PLP antibody [EPR23504-106] - BSA and Azide free (AB275751)
  • IP

Unknown

Immunoprecipitation - Anti-Myelin PLP antibody [EPR23504-106] - BSA and Azide free (AB275751)

This data was developed using ab254363, the same antibody clone in a different buffer formulation.

Myelin PLP was immunoprecipitated from 0.35 mg Mouse brain tissue lysate with ab254363 at 1/30 dilution (2ug in 0.35mg lysates). Western blot was performed on the immunoprecipitate using ab254363 at 1/1000 dilution. VeriBlot for IP Detection Reagent (HRP)(ab131366) was used at 1/5000 dilution.

Lane 1 : Mouse brain tissue lysate 5 ug

Lane 2 : ab254363 IP in Mouse brain tissue lysate

Lane 3 : Rabbit monoclonal IgG (ab172730) instead of ab254363 in mouse brain tissue lysate

Blocking and dilution buffer and concentration : 5% NFDM/TBST.

Exposure time : 6 seconds.

All lanes:

Immunoprecipitation - Anti-Myelin PLP antibody [EPR23504-106] (<a href='/en-us/products/primary-antibodies/myelin-plp-antibody-epr23504-106-ab254363'>ab254363</a>)

Predicted band size: 30 kDa

Observed band size: 20 kDa,23 kDa

false

Western blot - Anti-Myelin PLP antibody [EPR23504-106] - BSA and Azide free (AB275751)
  • WB

Lab

Western blot - Anti-Myelin PLP antibody [EPR23504-106] - BSA and Azide free (AB275751)

This data was developed using ab254363, the same antibody clone in a different buffer formulation.

Blocking and diluting buffer and concentration : 5% NFDM/TBST.

The molecular weight observed is consistent with what has been described in the literature (PMID : 9247276)

Exposure time : 1 second.

All lanes:

Western blot - Anti-Myelin PLP antibody [EPR23504-106] (<a href='/en-us/products/primary-antibodies/myelin-plp-antibody-epr23504-106-ab254363'>ab254363</a>) at 1/5000 dilution

All lanes:

Human brain tissue lysate at 10 µg

Secondary

All lanes:

VeriBlot for IP secondary antibody(HRP)(<a href='/en-us/products/reagents/veriblot-for-ip-detection-reagent-hrp-ab131366'>ab131366</a>) at 1/1000 dilution

Predicted band size: 30 kDa

Observed band size: 20 kDa,23 kDa

false

Western blot - Anti-Myelin PLP antibody [EPR23504-106] - BSA and Azide free (AB275751)
  • WB

Lab

Western blot - Anti-Myelin PLP antibody [EPR23504-106] - BSA and Azide free (AB275751)

This data was developed using ab254363, the same antibody clone in a different buffer formulation.

Blocking and diluting buffer and concentration : 5% NFDM/TBST.

The molecular weight observed is consistent with what has been described in the literature (PMID : 9247276).

Negative control : liver (PMID : 2414013).

Exposure time : 37 seconds.

All lanes:

Western blot - Anti-Myelin PLP antibody [EPR23504-106] (<a href='/en-us/products/primary-antibodies/myelin-plp-antibody-epr23504-106-ab254363'>ab254363</a>) at 1/2000 dilution

Lane 1:

Mouse brain tissue lysate at 20 µg

Lane 2:

Mouse liver tissue lysate at 20 µg

Lane 3:

Rat brain tissue lysate at 20 µg

Lane 4:

Rat liver tissue lysate at 20 µg

Secondary

All lanes:

Goat Anti-Rabbit IgG, (H+L), Peroxidase conjugated (<a href='/en-us/products/secondary-antibodies/goat-rabbit-igg-h-l-hrp-ab97051'>ab97051</a>) at 1/100000 dilution

Predicted band size: 30 kDa

Observed band size: 20 kDa,23 kDa

false

Key facts

Host species

Rabbit

Clonality

Monoclonal

Clone number

EPR23504-106

Isotype

IgG

Carrier free

Yes

Reacts with

Mouse, Rat, Human

Applications

IP, ICC/IF, mIHC, WB, IHC-Fr, IHC-P

applications

Immunogen

The exact immunogen used to generate this antibody is proprietary information.

Reactivity data

{ "title": "Reactivity Data", "filters": { "stats": ["", "Species", "Dilution Info", "Notes"], "tabs": { "all-applications": {"fullname" : "All Applications", "shortname": "All Applications"}, "ICCIF" : {"fullname" : "Immunocytochemistry/ Immunofluorescence", "shortname":"ICC/IF"}, "IP" : {"fullname" : "Immunoprecipitation", "shortname":"IP"}, "WB" : {"fullname" : "Western blot", "shortname":"WB"}, "mIHC" : {"fullname" : "Multiplex immunohistochemistry", "shortname":"mIHC"}, "IHCFr" : {"fullname" : "Immunohistochemistry (Frozen sections)", "shortname":"IHC-Fr"}, "IHCP" : {"fullname" : "Immunohistochemistry (Formalin/PFA-fixed paraffin-embedded sections)", "shortname":"IHC-P"} }, "product-promise": { "all": "all", "testedAndGuaranteed": "tested", "guaranteed": "expected", "predicted": "predicted", "notRecommended": "not-recommended" } }, "values": { "Human": { "ICCIF-species-checked": "guaranteed", "ICCIF-species-dilution-info": "", "ICCIF-species-notes": "", "IP-species-checked": "guaranteed", "IP-species-dilution-info": "", "IP-species-notes": "", "WB-species-checked": "testedAndGuaranteed", "WB-species-dilution-info": "", "WB-species-notes": "<p></p>", "mIHC-species-checked": "testedAndGuaranteed", "mIHC-species-dilution-info": "", "mIHC-species-notes": "<p></p>", "IHCFr-species-checked": "guaranteed", "IHCFr-species-dilution-info": "", "IHCFr-species-notes": "", "IHCP-species-checked": "testedAndGuaranteed", "IHCP-species-dilution-info": "", "IHCP-species-notes": "<p></p>" }, "Mouse": { "ICCIF-species-checked": "testedAndGuaranteed", "ICCIF-species-dilution-info": "", "ICCIF-species-notes": "<p></p>", "IP-species-checked": "testedAndGuaranteed", "IP-species-dilution-info": "", "IP-species-notes": "<p></p>", "WB-species-checked": "testedAndGuaranteed", "WB-species-dilution-info": "", "WB-species-notes": "<p></p>", "mIHC-species-checked": "guaranteed", "mIHC-species-dilution-info": "", "mIHC-species-notes": "", "IHCFr-species-checked": "testedAndGuaranteed", "IHCFr-species-dilution-info": "", "IHCFr-species-notes": "<p>Heat mediated antigen retrieval using sodium citrate buffer (10mM citrate pH 6.0 + 0.05% Tween-20).</p>", "IHCP-species-checked": "testedAndGuaranteed", "IHCP-species-dilution-info": "", "IHCP-species-notes": "<p></p>" }, "Rat": { "ICCIF-species-checked": "testedAndGuaranteed", "ICCIF-species-dilution-info": "", "ICCIF-species-notes": "<p></p>", "IP-species-checked": "guaranteed", "IP-species-dilution-info": "", "IP-species-notes": "", "WB-species-checked": "testedAndGuaranteed", "WB-species-dilution-info": "", "WB-species-notes": "<p></p>", "mIHC-species-checked": "guaranteed", "mIHC-species-dilution-info": "", "mIHC-species-notes": "", "IHCFr-species-checked": "testedAndGuaranteed", "IHCFr-species-dilution-info": "", "IHCFr-species-notes": "<p>Heat mediated antigen retrieval using sodium citrate buffer (10mM citrate pH 6.0 + 0.05% Tween-20).</p>", "IHCP-species-checked": "testedAndGuaranteed", "IHCP-species-dilution-info": "", "IHCP-species-notes": "<p></p>" } } }

Product details

ab275751 is the carrier-free version of ab254363.

Patented technology
Our RabMAb® technology is a patented hybridoma-based technology for making rabbit monoclonal antibodies. For details on our patents, please refer to RabMAb® patents.

What are the advantages of a recombinant monoclonal antibody?
This product is a recombinant monoclonal antibody, which offers several advantages including:

  • - High batch-to-batch consistency and reproducibility
  • - Improved sensitivity and specificity
  • - Long-term security of supply
  • - Animal-free batch production

For more information, read more on recombinant antibodies.

Conjugation ready
Our carrier-free antibodies are typically supplied in a PBS-only formulation, purified and free of BSA, sodium azide and glycerol. This conjugation-ready format is designed for use with fluorochromes, metal isotopes, oligonucleotides, and enzymes, which makes them ideal for antibody labelling, functional and cell-based assays, flow-based assays (e.g. mass cytometry) and Multiplex Imaging applications.

Use our conjugation kits for antibody conjugates that are ready-to-use in as little as 20 minutes with 1 minute hands-on-time and 100% antibody recovery: available for fluorescent dyes, HRP, biotin and gold.

Compatibility
This product is compatible with the Maxpar® Antibody Labeling Kit from Fluidigm, without the need for antibody preparation. Maxpar® is a trademark of Fluidigm Canada Inc.

Properties and storage information

Form
Liquid
Purification technique
Affinity purification Protein A
Storage buffer
Constituents: PBS
Shipped at conditions
Blue Ice
Appropriate short-term storage conditions
+4°C
Appropriate long-term storage conditions
+4°C

Supplementary information

This supplementary information is collated from multiple sources and compiled automatically.

Myelin proteolipid protein or PLP is an integral membrane protein with important roles in the central nervous system. It has an alternate name lipophilin and its molecular weight is approximately 25 kDa. PLP is most abundant in myelin the protective sheath covering nerve fibers and is expressed in oligodendrocytes and Schwann cells. It represents one of the major protein components of central nervous system myelin and facilitates the compact structure of myelin via its structural properties.
Biological function summary

The myelin proteolipid protein contributes to the stability and functionality of the myelin sheath impacting nervous impulse conduction. It plays a structural role in the formation and maintenance of myelin which is essential for rapid signal transmission in the nervous system. PLP can form a complex with DM20 a related isoform which aids in the regulatory processes of myelination. The protein is critical for the compaction and shear resistance of the myelin sheath ensuring efficient neuronal communication.

Pathways

The myelin proteolipid protein is involved in myelination and cell adhesion processes that are part of central nervous system development. It participates in the myelin assembly pathway and interacts with other key proteins like 2'3'-cyclic nucleotide 3'-phosphodiesterase (CNPase) to modulate myelin biogenesis and homeostasis. This interaction is important for the formation and repair of myelin ensuring that signal transduction remains unobstructed in the nervous system.

Mutations or misregulations of the myelin proteolipid protein are linked to conditions such as Pelizaeus-Merzbacher disease (PMD) and multiple sclerosis (MS). In PMD altered PLP expression leads to abnormal myelin formation resulting in severe neurological dysfunction. In cases of MS the autoimmune response may involve components of the myelin such as PLP initiating demyelination and impairing nerve conductivity. Other proteins connected to these disorders include myelin basic protein (MBP) which alongside PLP forms the bulk of myelin structure and both are targets in autoimmune attack scenarios.

Product protocols

For this product, it's our understanding that no specific protocols are required. You can visit:

Target data

This is the major myelin protein from the central nervous system. It plays an important role in the formation or maintenance of the multilamellar structure of myelin.
See full target information PLP1

Publications (1)

Recent publications for all applications. Explore the full list and refine your search

Cell 187:3120-3140.e29 PubMed38714197

2024

Mapping the cellular biogeography of human bone marrow niches using single-cell transcriptomics and proteomic imaging.

Applications

Unspecified application

Species

Unspecified reactive species

Shovik Bandyopadhyay,Michael P Duffy,Kyung Jin Ahn,Jonathan H Sussman,Minxing Pang,David Smith,Gwendolyn Duncan,Iris Zhang,Jeffrey Huang,Yulieh Lin,Barbara Xiong,Tamjid Imtiaz,Chia-Hui Chen,Anusha Thadi,Changya Chen,Jason Xu,Melissa Reichart,Zachary Martinez,Caroline Diorio,Chider Chen,Vinodh Pillai,Oraine Snaith,Derek Oldridge,Siddharth Bhattacharyya,Ivan Maillard,Martin Carroll,Charles Nelson,Ling Qin,Kai Tan
View all publications

Product promise

We are committed to supporting your work with high-quality reagents, and we're here for you every step of the way. In the unlikely event that one of our products does not perform as expected, you're protected by our Product Promise.
For full details, please see our Terms & Conditions

Please note: All products are 'FOR RESEARCH USE ONLY. NOT FOR USE IN DIAGNOSTIC OR THERAPEUTIC PROCEDURES'.

For licensing inquiries, please contact partnerships@abcam.com