JavaScript is disabled in your browser. Please enable JavaScript to view this website.
AB325976

Anti-Myelin PLP antibody [plpc 1] - BSA and Azide free

Be the first to review this product! Submit a review

|

(0 Publication)

Mouse Recombinant Monoclonal Myelin PLP antibody. Carrier free. Suitable for IHC-P, WB, ICC/IF, IHC-Fr and reacts with Mouse, Rat, Human samples.

View Alternative Names

PLP, PLP1, Myelin proteolipid protein, Lipophilin

9 Images
Immunocytochemistry/ Immunofluorescence - Anti-Myelin PLP antibody [plpc 1] - BSA and Azide free (AB325976)
  • ICC/IF

Lab

Immunocytochemistry/ Immunofluorescence - Anti-Myelin PLP antibody [plpc 1] - BSA and Azide free (AB325976)

This data was developed using ab9311, the same antibody clone in a different buffer formulation.

Immunofluorescent analysis of 4% Paraformaldehyde-fixed 0.1% TritonX-100 permeabilized HepG2 cells labelling Myelin PLP with ab9311 at 1/25 dilution followed by ab150113 Goat Anti-Mouse IgG H&L (Alexa Fluor® 488) antibody at 1 : 1000 dilution (Green). is observed. ab179513 Anti-beta Tubulin rabbit monoclonal antibody was used to counterstain tubulin at 1/200 dilution (Red). The Nuclear counterstain was DAPI (Blue).

Secondary antibody only control : Used PBS instead of primary antibody secondary antibody is ab150113 Goat Anti-Mouse IgG H&L (Alexa Fluor® 488) at 1 : 1000 dilution.

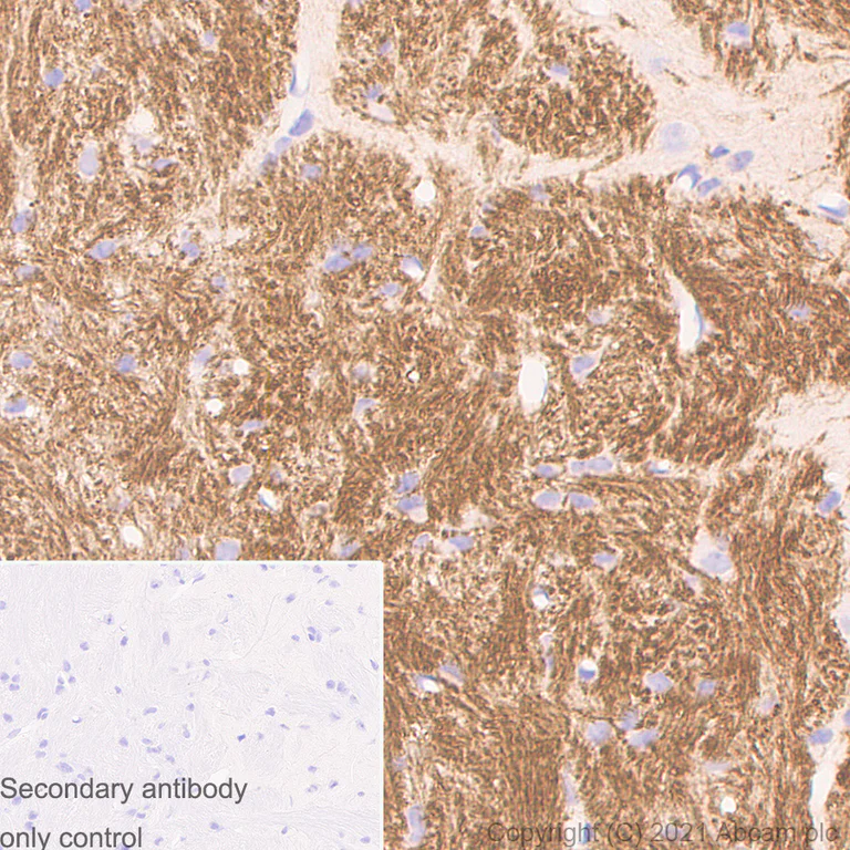
Immunohistochemistry (Formalin/PFA-fixed paraffin-embedded sections) - Anti-Myelin PLP antibody [plpc 1] - BSA and Azide free (AB325976)
  • IHC-P

Lab

Immunohistochemistry (Formalin/PFA-fixed paraffin-embedded sections) - Anti-Myelin PLP antibody [plpc 1] - BSA and Azide free (AB325976)

This data was developed using ab9311, the same antibody clone in a different buffer formulation.

Immunohistochemical analysis of paraffin-embedded human cerebrum tissue labelling Myelin PLP with ab9311 at 1/5000 dilution followed by secondary LeicaDS9800 (Bond™ Polymer Refine Detection) ready to use. Positive staining on human cerebrum is observed. Counter stained with Hematoxylin. Secondary antibody only control : Used PBS instead of primary antibody secondary antibody is LeicaDS9800 (Bond™ Polymer Refine Detection) ready to use.

The section was incubated with ab9311 for 30 mins at room temperature and followed by mouse specific IgG antibody for 8 mins. The immunostaining was performed on a Leica Biosystems BOND® RX instrument. Heat mediated antigen retrieval with Citrate buffer (pH 6.0 epitope retrieval solution 1) for 20 mins

Immunohistochemistry (Formalin/PFA-fixed paraffin-embedded sections) - Anti-Myelin PLP antibody [plpc 1] - BSA and Azide free (AB325976)
  • IHC-P

Lab

Immunohistochemistry (Formalin/PFA-fixed paraffin-embedded sections) - Anti-Myelin PLP antibody [plpc 1] - BSA and Azide free (AB325976)

This data was developed using ab9311, the same antibody clone in a different buffer formulation.

Immunohistochemical analysis of paraffin-embedded rat cerebrum tissue labelling Myelin PLP with ab9311 at 1/5000 dilution followed by secondary LeicaDS9800 (Bond™ Polymer Refine Detection) ready to use. Positive staining on human cerebrum is observed. Counter stained with Hematoxylin. Secondary antibody only control : Used PBS instead of primary antibody secondary antibody is LeicaDS9800 (Bond™ Polymer Refine Detection) ready to use.

The section was incubated with ab9311 for 30 mins at room temperature and followed by mouse specific IgG antibody for 8 mins. The immunostaining was performed on a Leica Biosystems BOND® RX instrument. Heat mediated antigen retrieval with Citrate buffer (pH 6.0 epitope retrieval solution 1) for 20 mins

Immunohistochemistry (Frozen sections) - Anti-Myelin PLP antibody [plpc 1] - BSA and Azide free (AB325976)
  • IHC-Fr

Lab

Immunohistochemistry (Frozen sections) - Anti-Myelin PLP antibody [plpc 1] - BSA and Azide free (AB325976)

This data was developed using ab9311, the same antibody clone in a different buffer formulation.

Immunohistochemical analysis of 4% PFA fixed 0.2% Triton X-100 permeabilized frozen Rat cerebellum tissue labeling Myelin PLP with ab9311 at 1 : 25 (32.36 µg/ml) dilution followed by ab150113 Goat Anti-Mouse IgG H&L (Alexa Fluor® 488) secondary at 1 : 1000 dilution. The nuclear counterstain was DAPI (Blue). Heat mediated antigen retrieval using sodium citrate buffer (10mM citrate pH 6.0 + 0.05% Tween-20).

Secondary antibody only control : Used PBS instead of primary antibody secondary antibody was ab150113 Goat Anti-Mouse IgG H&L (Alexa Fluor® 488) at 1 : 1000 dilution.

Immunohistochemistry (Frozen sections) - Anti-Myelin PLP antibody [plpc 1] - BSA and Azide free (AB325976)
  • IHC-Fr

Lab

Immunohistochemistry (Frozen sections) - Anti-Myelin PLP antibody [plpc 1] - BSA and Azide free (AB325976)

This data was developed using ab9311, the same antibody clone in a different buffer formulation.

Immunohistochemical analysis of 4% PFA fixed 0.2% Triton X-100 permeabilized frozen Mouse cerebellum tissue labeling Myelin PLP with ab9311 at 1 : 25 (32.36 µg/ml) dilution followed by ab150113 Goat Anti-Mouse IgG H&L (Alexa Fluor® 488) secondary at 1 : 1000 dilution. The nuclear counterstain was DAPI (Blue). Heat mediated antigen retrieval using sodium citrate buffer (10mM citrate pH 6.0 + 0.05% Tween-20).

Secondary antibody only control : Used PBS instead of primary antibody secondary antibody was ab150113 Goat Anti-Mouse IgG H&L (Alexa Fluor® 488) at 1 : 1000 dilution.

Immunohistochemistry (Formalin/PFA-fixed paraffin-embedded sections) - Anti-Myelin PLP antibody [plpc 1] - BSA and Azide free (AB325976)
  • IHC-P

Lab

Immunohistochemistry (Formalin/PFA-fixed paraffin-embedded sections) - Anti-Myelin PLP antibody [plpc 1] - BSA and Azide free (AB325976)

This data was developed using ab9311, the same antibody clone in a different buffer formulation.

Immunohistochemical analysis of paraffin-embedded mouse cerebrum tissue labelling Myelin PLP with ab9311 at 1/5000 dilution followed by secondary LeicaDS9800 (Bond™ Polymer Refine Detection) ready to use. Positive staining on human cerebrum is observed. Counter stained with Hematoxylin. Secondary antibody only control : Used PBS instead of primary antibody secondary antibody is LeicaDS9800 (Bond™ Polymer Refine Detection) ready to use.

The section was incubated with ab9311 for 30 mins at room temperature and followed by mouse specific IgG antibody for 8 mins. The immunostaining was performed on a Leica Biosystems BOND® RX instrument. Heat mediated antigen retrieval with Citrate buffer (pH 6.0 epitope retrieval solution 1) for 20 mins

Immunohistochemistry (Frozen sections) - Anti-Myelin PLP antibody [plpc 1] - BSA and Azide free (AB325976)
  • IHC-Fr

Lab

Immunohistochemistry (Frozen sections) - Anti-Myelin PLP antibody [plpc 1] - BSA and Azide free (AB325976)

This data was developed using ab9311, the same antibody clone in a different buffer formulation.

Immunohistochemical analysis of 4% PFA fixed 0.2% Triton X-100 permeabilized frozen Rat cerebellum tissue labeling Myelin PLP with ab9311 at 1 : 25 (32.36 µg/ml) dilution followed by ab150113 Goat Anti-Mouse IgG H&L (Alexa Fluor® 488) secondary at 1 : 1000 dilution. The nuclear counterstain was DAPI (Blue). Heat mediated antigen retrieval using sodium citrate buffer (10mM citrate pH 6.0 + 0.05% Tween-20).

Secondary antibody only control : Used PBS instead of primary antibody secondary antibody was ab150113 Goat Anti-Mouse IgG H&L (Alexa Fluor® 488) at 1 : 1000 dilution.

Immunohistochemistry (Frozen sections) - Anti-Myelin PLP antibody [plpc 1] - BSA and Azide free (AB325976)
  • IHC-Fr

Lab

Immunohistochemistry (Frozen sections) - Anti-Myelin PLP antibody [plpc 1] - BSA and Azide free (AB325976)

This data was developed using ab9311, the same antibody clone in a different buffer formulation.

Immunohistochemical analysis of 4% PFA fixed 0.2% Triton X-100 permeabilized frozen Mouse cerebellum tissue labeling Myelin PLP with ab9311 at 1 : 25 (32.36 µg/ml) dilution followed by ab150113 Goat Anti-Mouse IgG H&L (Alexa Fluor® 488) secondary at 1 : 1000 dilution. The nuclear counterstain was DAPI (Blue). Heat mediated antigen retrieval using sodium citrate buffer (10mM citrate pH 6.0 + 0.05% Tween-20).

Secondary antibody only control : Used PBS instead of primary antibody secondary antibody was ab150113 Goat Anti-Mouse IgG H&L (Alexa Fluor® 488) at 1 : 1000 dilution.

Western blot - Anti-Myelin PLP antibody [plpc 1] - BSA and Azide free (AB325976)
  • WB

Lab

Western blot - Anti-Myelin PLP antibody [plpc 1] - BSA and Azide free (AB325976)

This data was developed using ab9311, the same antibody clone in a different buffer formulation.

Samples are non-boiled as boiling may cause protein aggregates.

The molecular weight observed is consistent with what has been described in the literature (PMID : 9247276).

Negative control : liver (PMID : 2414013).

Blocking and diluting buffer and concentration : 5% NFDM/TBST.

All lanes:

Western blot - Anti-Myelin PLP antibody [plpc 1] (<a href='/en-us/products/primary-antibodies/myelin-plp-antibody-plpc-1-ab9311'>ab9311</a>) at 1/1000 dilution

Lane 1:

Human cerebellum tissue lysate at 20 µg

Lane 2:

Human liver tissue lysate at 40 µg

Secondary

All lanes:

Peroxidase-Conjugated Goat anti-Mouse IgG (H+L) at 1/10000 dilution

false

Exposure time: 3min

Key facts

Host species

Mouse

Clonality

Monoclonal

Clone number

plpc 1

Isotype

IgG2a

Light chain type

unknown

Carrier free

Yes

Reacts with

Human, Mouse, Rat

Applications

ICC/IF, IHC-Fr, WB, IHC-P

applications

Immunogen

The exact immunogen used to generate this antibody is proprietary information.

Specificity

This antibody recognizes myelin proteolipid protein

Reactivity data

{ "title": "Reactivity Data", "filters": { "stats": ["", "Species", "Dilution Info", "Notes"], "tabs": { "all-applications": {"fullname" : "All Applications", "shortname": "All Applications"}, "FlowCytIntra" : {"fullname" : "Flow Cytometry (Intracellular)", "shortname":"Flow Cyt (Intra)"}, "IHCP" : {"fullname" : "Immunohistochemistry (Formalin/PFA-fixed paraffin-embedded sections)", "shortname":"IHC-P"}, "WB" : {"fullname" : "Western blot", "shortname":"WB"}, "ICCIF" : {"fullname" : "Immunocytochemistry/ Immunofluorescence", "shortname":"ICC/IF"}, "IHCFr" : {"fullname" : "Immunohistochemistry (Frozen sections)", "shortname":"IHC-Fr"} }, "product-promise": { "all": "all", "testedAndGuaranteed": "tested", "guaranteed": "expected", "predicted": "predicted", "notRecommended": "not-recommended" } }, "values": { "Human": { "FlowCytIntra-species-checked": "notRecommended", "FlowCytIntra-species-dilution-info": "", "FlowCytIntra-species-notes": "<p></p>", "IHCP-species-checked": "guaranteed", "IHCP-species-dilution-info": "", "IHCP-species-notes": "<p></p>", "WB-species-checked": "testedAndGuaranteed", "WB-species-dilution-info": "", "WB-species-notes": "<p></p>", "ICCIF-species-checked": "testedAndGuaranteed", "ICCIF-species-dilution-info": "", "ICCIF-species-notes": "<p></p>", "IHCFr-species-checked": "guaranteed", "IHCFr-species-dilution-info": "", "IHCFr-species-notes": "" }, "Mouse": { "FlowCytIntra-species-checked": "notRecommended", "FlowCytIntra-species-dilution-info": "", "FlowCytIntra-species-notes": "", "IHCP-species-checked": "guaranteed", "IHCP-species-dilution-info": "", "IHCP-species-notes": "<p></p>", "WB-species-checked": "notRecommended", "WB-species-dilution-info": "", "WB-species-notes": "<p></p>", "ICCIF-species-checked": "guaranteed", "ICCIF-species-dilution-info": "", "ICCIF-species-notes": "", "IHCFr-species-checked": "testedAndGuaranteed", "IHCFr-species-dilution-info": "", "IHCFr-species-notes": "<p></p>" }, "Rat": { "FlowCytIntra-species-checked": "notRecommended", "FlowCytIntra-species-dilution-info": "", "FlowCytIntra-species-notes": "", "IHCP-species-checked": "guaranteed", "IHCP-species-dilution-info": "", "IHCP-species-notes": "<p></p>", "WB-species-checked": "notRecommended", "WB-species-dilution-info": "", "WB-species-notes": "<p></p>", "ICCIF-species-checked": "testedAndGuaranteed", "ICCIF-species-dilution-info": "", "ICCIF-species-notes": "<p></p>", "IHCFr-species-checked": "testedAndGuaranteed", "IHCFr-species-dilution-info": "", "IHCFr-species-notes": "<p></p>" } } }

Product details

ab325976 is the carrier-free version of ab9311

What are the advantages of a recombinant monoclonal antibody?
This product is a recombinant monoclonal antibody, which offers several advantages including:

  • - High batch-to-batch consistency and reproducibility
  • - Improved sensitivity and specificity
  • - Long-term security of supply
  • - Animal-free batch production

For more information, read more on recombinant antibodies.

Conjugation ready
Our carrier-free antibodies are typically supplied in a PBS-only formulation, purified and free of BSA, sodium azide and glycerol. This conjugation-ready format is designed for use with fluorochromes, metal isotopes, oligonucleotides, and enzymes, which makes them ideal for antibody labelling, functional and cell-based assays, flow-based assays (e.g. mass cytometry) and Multiplex Imaging applications.

Use our conjugation kits for antibody conjugates that are ready-to-use in as little as 20 minutes with 1 minute hands-on-time and 100% antibody recovery: available for fluorescent dyes, HRP, biotin and gold.

Compatibility
This product is compatible with the Maxpar® Antibody Labeling Kit from Fluidigm, without the need for antibody preparation. Maxpar® is a trademark of Fluidigm Canada Inc.

Want a custom formulation?
This antibody clone is manufactured by Abcam. If you require a custom buffer formulation or conjugation for your experiments, please contact orders@abcam.com

Properties and storage information

Form
Liquid
Purification technique
Affinity purification Protein A
Storage buffer
pH: 7.2 - 7.4 Constituents: PBS
Shipped at conditions
Blue Ice
Appropriate short-term storage conditions
+4°C
Appropriate long-term storage conditions
+4°C
Storage information
Do Not Freeze

Supplementary information

This supplementary information is collated from multiple sources and compiled automatically.

Myelin proteolipid protein or PLP is an integral membrane protein with important roles in the central nervous system. It has an alternate name lipophilin and its molecular weight is approximately 25 kDa. PLP is most abundant in myelin the protective sheath covering nerve fibers and is expressed in oligodendrocytes and Schwann cells. It represents one of the major protein components of central nervous system myelin and facilitates the compact structure of myelin via its structural properties.
Biological function summary

The myelin proteolipid protein contributes to the stability and functionality of the myelin sheath impacting nervous impulse conduction. It plays a structural role in the formation and maintenance of myelin which is essential for rapid signal transmission in the nervous system. PLP can form a complex with DM20 a related isoform which aids in the regulatory processes of myelination. The protein is critical for the compaction and shear resistance of the myelin sheath ensuring efficient neuronal communication.

Pathways

The myelin proteolipid protein is involved in myelination and cell adhesion processes that are part of central nervous system development. It participates in the myelin assembly pathway and interacts with other key proteins like 2'3'-cyclic nucleotide 3'-phosphodiesterase (CNPase) to modulate myelin biogenesis and homeostasis. This interaction is important for the formation and repair of myelin ensuring that signal transduction remains unobstructed in the nervous system.

Mutations or misregulations of the myelin proteolipid protein are linked to conditions such as Pelizaeus-Merzbacher disease (PMD) and multiple sclerosis (MS). In PMD altered PLP expression leads to abnormal myelin formation resulting in severe neurological dysfunction. In cases of MS the autoimmune response may involve components of the myelin such as PLP initiating demyelination and impairing nerve conductivity. Other proteins connected to these disorders include myelin basic protein (MBP) which alongside PLP forms the bulk of myelin structure and both are targets in autoimmune attack scenarios.

Product protocols

For this product, it's our understanding that no specific protocols are required. You can visit:

Target data

This is the major myelin protein from the central nervous system. It plays an important role in the formation or maintenance of the multilamellar structure of myelin.
See full target information PLP1

Product promise

We are committed to supporting your work with high-quality reagents, and we're here for you every step of the way. In the unlikely event that one of our products does not perform as expected, you're protected by our Product Promise.
For full details, please see our Terms & Conditions

Please note: All products are 'FOR RESEARCH USE ONLY. NOT FOR USE IN DIAGNOSTIC OR THERAPEUTIC PROCEDURES'.

For licensing inquiries, please contact partnerships@abcam.com