JavaScript is disabled in your browser. Please enable JavaScript to view this website.
AB240279

Anti-Myelin Protein Zero antibody [EPR20383] - BSA and Azide free

Be the first to review this product! Submit a review

|

(1 Publication)

Rabbit Recombinant Monoclonal Myelin Protein Zero antibody. Carrier free. Suitable for IP, WB, IHC-Fr, IHC-P, ICC/IF and reacts with Human, Mouse, Rat samples. Cited in 1 publication.

View Alternative Names

Myelin protein P0, Myelin peripheral protein, Myelin protein zero, MPP, MPZ

10 Images
Immunohistochemistry (Formalin/PFA-fixed paraffin-embedded sections) - Anti-Myelin Protein Zero antibody [EPR20383] - BSA and Azide free (AB240279)
  • IHC-P

Supplier Data

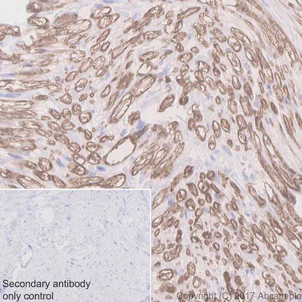
Immunohistochemistry (Formalin/PFA-fixed paraffin-embedded sections) - Anti-Myelin Protein Zero antibody [EPR20383] - BSA and Azide free (AB240279)

Immunohistochemical analysis of paraffin-embedded human peripheral nerves labeling Myelin Protein Zero with ab183868 at 1/500 dilution, followed by Goat Anti-Rabbit IgG H&L (HRP) Ready to use.

Membranous staining on Schwann cells of human peripheral nerves (PMID : 21057508).

Counter stained with Hematoxylin.

Secondary antibody only control : Used PBS instead of primary antibody, secondary antibody is Goat Anti-Rabbit IgG H&L (HRP) Ready to use.

This data was developed using the same antibody clone in a different buffer formulation containing PBS, BSA, glycerol, and sodium azide (ab183868).

Perform heat mediated antigen retrieval with Tris/EDTA buffer pH 9.0 before commencing with IHC staining protocol.

Immunohistochemistry (Frozen sections) - Anti-Myelin Protein Zero antibody [EPR20383] - BSA and Azide free (AB240279)
  • IHC-Fr

Supplier Data

Immunohistochemistry (Frozen sections) - Anti-Myelin Protein Zero antibody [EPR20383] - BSA and Azide free (AB240279)

Immunohistochemical analysis of 4% paraformaldehyde-fixed, 0.2% Triton X-100 permeabilized frozen rat sciatic nerves labeling Myelin Protein Zero with ab183868 at 1/50 dilution, followed by Goat anti-rabbit IgG (Alexa Fluor® 488) (ab150077) secondary antibody at 1/1000 dilution (green).

Membranous staining on Schwann cells of rat sciatic nerves (PMID : 21057508).

The nuclear counterstain is DAPI (blue).

Secondary antibody only control : Used PBS instead of primary antibody, secondary antibody is Goat anti-rabbit IgG (Alexa Fluor® 488) (ab150077) at 1/1000 dilution.

This data was developed using the same antibody clone in a different buffer formulation containing PBS, BSA, glycerol, and sodium azide (ab183868).

Immunohistochemistry (Formalin/PFA-fixed paraffin-embedded sections) - Anti-Myelin Protein Zero antibody [EPR20383] - BSA and Azide free (AB240279)
  • IHC-P

Supplier Data

Immunohistochemistry (Formalin/PFA-fixed paraffin-embedded sections) - Anti-Myelin Protein Zero antibody [EPR20383] - BSA and Azide free (AB240279)

Immunohistochemical analysis of paraffin-embedded rat sciatic nerves labeling Myelin Protein Zero with ab183868 at 1/500 dilution, followed by Goat Anti-Rabbit IgG H&L (HRP) Ready to use.

Membranous staining on Schwann cells of rat sciatic nerves (PMID : 21057508).

Counter stained with Hematoxylin.

Secondary antibody only control : Used PBS instead of primary antibody, secondary antibody is Goat Anti-Rabbit IgG H&L (HRP) Ready to use.

This data was developed using the same antibody clone in a different buffer formulation containing PBS, BSA, glycerol, and sodium azide (ab183868).

Perform heat mediated antigen retrieval with Tris/EDTA buffer pH 9.0 before commencing with IHC staining protocol.

Immunohistochemistry (Frozen sections) - Anti-Myelin Protein Zero antibody [EPR20383] - BSA and Azide free (AB240279)
  • IHC-Fr

Supplier Data

Immunohistochemistry (Frozen sections) - Anti-Myelin Protein Zero antibody [EPR20383] - BSA and Azide free (AB240279)

Immunohistochemical analysis of 4% paraformaldehyde-fixed, 0.2% Triton X-100 permeabilized frozen mouse sciatic nerves labeling Myelin Protein Zero with ab183868 at 1/50 dilution, followed by Goat anti-rabbit IgG (Alexa Fluor® 488) (ab150077) secondary antibody at 1/1000 dilution (green).

Membranous staining on Schwann cells of mouse sciatic nerves (PMID : 21057508).

The nuclear counterstain is DAPI (blue).

Secondary antibody only control : Used PBS instead of primary antibody, secondary antibody is Goat anti-rabbit IgG (Alexa Fluor® 488) (ab150077) at 1/1000 dilution.

This data was developed using the same antibody clone in a different buffer formulation containing PBS, BSA, glycerol, and sodium azide (ab183868).

Immunohistochemistry (Formalin/PFA-fixed paraffin-embedded sections) - Anti-Myelin Protein Zero antibody [EPR20383] - BSA and Azide free (AB240279)
  • IHC-P

Supplier Data

Immunohistochemistry (Formalin/PFA-fixed paraffin-embedded sections) - Anti-Myelin Protein Zero antibody [EPR20383] - BSA and Azide free (AB240279)

Immunohistochemical analysis of paraffin-embedded mouse sciatic nerves labeling Myelin Protein Zero with ab183868 at 1/500 dilution, followed by Goat Anti-Rabbit IgG H&L (HRP) Ready to use.

Membranous staining on Schwann cells of mouse sciatic nerves (PMID : 21057508).

Counter stained with Hematoxylin.

Secondary antibody only control : Used PBS instead of primary antibody, secondary antibody is Goat Anti-Rabbit IgG H&L (HRP) Ready to use.

This data was developed using the same antibody clone in a different buffer formulation containing PBS, BSA, glycerol, and sodium azide (ab183868).

Perform heat mediated antigen retrieval with Tris/EDTA buffer pH 9.0 before commencing with IHC staining protocol.

Immunocytochemistry/ Immunofluorescence - Anti-Myelin Protein Zero antibody [EPR20383] - BSA and Azide free (AB240279)
  • ICC/IF

Lab

Immunocytochemistry/ Immunofluorescence - Anti-Myelin Protein Zero antibody [EPR20383] - BSA and Azide free (AB240279)

Immunocytochemistry/ Immunofluorescence analysis of S16 (rat Sciatic nerve epithelial-like) labeling Myelin Protein Zero with ab183868 at 1/100 dilution, followed by ab150081 at 1/1000 dilution. ab195889 at 1/200 was used as the counterstain antibody. Nuclear counterstain was DAPI (blue). Cells were fixed wiht 4% Paraformaldehyde and permeabilised with 0.1% TritonX-100. Confocal image showing membranous and cytoplasmic staining in S16 cell line. Image was taken with a confocal microscope (Leica-Microsystems, TCS SP8). This data was developed using the same antibody clone in a different buffer formulation containing PBS, BSA, glycerol, and sodium azide (ab183868).

Immunocytochemistry/ Immunofluorescence - Anti-Myelin Protein Zero antibody [EPR20383] - BSA and Azide free (AB240279)
  • ICC/IF

Lab

Immunocytochemistry/ Immunofluorescence - Anti-Myelin Protein Zero antibody [EPR20383] - BSA and Azide free (AB240279)

Immunocytochemistry/ Immunofluorescence analysis of S42 (rat sciatic nerve epithelial-like cell) labeling Myelin Protein Zero with ab183868 at 1/100 dilution, followed by ab150081 at 1/1000 dilution. ab195889 at 1/200 was used as the counterstain antibody. Nuclear counterstain was DAPI (blue). Cells were fixed wiht 4% Paraformaldehyde and permeabilised with 0.1% TritonX-100. Confocal image showing membranous and cytoplasmic staining in S42 cell line. Image was taken with a confocal microscope (Leica-Microsystems, TCS SP8). This data was developed using the same antibody clone in a different buffer formulation containing PBS, BSA, glycerol, and sodium azide (ab183868).

Western blot - Anti-Myelin Protein Zero antibody [EPR20383] - BSA and Azide free (AB240279)
  • WB

Supplier Data

Western blot - Anti-Myelin Protein Zero antibody [EPR20383] - BSA and Azide free (AB240279)

This data was developed using the same antibody clone in a different buffer formulation containing PBS, BSA, glycerol, and sodium azide (ab183868).

Blocking/Dilution buffer : 5% NFDM/TBST.

The MW observed is consistent with the literature (PMID 10704451; PMID 1384988).

Negative control : liver tissue (PMID 2578885).

All lanes:

Western blot - Anti-Myelin Protein Zero antibody [EPR20383] (<a href='/en-us/products/primary-antibodies/myelin-protein-zero-antibody-epr20383-ab183868'>ab183868</a>) at 1/1000 dilution

Lane 1:

Human sciatic nerve lysate at 20 µg

Lane 2:

Human fetal liver lysate at 20 µg

Secondary

All lanes:

Western blot - Goat Anti-Rabbit IgG H&L (HRP) (<a href='/en-us/products/secondary-antibodies/goat-rabbit-igg-h-l-hrp-ab97051'>ab97051</a>) at 1/100000 dilution

Predicted band size: 28 kDa,30 kDa,54 kDa

Observed band size: 26-28 kDa,33 kDa,36 kDa,40 kDa,50 kDa

false

Exposure time: 30s

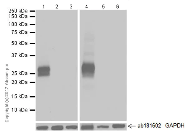
Western blot - Anti-Myelin Protein Zero antibody [EPR20383] - BSA and Azide free (AB240279)
  • WB

Supplier Data

Western blot - Anti-Myelin Protein Zero antibody [EPR20383] - BSA and Azide free (AB240279)

This data was developed using the same antibody clone in a different buffer formulation containing PBS, BSA, glycerol, and sodium azide (ab183868).

Blocking/Dilution buffer : 5% NFDM/TBST.

The MW observed is consistent with the literature (PMID 10704451; PMID 1384988).

Negative control : liver, brain tissue (PMID 2578885, PMID 25288117).

All lanes:

Western blot - Anti-Myelin Protein Zero antibody [EPR20383] (<a href='/en-us/products/primary-antibodies/myelin-protein-zero-antibody-epr20383-ab183868'>ab183868</a>) at 1/5000 dilution

Lane 1:

Mouse sciatic nerve lysate at 4 µg

Lane 2:

Mouse liver lysate at 4 µg

Lane 3:

Mouse brain lysate at 4 µg

Lane 4:

Rat sciatic nerve lysate at 4 µg

Lane 5:

Rat liver lysate at 4 µg

Lane 6:

Rat brain lysate at 4 µg

Secondary

All lanes:

Western blot - Goat Anti-Rabbit IgG H&L (HRP) (<a href='/en-us/products/secondary-antibodies/goat-rabbit-igg-h-l-hrp-ab97051'>ab97051</a>) at 1/100000 dilution

Predicted band size: 28 kDa

Observed band size: 26-28 kDa

false

Exposure time: 1s

Immunoprecipitation - Anti-Myelin Protein Zero antibody [EPR20383] - BSA and Azide free (AB240279)
  • IP

Lab

Immunoprecipitation - Anti-Myelin Protein Zero antibody [EPR20383] - BSA and Azide free (AB240279)

Myelin Protein Zero was immunoprecipitated from Human Sciatic Nerve lysate with ab183868 at 1/20 dilution. Western blot was performed from the immunoprecipitate using ab183868 at 1/5000 dilution. VeriBlot for IP Detection Reagent (HRP) (ab131366), was used for detection at 1/10,000 dilution.

Lane 1 : Human Sciatic Nerve lysate 10ug (Input).

Lane 2 : ab183868 IP in Human Sciatic Nerve lysate.

Lane 3 : Rabbit monoclonal IgG (ab172730) instead of ab183868 in Human Sciatic Nerve lysate.

Blocking and dilution buffer and concentration : 5% NFDM/TBST.

Exposure time : 3 minutes.

This data was developed using the same antibody clone in a different buffer formulation containing PBS, BSA, glycerol, and sodium azide (ab183868).

All lanes:

Immunoprecipitation - Anti-Myelin Protein Zero antibody [EPR20383] (<a href='/en-us/products/primary-antibodies/myelin-protein-zero-antibody-epr20383-ab183868'>ab183868</a>)

Predicted band size: 28 kDa

false

Exposure time: 3min

Key facts

Host species

Rabbit

Clonality

Monoclonal

Clone number

EPR20383

Isotype

IgG

Carrier free

Yes

Reacts with

Mouse, Rat, Human

Applications

IHC-P, ICC/IF, WB, IP, IHC-Fr

applications

Immunogen

The exact immunogen used to generate this antibody is proprietary information.

Reactivity data

{ "title": "Reactivity Data", "filters": { "stats": ["", "Species", "Dilution Info", "Notes"], "tabs": { "all-applications": {"fullname" : "All Applications", "shortname": "All Applications"}, "IP" : {"fullname" : "Immunoprecipitation", "shortname":"IP"}, "WB" : {"fullname" : "Western blot", "shortname":"WB"}, "IHCFr" : {"fullname" : "Immunohistochemistry (Frozen sections)", "shortname":"IHC-Fr"}, "IHCP" : {"fullname" : "Immunohistochemistry (Formalin/PFA-fixed paraffin-embedded sections)", "shortname":"IHC-P"}, "ICCIF" : {"fullname" : "Immunocytochemistry/ Immunofluorescence", "shortname":"ICC/IF"} }, "product-promise": { "all": "all", "testedAndGuaranteed": "tested", "guaranteed": "expected", "predicted": "predicted", "notRecommended": "not-recommended" } }, "values": { "Human": { "IP-species-checked": "testedAndGuaranteed", "IP-species-dilution-info": "", "IP-species-notes": "<p></p>", "WB-species-checked": "testedAndGuaranteed", "WB-species-dilution-info": "", "WB-species-notes": "<p></p>", "IHCFr-species-checked": "guaranteed", "IHCFr-species-dilution-info": "", "IHCFr-species-notes": "", "IHCP-species-checked": "testedAndGuaranteed", "IHCP-species-dilution-info": "", "IHCP-species-notes": "<p></p>", "ICCIF-species-checked": "guaranteed", "ICCIF-species-dilution-info": "", "ICCIF-species-notes": "" }, "Mouse": { "IP-species-checked": "guaranteed", "IP-species-dilution-info": "", "IP-species-notes": "", "WB-species-checked": "testedAndGuaranteed", "WB-species-dilution-info": "", "WB-species-notes": "<p></p>", "IHCFr-species-checked": "testedAndGuaranteed", "IHCFr-species-dilution-info": "", "IHCFr-species-notes": "<p></p>", "IHCP-species-checked": "testedAndGuaranteed", "IHCP-species-dilution-info": "", "IHCP-species-notes": "<p></p>", "ICCIF-species-checked": "guaranteed", "ICCIF-species-dilution-info": "", "ICCIF-species-notes": "" }, "Rat": { "IP-species-checked": "guaranteed", "IP-species-dilution-info": "", "IP-species-notes": "", "WB-species-checked": "testedAndGuaranteed", "WB-species-dilution-info": "", "WB-species-notes": "<p></p>", "IHCFr-species-checked": "testedAndGuaranteed", "IHCFr-species-dilution-info": "", "IHCFr-species-notes": "<p></p>", "IHCP-species-checked": "testedAndGuaranteed", "IHCP-species-dilution-info": "", "IHCP-species-notes": "<p></p>", "ICCIF-species-checked": "testedAndGuaranteed", "ICCIF-species-dilution-info": "", "ICCIF-species-notes": "<p></p>" } } }

Product details

ab240279 is the carrier-free version of ab183868.

Patented technology
Our RabMAb® technology is a patented hybridoma-based technology for making rabbit monoclonal antibodies. For details on our patents, please refer to RabMAb® patents.

What are the advantages of a recombinant monoclonal antibody?
This product is a recombinant monoclonal antibody, which offers several advantages including:

  • - High batch-to-batch consistency and reproducibility
  • - Improved sensitivity and specificity
  • - Long-term security of supply
  • - Animal-free batch production

For more information, read more on recombinant antibodies.

Conjugation ready
Our carrier-free antibodies are typically supplied in a PBS-only formulation, purified and free of BSA, sodium azide and glycerol. This conjugation-ready format is designed for use with fluorochromes, metal isotopes, oligonucleotides, and enzymes, which makes them ideal for antibody labelling, functional and cell-based assays, flow-based assays (e.g. mass cytometry) and Multiplex Imaging applications.

Use our conjugation kits for antibody conjugates that are ready-to-use in as little as 20 minutes with 1 minute hands-on-time and 100% antibody recovery: available for fluorescent dyes, HRP, biotin and gold.

Compatibility
This product is compatible with the Maxpar® Antibody Labeling Kit from Fluidigm, without the need for antibody preparation. Maxpar® is a trademark of Fluidigm Canada Inc.

Properties and storage information

Form
Liquid
Purification technique
Affinity purification Protein A
Storage buffer
pH: 7.2 - 7.4 Constituents: PBS
Shipped at conditions
Blue Ice
Appropriate short-term storage conditions
+4°C
Appropriate long-term storage conditions
+4°C
Storage information
Do Not Freeze

Supplementary information

This supplementary information is collated from multiple sources and compiled automatically.

Myelin protein zero sometimes called MPZ or P0 is a structural protein in the peripheral nervous system. It has a molecular mass of approximately 30 kDa. Myelin protein zero is mostly found in Schwann cells where it plays an important role in the formation of the myelin sheath. This protein facilitates the adhesion between layers of the myelin membrane contributing to the compact structure of the myelin sheath surrounding nerve fibers.
Biological function summary

Several functions of nerve insulating layers involve myelin protein zero. It forms part of the myelin sheath critical for effective nerve signal transmission. The protein is associated with the Ig superfamily and interacts with other myelin components to maintain integrity and functionality. Myelin protein zero also affects the clustering of specific proteins and lipids within the myelin sheath making it an important component in maintaining the stability and function of peripheral nerves.

Pathways

Several important signal transmission processes involve the interactions of myelin protein zero. It is involved in the myelination pathway which is essential for insulating nerve fibers and speeding up action potential propagation. The protein is closely related to connexin 32 in this pathway another protein involved in maintaining the proper function of myelinated neurons. This coordination helps ensure efficient communication in the peripheral nervous system.

Several neurological conditions link to abnormalities in myelin protein zero. Mutations in the gene encoding this protein can lead to Charcot-Marie-Tooth disease type 1B a hereditary neuropathy characterized by muscle weakness and sensory loss. Alterations in myelin protein zero are also associated with Dejerine-Sottas syndrome a severe neuropathy involving early-onset muscle weakness. The protein's relation to other myelin proteins like PMP22 often signifies its role in the molecular mechanisms underlying these demyelinating disorders.

Product protocols

For this product, it's our understanding that no specific protocols are required. You can visit:

Target data

Is an adhesion molecule necessary for normal myelination in the peripheral nervous system. It mediates adhesion between adjacent myelin wraps and ultimately drives myelin compaction.
See full target information MPZ

Publications (1)

Recent publications for all applications. Explore the full list and refine your search

European journal of histochemistry : EJH 65: PubMed34587716

2021

Long noncoding RNA Meg3 mediates ferroptosis induced by oxygen and glucose deprivation combined with hyperglycemia in rat brain microvascular endothelial cells, through modulating the p53/GPX4 axis.

Applications

Unspecified application

Species

Unspecified reactive species

Cheng Chen,Yan Huang,Pingping Xia,Fan Zhang,Longyan Li,E Wang,Qulian Guo,Zhi Ye
View all publications

Product promise

We are committed to supporting your work with high-quality reagents, and we're here for you every step of the way. In the unlikely event that one of our products does not perform as expected, you're protected by our Product Promise.
For full details, please see our Terms & Conditions

Please note: All products are 'FOR RESEARCH USE ONLY. NOT FOR USE IN DIAGNOSTIC OR THERAPEUTIC PROCEDURES'.

For licensing inquiries, please contact partnerships@abcam.com