JavaScript is disabled in your browser. Please enable JavaScript to view this website.
AB188211

Anti-Myeloperoxidase antibody [EPR17996]

Be the first to review this product! Submit a review

|

(17 Publications)

Rabbit Recombinant Monoclonal Myeloperoxidase antibody. Suitable for WB, Flow Cyt (Intra), IHC-P and reacts with Mouse, Rat, Human samples. Cited in 17 publications.

View Alternative Names

Myeloperoxidase, MPO

7 Images
Flow Cytometry (Intracellular) - Anti-Myeloperoxidase antibody [EPR17996] (AB188211)
  • Flow Cyt (Intra)

Lab

Flow Cytometry (Intracellular) - Anti-Myeloperoxidase antibody [EPR17996] (AB188211)

Flow cytometry staining of C57 BL/6 mouse bone marrow cells with ab188211 (right) or Recombinant Rabbit IgG, monoclonal [EPR25A] - Isotype Control (left). Cells were fixed and permeabilised with BD Cytofix/Cytoperm™ for 20 min. Cells were incubated for 30min at 22°C in 1x PBS containing 10μg/ml anti CD16/CD32 and 10% normal goat serum to block FC receptors and non-specific protein-protein interaction followed by the antibody ab188211 or Recombinant Rabbit IgG, monoclonal [EPR25A] - Isotype Control (1x 106 in 100 μl at 0.2 μg/ml (1/10200)) for 30min at 22°C. The cells were simultaneously stained with Ly6G.

The secondary antibody Goat Anti-Rabbit IgG H&L (Alexa Fluor® 488) preadsorbed was incubated at 1/4000 for 30min at 22°C

Acquisition of >30000 events were collected using a 50 mW Blue laser (488nm) and 525/40 bandpass filter. Events were gated on viable cells.

Immunohistochemistry (Formalin/PFA-fixed paraffin-embedded sections) - Anti-Myeloperoxidase antibody [EPR17996] (AB188211)
  • IHC-P

Supplier Data

Immunohistochemistry (Formalin/PFA-fixed paraffin-embedded sections) - Anti-Myeloperoxidase antibody [EPR17996] (AB188211)

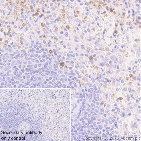
Immunohistochemical analysis of paraffin-embedded human spleen tissue labeling Myeloperoxidase with ab188211 at 1/8000 dilution, followed by Goat Anti-Rabbit IgG H&L (HRP) Ready to use. Cytoplasmic staining on neutrophils of human spleen [PMID : 19566938].

Counter stained with Hematoxylin.

Secondary antibody only control : Used PBS instead of primary antibody, secondary antibody is Goat Anti-Rabbit IgG H&L (HRP) Ready to use.

Perform heat mediated antigen retrieval with Tris/EDTA buffer pH 9.0 before commencing with IHC staining protocol.

Flow Cytometry (Intracellular) - Anti-Myeloperoxidase antibody [EPR17996] (AB188211)
  • Flow Cyt (Intra)

Supplier Data

Flow Cytometry (Intracellular) - Anti-Myeloperoxidase antibody [EPR17996] (AB188211)

Intracellular flow cytometric analysis of 4% paraformaldehyde-fixed mouse PBMC labeling Myeloperoxidase with ab188211 at 1/500 dilution (Right) compared with a rabbit monoclonal IgG isotype control (ab172730; Left). Goat anti rabbit IgG (Alexa Fluor® 488) at 1/2000 dilution was used as the secondary antibody.

Mouse peripheral blood mononuclear cells stained intracellularly with ab188211 (Right) and isotype control (Left). Only monocytes and granulocytes (larger SSC population) result in positive signal while the lymphocyte population remains unchanged.

Immunohistochemistry (Formalin/PFA-fixed paraffin-embedded sections) - Anti-Myeloperoxidase antibody [EPR17996] (AB188211)
  • IHC-P

Supplier Data

Immunohistochemistry (Formalin/PFA-fixed paraffin-embedded sections) - Anti-Myeloperoxidase antibody [EPR17996] (AB188211)

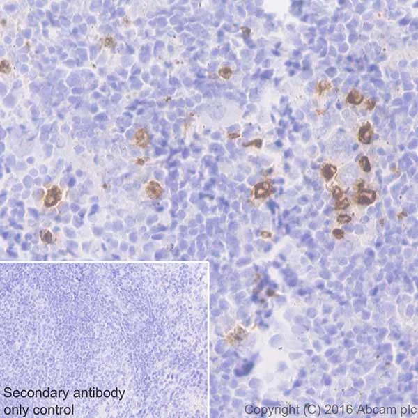
Immunohistochemical analysis of paraffin-embedded rat spleen tissue labeling Myeloperoxidase with ab188211 at 1/8000 dilution, followed by Goat Anti-Rabbit IgG H&L (HRP) Ready to use. Cytoplasmic staining on neutrophils of rat spleen [PMID : 19566938].

Counter stained with Hematoxylin.

Secondary antibody only control : Used PBS instead of primary antibody, secondary antibody is Goat Anti-Rabbit IgG H&L (HRP) Ready to use.

Perform heat mediated antigen retrieval with Tris/EDTA buffer pH 9.0 before commencing with IHC staining protocol.

Immunohistochemistry (Formalin/PFA-fixed paraffin-embedded sections) - Anti-Myeloperoxidase antibody [EPR17996] (AB188211)
  • IHC-P

Supplier Data

Immunohistochemistry (Formalin/PFA-fixed paraffin-embedded sections) - Anti-Myeloperoxidase antibody [EPR17996] (AB188211)

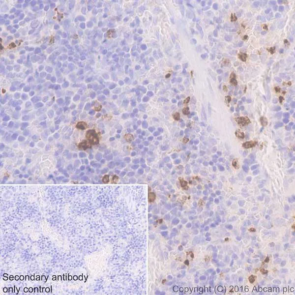
Immunohistochemical analysis of paraffin-embedded mouse spleen tissue labeling Myeloperoxidase with ab188211 at 1/8000 dilution, followed by Goat Anti-Rabbit IgG H&L (HRP) Ready to use. Cytoplasmic staining on neutrophils of mouse spleen [PMID : 19566938].

Counter stained with Hematoxylin.

Secondary antibody only control : Used PBS instead of primary antibody, secondary antibody is Goat Anti-Rabbit IgG H&L (HRP) Ready to use.

Perform heat mediated antigen retrieval with Tris/EDTA buffer pH 9.0 before commencing with IHC staining protocol.

Western blot - Anti-Myeloperoxidase antibody [EPR17996] (AB188211)
  • WB

Supplier Data

Western blot - Anti-Myeloperoxidase antibody [EPR17996] (AB188211)

Blocking/Dilution buffer : 5% NFDM/TBST.

The molecular weight observed is consistent with what has been described in the literature PMID : 2154223.

All lanes:

Western blot - Anti-Myeloperoxidase antibody [EPR17996] (ab188211) at 1/1000 dilution

All lanes:

Rat spleen lysate at 20 µg

Secondary

All lanes:

Western blot - Goat Anti-Rabbit IgG H&L (HRP) (<a href='/en-us/products/secondary-antibodies/goat-rabbit-igg-h-l-hrp-ab97051'>ab97051</a>) at 1/100000 dilution

Predicted band size: 83 kDa

Observed band size: 13 kDa,74 kDa

false

Exposure time: 30s

Western blot - Anti-Myeloperoxidase antibody [EPR17996] (AB188211)
  • WB

Supplier Data

Western blot - Anti-Myeloperoxidase antibody [EPR17996] (AB188211)

Blocking/Dilution buffer : 5% NFDM/TBST.

The molecular weight observed is consistent with what has been described in the literature. PMID : 2154223. 89 kDa (MPO), 74 kDa (intermediate form), 13 kDa (light chain)

Negative control : NIH/3T3 PMID : 9001423.

All lanes:

Western blot - Anti-Myeloperoxidase antibody [EPR17996] (ab188211) at 1/1000 dilution

Lane 1:

Mouse spleen lysate at 20 µg

Lane 2:

NIH/3T3 (Mouse embryonic fibroblast cell line) whole cell lysate at 20 µg

Secondary

All lanes:

Western blot - Goat Anti-Rabbit IgG H&L (HRP) (<a href='/en-us/products/secondary-antibodies/goat-rabbit-igg-h-l-hrp-ab97051'>ab97051</a>) at 1/100000 dilution

Predicted band size: 83 kDa

Observed band size: 13 kDa,74 kDa,89 kDa

false

Exposure time: 30s

  • 665 Alexa Fluor® 647

    Alexa Fluor® 647 Anti-Myeloperoxidase antibody [EPR17996]

  • Carrier free

    Anti-Myeloperoxidase antibody [EPR17996] - BSA and Azide free

  • 519 Alexa Fluor® 488

    Alexa Fluor® 488 Anti-Myeloperoxidase antibody [EPR17996]

  • 578 PE

    PE Anti-Myeloperoxidase antibody [EPR17996]

Key facts

Host species

Rabbit

Clonality

Monoclonal

Clone number

EPR17996

Isotype

IgG

Carrier free

No

Reacts with

Mouse, Rat, Human

Applications

Flow Cyt (Intra), IHC-P, WB

applications

Immunogen

The exact immunogen used to generate this antibody is proprietary information.

Specificity

This antibody is specific to Myeloperoxidase light chain.

Reactivity data

{ "title": "Reactivity Data", "filters": { "stats": ["", "Species", "Dilution Info", "Notes"], "tabs": { "all-applications": {"fullname" : "All Applications", "shortname": "All Applications"}, "WB" : {"fullname" : "Western blot", "shortname":"WB"}, "FlowCytIntra" : {"fullname" : "Flow Cytometry (Intracellular)", "shortname":"Flow Cyt (Intra)"}, "IHCP" : {"fullname" : "Immunohistochemistry (Formalin/PFA-fixed paraffin-embedded sections)", "shortname":"IHC-P"} }, "product-promise": { "all": "all", "testedAndGuaranteed": "tested", "guaranteed": "expected", "predicted": "predicted", "notRecommended": "not-recommended" } }, "values": { "Human": { "WB-species-checked": "guaranteed", "WB-species-dilution-info": "", "WB-species-notes": "", "FlowCytIntra-species-checked": "guaranteed", "FlowCytIntra-species-dilution-info": "", "FlowCytIntra-species-notes": "", "IHCP-species-checked": "testedAndGuaranteed", "IHCP-species-dilution-info": "1/8000", "IHCP-species-notes": "<p></p>" }, "Mouse": { "WB-species-checked": "testedAndGuaranteed", "WB-species-dilution-info": "1/1000", "WB-species-notes": "<p></p>", "FlowCytIntra-species-checked": "testedAndGuaranteed", "FlowCytIntra-species-dilution-info": "1/500", "FlowCytIntra-species-notes": "<p></p>", "IHCP-species-checked": "testedAndGuaranteed", "IHCP-species-dilution-info": "1/8000", "IHCP-species-notes": "<p></p>" }, "Rat": { "WB-species-checked": "testedAndGuaranteed", "WB-species-dilution-info": "1/1000", "WB-species-notes": "<p></p>", "FlowCytIntra-species-checked": "guaranteed", "FlowCytIntra-species-dilution-info": "", "FlowCytIntra-species-notes": "", "IHCP-species-checked": "testedAndGuaranteed", "IHCP-species-dilution-info": "1/8000", "IHCP-species-notes": "<p></p>" } } }

Product details

Patented technology
Our RabMAb® technology is a patented hybridoma-based technology for making rabbit monoclonal antibodies. For details on our patents, please refer to RabMAb® patents.

What are the advantages of a recombinant monoclonal antibody?
This product is a recombinant monoclonal antibody, which offers several advantages including:

  • - High batch-to-batch consistency and reproducibility
  • - Improved sensitivity and specificity
  • - Long-term security of supply
  • - Animal-free batch production

For more information, read more on recombinant antibodies.

Properties and storage information

Form
Liquid
Purification technique
Affinity purification Protein A
Storage buffer
pH: 7.2 - 7.4 Preservative: 0.01% Sodium azide Constituents: PBS, 40% Glycerol (glycerin, glycerine), 0.05% BSA
Shipped at conditions
Blue Ice
Appropriate short-term storage duration
1-2 weeks
Appropriate short-term storage conditions
+4°C
Appropriate long-term storage conditions
-20°C
Aliquoting information
Upon delivery aliquot
Storage information
Avoid freeze / thaw cycle

Supplementary information

This supplementary information is collated from multiple sources and compiled automatically.

Myeloperoxidase also called MPO is an enzyme that plays a critical role in the body's immune response. This protein has a mass of approximately 150 kDa and exists as a dimer composed of heavy and light polypeptide chains. Myeloperoxidase is prominently expressed in neutrophils and monocytes which are types of white blood cells important for combating infections. The enzyme catalyzes the production of hypochlorous acid and other reactive substances by utilizing hydrogen peroxide and chloride ions. These reactive substances help in neutralizing pathogens during the immune response.
Biological function summary

The generation of reactive oxygen species by myeloperoxidase is essential for microbicidal activity. Myeloperoxidase functions as part of the antimicrobial system in the phagosome which is the intracellular compartment where pathogens are degraded. This enzyme works in conjunction with other components of the immune system such as NADPH oxidase. By generating hypochlorous acid MPO contributes to the oxidative burst a rapid release of reactive oxygen species during the response to pathogens.

Pathways

Myeloperoxidase integrates into the immune defense and inflammatory pathways. In particular it is associated with the neutrophil degranulation pathway where it releases its enzymatic contents to fight off microbes. MPO also interacts with proteins involved in oxidative stress processes such as superoxide dismutase which moderates levels of reactive oxygen species in cells. These interactions ensure balance in the immune response preventing excessive tissue damage during inflammation.

Dysregulated MPO activity can contribute to the development of diseases. For instance myeloperoxidase is linked with atherosclerosis a cardiovascular condition where inflammation and oxidative stress lead to plaque formation in the arteries. It also associates with vasculitis an autoimmune disorder causing inflammation of blood vessels. Both disorders can relate to the inflammatory pathways that involve MPO and proteins like C-reactive protein which serves as a marker of inflammation. Understanding MPO's role in these conditions is important for effective therapeutic interventions.

Product protocols

For this product, it's our understanding that no specific protocols are required. You can visit:

Target data

Part of the host defense system of polymorphonuclear leukocytes. It is responsible for microbicidal activity against a wide range of organisms. In the stimulated PMN, MPO catalyzes the production of hypohalous acids, primarily hypochlorous acid in physiologic situations, and other toxic intermediates that greatly enhance PMN microbicidal activity (PubMed : 9922160). Mediates the proteolytic cleavage of alpha-1-microglobulin to form t-alpha-1-microglobulin, which potently inhibits oxidation of low-density lipoprotein particles and limits vascular damage (PubMed : 25698971).
See full target information MPO

Publications (17)

Recent publications for all applications. Explore the full list and refine your search

Bioactive materials 51:559-574 PubMed40503164

2025

Sustained oxygen-releasing hydrogel implants enhance flap regeneration by promoting mitochondrial biogenesis under mild hypoxia.

Applications

Unspecified application

Species

Unspecified reactive species

Sungmi Jeon,Seol-Ha Jeong,Mi Hyun Lee,Jeong Wook Seo,Da-Seul Kim,Nicole Joy Bassous,Javier Alejandro Lozano Soto,Cholong Choi,Montserrat Legorreta Gonzalez,Elaine Belén Nolasco Díaz,Hyunho Kim,Su Ryon Shin,Ji-Ung Park

Communications medicine 5:117 PubMed40234677

2025

Hypothermic machine perfusion prevents hyperacute graft loss in pig-to-primate kidney xenotransplantation after 5-hours of cold Ischemia.

Applications

Unspecified application

Species

Unspecified reactive species

Yu Hisadome,Daniel L Eisenson,WeiLi Chen,Alexander C Schulick,Adam Luo,Michelle R Santillan,Kelly Casella,Du Gu,Mitsuhiro Sekijima,Hisashi Sahara,Daniel Warren,Andrew Cameron,Hayato Iwase,Eugene Shenderov,Kazuhiko Yamada

mSphere 8:e0040023 PubMed38014949

2023

outer membrane vesicles as a novel vaccine candidate against infection: insights into immune response and potential for passive immunity.

Applications

Unspecified application

Species

Unspecified reactive species

Ya-Sung Yang,Hung-Jui Chen,Xiao-Chun Chen,Hung-Jen Tang,Fang-Ju Chang,Yun-Ling Huang,Yu-Ling Pan,Dinesh Kumar Kesavan,Huan-Yuan Chen,Hung-Sheng Shang,Shu-Chen Kuo,Te-Li Chen,Ming-Hsien Chiang

Biomedicines 11: PubMed37626777

2023

Combined Inhibition of Indolamine-2,3-Dioxygenase 1 and C-X-C Chemokine Receptor Type 2 Exerts Antitumor Effects in a Preclinical Model of Cervical Cancer.

Applications

Unspecified application

Species

Unspecified reactive species

Solangy Lizcano-Meneses,Rogelio Hernández-Pando,Ian García-Aguirre,José Bonilla-Delgado,Víctor Manuel Alvarado-Castro,Bulmaro Cisneros,Patricio Gariglio,Enoc Mariano Cortés-Malagón

Biomedicines 11: PubMed37239088

2023

Nicotine Administration Augments Abdominal Aortic Aneurysm Progression in Rats.

Applications

Unspecified application

Species

Unspecified reactive species

Hana Hadzikadunic,Tea Bøvling Sjælland,Jes S Lindholt,Lasse Bach Steffensen,Hans Christian Beck,Egle Kavaliunaite,Lars Melholt Rasmussen,Jane Stubbe

Biological & pharmaceutical bulletin 46:524-532 PubMed36696989

2023

Puerarin Protects against Myocardial Ischemia/Reperfusion Injury by Inhibiting Ferroptosis.

Applications

Unspecified application

Species

Unspecified reactive species

Yu Ding,Wenhua Li,Shi Peng,Genqing Zhou,Songwen Chen,Yong Wei,Juan Xu,Hongbing Gu,Jiayong Li,Shaowen Liu,Bei Liu

Gut microbes 14:2073785 PubMed35549648

2022

Periodontitis pathogen promotes pancreatic tumorigenesis via neutrophil elastase from tumor-associated neutrophils.

Applications

Unspecified application

Species

Unspecified reactive species

Qin Tan,Xiao Ma,Bing Yang,Ye Liu,Yibin Xie,Xijun Wang,Wei Yuan,Jie Ma

Oxidative medicine and cellular longevity 2022:8217663 PubMed35178161

2022

MPO/HOCl Facilitates Apoptosis and Ferroptosis in the SOD1 Motor Neuron of Amyotrophic Lateral Sclerosis.

Applications

Unspecified application

Species

Unspecified reactive species

Jialing Peng,Jingrui Pan,Jingjing Mo,Ying Peng

Shock (Augusta, Ga.) 57:274-280 PubMed34738958

2021

Assessment of Protection Offered By the NRF2 Pathway Against Hyperoxia-Induced Acute Lung Injury in NRF2 Knockout Rats.

Applications

Unspecified application

Species

Unspecified reactive species

Said H Audi,Elizabeth R Jacobs,Pardis Taheri,Swetha Ganesh,Anne V Clough

Frontiers in immunology 12:756825 PubMed34721432

2021

Decreased miR-4512 Levels in Monocytes and Macrophages of Individuals With Systemic Lupus Erythematosus Contribute to Innate Immune Activation and Neutrsophil NETosis by Targeting TLR4 and CXCL2.

Applications

Unspecified application

Species

Unspecified reactive species

Binbin Yang,Xinwei Huang,Shuangyan Xu,Li Li,Wei Wu,Yunjia Dai,Ming-Xia Ge,Limei Yuan,Wenting Cao,Meng Yang,Yongzhuo Wu,Danqi Deng
View all publications

Product promise

We are committed to supporting your work with high-quality reagents, and we're here for you every step of the way. In the unlikely event that one of our products does not perform as expected, you're protected by our Product Promise.
For full details, please see our Terms & Conditions

Please note: All products are 'FOR RESEARCH USE ONLY. NOT FOR USE IN DIAGNOSTIC OR THERAPEUTIC PROCEDURES'.

For licensing inquiries, please contact partnerships@abcam.com