JavaScript is disabled in your browser. Please enable JavaScript to view this website.
AB236022

Anti-Myeloperoxidase antibody [EPR17996] - BSA and Azide free

Be the first to review this product! Submit a review

|

(1 Publication)

Rabbit Recombinant Monoclonal Myeloperoxidase antibody. Carrier free. Suitable for WB, Flow Cyt (Intra), IHC-P and reacts with Mouse, Rat, Human samples. Cited in 1 publication.

View Alternative Names

Myeloperoxidase, MPO

5 Images
Immunohistochemistry (Formalin/PFA-fixed paraffin-embedded sections) - Anti-Myeloperoxidase antibody [EPR17996] - BSA and Azide free (AB236022)
  • IHC-P

Supplier Data

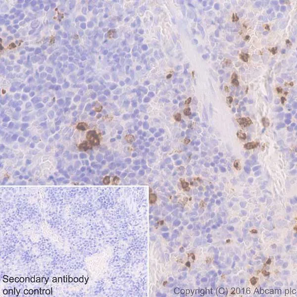
Immunohistochemistry (Formalin/PFA-fixed paraffin-embedded sections) - Anti-Myeloperoxidase antibody [EPR17996] - BSA and Azide free (AB236022)

Immunohistochemical analysis of paraffin-embedded human spleen tissue labeling Myeloperoxidase with ab188211 at 1/8000 dilution, followed by Goat Anti-Rabbit IgG H&L (HRP) Ready to use. Cytoplasmic staining on neutrophils of human spleen [PMID : 19566938].

Counter stained with Hematoxylin.

Secondary antibody only control : Used PBS instead of primary antibody, secondary antibody is Goat Anti-Rabbit IgG H&L (HRP) Ready to use.

This data was developed using the same antibody clone in a different buffer formulation containing PBS, BSA, glycerol, and sodium azide (ab188211).

Heat mediated antigen retrieval was performed with Tris/EDTA buffer pH 9.0 before commencing with IHC staining protocol.

Flow Cytometry (Intracellular) - Anti-Myeloperoxidase antibody [EPR17996] - BSA and Azide free (AB236022)
  • Flow Cyt (Intra)

Lab

Flow Cytometry (Intracellular) - Anti-Myeloperoxidase antibody [EPR17996] - BSA and Azide free (AB236022)

This data was developed using the same antibody clone in a different buffer formulation containing PBS, BSA, glycerol, and sodium azide (ab188211).

Flow cytometry staining of C57 BL/6 mouse bone marrow cells with ab188211 (right) or Recombinant Rabbit IgG, monoclonal [EPR25A] - Isotype Control (left). Cells were fixed and permeabilised with BD Cytofix/Cytoperm™ for 20 min. Cells were incubated for 30min at 22°C in 1x PBS containing 10μg/ml anti CD16/CD32 and 10% normal goat serum to block FC receptors and non-specific protein-protein interaction followed by the antibody ab188211 or Recombinant Rabbit IgG, monoclonal [EPR25A] - Isotype Control (1x 106 in 100 μl at 0.2 μg/ml (1/10200)) for 30min at 22°C. The cells were simultaneously stained with Ly6G.

The secondary antibody Goat Anti-Rabbit IgG H&L (Alexa Fluor® 488) preadsorbed was incubated at 1/4000 for 30min at 22°C

Acquisition of >30000 events were collected using a 50 mW Blue laser (488nm) and 525/40 bandpass filter. Events were gated on viable cells.

Immunohistochemistry (Formalin/PFA-fixed paraffin-embedded sections) - Anti-Myeloperoxidase antibody [EPR17996] - BSA and Azide free (AB236022)
  • IHC-P

Supplier Data

Immunohistochemistry (Formalin/PFA-fixed paraffin-embedded sections) - Anti-Myeloperoxidase antibody [EPR17996] - BSA and Azide free (AB236022)

Immunohistochemical analysis of paraffin-embedded mouse spleen tissue labeling Myeloperoxidase with ab188211 at 1/8000 dilution, followed by Goat Anti-Rabbit IgG H&L (HRP) Ready to use. Cytoplasmic staining on neutrophils of mouse spleen [PMID : 19566938].

Counter stained with Hematoxylin.

Secondary antibody only control : Used PBS instead of primary antibody, secondary antibody is Goat Anti-Rabbit IgG H&L (HRP) Ready to use.

This data was developed using the same antibody clone in a different buffer formulation containing PBS, BSA, glycerol, and sodium azide (ab188211).

Heat mediated antigen retrieval was performed with Tris/EDTA buffer pH 9.0 before commencing with IHC staining protocol.

Immunohistochemistry (Formalin/PFA-fixed paraffin-embedded sections) - Anti-Myeloperoxidase antibody [EPR17996] - BSA and Azide free (AB236022)
  • IHC-P

Supplier Data

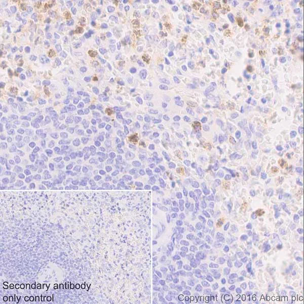
Immunohistochemistry (Formalin/PFA-fixed paraffin-embedded sections) - Anti-Myeloperoxidase antibody [EPR17996] - BSA and Azide free (AB236022)

Immunohistochemical analysis of paraffin-embedded rat spleen tissue labeling Myeloperoxidase with ab188211 at 1/8000 dilution, followed by Goat Anti-Rabbit IgG H&L (HRP) Ready to use. Cytoplasmic staining on neutrophils of rat spleen [PMID : 19566938].

Counter stained with Hematoxylin.

Secondary antibody only control : Used PBS instead of primary antibody, secondary antibody is Goat Anti-Rabbit IgG H&L (HRP) Ready to use.

This data was developed using the same antibody clone in a different buffer formulation containing PBS, BSA, glycerol, and sodium azide (ab188211).

Heat mediated antigen retrieval was performed with Tris/EDTA buffer pH 9.0 before commencing with IHC staining protocol.

Flow Cytometry (Intracellular) - Anti-Myeloperoxidase antibody [EPR17996] - BSA and Azide free (AB236022)
  • Flow Cyt (Intra)

Supplier Data

Flow Cytometry (Intracellular) - Anti-Myeloperoxidase antibody [EPR17996] - BSA and Azide free (AB236022)

Intracellular flow cytometric analysis of 4% paraformaldehyde-fixed mouse PBMC labeling Myeloperoxidase with ab188211 at 1/500 dilution (Right) compared with a rabbit monoclonal IgG isotype control (ab172730; Left). Goat anti rabbit IgG (Alexa Fluor® 488) at 1/2000 dilution was used as the secondary antibody.

Mouse peripheral blood mononuclear cells stained intracellularly with ab188211 (Right) and isotype control (Left). Only monocytes and granulocytes (larger SSC population) result in positive signal while the lymphocyte population remains unchanged.

This data was developed using the same antibody clone in a different buffer formulation containing PBS, BSA, glycerol, and sodium azide (ab188211).

  • Unconjugated

    Anti-Myeloperoxidase antibody [EPR17996]

  • 519 Alexa Fluor® 488

    Alexa Fluor® 488 Anti-Myeloperoxidase antibody [EPR17996]

  • 578 PE

    PE Anti-Myeloperoxidase antibody [EPR17996]

  • 665 Alexa Fluor® 647

    Alexa Fluor® 647 Anti-Myeloperoxidase antibody [EPR17996]

Key facts

Host species

Rabbit

Clonality

Monoclonal

Clone number

EPR17996

Isotype

IgG

Carrier free

Yes

Reacts with

Mouse, Rat, Human

Applications

Flow Cyt (Intra), WB, IHC-P

applications

Immunogen

The exact immunogen used to generate this antibody is proprietary information.

Specificity

This antibody is specific to Myeloperoxidase light chain.

Reactivity data

{ "title": "Reactivity Data", "filters": { "stats": ["", "Species", "Dilution Info", "Notes"], "tabs": { "all-applications": {"fullname" : "All Applications", "shortname": "All Applications"}, "WB" : {"fullname" : "Western blot", "shortname":"WB"}, "FlowCytIntra" : {"fullname" : "Flow Cytometry (Intracellular)", "shortname":"Flow Cyt (Intra)"}, "IHCP" : {"fullname" : "Immunohistochemistry (Formalin/PFA-fixed paraffin-embedded sections)", "shortname":"IHC-P"} }, "product-promise": { "all": "all", "testedAndGuaranteed": "tested", "guaranteed": "expected", "predicted": "predicted", "notRecommended": "not-recommended" } }, "values": { "Human": { "WB-species-checked": "guaranteed", "WB-species-dilution-info": "", "WB-species-notes": "<p></p>", "FlowCytIntra-species-checked": "guaranteed", "FlowCytIntra-species-dilution-info": "", "FlowCytIntra-species-notes": "", "IHCP-species-checked": "testedAndGuaranteed", "IHCP-species-dilution-info": "", "IHCP-species-notes": "<p></p>" }, "Mouse": { "WB-species-checked": "guaranteed", "WB-species-dilution-info": "", "WB-species-notes": "<p></p>", "FlowCytIntra-species-checked": "testedAndGuaranteed", "FlowCytIntra-species-dilution-info": "", "FlowCytIntra-species-notes": "<p></p>", "IHCP-species-checked": "guaranteed", "IHCP-species-dilution-info": "", "IHCP-species-notes": "" }, "Rat": { "WB-species-checked": "guaranteed", "WB-species-dilution-info": "", "WB-species-notes": "<p></p>", "FlowCytIntra-species-checked": "predicted", "FlowCytIntra-species-dilution-info": "", "FlowCytIntra-species-notes": "", "IHCP-species-checked": "predicted", "IHCP-species-dilution-info": "", "IHCP-species-notes": "" } } }

Product details

ab236022 is the carrier-free version of ab188211.

Patented technology
Our RabMAb® technology is a patented hybridoma-based technology for making rabbit monoclonal antibodies. For details on our patents, please refer to RabMAb® patents.

What are the advantages of a recombinant monoclonal antibody?
This product is a recombinant monoclonal antibody, which offers several advantages including:

  • - High batch-to-batch consistency and reproducibility
  • - Improved sensitivity and specificity
  • - Long-term security of supply
  • - Animal-free batch production

For more information, read more on recombinant antibodies.

Conjugation ready
Our carrier-free antibodies are typically supplied in a PBS-only formulation, purified and free of BSA, sodium azide and glycerol. This conjugation-ready format is designed for use with fluorochromes, metal isotopes, oligonucleotides, and enzymes, which makes them ideal for antibody labelling, functional and cell-based assays, flow-based assays (e.g. mass cytometry) and Multiplex Imaging applications.

Use our conjugation kits for antibody conjugates that are ready-to-use in as little as 20 minutes with 1 minute hands-on-time and 100% antibody recovery: available for fluorescent dyes, HRP, biotin and gold.

Compatibility
This product is compatible with the Maxpar® Antibody Labeling Kit from Fluidigm, without the need for antibody preparation. Maxpar® is a trademark of Fluidigm Canada Inc.

Properties and storage information

Form
Liquid
Purification technique
Affinity purification Protein A
Storage buffer
pH: 7.2 - 7.4 Constituents: PBS
Shipped at conditions
Blue Ice
Appropriate short-term storage conditions
+4°C
Appropriate long-term storage conditions
+4°C
Storage information
Do Not Freeze

Supplementary information

This supplementary information is collated from multiple sources and compiled automatically.

Myeloperoxidase also called MPO is an enzyme that plays a critical role in the body's immune response. This protein has a mass of approximately 150 kDa and exists as a dimer composed of heavy and light polypeptide chains. Myeloperoxidase is prominently expressed in neutrophils and monocytes which are types of white blood cells important for combating infections. The enzyme catalyzes the production of hypochlorous acid and other reactive substances by utilizing hydrogen peroxide and chloride ions. These reactive substances help in neutralizing pathogens during the immune response.
Biological function summary

The generation of reactive oxygen species by myeloperoxidase is essential for microbicidal activity. Myeloperoxidase functions as part of the antimicrobial system in the phagosome which is the intracellular compartment where pathogens are degraded. This enzyme works in conjunction with other components of the immune system such as NADPH oxidase. By generating hypochlorous acid MPO contributes to the oxidative burst a rapid release of reactive oxygen species during the response to pathogens.

Pathways

Myeloperoxidase integrates into the immune defense and inflammatory pathways. In particular it is associated with the neutrophil degranulation pathway where it releases its enzymatic contents to fight off microbes. MPO also interacts with proteins involved in oxidative stress processes such as superoxide dismutase which moderates levels of reactive oxygen species in cells. These interactions ensure balance in the immune response preventing excessive tissue damage during inflammation.

Dysregulated MPO activity can contribute to the development of diseases. For instance myeloperoxidase is linked with atherosclerosis a cardiovascular condition where inflammation and oxidative stress lead to plaque formation in the arteries. It also associates with vasculitis an autoimmune disorder causing inflammation of blood vessels. Both disorders can relate to the inflammatory pathways that involve MPO and proteins like C-reactive protein which serves as a marker of inflammation. Understanding MPO's role in these conditions is important for effective therapeutic interventions.

Product protocols

For this product, it's our understanding that no specific protocols are required. You can visit:

Target data

Part of the host defense system of polymorphonuclear leukocytes. It is responsible for microbicidal activity against a wide range of organisms. In the stimulated PMN, MPO catalyzes the production of hypohalous acids, primarily hypochlorous acid in physiologic situations, and other toxic intermediates that greatly enhance PMN microbicidal activity (PubMed : 9922160). Mediates the proteolytic cleavage of alpha-1-microglobulin to form t-alpha-1-microglobulin, which potently inhibits oxidation of low-density lipoprotein particles and limits vascular damage (PubMed : 25698971).
See full target information MPO

Publications (1)

Recent publications for all applications. Explore the full list and refine your search

Open medicine (Warsaw, Poland) 20:20251206 PubMed40918165

2025

Peptide CCAT1-70aa promotes hepatocellular carcinoma proliferation and invasion via the MAPK/ERK pathway.

Applications

Unspecified application

Species

Unspecified reactive species

Xianjian Wu,Ruifeng Liang,Guoman Liu,Quan Fang,Zuoming Xu,Wenchuan Li,Chuan Tan,Jian Pu
View all publications

Product promise

We are committed to supporting your work with high-quality reagents, and we're here for you every step of the way. In the unlikely event that one of our products does not perform as expected, you're protected by our Product Promise.
For full details, please see our Terms & Conditions

Please note: All products are 'FOR RESEARCH USE ONLY. NOT FOR USE IN DIAGNOSTIC OR THERAPEUTIC PROCEDURES'.

For licensing inquiries, please contact partnerships@abcam.com