JavaScript is disabled in your browser. Please enable JavaScript to view this website.
AB300650

Anti-Myeloperoxidase antibody [EPR20257] - Rat IgG2a (Chimeric)

  • BOND RX™ Validated
  • 20ul selling size
  • Recombinant
  • What is this?

Be the first to review this product! Submit a review

|

(5 Publications)

Anti-Myeloperoxidase antibody [EPR20257] - Rat IgG2a (Chimeric) (ab300650) is a rat monoclonal antibody detecting Myeloperoxidase in Flow Cytometry (Intra), Flow Cytometry, IHC-P, ICC/IF. Suitable for Human, Mouse, Rat.

- Biophysical QC for unrivalled batch-batch consistency

View Alternative Names

Myeloperoxidase, MPO

7 Images
Immunohistochemistry (Formalin/PFA-fixed paraffin-embedded sections) - Anti-Myeloperoxidase antibody [EPR20257] - Rat IgG2a (Chimeric) (AB300650)
  • IHC-P

Supplier Data

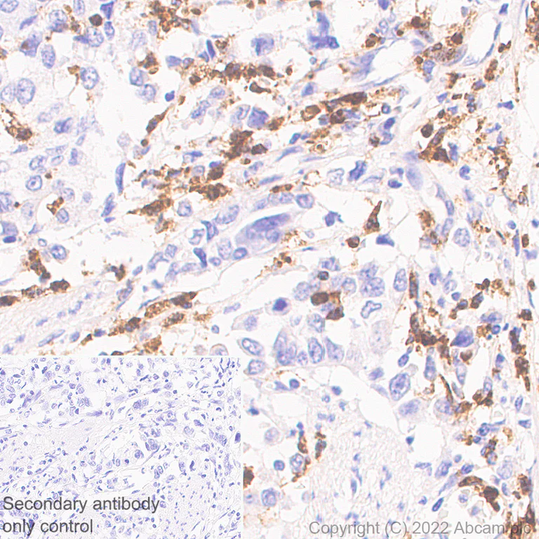
Immunohistochemistry (Formalin/PFA-fixed paraffin-embedded sections) - Anti-Myeloperoxidase antibody [EPR20257] - Rat IgG2a (Chimeric) (AB300650)

Immunohistochemical analysis of paraffin-embedded human spleen tissue labeling Myeloperoxidase with ab300650 at 1/10000 dilution (0.101 µg/ml) followed by ready to use LeicaDS9800 (Bond® Polymer Refine Detection). Positive staining on human spleen. The section was incubated with ab300650 for 30 mins at room temperature, followed by Goat Anti-rat IgG antibody (ab102248) for 8 mins during the LeicaDS9800 kit staining procedure. The immunostaining was performed on a Leica Biosystems BOND® RX instrument. Counterstained with Hematoxylin. Secondary antibody only control : Secondary antibody is ready to use LeicaDS9800 (Bond® Polymer Refine Detection). Heat mediated antigen retrieval with Citrate buffer (pH 6.0, epitope retrieval solution 1) for 20 mins.

Flow Cytometry (Intracellular) - Anti-Myeloperoxidase antibody [EPR20257] - Rat IgG2a (Chimeric) (AB300650)
  • Flow Cyt (Intra)

Supplier Data

Flow Cytometry (Intracellular) - Anti-Myeloperoxidase antibody [EPR20257] - Rat IgG2a (Chimeric) (AB300650)

Flow cytometric analysis of 4% paraformaldehyde-fixed 90% methanol permeabilized HeLa (human cervix adenocarcinoma epithelial cell, Left) / HL-60 (human acute promyelocytic leukemia promyeloblast, Right) cells labeling Myeloperoxidase with ab300650 at 1/1000 dilution (0.1µg) (Red) compared with a rat monoclonal IgG (Black) isotype control and an unlabeled control (cells without incubation with primary antibody and secondary antibody) (Blue). Goat F(ab)2 Anti-Rat IgG Fc (Alexa Fluor® 488, ab150161) at 1/2000 dilution was used as the secondary antibody. Negative control : HeLa (PMID : 12040446).

Immunocytochemistry/ Immunofluorescence - Anti-Myeloperoxidase antibody [EPR20257] - Rat IgG2a (Chimeric) (AB300650)
  • ICC/IF

Supplier Data

Immunocytochemistry/ Immunofluorescence - Anti-Myeloperoxidase antibody [EPR20257] - Rat IgG2a (Chimeric) (AB300650)

Immunofluorescent analysis of 4% Paraformaldehyde-fixed, 0.1% Triton X-100 permeabilized HL-60 (human acute promyelocytic leukemia promyeloblast) cells labeling Myeloperoxidase with ab300650 at 1/50 dilution (20.26 µg/ml), followed by ab150161 Goat F(ab')2 Anti-Rat IgG Fc (Alexa Fluor® 488) preadsorbed antibody at 1/1000 dilution (2 µg/ml) (Green). Confocal image showing cytoplasmic staining in HL-60 cell line. Negative control : HeLa (PMID : 12040446). ab179513 Anti-beta Tubulin rabbit monoclonal antibody was used to counterstain tubulin at 1/200 dilution (10µg/ml), followed by ab150080 Goat Anti-Rabbit IgG H&L (Alexa Fluor® 594) at a 1/500 dilution (4 µg/ml) (Red). The nuclear counterstain was DAPI (Blue). -ve control 1 : ab300650 at a 1/50 dilution followed by ab150080 at a 1/500 dilution. -ve control 2 : ab179513 at a 1/200 dilution followed by ab150161 at a 1/1000 dilution.

Immunohistochemistry (Formalin/PFA-fixed paraffin-embedded sections) - Anti-Myeloperoxidase antibody [EPR20257] - Rat IgG2a (Chimeric) (AB300650)
  • IHC-P

Supplier Data

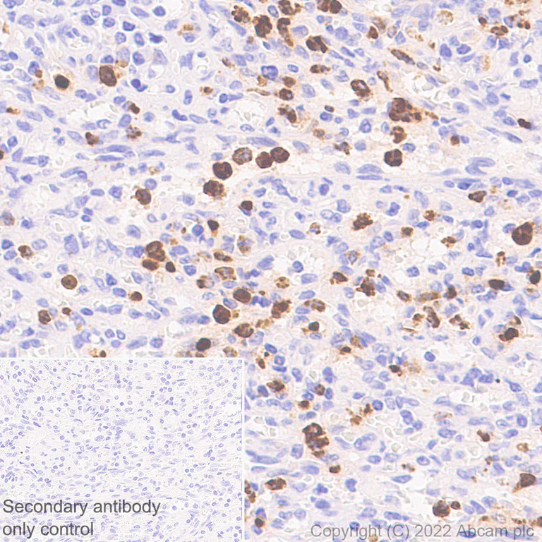
Immunohistochemistry (Formalin/PFA-fixed paraffin-embedded sections) - Anti-Myeloperoxidase antibody [EPR20257] - Rat IgG2a (Chimeric) (AB300650)

Immunohistochemical analysis of paraffin-embedded human gastric carcinoma tissue labeling Myeloperoxidase with ab300650 at 1/10000 dilution (0.101 µg/ml) followed by ready to use LeicaDS9800 (Bond® Polymer Refine Detection). Positive staining on human gastric carcinoma. The section was incubated with ab300650 for 30 mins at room temperature, followed by Goat Anti-rat IgG antibody (ab102248) for 8 mins during the LeicaDS9800 kit staining procedure. The immunostaining was performed on a Leica Biosystems BOND® RX instrument. Counterstained with Hematoxylin. Secondary antibody only control : Secondary antibody is ready to use LeicaDS9800 (Bond® Polymer Refine Detection). Heat mediated antigen retrieval with Citrate buffer (pH 6.0, epitope retrieval solution 1) for 20 mins.

Immunohistochemistry (Formalin/PFA-fixed paraffin-embedded sections) - Anti-Myeloperoxidase antibody [EPR20257] - Rat IgG2a (Chimeric) (AB300650)
  • IHC-P

Supplier Data

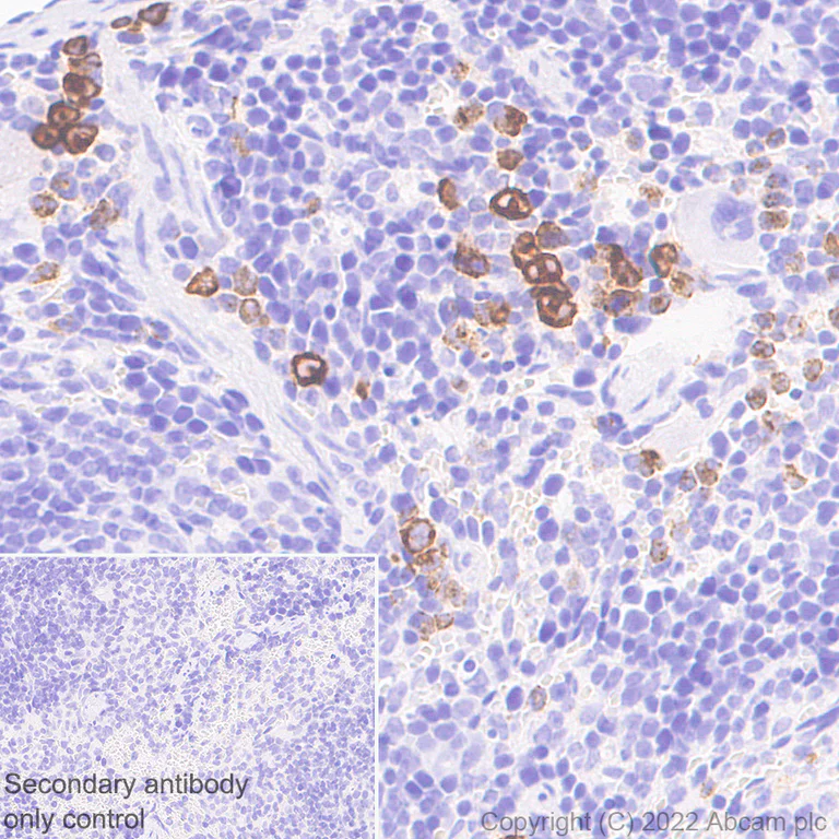
Immunohistochemistry (Formalin/PFA-fixed paraffin-embedded sections) - Anti-Myeloperoxidase antibody [EPR20257] - Rat IgG2a (Chimeric) (AB300650)

Immunohistochemical analysis of paraffin-embedded mouse spleen tissue labeling Myeloperoxidase with ab300650 at 1/10000 dilution (0.101 µg/ml) followed by ready to use LeicaDS9800 (Bond® Polymer Refine Detection). Positive staining on mouse spleen. The section was incubated with ab300650 for 30 mins at room temperature, followed by Goat Anti-rat IgG antibody (ab102248) for 8 mins during the LeicaDS9800 kit staining procedure. The immunostaining was performed on a Leica Biosystems BOND® RX instrument. Counterstained with Hematoxylin. Secondary antibody only control : Secondary antibody is ready to use LeicaDS9800 (Bond® Polymer Refine Detection). Heat mediated antigen retrieval with Citrate buffer (pH 6.0, epitope retrieval solution 1) for 20 mins.

Immunohistochemistry (Formalin/PFA-fixed paraffin-embedded sections) - Anti-Myeloperoxidase antibody [EPR20257] - Rat IgG2a (Chimeric) (AB300650)
  • IHC-P

Supplier Data

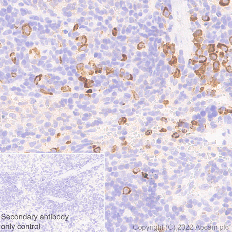
Immunohistochemistry (Formalin/PFA-fixed paraffin-embedded sections) - Anti-Myeloperoxidase antibody [EPR20257] - Rat IgG2a (Chimeric) (AB300650)

Immunohistochemical analysis of paraffin-embedded rat spleen tissue labeling Myeloperoxidase with ab300650 at 1/10000 dilution (0.101 µg/ml) followed by ready to use LeicaDS9800 (Bond® Polymer Refine Detection). Positive staining on rat spleen. The section was incubated with ab300650 for 30 mins at room temperature, followed by Goat Anti-rat IgG antibody (ab102248) for 8 mins during the LeicaDS9800 kit staining procedure. The immunostaining was performed on a Leica Biosystems BOND® RX instrument. Counterstained with Hematoxylin. Secondary antibody only control : Secondary antibody is ready to use LeicaDS9800 (Bond® Polymer Refine Detection). Heat mediated antigen retrieval with Citrate buffer (pH 6.0, epitope retrieval solution 1) for 20 mins.

Flow Cytometry (Intracellular) - Anti-Myeloperoxidase antibody [EPR20257] - Rat IgG2a (Chimeric) (AB300650)
  • Flow Cyt (Intra)

Supplier Data

Flow Cytometry (Intracellular) - Anti-Myeloperoxidase antibody [EPR20257] - Rat IgG2a (Chimeric) (AB300650)

Flow cytometric analysis of 4% paraformaldehyde-fixed 90% methanol permeabilized mouse blood cells labeling Myeloperoxidase with ab300650 at 1/1000 dilution (0.1µg)/ Right compared with a rat monoclonal IgG / Left. Goat F(ab)2 Anti-Rat IgG Fc (Alexa Fluor® 488, ab150161) at 1/2000 dilution was used as the secondary antibody.

Key facts

Host species

Rat

Clonality

Monoclonal

Clone number

EPR20257

Isotype

IgG2a

Carrier free

No

Reacts with

Human, Mouse, Rat

Applications

Flow Cyt (Intra), IHC-P, ICC/IF

applications

Immunogen

The exact immunogen used to generate this antibody is proprietary information.

Reactivity data

{ "title": "Reactivity Data", "filters": { "stats": ["", "Species", "Dilution Info", "Notes"], "tabs": { "all-applications": {"fullname" : "All Applications", "shortname": "All Applications"}, "IHCP" : {"fullname" : "Immunohistochemistry (Formalin/PFA-fixed paraffin-embedded sections)", "shortname":"IHC-P"}, "ICCIF" : {"fullname" : "Immunocytochemistry/ Immunofluorescence", "shortname":"ICC/IF"}, "FlowCytIntra" : {"fullname" : "Flow Cytometry (Intracellular)", "shortname":"Flow Cyt (Intra)"} }, "product-promise": { "all": "all", "testedAndGuaranteed": "tested", "guaranteed": "expected", "predicted": "predicted", "notRecommended": "not-recommended" } }, "values": { "Human": { "IHCP-species-checked": "testedAndGuaranteed", "IHCP-species-dilution-info": "1/10000", "IHCP-species-notes": "<p></p> Perform heat-mediated antigen retrieval with citrate buffer pH 6 before commencing with IHC staining protocol.", "ICCIF-species-checked": "testedAndGuaranteed", "ICCIF-species-dilution-info": "1/50", "ICCIF-species-notes": "<p></p>", "FlowCytIntra-species-checked": "testedAndGuaranteed", "FlowCytIntra-species-dilution-info": "1/1000", "FlowCytIntra-species-notes": "<p></p>" }, "Mouse": { "IHCP-species-checked": "testedAndGuaranteed", "IHCP-species-dilution-info": "1/10000", "IHCP-species-notes": "<p></p> Perform heat-mediated antigen retrieval with citrate buffer pH 6 before commencing with IHC staining protocol.", "ICCIF-species-checked": "guaranteed", "ICCIF-species-dilution-info": "", "ICCIF-species-notes": "", "FlowCytIntra-species-checked": "testedAndGuaranteed", "FlowCytIntra-species-dilution-info": "1/1000", "FlowCytIntra-species-notes": "<p></p>" }, "Rat": { "IHCP-species-checked": "testedAndGuaranteed", "IHCP-species-dilution-info": "1/10000", "IHCP-species-notes": "<p></p> Perform heat-mediated antigen retrieval with citrate buffer pH 6 before commencing with IHC staining protocol.", "ICCIF-species-checked": "guaranteed", "ICCIF-species-dilution-info": "", "ICCIF-species-notes": "", "FlowCytIntra-species-checked": "guaranteed", "FlowCytIntra-species-dilution-info": "", "FlowCytIntra-species-notes": "" } } }

Product details

What is this antibody validated in?
Anti-Myeloperoxidase antibody [EPR20257] - Rat IgG2a (Chimeric) (ab300650) is a rat recombinant monoclonal antibody and is validated for use in Flow Cytometry (Intra), Flow Cytometry (Flow Cyt), Immunohistochemistry (IHC-P), Immunocytochemistry/immunofluorescence (ICC/IF) in Human, Mouse, Rat samples.

Trial sizes available!
Test your antibody or perform pre-screening before committing to a larger quantity. Sold in 10µl. Discover our selection of trial-size antibodies.

Other related products
We have a range of other formats of antibody clone [EPR20257] also available for your convenience: ab208670, Carrier free - ab221847, Alexa Fluor® 488 - ab225474, ab300650, Carrier free - ab300651, Biotin - ab322301, HRP - ab323726

What are the advantages of a recombinant monoclonal antibody?
This product is a recombinant monoclonal antibody, which offers several advantages including:

  • - High batch-to-batch consistency and reproducibility
  • - Improved sensitivity and specificity
  • - Long-term security of supply
  • - Animal-free batch production

For more information, read more on recombinant antibodies.

Properties and storage information

Form
Liquid
Purification technique
Ion exchange chromatography
Storage buffer
pH: 7.2 - 7.4 Preservative: 0.01% Sodium azide Constituents: PBS, 40% Glycerol (glycerin, glycerine), 0.05% BSA
Shipped at conditions
Blue Ice
Appropriate short-term storage duration
1-2 weeks
Appropriate short-term storage conditions
+4°C
Appropriate long-term storage conditions
-20°C
Aliquoting information
Upon delivery aliquot
Storage information
Avoid freeze / thaw cycle

Supplementary information

This supplementary information is collated from multiple sources and compiled automatically.

Myeloperoxidase also called MPO is an enzyme that plays a critical role in the body's immune response. This protein has a mass of approximately 150 kDa and exists as a dimer composed of heavy and light polypeptide chains. Myeloperoxidase is prominently expressed in neutrophils and monocytes which are types of white blood cells important for combating infections. The enzyme catalyzes the production of hypochlorous acid and other reactive substances by utilizing hydrogen peroxide and chloride ions. These reactive substances help in neutralizing pathogens during the immune response.
Biological function summary

The generation of reactive oxygen species by myeloperoxidase is essential for microbicidal activity. Myeloperoxidase functions as part of the antimicrobial system in the phagosome which is the intracellular compartment where pathogens are degraded. This enzyme works in conjunction with other components of the immune system such as NADPH oxidase. By generating hypochlorous acid MPO contributes to the oxidative burst a rapid release of reactive oxygen species during the response to pathogens.

Pathways

Myeloperoxidase integrates into the immune defense and inflammatory pathways. In particular it is associated with the neutrophil degranulation pathway where it releases its enzymatic contents to fight off microbes. MPO also interacts with proteins involved in oxidative stress processes such as superoxide dismutase which moderates levels of reactive oxygen species in cells. These interactions ensure balance in the immune response preventing excessive tissue damage during inflammation.

Dysregulated MPO activity can contribute to the development of diseases. For instance myeloperoxidase is linked with atherosclerosis a cardiovascular condition where inflammation and oxidative stress lead to plaque formation in the arteries. It also associates with vasculitis an autoimmune disorder causing inflammation of blood vessels. Both disorders can relate to the inflammatory pathways that involve MPO and proteins like C-reactive protein which serves as a marker of inflammation. Understanding MPO's role in these conditions is important for effective therapeutic interventions.

Product protocols

For this product, it's our understanding that no specific protocols are required. You can visit:

Target data

Part of the host defense system of polymorphonuclear leukocytes. It is responsible for microbicidal activity against a wide range of organisms. In the stimulated PMN, MPO catalyzes the production of hypohalous acids, primarily hypochlorous acid in physiologic situations, and other toxic intermediates that greatly enhance PMN microbicidal activity (PubMed : 9922160). Mediates the proteolytic cleavage of alpha-1-microglobulin to form t-alpha-1-microglobulin, which potently inhibits oxidation of low-density lipoprotein particles and limits vascular damage (PubMed : 25698971).
See full target information MPO

Publications (5)

Recent publications for all applications. Explore the full list and refine your search

Frontiers in immunology 16:1651085 PubMed40963601

2025

The role of neutrophils and NETosis in lipopolysaccharide exacerbated asthmatic airway inflammation.

Applications

Unspecified application

Species

Unspecified reactive species

Qian Qian,Qianye Zhao,Yongji Qian,Huan Deng,Xiaoming Feng,Jiamin Zhang,Xia Huang,Yi Du,Deyu Zhao,Feng Liu

FASEB journal : official publication of the Federation of American Societies for Experimental Biology 39:e70983 PubMed40857028

2025

Phosphate Improves Mitochondrial Function and Reduces Pancreatitis in Hypertriglyceridemia.

Applications

Unspecified application

Species

Unspecified reactive species

Nidula Mullappilly,Sandip M Swain,Joelle M-J Romac,Husam Mikati,Rodger A Liddle

Molecular medicine (Cambridge, Mass.) 31:157 PubMed40301757

2025

Exogenous TSG-6 treatment alleviates DSS-induced colitis in mice by modulating Pou2f3 and promoting tuft cells differentiation.

Applications

Unspecified application

Species

Unspecified reactive species

Shaopeng Yang,Yuqi Li,Rongwei Ruan,Jiangping Yu,Bo Zhu,Haibin Lou,Xiaolan Zhang,Shi Wang

Cellular and molecular life sciences : CMLS 81:122 PubMed38456997

2024

Neutrophil extracellular traps mediate cardiomyocyte ferroptosis via the Hippo-Yap pathway to exacerbate doxorubicin-induced cardiotoxicity.

Applications

Unspecified application

Species

Unspecified reactive species

Peng Zhao,You Li,Xiangli Xu,Haobo Yang,Xintong Li,Shuai Fu,Zihong Guo,Jianing Zhang,Hairu Li,Jiawei Tian

Acta pharmaceutica Sinica. B 13:4461-4476 PubMed37969726

2023

A non-human primate derived anti-P-selectin glycoprotein ligand-1 antibody curtails acute pancreatitis by alleviating the inflammatory responses.

Applications

Unspecified application

Species

Unspecified reactive species

Yuhan Li,Xiangqing Ding,Xianxian Wu,Longfei Ding,Yuhui Yang,Xiaoliang Jiang,Xing Liu,Xu Zhang,Jianrong Su,Jianqing Xu,Zhiwei Yang
View all publications

Product promise

We are committed to supporting your work with high-quality reagents, and we're here for you every step of the way. In the unlikely event that one of our products does not perform as expected, you're protected by our Product Promise.
For full details, please see our Terms & Conditions

Please note: All products are 'FOR RESEARCH USE ONLY. NOT FOR USE IN DIAGNOSTIC OR THERAPEUTIC PROCEDURES'.

For licensing inquiries, please contact partnerships@abcam.com