JavaScript is disabled in your browser. Please enable JavaScript to view this website.
AB247766

Anti-Myeloperoxidase antibody [EPR4792] - BSA and Azide free

Be the first to review this product! Submit a review

|

(1 Publication)

Rabbit Recombinant Monoclonal Myeloperoxidase antibody. Carrier free. Suitable for IHC-P, WB and reacts with Human samples. Cited in 1 publication.

View Alternative Names

Myeloperoxidase, MPO

7 Images
Immunohistochemistry (Formalin/PFA-fixed paraffin-embedded sections) - Anti-Myeloperoxidase antibody [EPR4792] - BSA and Azide free (AB247766)
  • IHC-P

Unknown

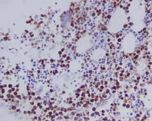
Immunohistochemistry (Formalin/PFA-fixed paraffin-embedded sections) - Anti-Myeloperoxidase antibody [EPR4792] - BSA and Azide free (AB247766)

This data was developed using ab109116, the same antibody clone in a different buffer formulation.

ab109116, at a 1/250 dilution, staining Myeloperoxidase in paraffin embedded Human spleen tissue by Immunohistochemistry.

Perform heat mediated antigen retrieval with citrate buffer pH 6 before commencing with IHC staining protocol.

Immunohistochemistry (Formalin/PFA-fixed paraffin-embedded sections) - Anti-Myeloperoxidase antibody [EPR4792] - BSA and Azide free (AB247766)
  • IHC-P

Unknown

Immunohistochemistry (Formalin/PFA-fixed paraffin-embedded sections) - Anti-Myeloperoxidase antibody [EPR4792] - BSA and Azide free (AB247766)

This data was developed using ab109116, the same antibody clone in a different buffer formulation.

ab109116, at a 1/250 dilution, staining Myeloperoxidase in paraffin embedded Human lung tissue by Immunohistochemistry.

Perform heat mediated antigen retrieval with citrate buffer pH 6 before commencing with IHC staining protocol.

Immunohistochemistry (Formalin/PFA-fixed paraffin-embedded sections) - Anti-Myeloperoxidase antibody [EPR4792] - BSA and Azide free (AB247766)
  • IHC-P

Unknown

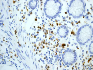
Immunohistochemistry (Formalin/PFA-fixed paraffin-embedded sections) - Anti-Myeloperoxidase antibody [EPR4792] - BSA and Azide free (AB247766)

This data was developed using ab109116, the same antibody clone in a different buffer formulation.

ab109116, at a 1/250 dilution, staining Myeloperoxidase in paraffin embedded Human colon tissue by Immunohistochemistry.

Perform heat mediated antigen retrieval with citrate buffer pH 6 before commencing with IHC staining protocol.

Immunohistochemistry (Formalin/PFA-fixed paraffin-embedded sections) - Anti-Myeloperoxidase antibody [EPR4792] - BSA and Azide free (AB247766)
  • IHC-P

Unknown

Immunohistochemistry (Formalin/PFA-fixed paraffin-embedded sections) - Anti-Myeloperoxidase antibody [EPR4792] - BSA and Azide free (AB247766)

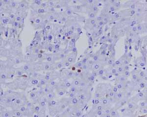
This data was developed using ab109116, the same antibody clone in a different buffer formulation.

ab109116 showing positive staining in Normal liver tissue.

Perform heat mediated antigen retrieval with citrate buffer pH 6 before commencing with IHC staining protocol.

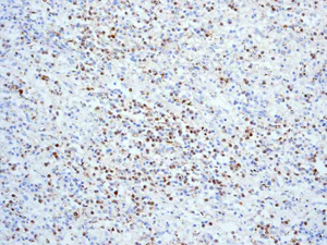
Immunohistochemistry (Formalin/PFA-fixed paraffin-embedded sections) - Anti-Myeloperoxidase antibody [EPR4792] - BSA and Azide free (AB247766)
  • IHC-P

Unknown

Immunohistochemistry (Formalin/PFA-fixed paraffin-embedded sections) - Anti-Myeloperoxidase antibody [EPR4792] - BSA and Azide free (AB247766)

This data was developed using ab109116, the same antibody clone in a different buffer formulation.

ab109116 showing positive staining in Bone marrow tissue.

Perform heat mediated antigen retrieval with citrate buffer pH 6 before commencing with IHC staining protocol.

Immunohistochemistry (Formalin/PFA-fixed paraffin-embedded sections) - Anti-Myeloperoxidase antibody [EPR4792] - BSA and Azide free (AB247766)
  • IHC-P

Unknown

Immunohistochemistry (Formalin/PFA-fixed paraffin-embedded sections) - Anti-Myeloperoxidase antibody [EPR4792] - BSA and Azide free (AB247766)

This data was developed using ab109116, the same antibody clone in a different buffer formulation.

ab109116 showing negative staining in Skeletal muscle tissue.

Perform heat mediated antigen retrieval with citrate buffer pH 6 before commencing with IHC staining protocol.

Western blot - Anti-Myeloperoxidase antibody [EPR4792] - BSA and Azide free (AB247766)
  • WB

Unknown

Western blot - Anti-Myeloperoxidase antibody [EPR4792] - BSA and Azide free (AB247766)

This data was developed using ab109116, the same antibody clone in a different buffer formulation.

All lanes:

Western blot - Anti-Myeloperoxidase antibody [EPR4792] (<a href='/en-us/products/primary-antibodies/myeloperoxidase-antibody-epr4792-ab109116'>ab109116</a>) at 1/1000 dilution

All lanes:

HL-60 cell lysate at 10 µg

Secondary

All lanes:

HRP labelled goat anti-rabbit at 1/2000 dilution

Predicted band size: 83 kDa

Observed band size: 15 kDa,85-90 kDa

false

Key facts

Host species

Rabbit

Clonality

Monoclonal

Clone number

EPR4792

Isotype

IgG

Carrier free

Yes

Reacts with

Human

Applications

IHC-P, WB

applications

Immunogen

The exact immunogen used to generate this antibody is proprietary information.

Specificity

This antibody recognizes Myeloperoxidase (85-90 kDa) and its light chain (15 kDa).

Reactivity data

{ "title": "Reactivity Data", "filters": { "stats": ["", "Species", "Dilution Info", "Notes"], "tabs": { "all-applications": {"fullname" : "All Applications", "shortname": "All Applications"}, "IHCP" : {"fullname" : "Immunohistochemistry (Formalin/PFA-fixed paraffin-embedded sections)", "shortname":"IHC-P"}, "IP" : {"fullname" : "Immunoprecipitation", "shortname":"IP"}, "FlowCyt" : {"fullname" : "Flow Cytometry", "shortname":"Flow Cyt"}, "WB" : {"fullname" : "Western blot", "shortname":"WB"} }, "product-promise": { "all": "all", "testedAndGuaranteed": "tested", "guaranteed": "expected", "predicted": "predicted", "notRecommended": "not-recommended" } }, "values": { "Human": { "IHCP-species-checked": "testedAndGuaranteed", "IHCP-species-dilution-info": "", "IHCP-species-notes": "<p>Antigen retrieval is recommended.</p>", "IP-species-checked": "notRecommended", "IP-species-dilution-info": "", "IP-species-notes": "<p></p>", "FlowCyt-species-checked": "notRecommended", "FlowCyt-species-dilution-info": "", "FlowCyt-species-notes": "<p></p>", "WB-species-checked": "testedAndGuaranteed", "WB-species-dilution-info": "", "WB-species-notes": "<p></p>" } } }

Product details

ab247766 is the carrier-free version of ab109116.

Species reactivity
Mouse, Rat: We have preliminary internal testing data to indicate this antibody may not react with these species.
Please contact us for more information.

Patented technology
Our RabMAb® technology is a patented hybridoma-based technology for making rabbit monoclonal antibodies. For details on our patents, please refer to RabMAb® patents.

What are the advantages of a recombinant monoclonal antibody?
This product is a recombinant monoclonal antibody, which offers several advantages including:

  • - High batch-to-batch consistency and reproducibility
  • - Improved sensitivity and specificity
  • - Long-term security of supply
  • - Animal-free batch production

For more information, read more on recombinant antibodies.

Conjugation ready
Our carrier-free antibodies are typically supplied in a PBS-only formulation, purified and free of BSA, sodium azide and glycerol. This conjugation-ready format is designed for use with fluorochromes, metal isotopes, oligonucleotides, and enzymes, which makes them ideal for antibody labelling, functional and cell-based assays, flow-based assays (e.g. mass cytometry) and Multiplex Imaging applications.

Use our conjugation kits for antibody conjugates that are ready-to-use in as little as 20 minutes with 1 minute hands-on-time and 100% antibody recovery: available for fluorescent dyes, HRP, biotin and gold.

Compatibility
This product is compatible with the Maxpar® Antibody Labeling Kit from Fluidigm, without the need for antibody preparation. Maxpar® is a trademark of Fluidigm Canada Inc.

Properties and storage information

Form
Liquid
Purification technique
Affinity purification Protein A
Storage buffer
pH: 7.2 - 7.4 Constituents: PBS
Shipped at conditions
Blue Ice
Appropriate short-term storage conditions
+4°C
Appropriate long-term storage conditions
+4°C
Storage information
Do Not Freeze

Supplementary information

This supplementary information is collated from multiple sources and compiled automatically.

Myeloperoxidase also called MPO is an enzyme that plays a critical role in the body's immune response. This protein has a mass of approximately 150 kDa and exists as a dimer composed of heavy and light polypeptide chains. Myeloperoxidase is prominently expressed in neutrophils and monocytes which are types of white blood cells important for combating infections. The enzyme catalyzes the production of hypochlorous acid and other reactive substances by utilizing hydrogen peroxide and chloride ions. These reactive substances help in neutralizing pathogens during the immune response.
Biological function summary

The generation of reactive oxygen species by myeloperoxidase is essential for microbicidal activity. Myeloperoxidase functions as part of the antimicrobial system in the phagosome which is the intracellular compartment where pathogens are degraded. This enzyme works in conjunction with other components of the immune system such as NADPH oxidase. By generating hypochlorous acid MPO contributes to the oxidative burst a rapid release of reactive oxygen species during the response to pathogens.

Pathways

Myeloperoxidase integrates into the immune defense and inflammatory pathways. In particular it is associated with the neutrophil degranulation pathway where it releases its enzymatic contents to fight off microbes. MPO also interacts with proteins involved in oxidative stress processes such as superoxide dismutase which moderates levels of reactive oxygen species in cells. These interactions ensure balance in the immune response preventing excessive tissue damage during inflammation.

Dysregulated MPO activity can contribute to the development of diseases. For instance myeloperoxidase is linked with atherosclerosis a cardiovascular condition where inflammation and oxidative stress lead to plaque formation in the arteries. It also associates with vasculitis an autoimmune disorder causing inflammation of blood vessels. Both disorders can relate to the inflammatory pathways that involve MPO and proteins like C-reactive protein which serves as a marker of inflammation. Understanding MPO's role in these conditions is important for effective therapeutic interventions.

Product protocols

For this product, it's our understanding that no specific protocols are required. You can visit:

Target data

Part of the host defense system of polymorphonuclear leukocytes. It is responsible for microbicidal activity against a wide range of organisms. In the stimulated PMN, MPO catalyzes the production of hypohalous acids, primarily hypochlorous acid in physiologic situations, and other toxic intermediates that greatly enhance PMN microbicidal activity (PubMed : 9922160). Mediates the proteolytic cleavage of alpha-1-microglobulin to form t-alpha-1-microglobulin, which potently inhibits oxidation of low-density lipoprotein particles and limits vascular damage (PubMed : 25698971).
See full target information MPO

Publications (1)

Recent publications for all applications. Explore the full list and refine your search

Oncology letters 26:409 PubMed37600337

2023

Renal epithelioid angiomyolipoma: A case report.

Applications

Unspecified application

Species

Unspecified reactive species

Hongyun Li,Xuebei Zhang,Qingli Zhao,Jin Wang,Xiaoqing Yang,Shengliang Huang
View all publications

Product promise

We are committed to supporting your work with high-quality reagents, and we're here for you every step of the way. In the unlikely event that one of our products does not perform as expected, you're protected by our Product Promise.
For full details, please see our Terms & Conditions

Please note: All products are 'FOR RESEARCH USE ONLY. NOT FOR USE IN DIAGNOSTIC OR THERAPEUTIC PROCEDURES'.

For licensing inquiries, please contact partnerships@abcam.com